PRIMAIR CUTAAN GROOTCELLIG B-CEL LYMFOOM home ICD10: C85.1

Een primair cutaan grootcellig B-cel lymfoom is een B-cel lymfoom dat zich als eerste manifesteert in de huid en soms ook beperkt blijft tot de huid. Ongeveer 20-25% van de cutane lymfomen zijn B-cel lymfomen. Het grootcellig B-cel lymfoma komt vaker voor bij mannen. Zelden worden extracutane lokalisaties gezien. De voorkeurslocalisaties zijn het behaarde hoofd, de rug, het coeur en de onderbenen.

De cutane B-cel lymfomen worden onderverdeeld in 3 morfologische groepen:
- primair cutaan marginale zone B-cel lymfoom (PCMZL)
- primair cutaan follikelcentrumlymfoom (PCFCL)
- primair cutaan grootcellig B-cel lymfoom (PCLBCL)

De morfologische typering van een B-cel lymfoom heeft geen betekenis voor de prognose. Volgens de classificatie van de EORTC (European Organization for Research and Treatment of Cancer) kunnen primaire cutane B-cel lymfomen op grond van prognose (agressiviteit) worden onderverdeeld in 3 groepen: het indolente type (follikel centrum, immunocytoom, marginal zone), het intermediate type (grootcellig gelokaliseerd op het been) en het provisional type (intravasculair grootcellig, plastocytoom). Meerdere auteurs beschrijven dat een localisatie aan de onderbenen bij bejaarde patiënten een infauste prognose heeft (5-jaarsoverleving 52%).

Primair cutaan grootcellig B-cellymfoom Primair cutaan grootcellig B-cellymfoom
cutaan B-cel lymfoom cutaan B-cel lymfoom


Primair cutane B-cel lymfomen:
Primary cutaneous B-cell lymphoma
- Primary cutaneous diffuse large cell B-cell lymphoma
     - Angioendotheliomatosis (intravascular B-cell lymphoma)
     - Primary cutaneous anaplastic large cell B-cell lymphoma
     - Primary cutaneous diffuse large cell B-cell lymphoma of lower extremity
- Primary cutaneous follicular centre B-cell lymphoma
- Primary cutaneous marginal zone B-cell lymphoma
     - Primary cutaneous immunocytoma


DD: lymfoma cutis (CTCL), morbus Jessner, erythema migrans arciforme et palpabile, pseudo B-cel lymfoom.

PA:
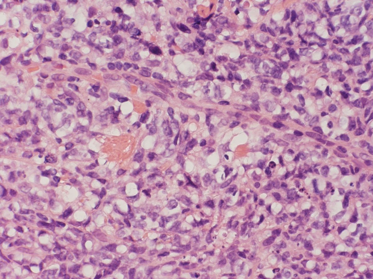
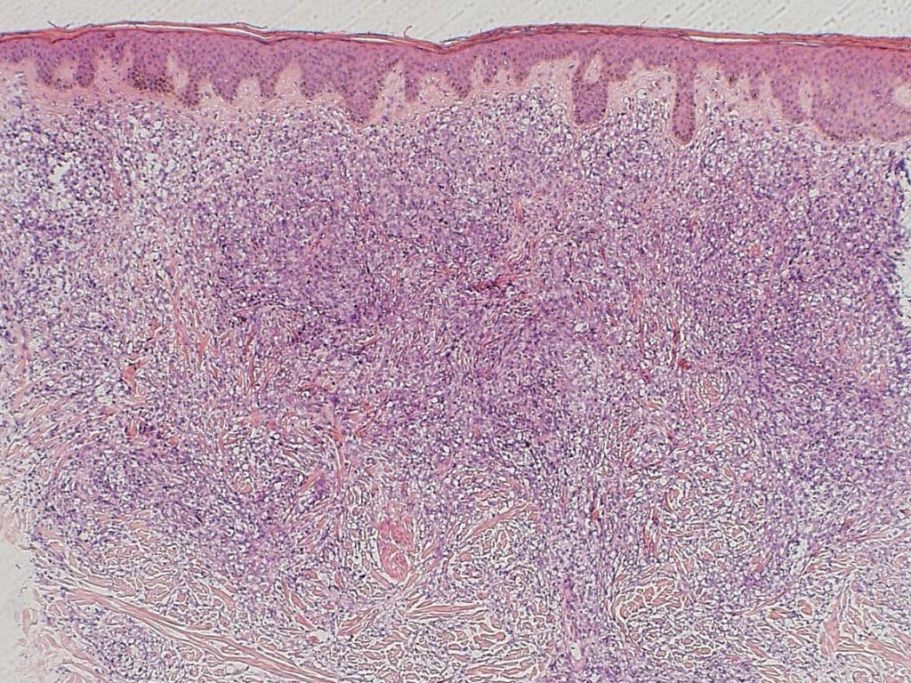
Epidermis geen afwijkingen. In de oppervlakkige dermis bevindt zich een dicht infiltraat van atypische lymfoïde cellen. De lymfoïde cellen tonen vergrote, blazige, gedenteerde kernen, meerdere mitose-figuren zijn zichtbaar. Tussen het infiltraat en de epidermis bevindt zich een vrije zone. De tumorcellen kleuren positief aan voor CD79a, en CD20 en negatief voor CD3. Met moleculair pathologisch onderzoek kan een clonale B-cel populatie worden aangetoond.

Primair cutaan grootcellig B-cellymfoom Primair cutaan grootcellig B-cellymfoom
cutaan B-cel lymfoom cutaan B-cel lymfoom


Diagnostiek:
Algemeen laboratorium onderzoek, X-thorax, beenmerg onderzoek, hematocytologisch onderzoek van het perifere bloed, CT-abdomen.

