Fibrous papule of the nose /
fibrous papule
of the face is een klein huidkleurig papeltje in het gelaat (gelaat,
lip, neus) met een speciale histologie. Meestal ingestuurd naar PA onder de
klinische diagnose naevus of basaalcelcarcinoom. Het is een onbetekenend, klein
(1-5 mm) goedaardig papeltje, op of rond de neus, soms in de neus, meestal solitair. Het komt
vaak voor, vooral rond de 50 jaar. De oorzaak is niet precies bekend, het kan
een variant zijn van een angiofibroom. Soms zijn ze gepigmenteerd.
![fibrous papule of the nose (click on photo to enlarge) [source: www.huidziekten.nl] fibrous papule of the nose](../../../images/fibrous-papule-of-the-nose-1z.jpg) |
![fibrous papule of the nose (click on photo to enlarge) [source: www.huidziekten.nl] fibrous papule of the nose](../../../images/fibrous-papule-of-the-nose-2z.jpg) |
![fibrous papule of the nose (click on photo to enlarge) [source: www.huidziekten.nl] fibrous papule of the nose](../../../images/fibrous-papule-of-the-nose-3z.jpg) |
|
fibrous papule of the nose |
fibrous papule of the nose |
fibrous papule of the nose |
DD:
angiofibroom,
juvenile nasopharyngeal angiofibroma,
naevus naevocellularis,
Spitz naevus,
PEN (palisaded encapsulated
neuroma),
fibroma,
dermatofibroom,
schwannoma,
neurofibroma,
perineurioma,
neurothekeoma,
epidermale cyste,
adnextumor, (amelanotisch)
melanoom,
xanthogranuloom,
atypisch fibroxanthoom,
solide basaalcelcarcinoom.
![neurofibroom op de bovenlip met branched vessels (click on photo to enlarge) [source: www.huidziekten.nl] neurofibroom op de bovenlip met branched vessels](../../../images/neurofibroomarborizingvesselsz.jpg) |
![Palisaded encapsulated neuroma (PEN) (click on photo to enlarge) [source: www.huidziekten.nl] Palisaded encapsulated neuroma (PEN)](../../../images/palisaded-encapsulated-neuroma-1z.jpg) |
| neurofibroom |
PEN (neuroma) |
![Intradermal naevus (click on photo to enlarge) [source: www.huidziekten.nl] Intradermal naevus](../../../images/naevusdermal1z.jpg) |
![Nodulair BCC (click on photo to enlarge) [source: www.huidziekten.nl] Nodulair BCC](../../../images/basaalcel-carcinoom-nodulair-1z.jpg) |
| dermale
naevus naevocellularis |
nodulair
basaalcelcarcinoom |
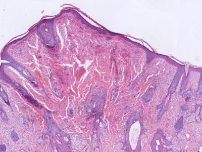
Pathologie:Fibrose, proliferatie van spoelvormige
cellen, in de dermis kunnen ook dendritische Factor XIIIa positieve cellen worden
gezien. Soms vaatproliferatie in de bovenste dermis en een gering ontstekingsinfiltraat.
Vermindering of afwezigheid van elastine.
![Histologie fibrous papule of the nose (click on photo to enlarge) [source: Kevin Kwee / Afdeling Pathologie MUMC] Histologie fibrous papule of the nose](../../../pacoupes/thumbnails/fibrous-papule-of-the-nose-1.jpg) |
![Histologie fibrous papule of the nose (click on photo to enlarge) [source: Kevin Kwee / Afdeling Pathologie MUMC] Histologie fibrous papule of the nose](../../../pacoupes/thumbnails/fibrous-papule-of-the-nose-2.jpg) |
|
ingescande coupe (zoom) |
ingescande coupe (zoom) |
Bron
hoge resolutie PA-foto's: Kevin Kwee en Afdeling Pathologie MUMC. Klik
op de afbeelding om in te zoomen.
Therapie:
Curettage, excisie met stansbiopteurtje of kleine ovaal, shaven. Vaak is het
tumortje al om diagnostische reden in toto gebiopteerd en blijkt later de PA-diagnose.
Referenties
| 1. |
Saylan T, Marks R, Jones EW. Fibrous papule
of the nose. Br J Dermatol 1971;85(2):111-118. |
| 2. |
Meigel WN, Ackerman AB. Fibrous papule of
the face. Am J Dermatopathol 1979;1(4):329-340. |
| 3. |
Nemeth AJ, Penneys NS, Bernstein HB. Fibrous
papule: a tumor of fibrohistiocytic cells that contain factor XIIIa.
J Am Acad Dermatol 1988;19(6):1102-1106. |
| 4. |
Bansal C, Stewart D, Li A, Cockerell CJ.
Histologic variants of fibrous papule. J Cutan Pathol 2005;32(6):424-428. |
Author(s):dr. Jan R. Mekkes. Dermatologist, Amsterdam UMC.