Bij
erythema migrans arciforme et palpabile (EMAP)
ziet men annulaire, gegyreerde (arciforme) erythemateuze of livide lesies, vaak
centraal op de rug, berustend op benigne T-cel proliferatie. Het is een variant
van lymphocytic infiltration of the skin (
m.
Jessner) met een bijzondere klinische presentatie. Kenmerkend is de opvallende
boogvormige (arciforme) configuratie. Behalve op de rug kan het ook elders op
de romp (m.n. ook het coeur), de bovenarmen en de dijbenen voorkomen. De laesies
hebben de neiging zich binnen dagen tot weken te verplaatsen (migrans) waarbij
nieuwe laesies zich afwisselen met spontane regressie van oudere laesies. De
oorzaak is onbekend.
![erythema migrans arciforme et palpabile (click on photo to enlarge) [source: www.huidziekten.nl] erythema migrans arciforme et palpabile](../../../images/erythema-migrans-arciforme-et-palpabile-1z.jpg) |
![erythema migrans arciforme et palpabile (click on photo to enlarge) [source: www.huidziekten.nl] erythema migrans arciforme et palpabile](../../../images/erythema-migrans-arciforme-et-palpabile-2z.jpg) |
| EMAP |
EMAP 1
week later |
![erythema migrans arciforme et palpabile (click on photo to enlarge) [source: www.huidziekten.nl] erythema migrans arciforme et palpabile](../../../images/erythema-migrans-arciforme-et-palpabile-3z.jpg) |
![erythema migrans arciforme et palpabile (click on photo to enlarge) [source: www.huidziekten.nl] erythema migrans arciforme et palpabile](../../../images/erythema-migrans-arciforme-et-palpabile-4z.jpg) |
| EMAP |
EMAP |
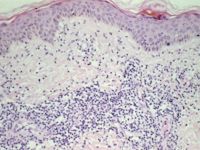
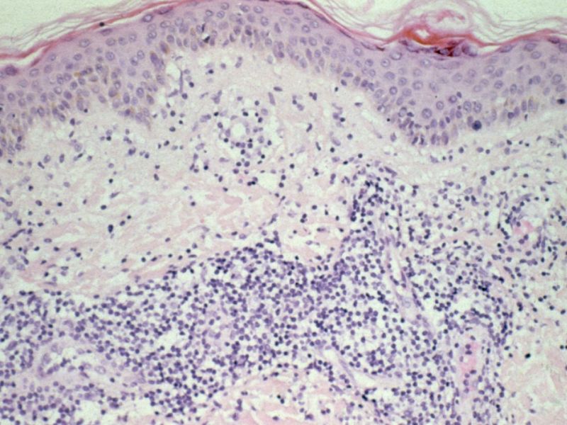
PA:Dicht lymfocytair infiltraat. Immuno-histologisch
is EMAP identiek aan M. Jessner. Mengbeelden zijn ook waargenomen bij één en
dezelfde patiënt. Daarom neemt men aan dat het om dezelfde entiteit gaat. Toch
is het vanwege de bijzondere vorm, het verspringend karakter (M. Jessner laesies
zijn doorgaans meer persistent), en de voorkeurs lokalisatie op de rug (Jessner
lesies bevinden zich vaker in het gelaat) nuttig om deze huidziekte als aparte
entiteit te handhaven.
![erythema migrans arciforme et palpabile (click on photo to enlarge) [source: www.huidziekten.nl] erythema migrans arciforme et palpabile](../../../images/erythema-migrans-arciforme-et-palpabile-5z.jpg) |
| EMAP |
Indeling van benigne T-lymfocyt infiltraten in de huid:
- morbus Jessner (
lymphocytic infiltration
of the skin)
- EMAP (erythema migrans arciforme et palpabile) als bijzondere
klinische variant
- cutane lymfoide hyperplasie (lymphocytoma cutis benigna)
Mogelijk komt EMAP vaker voor dan in de literatuur is gemeld, doordat niet
ieder behandelinstituut een verdere (klinische) onderverdeling maakt bij patiënten
met lymphocytic infiltration of the skin.
Therapie:
Expectatief (gaat vaak vanzelf over), eventueel:
R/ Lokale steroiden graad
III-IV.
Referenties
| 1. |
Steinmann A, Gummer M, Agathos M, Breit R. Erythema
migrans arciforme et palpabile und Lymphocytic Infiltration of the Skin
- unterschiedliche Erscheinungsformen derselben Entität? Hautarzt 1999;50:270-274. |
Author(s):dr. Jan R. Mekkes. Dermatologist, Amsterdam UMC.