OCHRONOSIS home ICD10: E70.2

Ochronosis is de depositie van een bruin zwart pigment, soms blauwig, vooral in kraakbeen (oor, neus), conjunctiva, en soms in gelaats- en okselhuid, door stapeling van homogentisinezuur (endogene ochronosis). De term werd voor het eerst gebruikt door Virchow in 1866. Stapeling van homogentisine zuur ontstaat bij alkaptonurie, een autosomaal recessieve aandoening waarbij het enzym homogentisinezuur oxidase ontbreekt. Dit leidt tot de ophoping van homogentisinezuur in het bloed, en dit bindt selectief aan collageen van de huid en aan kraakbeen. Deels wordt het uitgescheiden via de urine. In routine HE kleuren de deposities okerkleurig aan.

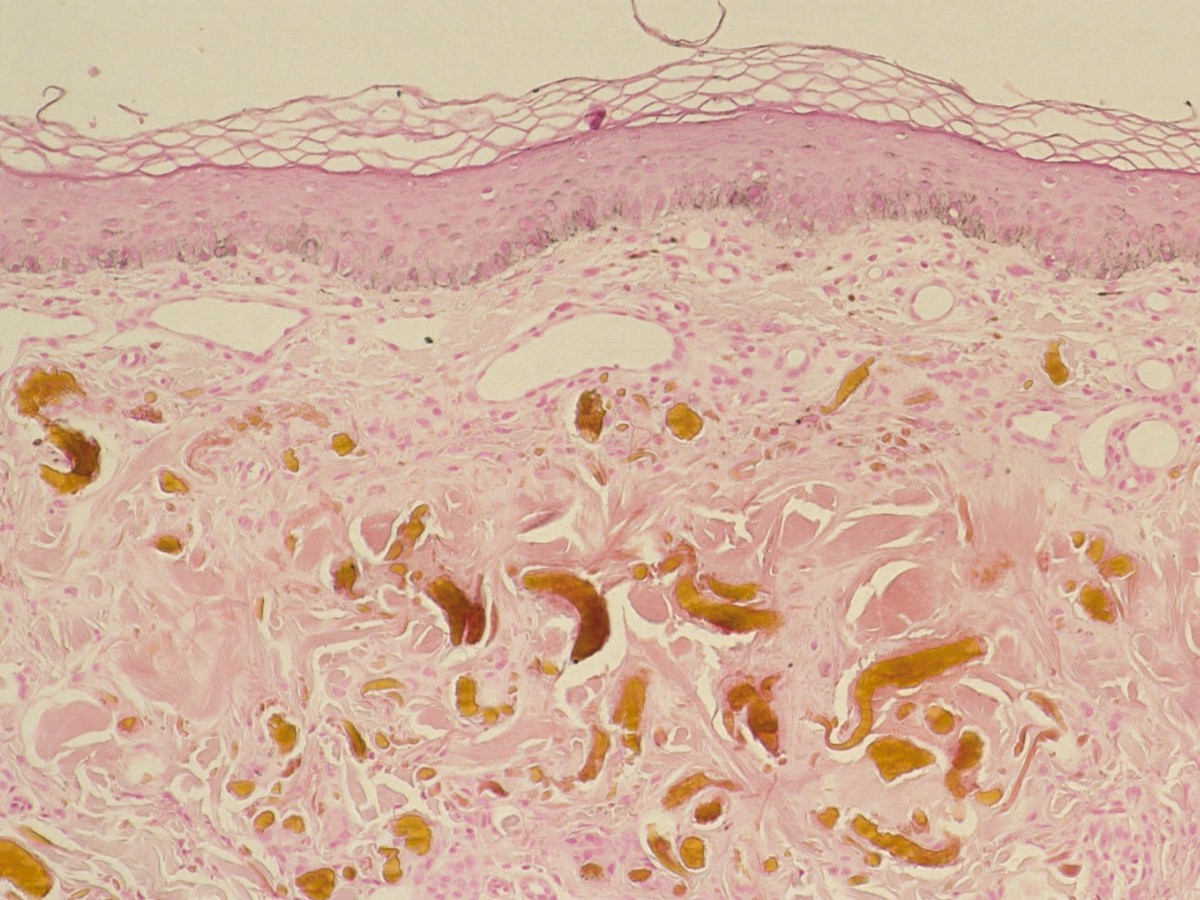
Endogene ochronosis Endogene ochronosis
endogene ochronosis ochronosis


Dit ochronotische pigment kan ook worden gevonden in het bindweefsel van patiënten zonder alkaptonurie, die op de aangedane huid hydrochinon, fenolen of resorcinol hebben gebruikt of antimalaria middelen hebben ingenomen (exogene ochronose). Hydrochinon-bevattende crèmes kunnen naast exogene ochronose ook andere pigmentstoornissen veroorzaken zoals leukomelanoderma en confetti (onregelmatige pigmentverschuivingen), contact dermatitis met of zonder post-inflammatoire hyperpigmentaties en nagelverkleuringen.

