PARAPSORIASIS EN PLAQUES (ziekte van Brocq) home ICD10: L41.9

Parapsoriasis en plaque (synoniemen: ziekte van Brocq, erythrodermie pityriasique en plaques disseminées, parapsoriasis in placibus) is onder te verdelen in small plaque parapsoriasis (synoniem superficial scaly dermatitis) en large plaque parapsoriasis. De small plaque en large plaque parapsoriasis worden samen met pityriasis lichenoides acuta en chronica ingedeeld in de groep parapsoriasis.

De term parapsoriasis is dus een verzamelnaam voor een heterogene groep psoriatiforme dermatosen, welke onder vele synoniemen bekend staan, hetgeen verwarrend werkt. Grofweg zijn ze in te delen in:
1. pityriasis lichenoides acuta (synoniemen: parapsoriasis guttata (acuta), pityriasis lichenoides et varioliformis acuta, Mucha Habermann disease, PLEVA).
2. pityriasis lichenoides chronica (parapsoriasis guttata chronica)
3. small plaque parapsoriasis (parapsoriasis en plaques, small plaques, superficial scaly dermatitis)
- variant: digitate dermatosis
4. large plaque parapsoriasis (parapsoriasis en plaques, large plaques)
- variant: retiform parapsoriasis (parapsoriasis variegata, parapsoriasis lichenoides)


Het zijn aandoeningen gekenmerkt door op psoriasis lijkende (para-psoriasis) scherp begrensde erythematosquameuze laesies of plaques. Sommigen rekenen ook lymfomatoide papulose tot deze groep. Een gemeenschappelijk kenmerk is de aanwezigheid van CD4+ T-cellen in het infiltraat. Bij lymfomatoide papulose en bij parapsoriasis, large plaque kunnen ook clonale T-cel populaties aanwezig zijn. Dit suggereert dat deze aandoeningen kunnen overgaan in een T-cel lymfoom. Op dit moment gaat men er van uit dat large plaque parapsoriasis eigenlijk gewoon een (voorstadium van een) cutaan T-cel lymfoom is. Zeker is het niet, het kan ook dat vroege stadia van cutaan T-cel lymfoom / mycosis fungoides niet goed te onderscheiden zijn van large plaque parapsoriasis. Bij small plaque parapsoriasis is de kans gering dat het overgaat in een cutaan T-cel lymfoom, danwel dat het eigenlijk al vanaf het begin een cutaan T-cel lymfoom was. Maar het is wel nodig om alert te zijn, als het beeld verandert (uitbreiding, dikkere plaques), dan opnieuw biopteren.



PARAPSORIASIS EN PLAQUES, SMALL PLAQUES home ICD10: L41.3

Small plaque parapsoriasis (synoniem: (chronic) superficial scaly dermatitis) bestaat uit multipele ronde tot ovale erythematosquameuze laesies, variërend van guttata tot nummulair (< 5 cm). Lichtrood en met een fijne schilfering. Ze kunnen overal op de romp en extremiteiten voorkomen. Begint meestal op middelbare of oudere leeftijd, een enkele keer ook op kinderleeftijd. Veroorzaakt geen klachten, soms een milde jeuk.

Een bijzondere variant van small plaque parapsoriasis is digitate dermatosis. Bij deze bijzondere en goed herkenbare variant ziet men langwerpige (vingervormige) plaques, soms wel 10 cm lang, vooral in de flanken. Op de rug kunnen de laesies in een dennenboomconfiguratie gerangschikt zijn.

Small plaque parapsoriasis Small plaque parapsoriasis Small plaque parapsoriasis
small plaque parapsoriasis small plaque parapsoriasis small plaque parapsoriasis

Small plaque parapsoriasis Small plaque parapsoriasis Digitate dermatosis
small plaque parapsoriasis small plaque parapsoriasis digitate dermatosis

Digitate dermatosis Digitate dermatosis Digitate dermatosis
digitate dermatosis digitate dermatosis digitate dermatosis


DD: psoriasis, nummulair eczeem, mycosis fungoides, syphilis, pityriasis rosea, pityriasis lichenoides chronica, geneesmiddelenreactie, bleomycine induced flagellate dermatitis, Shiitake dermatitis.

Therapie:
R/ lokale corticosteroïden.
R/ Protopic (tacrolimus).
R/ teer preparaten.
R/ UVB, PUVA, zonlicht.



PARAPSORIASIS EN PLAQUES, LARGE PLAQUES home ICD10: L41.4

Parapsoriasis en plaques, type large plaque (synoniemen: large plaque parapsoriasis, parapsoriasis placibus) wordt gekenmerkt door grotere erythematosquameuze plaques, groter dan 5 cm, vaak confluerend. Ze kunnen overal op de romp voorkomen maar worden vooral gezien op de billen of onderrug. De entiteit is moeilijk af te grenzen van voorstadia van een cutaan T-cel lymfoom. Steeds meer wordt dan ook gedacht dat large plaque parapsoriasis eigenlijk een cutaan T-cel lymfoom is (plaque stadium mycosis fungoides). Er bestaat ook een zeldzame variant van met een reticulair patroon (retiform parapsoriasis). Parapsoriasis lichenoides of parapsoriasis variegata is een onduidelijke entiteit, die volgens sommigen niet bestaat. Deze oude termen werden gebruikt voor uitgebreide poikiloderma-achtige veranderingen (grillige gehyperpigmenteerde maculae, atrophie, en teleangiëctasieën) die kunnen ontstaan bij large plaque parapsoriasis en bij mycosis fungoides, maar ook de term poikiloderma vasculare atrophicans is aan dit beeld gekoppeld.

