SUBCUTANEOUS PANNICULITIS-LIKE T-CELL LYMPHOMA home ICD10: C86.3

Subcutaneous panniculitis-like T-cell lymphoma (SPTL) is een zeldzame variant van primair cutaan T-cel lymfoom waarbij het infiltraat zich beperkt tot het subcutane vet. Klinisch beeld: diep gelegen vast aanvoelende nodi en plaques met een diameter van 2 tot 20 cm, vooral op de romp, extremiteiten en gelaat. Het beeld lijkt op een panniculitis. Het is langzaam progressief. Het kan geassocieerd zijn met een hemofagocytair syndroom. De diagnose is moeilijk te stellen. Er zijn twee varianten van subcutaneous panniculitis-likeT-cell lymphoma, met verschillende histologie, immunofenotype en prognose. De ene vorm heeft een alpha/beta, CD8 positief fenotype, beperkt zich tot de subcutis, en is langzaam progressief. Er is een andere vorm met een gamma/delta fenotype, CD8 negatief, vaak CD56+, en deze beperkt zich niet tot de subcutis en heeft een slechte prognose. In de ORTC classificatie is afgesproken dat met subcutaneous panniculitic cutaneous T-cell lymphoma alleen de alpha/beta, CD8 positieve vorm wordt bedoeld. De gamma/delta vorm wordt geclassificeerd als cutaan gamma/delta T-cellymfoom (perifeer T-cellymfoom nno). Zie ook onder cutane lymfomen.

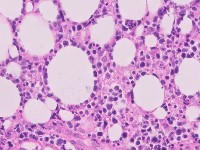
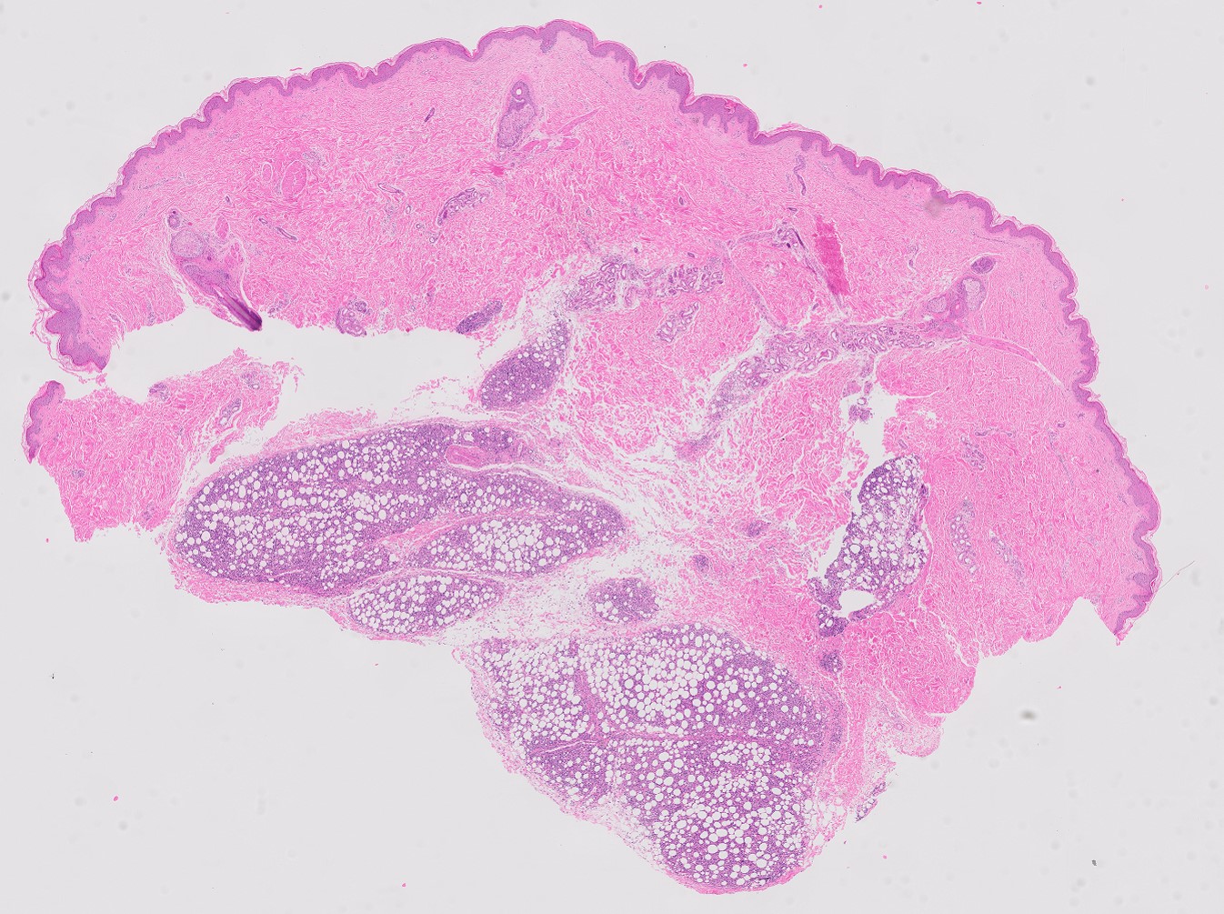
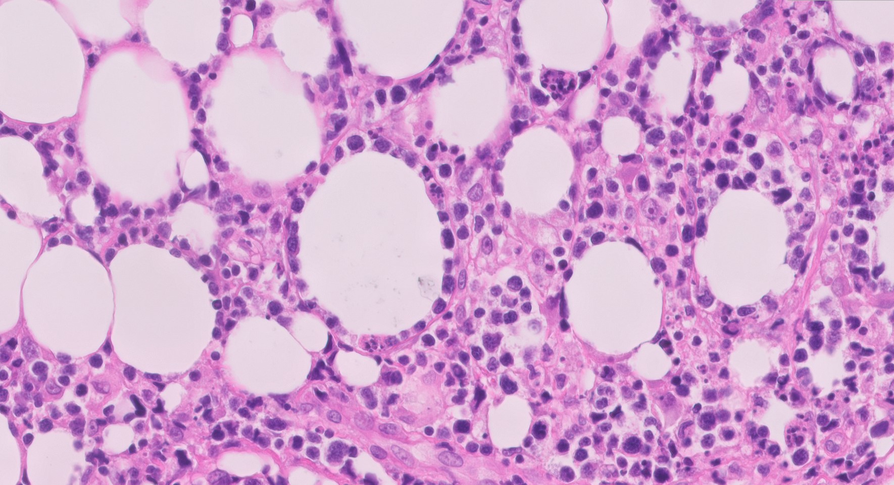
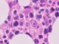
Subcutaneous panniculitis-like T-cell lymphoma PA subcutaneous panniculitis-like T-cell lymphoma
SPTL histologisch beeld

