Een
perineurioom is een zeldzame, benigne tumor van
de perifere zenuwschede, uitgaande van perineuriale cellen. Deze maken onderdeel
uit van het perineurium, een ‘omhulsel’ om de zenuwfascikels. Er kan onderscheid
worden gemaakt in extraneurale perineuriomen (‘soft tissue perineurioma’) en
intraneurale perineuriomen (‘gelokaliseerde hypertrofische mononeuropathie’).
Het perineurioom werd voor het eerst als aparte entiteit beschreven door Lazarus
en Trombetta in 1978. Ze vertegenwoordigen ongeveer 1% van de benigne perifere
zenuwtumoren. Er is geen associatie met neurofibromatose. Andere benigne perifere
zenuwtumoren zijn het
schwannoom en het
neurofibroom.
Klinisch beeld:
Vaak betreft het een solitaire kleine scherp begrensde huidkleurige niet drukpijnlijke
subcutane nodulus, met name op extremiteiten en romp. Het kan ook in het gelaat
voorkomen. Ze komen relatief vaker voor bij jong volwassenen, maar het is ook
bij kinderen beschreven. Het lijkt iets vaker voor te komen bij vrouwen dan
bij mannen. Intraneurale perineuriomen kunnen neurologische symptomen geven,
vaak motorische stoornissen.
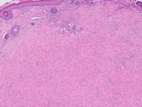
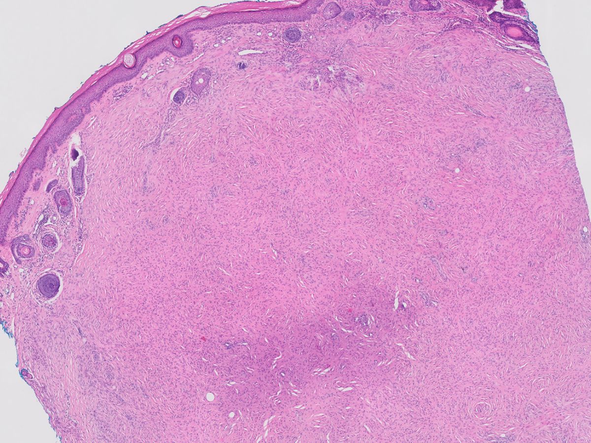
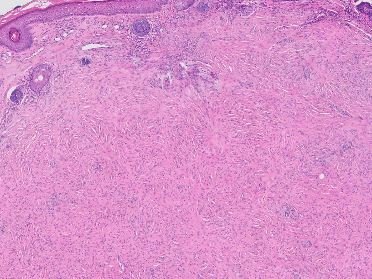
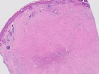
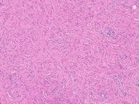
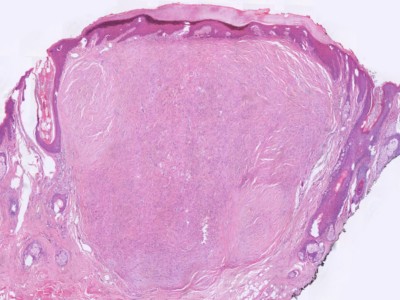
![Perineurioma (click on photo to enlarge) [source: www.huidziekten.nl] Perineurioma](../../../images/perineurioma-1z.jpg) |
![Perineurioma (click on photo to enlarge) [source: www.huidziekten.nl] Perineurioma](../../../images/perineurioma-2z.jpg) |
| perineurioma |
perineurioma |
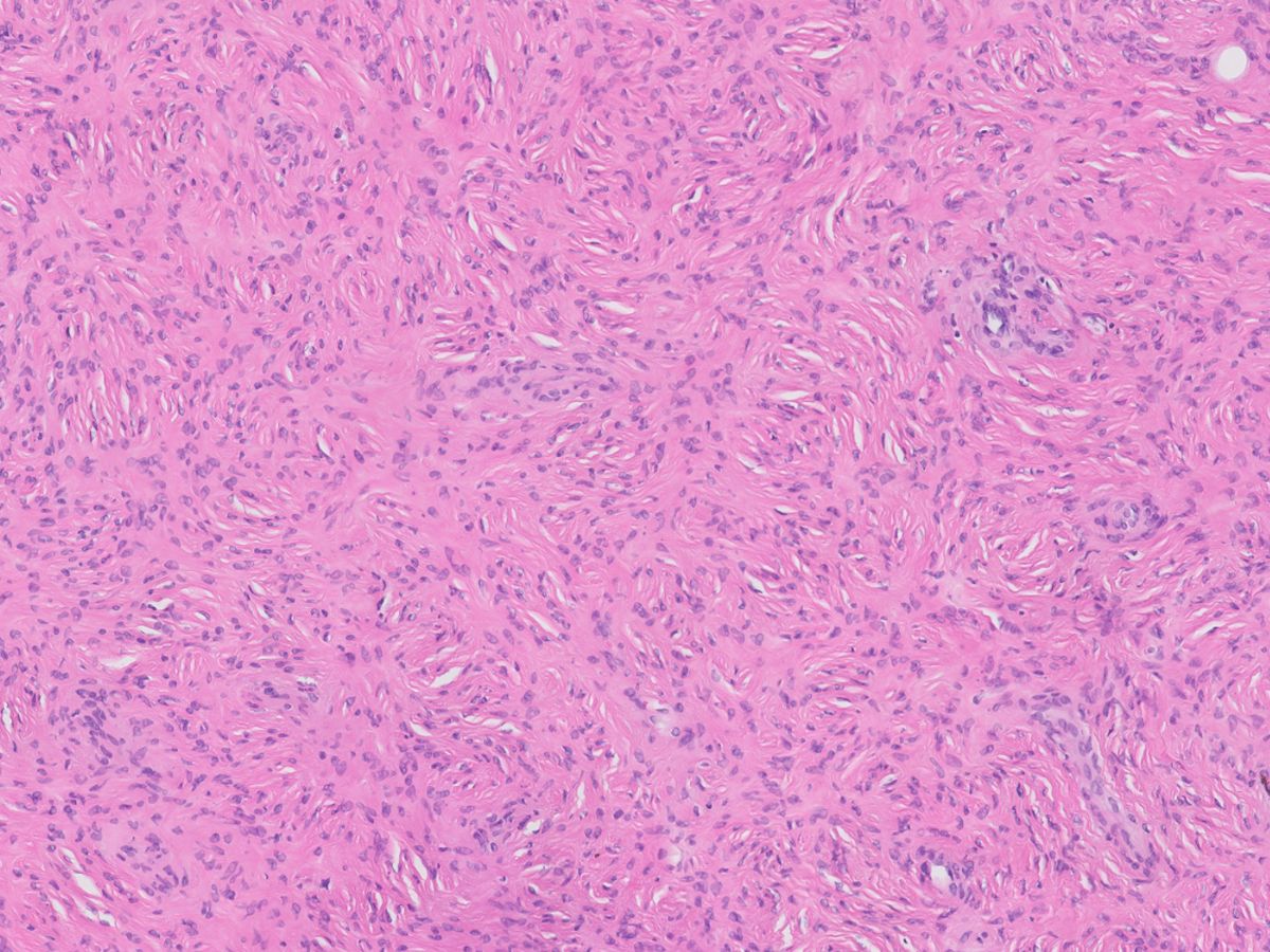
Histologie:Het extraneurale perineurioom (‘soft
tissue perineurioma’) wordt voornamelijk gevonden in weke delen en de huid.
Histopathologisch is er sprake van een vrij scherp begrensde maar niet omkapselde
spoelcellige proliferatie in de dermis en/of subcutis, in een storiform of fasciculair
patroon. Er is sprake van een intraneuraal perineurioom (‘gelokaliseerde hypertrofische
mononeuropathie’) als de perineuriale cellen prolifereren, door het endoneurium
heen groeien en concentrische lagen vormen rondom de fascikels (histologisch
wordt een ‘uienbol aspect’ gezien). Dit kan zich klinisch presenteren als een
vergroting van de zenuw. Vaker wordt dit gezien bij jong volwassenen en kinderen
aan de extremiteiten, even vaak bij mannen als bij vrouwen. Zowel extraneurale