Therapie:
Bij gelokaliseerde afwijkingen kan gekozen worden voor radiotherapie (30-40 Gy). Bij gegeneraliseerde huidafwijkingen en/of extracutane lokalisaties kiest men bij voorkeur voor CHOP kuren of andere chemotherapiekuren (aan de hematoloog).


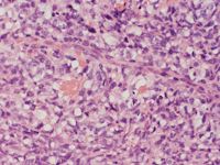
Primair cutaan grootcellig B-cellymfoom van het beentype
Dit type cutaan lymfoom komt vooral voor bij oudere patiënten (>70 jaar). Klinisch ziet men één of meerdere paarsrode tumoren op één of beide (onder)benen. Bij circa 10% elders op het lichaam. Histologie: diffuus infiltraat van centroblasten en immunoblasten, bcl-2, Mum-1 en Fox-P1 positief. Zie ook de ingescande PA-coupe van de afdeling pathologie van de University of Toronto.

PCLBCL-been PCLBCL-been PCLBCL-been
PCLBCL-been PCLBCL-been PCLBCL-been


Therapie:
Chemotherapie (R-CHOP). Bij kleine solitaire tumor eventueel radiotherapie. Vaak extracutane uitbreiding, slechte prognose (5-jaarsoverleving rond 50%).


Referenties
1. Vermeer MH. Mechanistic aspects of tumor progression in primary cutaneous T-cell lymphoma. Thesis, 2002, ISBN:90-9015768-9.
2. Hembury TA, Lee B, Gascoyne RD, Macpherson N, Yang B, House N, Medeiros LJ, Hsi ED. Primary cutaneous diffuse large B-cell lymphoma: a clinicopathologic study of 15 cases. Am J Clin Pathol 2002;117(4):574-580.
3. Vermeer MH, Geelen FA, van Haselen CW, van Voorst Vader PC, Geerts ML, van Vloten WA, Willemze R. Primary cutaneous large B-cell lymphomas of the legs. A distinct type of cutaneous B-cell lymphoma with an intermediate prognosis. Arch Dermatol 1996;132:1304-1308.
4. Paulli M, Viglio A, Vivenza D, Capello D, Rossi D, Riboni R et al. Primary cutaneous large B-cell lymphoma of the leg: histogenetic analysis of a controversial clinicopathologic entity. Hum Pathol 2002;33:937-943.
5. Grange F, Bagot M. Prognosis of primary cutaneous lymphomas. Ann Dermatol Venereol 2002;129:30-40.


Author(s):
dr. Jan R. Mekkes. Dermatologist, Amsterdam UMC.

31-05-2023 (JRM) - www.skin-diseases.eu Terug naar homepagina



Diagnosis codes:
ICD10 C85.1 B-cel-lymfoom, niet gespecificeerd: primair cutaan B-cel lymfoom
ICD10 C85.1 B-cell lymphoma, unspecified: primary cutaneous B-cell lymphoma
SNOMED 402881008 Primary cutaneous B-cell lymphoma
DBC 14 spacer Maligne dermatosen

ICD10 C83.3 Diffuus large B-cell lymfoom: primair cutaan diffuus grootcellig B-cell lymfoom
ICD10 C83.3 Diffuse large B-cell lymphoma: primary cutaneous diffuse large cell B-cell lymphoma
SNOMED 404144008 Primary cutaneous diffuse large cell B-cell lymphoma
DBC 14 spacer Maligne dermatosen

ICD10 C83.3 Diffuus large B-cell lymfoom: primair cutaan diffuus grootcellig B-cell lymfoom van het beentype
ICD10 C83.3 Diffuse large B-cell lymphoma: primary cutaneous diffuse large cell B-cell lymphoma of lower extremity
SNOMED 735332000 Primary cutaneous diffuse large cell B-cell lymphoma of lower extremity
DBC 14 spacer Maligne dermatosen

ICD10 C83.8 Overige non-folliculaire lymfomen: intravascular large B-cell lymphoma
ICD10 C83.8 Other non-follicular lymphoma: intravascular large B-cell lymphoma
SNOMED 399648005 Intravascular large B-cell lymphoma
SNOMED 255102004 Angioendotheliomatosis
DBC 14 spacer Maligne dermatosen

ICD10 C85.1 B-cel-lymfoom, niet gespecificeerd: primair cutaan anaplastisch grootcellig B-cel lymfoom
ICD10 C85.1 B-cell lymphoma, unspecified: primary cutaneous anaplastic large cell B-cell lymphoma
SNOMED 404145009 Primary cutaneous anaplastic large cell B-cell lymphoma
DBC 14 spacer Maligne dermatosen

ICD10 C82.6 Primair cutaan follikelcentrumlymfoom
ICD10 C82.6 Cutaneous follicle centre lymphoma
SNOMED 404143002 Primary cutaneous follicular center B-cell lymphoma
DBC 14 spacer Maligne dermatosen

ICD10 C83.0 Small cell B-cell lymfoom
ICD10 C83.0 Small cell B-cell lymphoma
SNOMED 404138009 Small lymphocytic B-cell lymphoma involving skin
DBC 14 spacer Maligne dermatosen

ICD10 C83.0 Small cell B-cell lymfoom: primair cutaan marginale zone B-cell lymfoom
ICD10 C83.0 Small cell B-cell lymphoma: primary cutaneous marginal zone B-cell lymphoma
SNOMED 404140004 Primary cutaneous marginal zone B-cell lymphoma
DBC 14 spacer Maligne dermatosen

ICD10 C83.0 Small cell B-cell lymfoom: primair cutaan immunocytoom
ICD10 C83.0 Small cell B-cell lymphoma: primary cutaneous immunocytoma
SNOMED 404141000 Primary cutaneous immunocytoma
DBC 14 spacer Maligne dermatosen