De
Tzanck test is een direct preparaat, voor het microscopisch
aantonen van
multinucleaire reuscellen als teken van
virale infectie, meestal
herpes simplex
of
herpes zoster, soms cytomegalovirus.
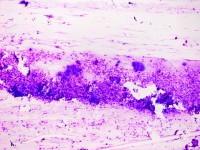
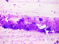
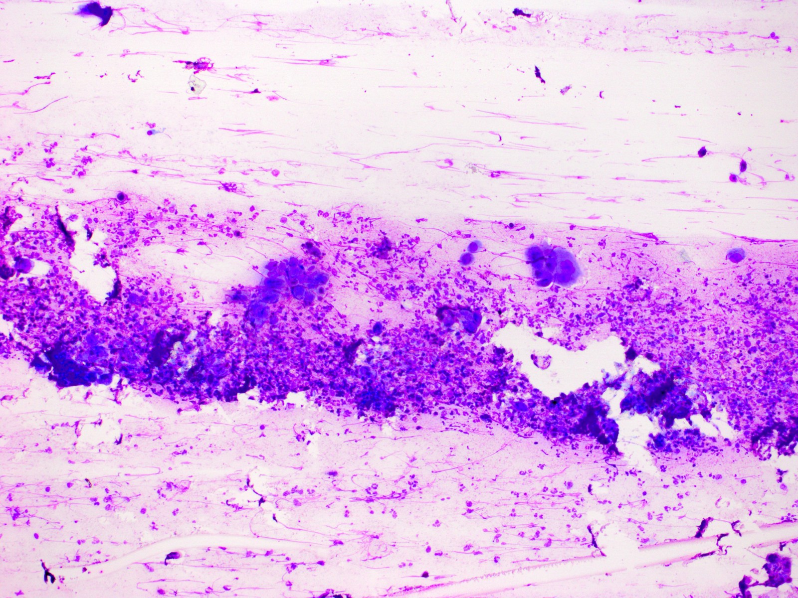
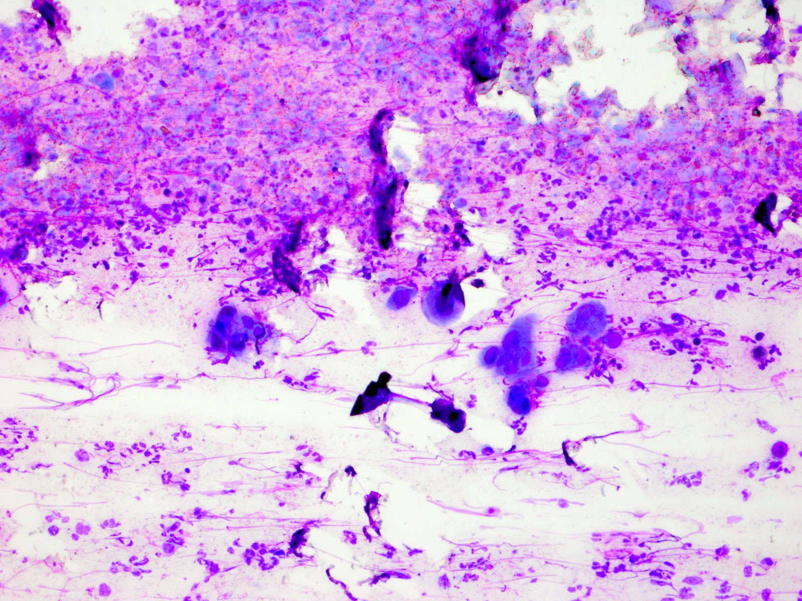
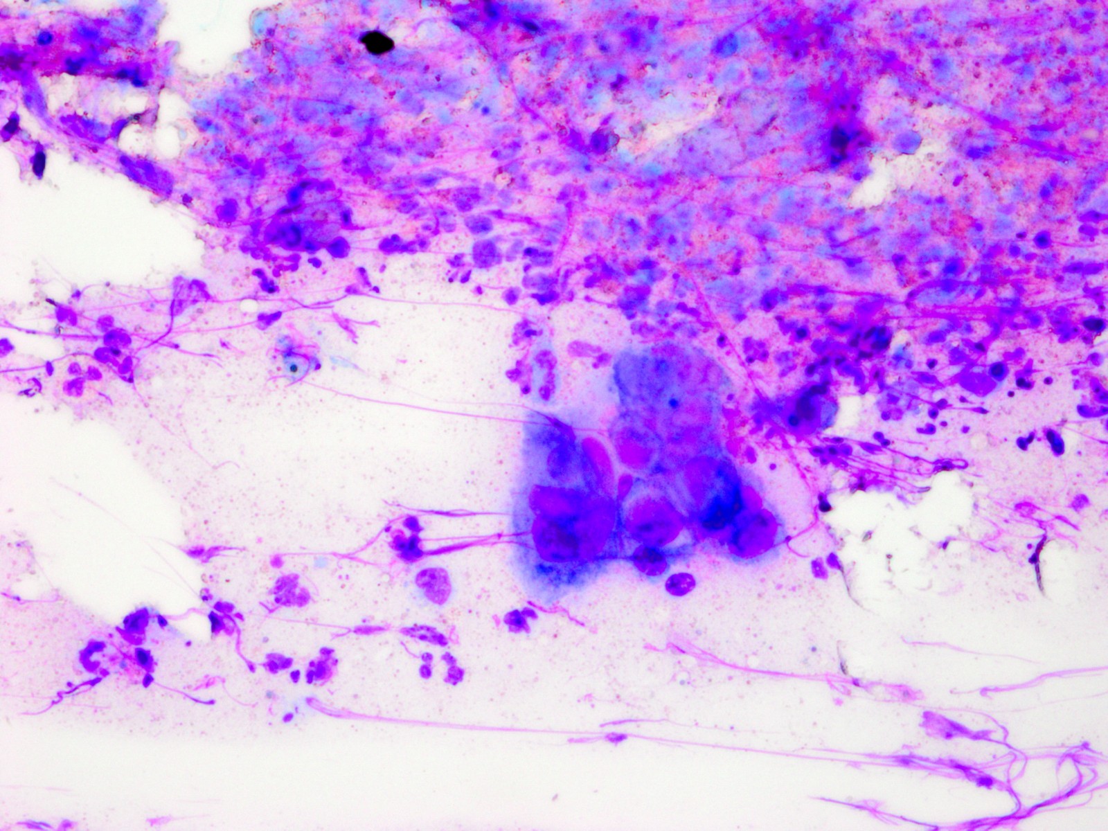
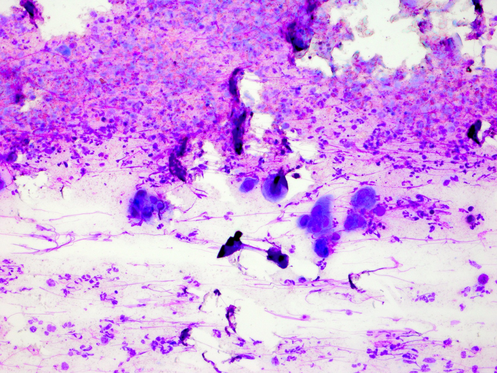
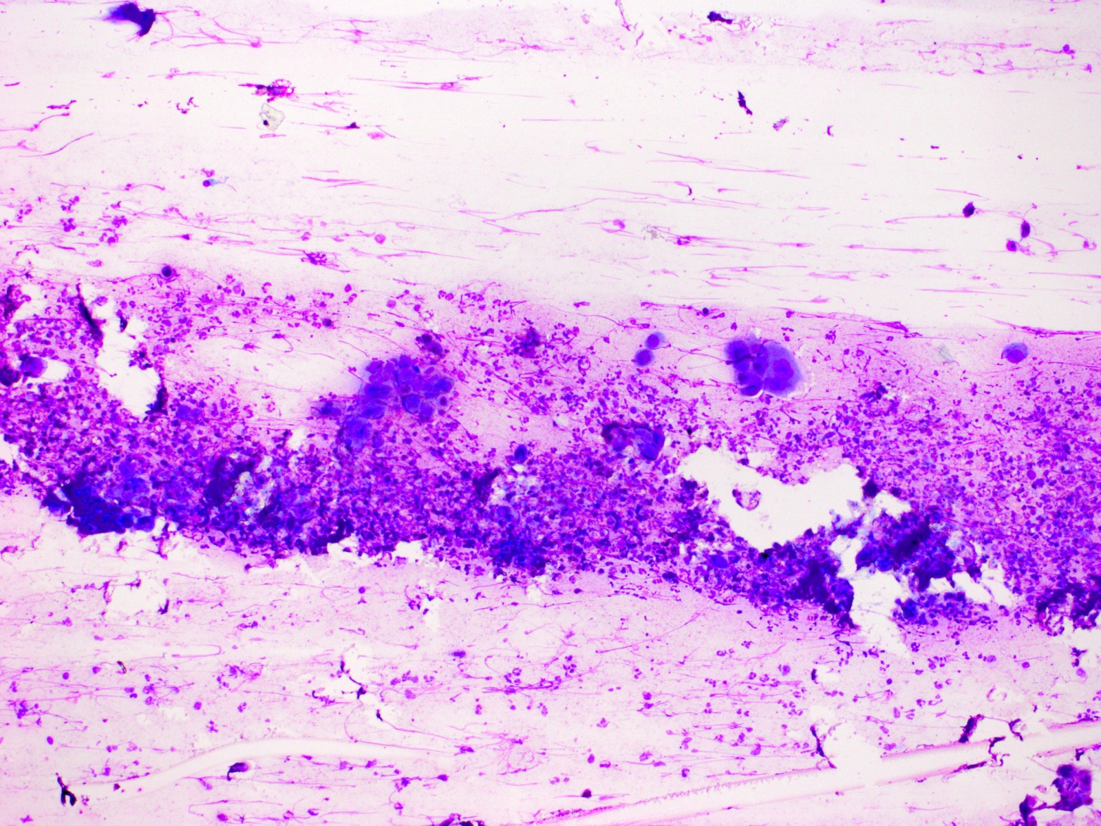
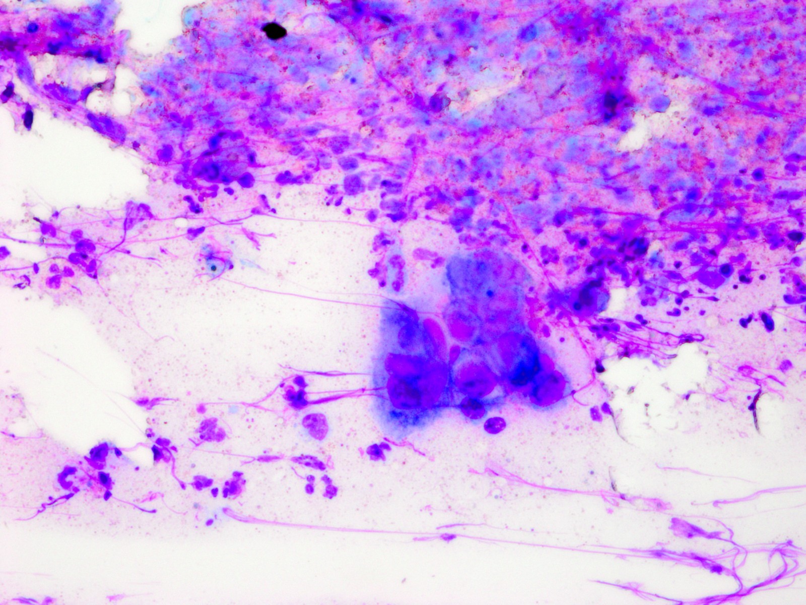
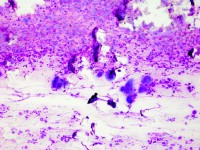
De Tzanck reuscellen hebben in het Diff-Quick preparaat een lichtblauw (basofiel)
cytoplasma en een homogene donkerblauwe of paarse kern (hyperchromatisch, sterk
aankleurend), en zijn zeer groot, veel groter dan een granulocyt. Het zijn geen
macrofagen of Langhanse reuscellen, het zijn conglomeraten van grote epitheliale
cellen (keratinocyten). Er kunnen in het preparaat ook losse van deze grote
hyperchromatische epitheelcellen liggen, maar diagnostisch is het vinden van
een klompje waarbij het cytoplasma samengesmolten is en de kernen tegen elkaar
aanliggen. Losliggende grote afgeronde epitheelcellen (Tzanck cells) kunnen
ook worden gezien bij pemphigus vulgaris. Bij pemphigus vulgaris is acantholyse
(het verloren gaan van de intercellulaire verbindingen tussen de keratinocyten
uit het stratum spinolusm) het mechanisme achter het ontstaan van de losse afgeronde
epitheelcellen. Ook bij
staphyloccal scalded
skin syndrome kunnen acantholytische cellen worden gezien.