Exogene ochronosis Exogene ochronosis Exogene ochronosis
exogene ochronosis exogene ochronosis exogene ochronosis


Exogene ochronosis kan in 3 klinische stadia worden onderverdeeld, ieder met een karakteristieke histologisch beeld:
1. Erytheem en milde hyperpigmentatie
2. Hyperpigmentatie, zwarte colloïd-milia en geringe atrofie
3. Zelfde als (2) maar met papulonoduli met of zonder ontstekingsverschijnselen.
Stadium 3 wordt gezien bij patiënten die meer dan 10 jaar hydrochinon hebben gebruikt.

Histologie:
Stadia 1 en 2 vertonen doorgaans hyperkeratose met een dunne epidermis. In de dermis bevinden zich geel-bruine (okerkleurige) fibrillen die in vroege stadia eosinofiel, later basofiel en ten slotte okerachtig aankleuren. De okerkleurige fibrillen liggen verweven in elastische en collagene vezels die gezwollen en gehomogeniseerd zijn. In het bovenste deel van de dermis kan men pigmentincontinentie en melanofagen aantreffen. Stadium 3 wordt gekenmerkt door klompen ochronotisch materiaal met daartussen sarcoïd-achtige granulomen met multinucleaire reuscellen. Het ochronotisch materiaal kleurt zwart aan met Fontana Masson en blauw-zwart met methyleenblauw. De vezels kleuren echter niet aan met elastine-, PAS-, lipofuchsine- en ijzerkleuring.

DD: postinflammatoire hyperpigmentatie, melasma, periorbitale hypermelanose, contactallergie, Berloque dermatitis, Riehl's melanosis, orthoergisch eczeem. Zie ook tabel met DD van hyperpigmentatie.

Diagnostiek:
Biopt. Onderzoek 24-uurs urine op homogentisinezuur. Eventueel contact-allergologisch onderzoek als aan contacteczeem met hyperpigentatie wordt gedacht.

Therapie:
Stoppen met hydrochinon, sunscreens. Het is moeilijk te behandelen.
Laserbehandeing met de Q-switched ruby laser (effectiviteit valt tegen).


Referenties
1. Menke HE, Dekker SK, van Noordhoek Hegt V, Westerhof W. Exogene ochronosis, een weinig bekende bijwerking van hydrochinon-bevatttende crèmes. Ned Tijdschr Geneesk 1992;136:187-190.
2. Albers SE, Brozena SJ, Glass F. Fenske NA.Alkaptonuria and ochronosis: case report and review. J Am Acad Dermatol 1992;27:609-614.
3. Burke PA, Maibach HI. Exogenous ochronosis: an overview. J Dermatol Treat 1997;8:21-26.
4. Kramer KE, Lopez A, Stefanato CM, Philips TJ. Exogenous ochronosis, J Am Acad Dermatol 2000;42:869-871.


Author(s):
dr. Jan R. Mekkes. Dermatologist, Amsterdam UMC.

31-05-2023 (JRM) - www.skin-diseases.eu Terug naar homepagina



Diagnosis codes:
ICD10 E70.2 Stoornissen van tyrosinemetabolisme: endogene ochronose
ICD10 E70.2 Disorders of tyrosine metabolism: ochronosis due to homogentisate 1,2-dioxygenase deficiency
SNOMED 410042009 Ochronosis due to homogentisate 1,2-dioxygenase deficiency
DBC 27 spacer Diagnose niet nader omschreven

ICD10 E70.2 Stoornissen van tyrosinemetabolisme: exogene ochronose
ICD10 E70.2 Disorders of tyrosine metabolism: exogenous ochronosis
SNOMED 410041002 Exogenous ochronosis
SNOMED 403265002 Ochronosis due to hydroquinone
DBC 27 spacer Diagnose niet nader omschreven