ANGIOENDOTHELIOMATOSIS MALIGNUM home ICD10: C85.1

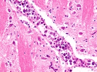
Angio-endotheliomatosis malignum (malignant angioendotheliomatosis) is een zeldzame tumor die intraluminair in capillairen groeit. Aanvankelijk dacht men dat de tumorcellen uitgingen van endotheel, vandaar de naam, maar het blijkt een angiotroop large cell B-cell lymfoom te zijn. Het komt voor in kleine en middelgrote bloedvaten, dat kan zijn in de hersenen, met neurologische complicaties en soms een vasculaire dementie, maar ook elders in de circulatie, en in de vaten van de huid. Klinisch ziet men dan rode, paarse of blauwzwarte macula, plaques, of nodulaire tumoren. Malignant angioendotheliomatosis is meestal snel progressief en fataal, en moeilijk te behandelen. Er bestaat ook een benigne reactieve vorm van angio-endotheliomatosis die wel berust op proliferatie van endotheel (reactive angio-endotheliomatosis).

Angiotroop B-cel lymfoom
angiotroop B-cel lymfoom


Author(s):
dr. Jan R. Mekkes. Dermatologist, Amsterdam UMC.

31-05-2023 (JRM) - www.skin-diseases.eu Terug naar homepagina



Diagnosis codes:
ICD10 C85.1 B-cel-lymfoom, niet gespecificeerd: angiotroop maligne B-cel lymfoomm
ICD10 C85.1 B-cell lymphoma, unspecified: intravascular large B-cell lymphoma
SNOMED 255102004 Angioendotheliomatosis
SNOMED 399648005 Intravascular large B-cell lymphoma
DBC 14 Maligne dermatosen