Xanthelasmata zijn licht verheven tumoren in de ooglidhuid.
Door een opvallende gele kleur zijn ze storend in het uiterlijk van de patiënt.
De term
xanthelasma komt van de Griekse woorden
xanthos en
elasma, die respectievelijk geel en platgeslagen
metalen plaat betekenen. Xanthelasmata behoren tot de groep van de
xanthomen: vetstapelingstumoren in de huid. Het
woord xanthelasma wordt tegenwoordig specifiek gebruikt voor de beschrijving
van xanthomen in de ooglidhuid. De laesies kunnen zacht, vast of kalkachtig
zijn. De uitgebreidheid kan variëren van een enkele millimeters tot vrijwel
het gehele ooglid. Bij het grootste deel van de patiënten is de aandoening bilateraal.
Xanthelasmata komen vaak voor, bij gezonde personen, zonder dat er sprake is
van een vetstapelingsziekte. Het kan ook voorkomen bij familiaire hyperlipoproteïnemie
type IIa.
Xanthelasmata komen het meest voor rond de nasale ooghoek.
Van daaruit kan uitbreiding plaatsvinden naar de rest van het ooglid. Bij brildragenden
is er soms uitbreiding tot de plaatsen waar druk op de neus wordt uitgeoefend.
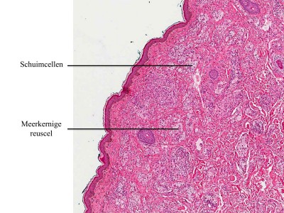
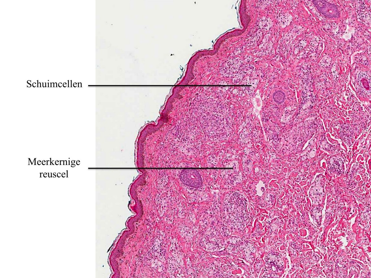
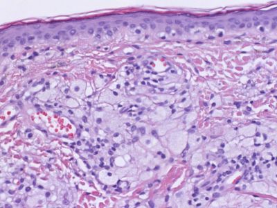
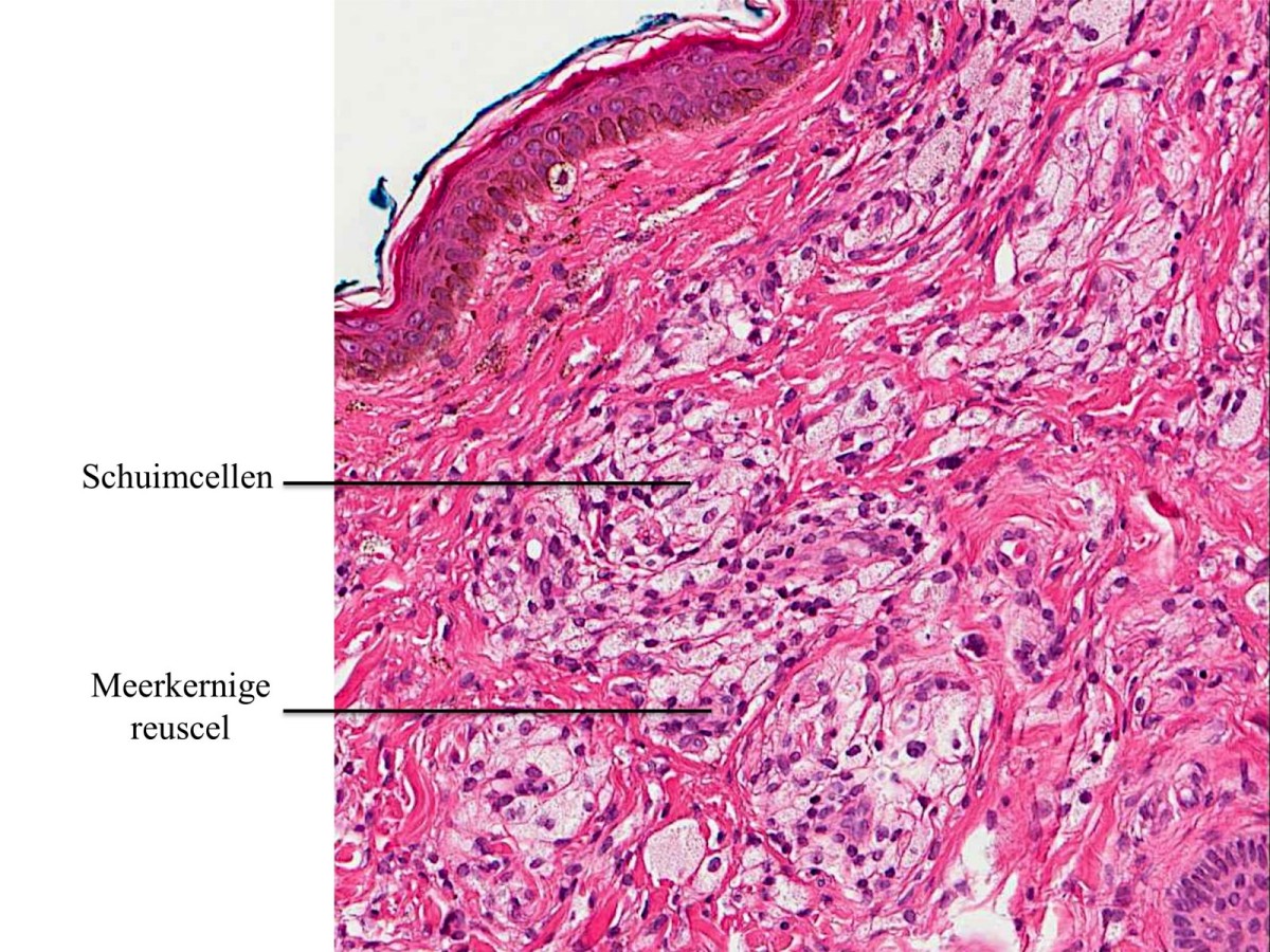
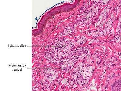
Histologie:Het histologisch beeld wordt gekenmerkt
door een in de oppervlakkige dermis gelegen proliferatie van schuimcellen en
enkele meerkernige reuscellen. Een geringe toename van mestcellen kan gezien
worden. Fibrose is niet aanwezig.
![Histologie xanthelasma (click on photo to enlarge) [source: Kevin Kwee / Afdeling Pathologie MUMC] Histologie xanthelasma](../../../pacoupes/thumbnails/xanthelasma-1.jpg) |
![Histologie xanthelasma (click on photo to enlarge) [source: Kevin Kwee / Afdeling Pathologie MUMC] Histologie xanthelasma](../../../pacoupes/thumbnails/xanthelasma-2.jpg) |
|
ingescande coupe (zoom) |
ingescande coupe (zoom) |
Bron
hoge resolutie PA-foto's: Kevin Kwee en Afdeling Pathologie MUMC. Klik
op de afbeelding om in te zoomen.
DD: xanthoma eruptiva,
Erdheim-Chester disease,
xanthogranulomen,
plasmacytoma.
Diagnostiek:
Controleer cholesterol en triglyceriden.
Therapie:

