Reed's nevus (
pigmented spindle cell nevus)
wordt door sommige beschouwd als een aparte entiteit, en door anderen als een
gepigmenteerde variant van een
Spitz naevus. Klinisch
is het een donkerbruin tot zwarte regelmatige naevus, 1.5-10 mm groot, vlak
of licht verheven. De rand kan rafelig zijn, met fijne uitlopers die vooral
met dermatoscopie goed te zien zijn en er uit zien als een 'exploderende ster'
(
starburst pattern). De naevi ontstaan rond het 24e
jaar, meestal aan de extremiteiten, vaker bij vrouwen dan bij mannen. Histologisch
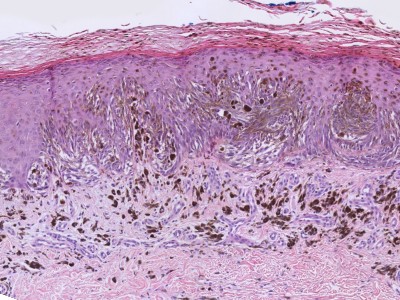
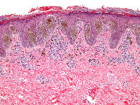
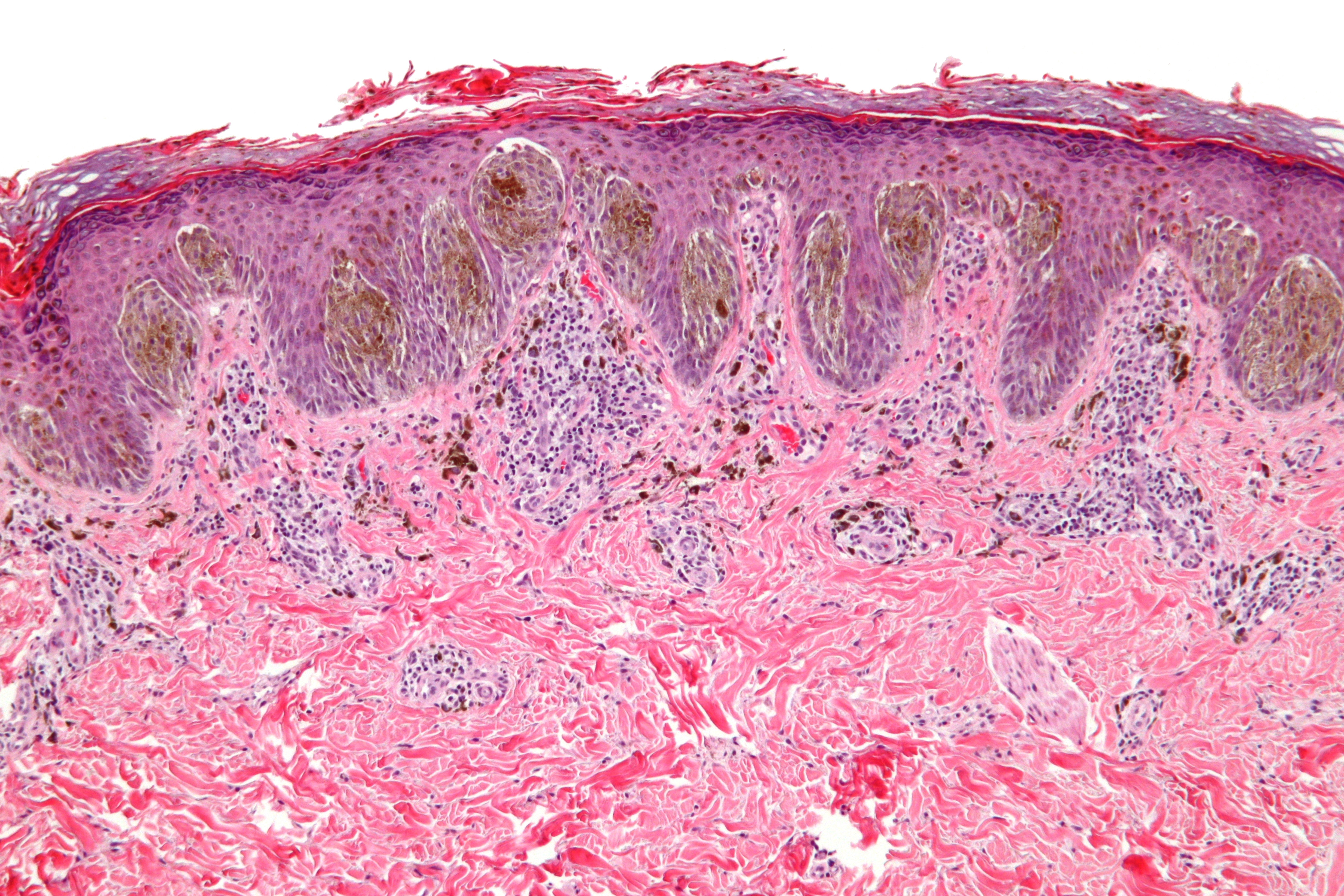
ziet men bundels van slanke spoelcellen, in een regelmatig patroon, meestal
beperkt tot de epidermis, en met veel pigment. De patholoog Ackerman beschouwde
de door Reed beschreven naevus als een aparte entiteit en noemde als belangrijkste
onderscheid met een Spitz naevus de kleine nuclei, de monomorfe ovale vorm van
de spoelcellen, en de beperking van de laesie tot de epidermis en papillaire
dermis.
| Kenmerken: |
Spitz naevus: |
Reed naevus: |
| man / vrouw |
gelijk |
vooral vrouwen |
| leeftijd |
< 10 jaar |
25 (3-66) jaar |
| voorkeurslokalisatie |
gelaat, nek, bovenbeen |
extremiteiten |
| kleur |
roze, rood, bruin, zwart |
egaal donkerbruin tot zwart |
| vorm |
bolvormig |
vlak |
| PA |
epitheloidcellen en spoelcellen |
spoelcellen, slank, kleine nuclei |
DD: Spitz naevus,
atypische (dysplastische) naevus,
STUMP
(Spitzoid tumor of uncertain malignancy),
melanoom,
blue naevus,
gepigmenteerd basaalcelcarcinoom.
Zie ook
overzicht naevi, macula en
tumoren.
Therapie:

Excisie in
toto.
De eerste excisie is vaak diagnostisch, met een marge van 2-3 mm, om
een melanoom of atypische naevus uit te sluiten. Indien de patholoog het beschouwt
als een gepigmenteerde spoelcel naevus, zonder enige twijfel, en zonder atypische
kenmerken, en als de marges vrij zijn, dan kan het daarbij blijven. Indien de
randen niet vrij zijn, of indien er atypische kenmerken zijn of twijfel, is
re-excisie met een marge van 5-10 mm nodig.
Author(s):
dr. Jan R. Mekkes. Dermatologist, Amsterdam UMC.