als intraneurale perineuriomen tonen een predominante perineuriale cel differentiatie.
Perineuriomen zijn vaak positief voor EMA en kunnen ook expressie vertonen van
claudin-1, GLUT-1 en CD34. Ze zijn negatief voor S100 en neurofilament.
DD:
Fibrous papule of the face,
dermatofibroom,
epidermale cyste,
naevus naevocellularis,
Spitz naevus,
PEN (palisaded encapsulated
neuroma),
fibroma,
schwannoma,
neurofibroma,
neurothekeoma,
adnextumor, (amelanotisch)
melanoom,
xanthogranuloom,
atypisch fibroxanthoom,
solide basaalcelcarcinoom, maligne
perifere zenuwtumor (pijnlijke, progressief groeiende zwelling met motorische
uitval).
Therapie:

Excisie van
de gehele laesie met een krappe marge. Recidieven worden niet verwacht wanneer
de excisie radicaal is. Er zijn ook case reports van behandeling met Mohs micrografische
chirurgie.
Achtergrondinformatie:Een perifere
zenuw is grofweg opgebouwd uit axonen, die individueel worden omgeven door het
endoneurium. De axonen liggen gegroepeerd in zenuwfascikels, die omgeven worden
door het perineurium. Meerdere zenuwfascikels samen vormen de perifere zenuw
en deze wordt omgeven door het epineurium. Een perineurioom gaat dus uit van
de perineuriale cellen die het perineurium om een zenuwfascikel vormen.
PA-Foto: OpenStax College - Wikimedia (Creative Commons License
3.0).
Referenties
| 1. |
Lazarus SS, Trombetta LD. Ultrastructural
identification of a benign perineurial cell tumor. Cancer 1978;41(5):1823-1829. |
| 2. |
Leblebici C, Sahin S, Kelten C, Erdemir AT,
Demirkesen C. Intraneural perineurioma of the skin. Am J Dermatopathol
2015;37(4):345-347. |
| 3. |
Armengot-Carbo M, Millán F, Sanjuan J, Quecedo
E, Gimeno E. Sclerosing perineurioma: case report and literature
review. Dermatol Online J 2014 Jun 15;20(6). |
| 4. |
Park JY, Park NJ, Kim SP, Kwon KY, Lee SS.
A soft tissue perineurioma and a hybrid tumor of perineurioma and
schwannoma. Korean J Pathol 2012;46(1):75-78. |
| 5. |
Robson AM, Calonje E. Cutaneous perineurioma:
a poorly recognized tumour often misdiagnosed as epithelioid histiocytoma.
Histopathology 2000;37(4):332-339. |
| 6. |
Senghore N, Cunliffe D, Watt-Smith S, Hollowood
K. Extraneural perineurioma of the face: an unusual cutaneous presentation
of an uncommon tumour. Br J Oral Maxillofac Surg 2001;39(4):315-319. |
| 7. |
Warner N, Petrick M. A Perineurioma Treated
With Mohs Micrographic Surgery. Dermatol Surg 2018;44(8):1140-1142. |
Author(s):Myrna Bakker. Arts-assistente dermatologie,
AMC, Amsterdam.