Kikuchi-Fujimoto disease (
histiocytic
necrotizing lymphadenitis) is een zeldzame en goedaardige
reactieve lymfadenopathie, die vanzelf weer overgaat.
Het is voor het eerst beschreven in 1972 door de Japanse pathologen Kikuchi
en Fujimoto. De belangrijkste verschijnselen zijn
koorts
(1 week tot 1 maand durend) en een
pijnlijke zwelling van lymfklieren,
vaak éénzijdig in de hals. Het komt voornamelijk voor bij Aziatische patiënten.
De oorzaak is onbekend. Men neemt aan dat het een reactie is van het immuunsysteem
op een virale infectie. Diverse virusinfecties (EBV, HSV, VZV, HHV-6, 7, en
8, parvovirus B19, paramyxovirus, parainfluenza virus, rubella, CMV, hepatitis
B virus, HIV, HTLV-1, dengue) zijn genoemd als mogelijke oorzaak, maar er is
geen sluitend bewijs daarvoor gevonden. De patiënten hebben vaak een specifiek
HLA (human leukocyte antigen) klasse II genotype, vooral HLA-DPA1 en HLA-DPB1,
en deze komen meer voor in Azië, en predisponeren voor het krijgen van auto-immuunziekten
zoals SLE, Wegener, Sjögren syndroom en auto-immuunthyreoïditis. Een deel van
de patiënten waarbij de diagnose Kikuchi-Fujimoto disease is gesteld krijgt
in een latere fase SLE, het wordt daarom geadviseerd om daar alert op te zijn.
![Kikuchi-Fujimoto disease (click on photo to enlarge) [source: www.huidziekten.nl] Kikuchi-Fujimoto disease](../../../images/Kikuchi-Fujimoto-disease-1z.jpg) |
| Kikuchi-Fujimoto
disease |
Klinisch beeld:Kikuchi-Fujimoto disease ontwikkelt
zich in 2-3 weken. De lymfadenopathie is het meest kenmerkende symptoom. De
gezwollen klieren zijn circa 1-2 cm groot, soms tot 7 cm, pijnlijk, en vaak
éénzijdig gelokaliseerd in de nek of de hals. Ook gegeneraliseerde lymfadenopathie
komt voor. Circa de helft van de patiënten heeft koorts, soms met koude rillingen.
Andere klachten kunnen zijn vermoeidheid, afvallen, nachtzweten, artritis, hepatosplenomegalie.
Het komt iets vaker voor bij vrouwen. Bij circa 30-40% van de patiënten, vooral
bij kinderen, zijn er ook huidafwijkingen zoals erythemateuze macula, papels,
plaques of nodi, waarin histologisch het zelfde infiltraat wordt gevonden als
in de lymfklieren. Meestal gelokaliseerd in het gelaat, de bovenste extremiteiten
of de romp. Andere beschreven huidafwijkingen zijn urticaria, morbilliforme
rash, erythema multiforme, Oedeem van de oogleden, lichen planus-achtige laesies,
alopecia, erythematosquameuze plaques, leukocytoclastische vasculitis, en malar
rash. Ook slijmvlieslaesies komen voor (ulcera, erytheem, rode conjunctivae).
In zeldzame gevallen zijn er ook neurologische klachten zoals aseptische meningitis,
neuritis optica, en meningoencephalitis.
DD:
Hodgkin
lymfoom,
non-Hodgkin lymfoom, plasmacytoïd T-cellymfoom, nodale kolonisatie
van AML,
cat-scratch disease,
mononucleosis infectiosa,
ziekte van Kawasaki,
lymfadenitis bij
herpes,
lues,
tuberculose,
histoplasmose,
lepra,
SLE-geassocieerde
lymfadenopathie, metastase van adenocarcinoom.
Diagnostiek:
Biopt van huidlaesie als die er is; excisie van een lymfklier of echogeleide
punctie van lymfklieren. De diagnose wordt gesteld op het histologisch beeld.