Large plaque parapsoriasis Large plaque parapsoriasis
large plaque parapsoriasis large plaque parapsoriasis

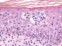
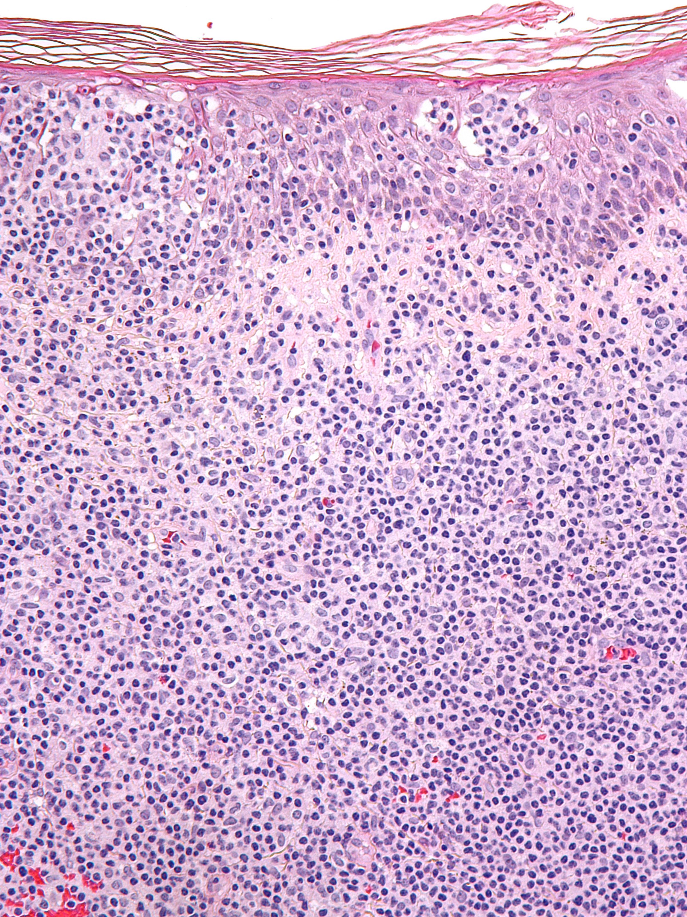
Large plaque parapsoriasis Cutaan T cel lymfoom
large plaque parapsoriasis lymfocyten in epidermis

PA-Foto: Michael Bonert (Nephron) - Wikimedia (Creative Commons License 3.0).


DD: psoriasis, mycosis fungoides, erythema annulare, urticaria, urticariële vasculitis, geneesmiddelenreactie, lymphocytic infiltration of the skin, EMAP.

Therapie:
R/ lokale corticosteroïden.
R/ teer preparaten.
R/ UVB, PUVA, zonlicht.
R/ topicale behandeling met bexarotene, mechlorethamine of carmustine. Niet al deze producten zijn in Nederland beschikbaar.


Author(s):
dr. Jan R. Mekkes. Dermatologist, Amsterdam UMC.

31-05-2023 (JRM) - www.skin-diseases.eu Terug naar homepagina



Diagnosis codes:
ICD10 L41.0 Pityriasis lichenoides et varioliformis acuta
ICD10 L41.0 Pityriasis lichenoides et varioliformis acuta
SNOMED 86487001 Acute lichenoid pityriasis
DBC 20 spacer Psoriatiforme dermatosen

ICD10 L41.1 Pityriasis lichenoides chronica
ICD10 L41.1 Pityriasis lichenoides chronica
SNOMED 10057001 Chronic lichenoid pityriasis
DBC 20 spacer Psoriatiforme dermatosen

ICD10 L41.3 Parapsoriasis `en plaques', klein
ICD10 L41.3 Small plaque parapsoriasis
SNOMED 23854007 Small plaque parapsoriasis
DBC 20 spacer Psoriatiforme dermatosen

ICD10 L41.3 Parapsoriasis `en plaques', klein: digitate dermatosis
ICD10 L41.3 Small plaque parapsoriasis: digitate dermatosis
SNOMED 238592008 Chronic superficial scaly dermatitis
DBC 20 spacer Psoriatiforme dermatosen

ICD10 L41.4 Parapsoriasis `en plaques', groot
ICD10 L41.4 Large plaque parapsoriasis
SNOMED 67081008 Large plaque parapsoriasis
DBC 14 spacer Maligne dermatosen

ICD10 L41.4 Parapsoriasis `en plaques', groot
ICD10 L41.4 Large plaque parapsoriasis
SNOMED 56253000 Parapsoriasis en plaques
DBC 20 spacer Psoriatiforme dermatosen

ICD10 L41.5 Parapsoriasis retiformis
ICD10 L41.5 Retiform parapsoriasis
SNOMED 200990006 Retiform parapsoriasis
DBC 20 spacer Psoriatiforme dermatosen

ICD10 L41.8 Parapsoriasis, overige vormen
ICD10 L41.8 Other parapsoriasis
SNOMED 88233000 Parapsoriasis
DBC 20 spacer Psoriatiforme dermatosen

ICD10 L41.9 Parapsoriasis, niet gespecificeerd
ICD10 L41.9 Parapsoriasis, unspecified
SNOMED 88233000 Parapsoriasis
DBC 20 spacer Psoriatiforme dermatosen

ICD10 L94.5 Poikiloderma atroficans vasculare
ICD10 L94.5 Poikiloderma vasculare atrophicans
SNOMED 16341002 Parapsoriasis lichenoides
DBC 14 spacer Maligne dermatosen