Schraap
met een mesje materiaal van de bodem van de vesikels/ulcera en strijk dit uit
op een objectglas. Laten drogen, niet verhitten (vernietigt celmorfologie).
Het preparaat moet goed droog zijn, anders spoelt het bij het kleuren van het
glas. Kleuren met Gram, methyleenblauw of
Diff-Quick
kleuring en zoeken naar multinucleaire reuscellen (diagnostisch voor herpes
simplex of zoster). In ervaren handen is de sensitiviteit (84.7%) en de specificiteit
(100%) van de test heel goed. Er kan alleen geen onderscheid worden gemaakt
tussen welk herpesvirus het is (herpes simplex of herpes zoster), dus als dat
belangrijk is zal er toch materiaal voor een kweek of virus PCR moeten worden
ingezonden.
![Tzanck test met multinucleate giant cells (click on photo to enlarge) [source: www.huidziekten.nl] Tzanck test met multinucleate giant cells](../../../images/soa/Tzanck-test-3z.jpg) |
![Tzanck test met multinucleate giant cells (click on photo to enlarge) [source: www.huidziekten.nl] Tzanck test met multinucleate giant cells](../../../images/soa/Tzanck-test-4z.jpg) |
![Tzanck test met multinucleate giant cells (click on photo to enlarge) [source: www.huidziekten.nl] Tzanck test met multinucleate giant cells](../../../images/soa/Tzanck-test-5z.jpg) |
| Tzanck
test |
Tzanck
test |
Tzanck
test |
![Tzanck test met multinucleate giant cells (click on photo to enlarge) [source: www.huidziekten.nl] Tzanck test met multinucleate giant cells](../../../images/soa/Tzanck-test-6z.jpg) |
![Tzanck test met multinucleate giant cells (click on photo to enlarge) [source: www.huidziekten.nl] Tzanck test met multinucleate giant cells](../../../images/soa/Tzanck-test-7z.jpg) |
![Tzanck test met multinucleate giant cells (click on photo to enlarge) [source: www.huidziekten.nl] Tzanck test met multinucleate giant cells](../../../images/soa/Tzanck-test-8z.jpg) |
| Tzanck
test |
Tzanck
test |
Tzanck
test |
Referenties
| 1. |
Oranje AP, Folkers E, Choufoer-Habova J,
Duivenvoorden JN. Diagnostic value of Tzanck smear in herpetic and
non-herpetic vesicular and bullous skin disorders in pediatric practice.
Acta Derm Venereol 1986;66(2):127-133. |
| 2. |
Durdu M, Baba M, Seçkin D. The value of Tzanck
smear test in diagnosis of erosive, vesicular, bullous, and pustular
skin lesions. J Am Acad Dermatol 2008;59(6):958-964. |
Author(s):dr. Jan R. Mekkes. Dermatologist, Amsterdam UMC.