Lab: bloedbeeld (verhoogde BSE, soms leukopenie, anemie, atypische lymfocyten).
Leverenzymen en LDH. Overleg met hematologie. Een beenmergpunctie is niet nodig
maar wordt soms wel gedaan omdat gedacht wordt aan een Hodgkin lymfoom of andere
hematologische maligniteiten.
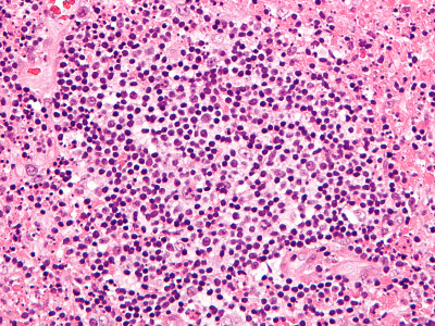
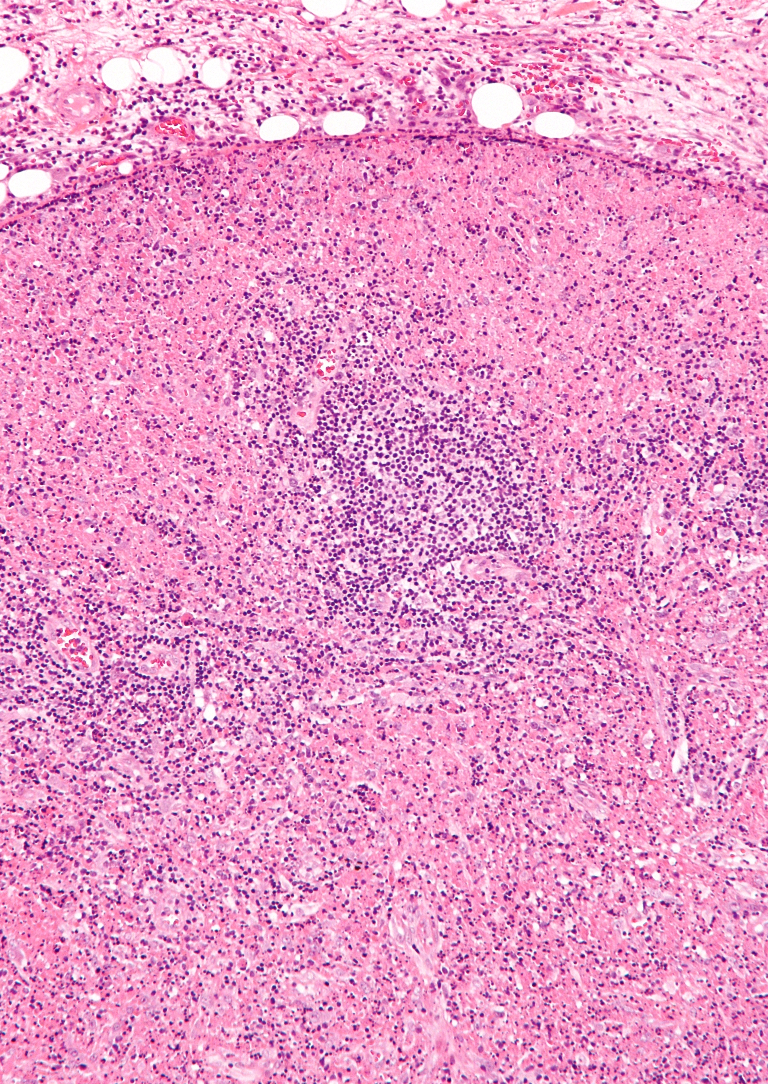
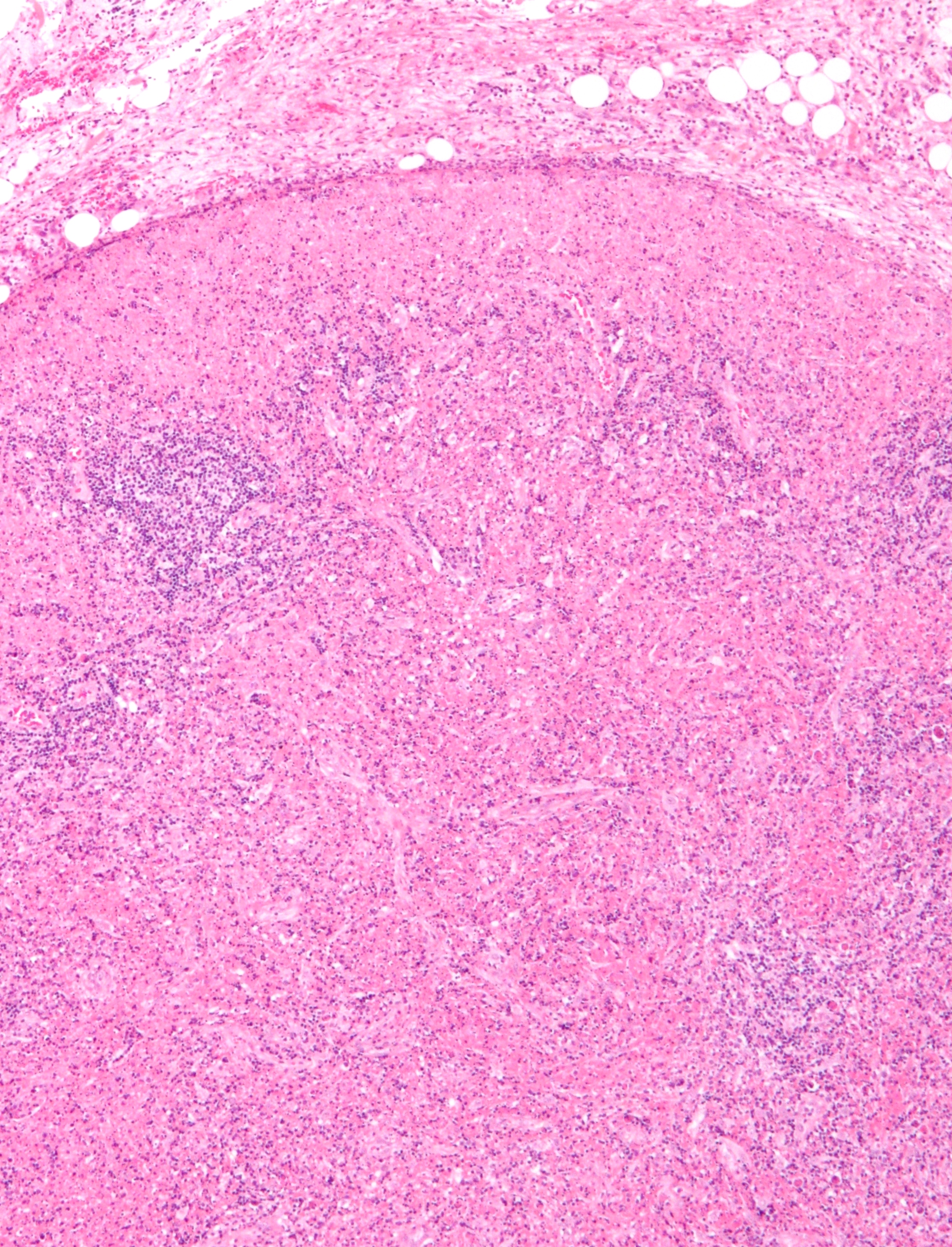
PA:De opbouw van de
lymfklier is verstoord, met folliculaire hyperplasie en necrose van de cortex
en paracortex. Er is een uitgebreid infiltraat van histiocyten met halvemaan-vormige
nuclei, lymfocyten, en immunoblasten. Geen neutrofielen. Soms eosinofielen.
