Benigne lichenoïde keratose (Engels:
benign
lichenoid keratosis,
lichen planus-like keratosis)
is meer een PA-diagnose dan een klinische diagnose. Het is een diagnose die
de patholoog op histologische kenmerken stelt op biopten uit solitaire laesies
die zijn ingestuurd onder de klinische diagnose basaalcelcarcinoom (63%), plaveiselcelcarcinoom
(24%), verruca seborroica (6%), actinische keratose (4%), benigne lichenoide
keratose (2%), en overigen (1%). Het klinisch beeld is dan ook wisselend, het
is niet goed mogelijk om een uniform geldende beschrijving te geven van hoe
een benigne lichenoide keratose er uit ziet.
Benigne lichenoïde keratose
werd voor het eerst als een klinisch-histologische entiteit beschreven door
Shapiro in 1966 en door Lympkin en Helwig als een solitaire niet jeukende papel
of een mild geïndureerde plaque. Histologisch wordt de laesie gekarakteriseerd
door een bandvormig infiltraat met grensvlakaantasting en is vrijwel gelijk
aan het beeld wat wordt gezien bij lichen planus. Het is een veel voorkomende
laesie die door sommige auteurs wordt beschouwd als het inflammatoire of regressieve
stadium van een
lentigo solaris of
verruca seborroïca en door anderen
als een aparte klinische entiteit. Klinisch kan de laesie lijken op een maligniteit,
zoals b.v. een basaalcel- of plaveiselcel carcinoom.
Kliniek:
Solitaire niet of weinig jeukende papel of geindureerde plaque met een doorsnede
van 5-20 mm. Het oppervlak kan vlak, verruceus of squameus zijn en de kleur
kan variëren van erythemateus / bruin tot livide kleurig afhankelijk van het
stadium van regressie. De laesies bevinden zich hoofdzakelijk op zongeëxposeerde
delen van de romp, de bovenste extremiteiten, in het gelaat en nek en in mindere
mate op de benen. In ca. 90 % van de gevallen betreft het een solitaire laesie,
echter in ca. 10% van de gevallen kunnen er 2 of meerdere laesies worden gevonden.
![benigne lichenoide keratose (click on photo to enlarge) [source: www.huidziekten.nl] benigne lichenoide keratose](../../../images/benigne-lichenoide-keratose-1z.jpg) |
![benigne lichenoide keratose (click on photo to enlarge) [source: www.huidziekten.nl] benigne lichenoide keratose](../../../images/benigne-lichenoide-keratose-2z.jpg) |
![benigne lichenoide keratose (click on photo to enlarge) [source: www.huidziekten.nl] benigne lichenoide keratose](../../../images/benigne-lichenoide-keratose-3z.jpg) |
| benigne
lichenoïde keratose |
benigne
lichenoïde keratose |
benigne
lichenoïde keratose |
![benigne lichenoide keratose (click on photo to enlarge) [source: www.huidziekten.nl] benigne lichenoide keratose](../../../images/benigne-lichenoide-keratose-4z.jpg) |
![benigne lichenoide keratose (click on photo to enlarge) [source: www.huidziekten.nl] benigne lichenoide keratose](../../../images/benigne-lichenoide-keratose-5z.jpg) |
![benigne lichenoide keratose (click on photo to enlarge) [source: www.huidziekten.nl] benigne lichenoide keratose](../../../images/benigne-lichenoide-keratose-6z.jpg) |
| benigne
lichenoïde keratose |
benigne
lichenoïde keratose |
benigne
lichenoïde keratose |
Epidemiologie:Komt vooral voor tussen de 36-87
jaar, vaker bij vrouwen (76%) dan bij mannen (33%), m.n. van het Kaukasische
ras.
Pathogenese:Bij het in regressie gaan van een
lentigo solaris of verruca seborroïca spelen de cytotoxische T-cellen de belangrijkste
rol. Daarnaast zijn andere inflammatoire cellen zoal NK-cellen, macrofagen en
Langerhanscellen bij dit proces betrokken. Het precieze mechanisme van T-cel
activering is niet bekend.
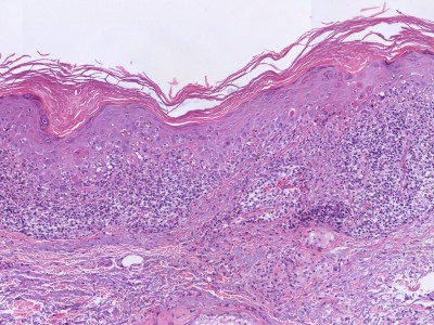
Histologie:Er wordt een
bandvormig rondkernig ontstekingsinfiltraat gezien wat hoofdzakelijk bestaat
uit lymfocyten met verspreid enkele histiocyten en soms ook eosinofielen en
plasmacellen. Daarnaast is er een grensvlakontsteking met vacuolisatie, pigmentincontinentie
en apoptotische keratinocyten (Civatte bodies). Aan de rand van de laesie kunnen
soms nog resten van een lentigo solaris of een verruca seborroïca worden gezien.
![Histologie benigne lichenoide keratosis (click on photo to enlarge) [source: Kevin Kwee / Afdeling Pathologie MUMC] Benigne lichenoide keratosis](../../../pacoupes/thumbnails/benigne-lichenoide-keratosis.jpg) |
|
ingescande coupe (zoom) |
Bron
hoge resolutie PA-foto's: Kevin Kwee en Afdeling Pathologie MUMC. Klik
op de afbeelding om in te zoomen.
Differentiële diagnose:Morbus
Bowen,
actinische keratose,
porokeratosis van Mibelli,
basaalcelcarcinoom,
plaveiselcelcarcinoom,
verruca seborroïca, melanocytaire
laesie (
lentigo senilis,
lentigo maligna, melanoma in situ),
lichen planus.
Therapie:
Expectatief; indien verwijdering gewenst (cosmetisch, jeuk, pijnklachten) kan
cryotherapie, elektrocoagulatie of curettage worden overwogen. Ook lokale corticosteroïden
of Efudix worden genoemd als optie. Excisie kan ook maar is meestal niet de
beste optie voor een oppervlakkige, grote en benigne laesie.
Referenties
| 1. |
Morgan MB, Stevens GL, Switlyk S. Benign
lichenoid keratosis: a clinical and pathologic reappraisal of 1040
cases. Am J Dermatopathol 2005;27:387-892. |
| 2. |
Bayer-Garner IB, Ivan D, Schwartz MR, Tschen
JA. The immunopathology of regression in benign lichenoid keratosis,
keratoacanthoma and halo nevus. Clin Med Res 2004;2:89-97. |
| 3. |
Jang KA, Kim SH, Choi JH, Sung KJ, Moon KC,
Koh JK. Lichenoid keratosis: a clinicopathologic study of 17 patients.
J Am Acad Dermatol 2000;43:511-516. |
| 4. |
Bolognia JL et al. Dermatology, 2nd edition. |
Author(s):dr. Jan R. Mekkes. Dermatologist, Amsterdam UMC.