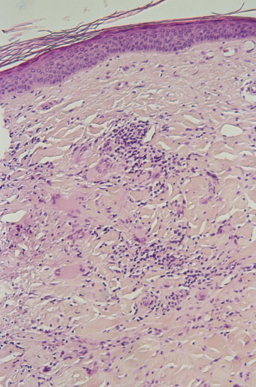
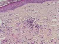
Het
annular elastolytic giant cell granuloma (synoniem:
actinic granuloma,
granuloma actinica)
is een onduidelijke entiteit, mogelijk een variant van granuloma annulare. Het
komt voor bij oudere patiënten, vooral op aan zon blootgestelde plekken (gelaat,
onderarmen, handen, onderbenen). Klinisch zijn het langzaam groter wordende
huidkleurige, erythemateuze of rood-bruine annulaire plaques met een verheven
rand en een atrofisch gehypopigmenteerd centrum. Histologisch ziet men solaire
elastose en multinucleaire reuscellen.
![Elastolytic giant cell granuloma (click on photo to enlarge) [source: www.huidziekten.nl] Elastolytic giant cell granuloma](../../../images/elastolytic-giant-cell-granuloma-2z.jpg) |
![Elastolytic giant cell granuloma (click on photo to enlarge) [source: www.huidziekten.nl] Elastolytic giant cell granuloma](../../../images/elastolytic-giant-cell-granuloma-1z.jpg) |
![Elastolytic giant cell granuloma (click on photo to enlarge) [source: www.huidziekten.nl] Elastolytic giant cell granuloma](../../../images/elastolytic-giant-cell-granuloma-3z.jpg) |
| giant
cell granuloma |
giant
cell granuloma |
giant
cell granuloma |
DD: mycose
(ringworm),
lichen planus,
lichen planus actinica,
necrobiosis lipoidica,
granuloma annulare,
granuloma faciale,
erythema elevatum diutinum,
annulaire sarcoidose,
annulaire lues II,
granulomateuze ontsteking nno.
Therapie:R/ Dermovate lokaal, onder occlusieve
folies of
hydrocolloïden.
R/ Kenacort-A 10 1:1 (5 mg/ml) intralesionaal, gelijkmatig
verdelen over de laesie.
R/ Plaquenil (hydroxychloroquine) 1 dd 200-400 mg
of Nivaquine (chloroquine) 1 dd 100-200 mg.
R/ Dapson 1 dd 100 mg.
R/
PUVA, UVA-1, Re-PUVA.
Zie verder onder
granuloma annulare en
granuloma annulare disseminata.
Author(s):dr. Jan R. Mekkes. Dermatologist, Amsterdam UMC.