De T-lymfocyten zijn CD8-positief, de histiocyten zijn positief voor CD68, myeloperoxidase,
lysozym, CD163, CD68, en CD4, CD123 is positief in plasmacytoïde dendritische
cellen. De histologische afwijkingen zijn afhankelijk van de fase waarin wordt
gebiopteerd. In het begin (proliferatieve fase) is er folliculaire hyperplasie
en is de paracortex ingenomen door een infiltraat bestaande uit zeer veel lymfocyten,
histiocyten, en T- en B-cel immunoblastaire cellen. Het beeld kan lijken op
een lymfoom. Daarna volgt de necrotische fase met fagocytose van kernpuin en
een voornamelijk histiocytair infiltraat. En tenslotte de xanthomateuze fase
met aggregaten van schuimcellige histiocyten.
![Kikuchi-Fujimoto disease (click on photo to enlarge) [source: Michael Bonert (Nephron) - Wikimedia - Creative Commons License 3.0] Kikuchi-Fujimoto disease](../../../images/Kikuchi-Fujimoto-disease-2z.jpg) |
![Kikuchi-Fujimoto disease (click on photo to enlarge) [source: Michael Bonert (Nephron) - Wikimedia - Creative Commons License 3.0] Kikuchi-Fujimoto disease](../../../images/Kikuchi-Fujimoto-disease-3z.jpg) |
![Kikuchi-Fujimoto disease (click on photo to enlarge) [source: Michael Bonert (Nephron) - Wikimedia - Creative Commons License 3.0] Kikuchi-Fujimoto disease](../../../images/Kikuchi-Fujimoto-disease-4z.jpg) |
|
Kikuchi-Fujimoto disease |
Kikuchi-Fujimoto disease |
Kikuchi-Fujimoto disease |
PA-Foto's: Michael Bonert (Nephron) - Wikimedia (Creative Commons License
3.0).
Therapie:Expectatief, pijnstillers (paracetamol,
NSAID’s). In ernstige gevallen prednison.
Prognose:
Het gaat meestal vanzelf over in enkele weken tot maanden. Het kan recidiveren.
Er zijn ernstige complicaties beschreven zoals hartfalen, hemofagocytair syndroom
en bloedingen in de longen, maar dat is extreem zeldzaam.
Referenties
| 1. |
Kikuchi M. Lymphadenitis Showing Focal Reticulum
Cell Hyperplasia with Nuclear Debris and Phagocytosis. Nippon Ketsueki
Gakkai Zasshi 1972;35:379-380. |
| 2. |
Fujimoto Y, Kojima Y, Yamaguchi K. Cervical
subacute necrotizing lymphadenitis. A new clinicopathological entity.
Naika 1972;20:920-927. |
| 3. |
Bosch X, Guilabert A. Kikuchi-Fujimoto disease.
Orphanet J Rare Dis 2006;1:18. |
| 4. |
Mahajan T, Merriman RC, Stone MJ. Kikuchi-Fujimoto
disease (histiocytic necrotizing lymphadenitis): report of a case
with other autoimmune manifestations. Proc (Bayl Univ Med Cent)
2007 Apr;20(2):149-151. |
| 5. |
Primrose WJ, Napier SS, Primrose AJ. Kikuchi-Fujimoto
disease (Cervical Subacute Necrotising Lymphadenitis): an important
benign disease often masquerading as lymphoma. Ulster Med J 2009;78(2):134-136. |
| 6. |
Obara K, Amoh Y. A case of Kikuchi's disease
(histiocytic necrotizing lymphoadenitis) with histiocytic cutaneous
involvement. Rheumatol Int 2015;35(6):1111-1113. |
| 7. |
van Erven B, Demeyere TBJ, Tick LW,
Nieuwenhuizen L. De ziekte van Kikuchi-Fujimoto: een zeldzame oorzaak
van lymfadenopathie. Nederlands Tijdschrift voor Hematologie 2021;6(3):116-120. |
| 8. |
Deb A, Fernandez V, Kilinc E, Bahmad HF,
Camps NS, Sriganeshan V, Medina AM. Kikuchi-Fujimoto Disease: A
Case Series and Review of the Literature. Diseases 2024;12(11):271.
|
Author(s):dr. Jan R. Mekkes. Dermatologist, Amsterdam UMC.