Het spectrum van
Spitzoïde tumoren omvat
Spitz naevus (benigne),
Spitz melanocytoma (intermediate) en
Spitz melanoma (maligne). Het kan moeilijk zijn om deze van elkaar te onderscheiden. Daarom is het begrip
STUMP (
Spitzoid Tumor of Unknown Malignant Potential) (synoniem: atypical Spitz tumor of uncertain biologic potential) geïntroduceerd voor een tumor die zowel kenmerken heeft van een Spitz naevus als van een Spitz melanoom. De diagnose wordt gesteld als de patholoog een melanoom niet met zekerheid kan uitsluiten. Een STUMP komt vooral voor op jonge leeftijd, net als een Spitz naevus. Een melanoom is zeldzaam op jonge leeftijd, maar het kan wel. De prognose van STUMP laesies, mits geëxcideerd, is goed.
![STUMP, Spitzoid melanoma (click on photo to enlarge) [source: www.huidziekten.nl] STUMP, Spitzoid melanoma](../../../images/spitzoid-melanoma-stump-1z.jpg) |
![STUMP, Spitzoid melanoma (click on photo to enlarge) [source: www.huidziekten.nl] STUMP, Spitzoid melanoma](../../../images/spitzoid-melanoma-stump-2z.jpg) |
| STUMP |
dermatoscopie |
![STUMP, Spitzoid melanoma (click on photo to enlarge) [source: www.huidziekten.nl] STUMP, Spitzoid melanoma](../../../images/spitzoid-melanoma-stump-3z.jpg) |
![STUMP, Spitzoid melanoma (click on photo to enlarge) [source: www.huidziekten.nl] STUMP, Spitzoid melanoma](../../../images/spitzoid-melanoma-stump-4z.jpg) |
| STUMP |
STUMP |
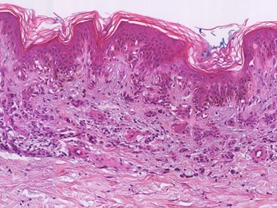
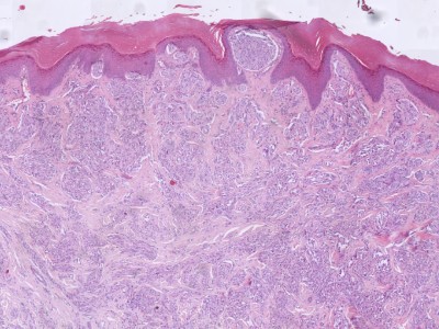
![Histologie STUMP (click on photo to enlarge) [source: Kevin Kwee / Afdeling Pathologie MUMC] Histologie STUMP](../../../pacoupes/thumbnails/STUMP-1.jpg) |
![Histologie STUMP (click on photo to enlarge) [source: Kevin Kwee / Afdeling Pathologie MUMC] Histologie STUMP](../../../pacoupes/thumbnails/STUMP-2.jpg) |
|
ingescande coupe (zoom) |
ingescande coupe (zoom) |
In de nieuwe WHO classificatie uit 2018 werd de term
Spitzoid melanocytoma voorgesteld voor de tussenvormen tussen Spitz naevus en Spitz melanoom. Eerder werd daarvoor de term
atypical Spitz tumor gebruikt.
Bij een
Spitzoid melanocytoma is het soms (maar helaas niet altijd) mogelijk om op basis van histologie en melanocytaire markers en mutatie analyses het onderscheid te maken tussen
low-grade en
high-grade Spitz melanocytoma, waarbij high grade betekent meer maligne kenmerken. Bij low-grade Spitz melanocytoma is volgens de EORTC Melanoma Group (2021) een re-excisie niet nodig als de diagnostische excisie met een klinische marge van 2 mm werd uitgevoerd (de histologische marge is dan meestal 1 mm door krimp bij het verwerken). Als geen diagnostische excisie werd gedaan maar een biopt wordt een krappe re-excisie aanbevolen met een marge van 2 mm (1-3 mm). Bij high-grade Spitz melanocytoma wordt (ook voor de andere varianten van melanocytoma) een marge van 5-10 mm geadviseerd. Een marge van 5 mm is waarschijnlijk voldoende (zie verder).
In een recent artikel van de Children's Oncology Group (2025) wordt geadviseerd om de term STUMP te handhaven, omdat het soms voor de patholoog onmogelijk is om onderscheid te maken tussen low-grade of high-grade Spitz melanocytoma of Spitz melanoma. De term STUMP impliceert dat een melanoom niet kan worden uitgesloten; daarom werd voorheen geadviseerd STUMP te behandelen als een melanoom, met een re-excisie marge van 1 cm indien mogelijk.
