NODULUS RHEUMATICUS (reumaknobbel) home ICD10: M06.3

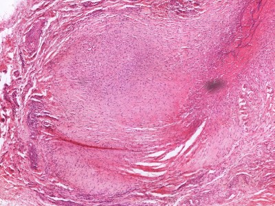
Een nodulus rheumaticus (synoniemen: reuma noduli, reuma knobbel, rheumatoid arthritis nodule) is een subcutane zwelling, veroorzaakt door ontsteking, die voorkomt bij patiënten met reumatoide artritis. Het is een van de klinische criteria waarop de diagnose RA gesteld kan worden. Circa 5% van patiënten met RA hebben binnen 2 jaar reuma knobbels, uiteindelijk heeft 25% van de RA patiënten ze. De aanwezigheid ervan is sterk gecorreleerd met een positieve reuma serologie. Het is niet precies bekend hoe ze ontstaan. Histologisch ziet men een centrum met fibrinoide necrose omgeven door macrofagen en fibroblasten (granulomateuze ontsteking).

Klinisch beeld:
Vast aanvoelende subcutane noduli en nodi, 1-3 cm groot. Vaak in de omgeving van gewrichten of bij botuitstekingen. Vooral op en rond de ellebogen, de tuberositas calcanei, de metacarpophalangeale gewrichten, de vingers. In zeldzame gevallen ook op andere plaatsen zoals op de oogleden, de oren, de rugwervels en ribben, voetzolen, vulva, en in interne organen (longen, hartkleppen, galblaas, larynx).

rheuma noduli, reuma knobbels, nodulus rheumaticus rheuma noduli, reuma knobbels, nodulus rheumaticus
reuma noduli reuma noduli

rheuma noduli, reuma knobbels, nodulus rheumaticus rheuma noduli, reuma knobbels, nodulus rheumaticus
reuma noduli reuma noduli

Histologie reuma nodulus
ingescande coupe (zoom)

Bron hoge resolutie PA-foto: Kevin Kwee en Afdeling Pathologie MUMC. Klik op de afbeelding om in te zoomen.


DD: jicht tophi, synovitis, cysten, ganglion, noduli van Heberden of Bouchard, bottumoren.

Therapie:
Moeilijk te behandelen. Door systemische behandeling van de reuma met DMARD's of TNF-alpha remmers worden de ontstekingen wel minder, de omvang van de noduli wordt minder, en het ontstaan ervan wordt voorkomen.

Klinische criteria reumatoide artritis (ACR-criteria):
1. ochtendstijfheid gedurende minimaal 1 uur*
2. artritis simultaan aanwezig in drie of meer gewrichtsgroepen (links of rechts PIP's, MCP's, pols, elleboog, knie, enkel, MTP's)* NIET DIP'S
3. artritis van ten minste één handgewricht: pols, MCP of PIP*
4. symmetrische artritis*
5. subcutane reumanoduli (ontbreken vaak in begin van de ziekte)
6. reumafactor aantoonbaar
7. radiologische veranderingen (op RX hand/pols of - voorvoet)

Voorwaarden en beoordeling
* Criteria moeten ten minste zes weken aanwezig zijn.
Indien 4 van de 7 criteria aanwezig zijn, spreekt men van reumatoïde artritis (de eerste 4 criteria zijn de belangrijkste).

Reumatoide artritis
RA begint meestal rond 30-40 jaar, vrouwen 3x meer dan mannen. Het is een auto-immuunproces met onbekende oorzaak. Er is een genetische aanleg, maar familiaal voorkomen is toch gering.

Pathogenese: chronische ontsteking; veranderingen in hoeveelheid en samenstelling van synoviale vloeistof en verdikking synoviale membraan; schade aan gewrichtskraakbeen en onderliggend bot; erosies; kan leiden tot misvormingen en standafwijkingen.

Symptomen:
- Synovia: inflammatoir pijnpatroon: pijn en zwelling van gewrichten waarin synovia is, chronische polyartritis met later erosies, misvormingen en standafwijkingen. Symmetrisch: grote + kleine gewrichten. Zelden DIP-gewrichten en thoracolumbale wervelzuil.
- Algemeen: vermoeidheid, gewichtsverlies
- Huid: nodules, palmair erytheem, vasculitis
- Oculair: (epi)-scleritis, sicca syndroom
- Pulmonair: pleuritis, nodules, interstitieel
- Cardiaal: pericarditis, myocarditis, hartkleppen (nodules)
- Neuromusculair: entrapment (carpaal tunnel syndroom), mononeuritis multiplex
- Hematologisch: Felty (leukopenie, splenomegalie, infecties) / normochrome, normocytaire anemie
- Andere: Sjögren, amyloïdose (albuminurie)
- Orthopedisch: instabiliteit van cervicale wervelkolom (C1-2) met dreigende dwarslaesie

Diagnostiek:
- reumafactor: indien RF-positieve RA (50-85%): prognostisch ongunstig
- inflammatoir bloedbeeld: BSE, CRP, Hb, trombocyten, ijzer
- X-handen en voeten (maat voor progressie van de ziekte)

Therapie:
Progressie van de ziekte zoveel mogelijk tegengaan. DMARD (disease modifying antirheumatic drugs): onderdrukken ziekte-activiteit; hebben remmende invloed op ziekteproces; vertragen gewrichtsschade.
R/ NSAIDs (ibuprofen: 4 dd 600 mg, naproxen 2 dd 500mg, diclofenac 3 dd 50 mg). Afbouwen: na 4 weken op geleide van de pijnklachten. Indien onvoldoende effect: wisselen van klasse, niet meer dan 2 gebruiken.
R/ sulfasalazine (salazopyrine).
R/ methotrexaat.
R/ etanercept, infliximab, adalimumab.
R/ azathioprine.
R/ ciclosporine.
R/ corticosteroïden (soms als adjuvans, soms ter overbrugging van de tijd tot het ingestelde DMARD werkt)
R/ bifosfonaten.
R/ intra-articulaire injecties prednison.
Oefentherapie.


Author(s):
dr. Jan R. Mekkes. Dermatologist, Amsterdam UMC.

31-05-2023 (JRM) - www.skin-diseases.eu Terug naar homepagina



Diagnosis codes:
ICD10 M06.3 Reumatoïde nodulus
ICD10 M06.3 Rheumatoid nodule
SNOMED 33719002 Subcutaneous rheumatoid nodule
DBC 13 Inflammatoire dermatosen