Folliculotrope mycosis fungoides is een variant van
mycosis fungoides (MF) gekarakteriseerd door de aanwezigheid
van folliculotrope infiltraten, met geen of weinig epidermotropisme, en met
een voorkeur voor het hoofd en de nek (> 80%). Vaak is er ook folliculaire
mucinosis bij aanwezig. Klinisch ziet men folliculaire papels, plaques of tumoren,
vaak met alopecia (lichaamsharen, behaarde hoofd, wenkbrauwen). Ook milia, comedonen
en cysten komen voor. Circa 70% heeft jeuk. De gemiddelde leeftijd is rond de
55 en het komt 2 x zovaak voor bij mannen. Bij kinderen erg zeldzaam. De diagnose
kan worden bevestigd met een biopt, soms zijn meerdere biopten nodig om de diagnose
te bevestigen (er moet een follikel worden getroffen). De prognose is slechter
dan bij de gewone MF, het reageert minder goed op standaardbehandelingen zoals
PUVA therapie of mechlorethamine. Opties zijn totale electronen beam bestraling,
radiotherapie, PUVA in combinatie met alpha IFN, bexaroteen.
![Folliculair lymfoom (click on photo to enlarge) [source: www.huidziekten.nl] Folliculair lymfoom](../../../images/folliculair-lymfoom-1z.jpg) |
![Folliculair lymfoom (click on photo to enlarge) [source: www.huidziekten.nl] Folliculair lymfoom](../../../images/folliculair-lymfoom-2z.jpg) |
![Folliculair lymfoom (click on photo to enlarge) [source: www.huidziekten.nl] Folliculair lymfoom](../../../images/folliculair-lymfoom-3z.jpg) |
| folliculotroop
lymfoom |
folliculotroop
lymfoom |
folliculotroop
lymfoom |
Mycosis fungoides (MF) is de meest voorkomende variant (circa 50%) van
het cutaan T-cel lymfoom. Bij de klassieke MF ziijn er plaques op de billen,
romp en extremiteiten, meestal op niet aan de zon blootgestelde huid. Het heeft
een langzaam progressief beloop, en het kan vele jaren duren voordat de diagnose
gesteld wordt. Maar er bestaat ook een agressievere variant met nodi en tumoren
en orgaanlocalisaties. Naast de klassieke MF bestaan er meerdere klinische varianten,
zoals erytrodermische, gehypopigmenteerde, gehyperpigmenteerde, bulleuze / vesiculeuze,
poikiloderma type, folliculotrope, syringotrope, granulomateuze, en symptoomloze
MF. De meeste van die klinische subtypen gedragen zich hetzelfde als de klassieke
MF en worden niet apart geclassicifeerd in de WHO-EORTC classification. Folliculotrope
MF wordt wel apart geclassificeerd, net als
pagetoide reticulosis en
granulomatous
slack skin (GSS), omdat deze varianten een ander klinisch beloop en prognose
hebben dan de klassiek MF. Circa 10% van de MF is folliculotroop. Zie ook onder
cutaan T-cel lymfoom.
Let op, er bestaat ook een folliculair lymfoom, dat is wat anders, hiermee wordt
bedoeld een B-cel lymfoom dat zich ontwikkelt in de follikels binnen een lymfklier.
DD: lichen
spinulosis,
keratosis pilaris,
folliculaire lichen planus (lichen planopilaris),
Lassueur
Graham-Little Piccardi syndroom,
pityriasis rubra pilaris (daarbij is er keratosis pilaris vooral op de
knieën, vingers, polsen),
frictional lichenoid eruption.
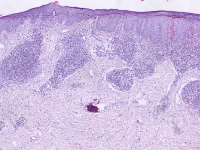
PA:Infiltraat rond de haarfollikels (folliculotropism)
zonder spongiose, met atypische CD4+ T-lymfocyten. Vaak folliculaire mucinosis.
Andere kenmerken kunnen zijn verwijd infundibulum, perivasculaire en periadnexale
dermale infiltraten, Langerhans cellen, eosinofielen en plasmacellen, infiltraten
rond zweetklieren (syringotropisme). Weinig of geen epidermotropism. De lymfocyten
kunnen klein zijn, gemiddeld, of groot blastocytair. Soms CD30+.