Op locaties waar het moeilijk is om die marge eenvoudig te bereiken zoals op
kritische plaatsen in het gelaat is 5 mm marge en alles tussen 5 en 10 mm
ook acceptabel. Een schildwacht procedure is niet zinvol. De Children's Oncology Group heeft gekeken naar de prognose van STUMP bij 5 of 10 mm re-excisiemarge: er is geen verschil, daarom wordt
nu 5 mm aanbevolen.
DD:Spitz naevus,
(juveniel)
melanoom,
naevus naevocellularis,
dysplastische naevus, naevus van
Clark,
naevus van Reed,
blue nevus.
Zie ook
overzicht naevi en tumoren,
MELTUMP,
SAMPUS,
en
melanocytoma.
Therapie:Het advies is om bij laesies verdacht voor atypische Spitzoïde tumoren een diagnostische excisie te doen met een marge van 2 mm. Indien de diagnose STUMP wordt gesteld is het advies re-excisie met een marge van 5 mm (Children's Oncology Group, 2025).
| Diagnostiek: |
PA: |
Re-excisie: |
punchbiopt (niet aanbevolen) |
low-grade Spitz melanocytoma |
ja, marge 2 (1-3) mm |
| high-grade Spitz melanocytoma |
ja, marge 5-10 mm |
| STUMP |
ja, marge 5 mm |
diagnostische excisie 2 mm |
low-grade Spitz melanocytoma |
nee |
| high-grade Spitz melanocytoma |
ja, marge 5-10 mm |
| STUMP |
ja, marge 5 mm |
Nacontrole (follow-up) bij STUMP:De Nederlandse richtlijn melanoom geeft geen adviezen over wat de follow-up zou moeten zijn bij STUMP en bij andere intermediate melanocytaire laesies (
melanocytomen).
In recente internationale richtlijnen wordt er soms van uitgegaan dat de diagnose STUMP conform de WHO indeling niet meer bestaat en dat de patholoog het moet afgeven als low-grade of high-grade Spitz melanocytoma, of als een Spitz(oid) melanoma. Bij melanoom wordt het melanoom controle schema gevolgd. Bij low-grade Spitz melanocytoma is geen nacontrole nodig. Bij high-grade Spitz melanocytoma is het advies 2 keer per jaar controle gedurende 5 jaar (de
la Fouchardiere A. et al. / EORTC Melanoma Group, 2021). Dat is een intensief schema, lijkend op het controle schema bij een melanoom dikker dan 1 mm (1e jaar: 1 keer per 3 maanden controle; 2e jaar: 1 keer per 6 maanden controle; 3e tot en met 5e jaar: 1 keer per jaar controle).
Soms is het toch niet mogelijk om een Spitz(oid) melanoom met zekerheid uit te sluiten en blijft de PA-diagnose STUMP gehandhaafd. In dat geval zou men het schema voor high-grade melanocytomen kunnen volgen (2 keer per jaar gedurende 5 jaar), of het schema voor melanomen, dat afhankelijk is van de Breslow-dikte (als er een Breslow dikte is vermeld in de PA-uitslag).
Het EORTC advies voor follow-up bij high-grade melanocytomen lijkt overbehandeling / overdiagnostiek, omdat het sterk afwijkt van het advies bij een melanoom met een Breslow tot 1 mm (controle na 1 maand, daarna geen follow-up meer nodig), terwijl de prognose voor melanocytoma veel beter is dan voor een dun melanoom. In een klinische les in het NTVG van van den Broeke et al. (2023) wordt er ook getwijfeld aan dit advies en kiest men voor de formulering ‘high-grade melanocytomen:
eventueel nacontrole 2 keer per jaar gedurende 5 jaar’.
Het nut van nacontroles wordt overschat. Er kan een lokaal recidief of een in-transit metastase ontstaan maar dat is te ondervangen door de patiënt te instrueren om bij nieuwe laesies een afspraak te maken voor controle. Er kunnen lymfkliermetastasen zijn, maar vaak zijn er al cellen gemigreerd naar de lymfklieren bij Spitzoïde laesies zonder dat dit leidt tot klinisch vergrote lymfklieren en zonder consequenties voor de prognose. Daarom wordt ook geen schildwachtklier onderzoek meer gedaan. Er kunnen metastasen in organen zijn maar de kans daarop is zeer klein en het is niet op te sporen zonder afbeeldend onderzoek. En afbeeldend onderzoek wordt alleen gedaan bij klinische symptomen die wijzen op metastasen. In het zeer zeldzame geval dat die er zijn volgt behandeling met gerichte oncologische medicatie (targeted therapy); vroegdiagnostiek levert geen bijdrage aan de prognose.
Omdat de Nederlandse richtlijn hier (nog) geen antwoord op geeft is het aan de dermatoloog om voor de follow-up bij STUMP een keuze te maken tussen het schema 2 keer per jaar gedurende 5 jaar, of het schema zoals bij een melanoom, dat afhankelijk is van de Breslow-dikte.
