De
ziekte van Woringer-Kolopp is een variant van
cutaan
T-cel lymfoom. Het wordt ook wel
CTCL type pagetoide reticulosis
(Woringer-Kolopp) genoemd. Dit solitaire intra-epidermale lymfoom werd in 1939
voor het eerst beschreven door Woringer en Kolopp aan de onderarm van een 13-jarige
jongen.
Pagetoide reticulosis wordt beschouwd als een bijzondere variant
van
mycosis fungoides (meest voorkomende type CTCL). Het wordt gekenmerkt door
de gelokaliseerde langzaam groeiende psoriasiforme of hyperkeratotische patches
of plaques en de aparte histopathologie. Het komt typisch geïsoleerd en distaal
op de extremiteiten voor. Een zeer belangrijke eigenschap is dat extra-cutane
verspreiding niet beschreven is.
![Woringer-Kollop disease, CTCL type pagetoide reticulosis (click on photo to enlarge) [source: www.huidziekten.nl] Woringer-Kollop disease, CTCL type pagetoide reticulosis](../../../images/pagetoide-reticulosis-1z.jpg) |
![Woringer-Kollop disease, CTCL type pagetoide reticulosis (click on photo to enlarge) [source: www.huidziekten.nl] Woringer-Kollop disease, CTCL type pagetoide reticulosis](../../../images/pagetoide-reticulosis-2z.jpg) |
| ziekte
van Woringer-Kollop |
ziekte
van Woringer-Kollop |
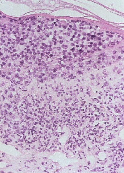
Histologie:Histologisch onderzoek laat lymfoide
cellen zien met dezelfde kernen als bij mycosis fungoides. De cellen hebben
echter overvloedig gevacuoliseerd cytoplasma en infiltreren bijna alleen in
de epidermis. Immunophenotypering studies laten een relatief groot percentage
gevallen met een CD4-, CD8+ phenotype zien, vergeleken met de klassieke mycosis
fungoides.
![Woringer-Kollop disease, CTCL type pagetoide reticulosis (click on photo to enlarge) [source: www.huidziekten.nl] Woringer-Kollop disease, CTCL type pagetoide reticulosis](../../../images/pagetoide-reticulosis-3z.jpg) |
![Woringer-Kollop disease, CTCL type pagetoide reticulosis (click on photo to enlarge) [source: www.huidziekten.nl] Woringer-Kollop disease, CTCL type pagetoide reticulosis](../../../images/pagetoide-reticulosis-4z.jpg) |
| ziekte
van Woringer-Kollop |
ziekte
van Woringer-Kollop |
Therapie:Radiotherapie of chirurgische excisie
worden aanbevolen en ziekte gerelateerde mortaliteit is niet beschreven.
Referenties
| 1. |
Braun-Falco O, Marghescu S, Wolff HH. Pagetoide
reticulose: Morbus Woringer- Kolopp. Hautartz 1973;24:11-21. |
| 2. |
Mielke V. Wolff HH, Winzer M, Sterry W. Localized
and disseminated pagetoide reticulosis. Arch Dermatol 1989;125:402-406. |
| 3. |
Burns MK, Chan LS, Cooper KD. Woringer Kolopp
disease (localized pagetoide reticulosis) or unilesional mycosis
fungoides? Arch Dermatol 1995;131:325-329. |
| 4. |
Wood GS, Weis LM, Hu CH et al. T-cel antigen
deficiencies and clonal rearrangements of T-cel receptor genes in
pagetoide reticulosis (Woringer-Kolopp disease). N Eng J Med 1988;318:164-167. |
| 5. |
Bouhasson N, Leteurtre E, Delaporte E et
al. A case study of Woringer Kolopp disease. Immunohistochemical
study. Ann Pathol 2000;20(4):373-376. |
Author(s):Martijn M. Meijs. Dermatoloog, Boven
IJ Ziekenhuis, Amsterdam
dr. Jan R. Mekkes. Dermatologist, Amsterdam UMC.