PA subcutaneous panniculitis-like T-cell lymphoma PA subcutaneous panniculitis-like T-cell lymphoma
histologisch beeld histologisch beeld

PA-foto's: dr. E.J. Kooi, patholoog, Afdeling Pathologie, Amsterdam UMC.


Subcutaneous panniculitis-like T-cell lymphoma:
  SPTL-AB SPTL-GD
Immunofenotype
- T-celreceptor
- T-celfenotype
- co-expressie CD56

βF1+, TCRδ1-
CD3+, CD4-, CD8+
afwezig

βF1-, TCRδ1+
CD3+, CD4-, CD8-
frequent (60%)
Infiltraat alleen subcutis subcutis en (epi)dermis
Kliniek nodi en plaques
zelden ulceratie
nodi en plaques
vaak ulceratie
Hemofagocytair
syndroom
17% 50%
5-jaarsoverleving
- zonder HFS
- met HFS

91%
46%

11%
11%


Therapie:
R/ methotrexaat 10-22.5 mg per week.
R/ Targretin (bexaroteen) tab à 75 mg, 300 mg/m² lichaamsoppervlak 1 dd.
R/ andere chemotherapeutica in overleg met de hematoloog.
Bestraling bij beperkte vormen.


Referenties
1. Willemse R. Diagnostiek en behandeling van cutane lymfomen. Ned Tijdschr Hematol 2008;5:3-11.
2. Willemze R, Jansen PM, Cerroni L, Berti E, Santucci M, Assaf C, et al. Subcutaneous panniculitis-like T-cell lymphoma: definition, classification and prognostic factors. An EORTC Cutaneous Lymphoma Group study of 83 cases. Blood 2008 Jan 15;111(2):838-845.


Author(s):
dr. Jan R. Mekkes. Dermatologist, Amsterdam UMC.

31-05-2023 (JRM / EJK) - www.huidziekten.nl Terug naar homepagina



Diagnosis codes:
ICD10 C86.3 Subcutaan T-cel-lymfoom, panniculitis-achtig
ICD10 C86.3 Subcutaneous panniculitis-like T-cell lymphoma
SNOMED 404133000 Subcutaneous panniculitis-like T-cell lymphoma
DBC 14 Maligne dermatosen