Er zijn ook dermatologen die besluiten dat na radicale excisie van een STUMP
(of een melanocytoma) alleen een éénmalige nacontrole nodig is, voor het
beantwoorden van eventuele vragen, en voor instructies voor zelf-onderzoek,
en dat daarna helemaal geen nacontrole meer nodig is, net als bij een
in-situ melanoom of een stadium 1A melanoom (Breslow-dikte tot 1 mm). Er
wordt op dit moment gewerkt aan de richtlijn melanoom en daarbij wordt ook
gekeken naar wat de follow-up adviezen zouden moeten zijn bij STUMP en bij
de nieuwe categorie melanocytomen.
| PA-diagnose: |
Follow-up: |
| Low-grade Spitz melanocytoma |
geen nacontrole nodig |
| High-grade Spitz melanocytoma |
2 keer per jaar controle gedurende 5 jaar |
| STUMP, Breslow-dikte tot 1 mm |
eenmalig controlebezoek een maand na excisie; daarna zo
nodig, met instructie zelf controle |
| STUMP, Breslow-dikte > 1 mm |
1e jaar: 1 keer per 3 maanden controle; 2e jaar: 1 keer
per 6 maanden controle; 3e tot en met 5e jaar: 1 keer per
jaar controle. |
Referenties
| 1. |
Barnhill RL. The Spitzoid lesion: rethinking
Spitz tumors, atypical variants, 'Spitzoid melanoma' and risk assessment.
Modern Pathology 2006;19:S21-S33.
|
| 2. |
Ludgate MW, Fullen DR, Lee J, Lowe L, Bradford
C, Geiger J, Schwartz J, Johnson TM. The Atypical Spitz Tumor of
Uncertain Biologic Potential. A Series of 67 Patients From a Single
Institution. Cancer 2009;115:631-641.
PDF |
| 3. |
Tom WL, Hsu JW, Eichenfield LF, Friedlander
SF. Pediatric 'STUMP' lesions: Evaluation and management of difficult
atypical Spitzoid lesions in children. Journal of the American Academy
of Dermatology 2011;64:559-572.
PDF |
| 4. |
de la Fouchardiere A, Blokx W, van Kempen
LC, Luzar B, Piperno-Neumann S, Puig S, Alos L, Calonje E, Massi
D; ESP Dermatopathology Working Group; EORTC Melanoma Group;
EURACAN. ESP, EORTC, and EURACAN Expert Opinion: practical
recommendations for the pathological diagnosis and clinical
management of intermediate melanocytic tumors and rare related
melanoma variants. Virchows Arch 2021;479(1):3-11.
PDF |
| 5. |
Sargen MR, Barnhill RL, Elder DE, Swetter
SM, Prieto VG, Ko JS, Bahrami A, Gerami P, Karunamurthy A, Pappo
AS, Schuchter LM, LeBoit PE, Yeh I, Kirkwood JM, Jen M, Dunkel
IJ, Durham MM, Christison-Lagay ER, Austin MT, Aldrink JH,
Mehrhoff C, Hawryluk EB, Chu EY, Busam KJ, Sondak V, Messina J,
Puig S, Colebatch AJ, Coughlin CC, Berrebi KG, Laetsch TW,
Mitchell SG, Seynnaeve B. Evaluation and Surgical Management of
Pediatric Cutaneous Melanoma and Atypical Spitz and Non-Spitz
Melanocytic Tumors (Melanocytomas): A Report From Children's
Oncology Group. J Clin Oncol 2025;43(9):1157-1167.
PDF |
| 6. |
Patel D, Chawla R, Patel AJK. Clinical
features and outcomes of paediatric Spitz-type lesions. J Plast
Reconstr Aesthet Surg 2024;97:282-286.
PDF |
| 7. |
Yeh I. Melanocytic naevi, melanocytomas
and emerging concepts. Pathology 2023;55(2):178-186.
PDF |
| 8. |
Chatzopoulos K, Syrnioti A, Linos K.
Spitz Melanocytic Tumors: A Fascinating 75-Year Journey. Genes
(Basel) 2024;15(2):195.
PDF |
| 9. |
Varey AHR, Williams GJ, Lo SN, Taing CY, Maurichi A, Santinami M, Scolyer RA, Thompson JF. Clinical management of melanocytic tumours of uncertain malignant potential (MelTUMPs), including melanocytomas: A systematic review and meta-analysis. J Eur Acad Dermatol Venereol 2023;37(5):859-870.
PDF |
| 10. |
van den Broeke LR, Ebbelaar CF, Hayes DP, Bousema MT, Blokx WAM. Melanocytoom, intermediair tussen naevus en melanoom [Melanocytoma, an intermediate entity between nevus and melanoma: implications of the WHO classification of melanocytic skin tumours]. Ned Tijdschr Geneeskd 2023;167:D7095.
PDF |
Author(s):dr. Jan R. Mekkes. Dermatologist, Amsterdam UMC.