![Histologie folliculotrope mycosis fungoides (click on photo to enlarge) [source: Kevin Kwee / Afdeling Pathologie MUMC] Histologie folliculotrope mycosis fungoides](../../../pacoupes/thumbnails/folliculotrope-mycosis-fungoides-1.jpg) |
![Histologie folliculotrope mycosis fungoides (click on photo to enlarge) [source: Kevin Kwee / Afdeling Pathologie MUMC] Histologie folliculotrope mycosis fungoides](../../../pacoupes/thumbnails/folliculotrope-mycosis-fungoides-2.jpg) |
|
ingescande coupe (zoom) |
ingescande coupe (zoom) |
Therapie:R/ corticosteroïden klasse 3-4.
R/ bexarotene
gel.
R/ mechlorethamine lokaal.
R/ resiquimod (niet in Nederland beschikbaar).
R/ lichttherapie: narrowband UVB (311 nm), PUVA.
R/ PEG interferon alfa2a
injectievloeistof '135'
(270 microg/ml)
pen 0.5 ml, wegwerpspuit 0.5 ml, 1 x per week.
R/ bexarotene.
R/ methotrexaat.
R/ gemcitabine, liposomal doxorubicin,
polychemotherapie, pralatrexate.
R/ brentuximab vedotine.
R/ alemtuzumab.
R/ radiotherapie lokaal of totale electronen beam bestraling.
R/ extracorporele
fotoferese.
R/ stamcel transplantatie.
Prognose:
Studies uit 2000 noemen een 5-jaars survival van 66-80%, vergelijkbaar met de
prognose van klassieke tumor-stage MF. Mitteldorf et al. beschreven dat het
beloop bij sommige patiënten veel gunstiger is en onderscheiden twee varianten,
een early / indolent variant met 5 en 10 jaar survival van respectievelijk 92%
en 72%, en een advanced / aggressive variant met een 5 en 10 jaar survival van
respectievelijk 55% en 28%. Bij het early / indolent type zijn er vooral laesies
op de romp, is het hoofd hals gebied minder betrokken en zijn er oppervlakkigere
en minder dichte infiltraten. Bij het advanced / aggressive type is vooral het
hoofd en de nek betrokken, zijn er ook plaques en noduli of tumoren, en zijn
de infiltraten dieper en dichter. In onderstaande tabel zijn de verschillen
genoemd. Het onderscheid tussen beide subtypen is niet bij alle patiënten duidelijk
te maken.
| Kenmerken: |
Early / indolent FMF: |
advanced / aggressive FMF: |
| Distributie |
Romp en extremiteiten (100%), hoofd (37%). Geen patiënten
waarbij alleen het hoofd is aangedaan. |
Hoofd en nek doen mee bij 100%. Bij 20% is alleen het hoofd
aangedaan. |
| Jeuk |
47% |
80% |
| Dichtheid infiltraat |
Laag |
Hoog |
| Gemiddelde diepte infiltraat |
1.77 mm |
3.06 mm |
| Syringotropisme |
25.6% |
56.3% |
| Eosinofielen |
11.3% |
61.5% |
| Plasmacellen |
1.9% |
23% |
Mitteldorf C, Stadler R, Sander CA, Kempf W. Folliculotropic mycosis fungoides.
J Dtsch Dermatol Ges 2018;16(5):543-557.
Referenties
| 1. |
van Doorn R et al. Follicular mycosis fungoides,
a distinct disease entity with or without associated follicular
mucinosis. Arch Dermatol 2002;138(2):191-198. |
| 2. |
Willemze R, Jaffe ES, Burg G, et al. WHOEORTC
classification for cutaneous lymphomas. Blood 2005;105:3768-3785. |
| 3. |
Willemze R. Mycosis fungoides variants-clinicopathologic
features, differential diagnosis, and treatment. Semin Cutan Med
Surg 2018;37(1):11-17.
PDF |
| 4. |
Mitteldorf C, Stadler R, Sander CA, Kempf
W. Folliculotropic mycosis fungoides. J Dtsch Dermatol Ges 2018;16(5):543-557.
PDF |
| 5. |
Lovgren ML, Scarisbrick JJ. Update on skin
directed therapies in mycosis fungoides. Chin Clin Oncol 2019;8(1):7.
PDF |
Author(s):dr. Jan R. Mekkes. Dermatologist, Amsterdam UMC.