HISTIOCYTAIRE AANDOENINGEN / HISTIOCYTOSIS home ICD10: D76.3

Histiocyt is een oude benaming voor dendritische cellen en macrofagen.
De histiocytaire aandoeningen kunnen worden onderverdeeld in 3 groepen of klassen:

Klasse 1: Langerhans cell histiocytosis
De oudere termen histiocytosis X, eosinofiel granuloom, Abt-Letterer-Siwe, Hand-Schüller-Christian disease en congenital self-healing reticulohistiocytosis (Hashimoto-Pritzker disease) zijn hiermee komen te vervallen. Zie verder onder Langerhans cell histiocytosis

Klasse 2: Niet-Langerhanscel histiocytosen (reactieve, benigne proliferaties van histiocytaire cellen (vooral macrofagen)
- hemofagocytaire lymfohistiocytose
- infectie-geassocieerd hemofagocytair syndroom
- overige histiocytaire aandoeningen
- Erdheim-Chester disease
- xanthoma disseminatum
- juveniel xanthogranuloom
- benigne cefale histiocytose
- gegeneraliseerde eruptieve histiocytose
- progressive nodular histiocytosis
- hereditary progressive mucinous histiocytosis
- indeterminate cell histiocytosis
- multicentrische reticulohistiocytose
- reticulohistiocytoma
- necrobiotisch xanthogranuloom
- dermatofibroom
- papulair xanthoom
- sinushistiocytose met massale lymfadenopathie (Rosai-Dorman disease)
- reticulohistiocytoom

Klasse 3: Maligne histiocytaire aandoeningen (histiocytaire maligne lymfomen)
- acute monocytaire leukemie (zie leukemia cutis)
- maligne histiocytosis (histiocytair sarcoma, Langerhans cell sarcoma, interdigitating dendritic cell sarcoma, follicular dendritic cell sarcoma)
- true histiocytair lymfoom


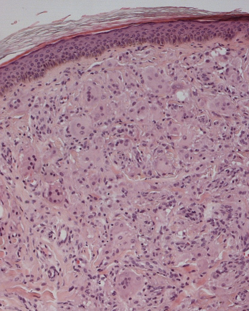
Langerhans cell histiocytose Juveniel xanthogranuloom Multicentrische reticuliohistiocytose
Langerhans histiocytosis juveniel xanthogranuloom reticulohistiocytosis

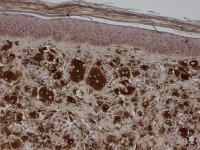
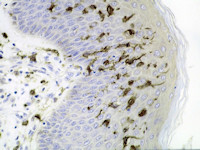
Langerhans cellen in de huid Langerhans cell Langerhans cell histiocytose
Langerhans cellen Birbeck granula Langerhans histiocytose

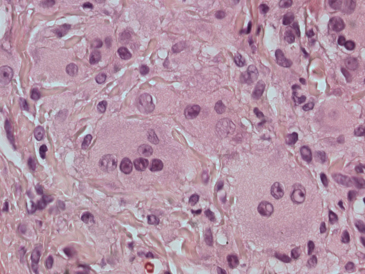
Multicentrische reticulohistiocytose Multicentrische reticulohistiocytose Multicentrische reticulohistiocytose
multipele macrofagen multinucleaire reuscellen CD68 kleuring

PA-foto: Haymanjsen - Wikimedia (Creative Commons License 1.0 - Public Domain Image).
EM-foto: Yale Rosen - Wikimedia (Creative Commons License 2.0).



Author(s):
dr. Jan R. Mekkes. Dermatologist, Amsterdam UMC.

31-05-2023 (JRM) - www.skin-diseases.eu Terug naar homepagina



Diagnosis codes:
ICD10 D76.3 Overige histiocytose syndromen
ICD10 D76.3 Other histiocytosis syndromes
SNOMED 127068004 Histiocytic syndrome
DBC 27 Diagnose niet nader omschreven