Electrocoagulatie
onder lokale verdoving. Coaguleer met een klein bolletje de gehele vetlaag en
overliggende huid weg. Verdoof goed en stip de gele gebieden voorzichtig aan
met het kleinste bolletje, gebruik zonodig de snij-instelling (cut) in plaats
van coaguleren (zie onder
electrocoagulatie).
Wrijf tussendoor met een ruw gaas de gecoaguleerde resten weg om goed te kunnen
zien of het gewenste niveau bereikt is. Daarna herstelt de huid zich door ingroei
vanuit de randen. Het geneest in dit gebied meestal fraai. Zoniet, dan is excisie
altijd nog een optie. Dit kan ook primair, echter xanthelasmata recidiveert
en excisie is niet eindeloos te herhalen.

Excisie zonder
marge, en sluiten in een ovaal (als er voldoende ruimte is, meestal is dat er
wel).

Aanstippen met trichloorazijnzuur 35% oplossing. Voorzichtig, patiënt ogen voortdurend
dicht laten houden. Trichloorazijnzuur aanbrengen met de achterkant van een
houten wattenstok, deze licht bevochtigen, er mag geen druppel af kunnen vallen.
Zonodig de omgeving eerst beschermen met vaseline. Zo nodig na 1-3 maanden herhalen.

Laser therapie
(fractional CO2 laser of 532-nm continuous wave (CW-)KTP-laser).
|
Behandeling |
Cosmetisch resultaat |
Voordelen |
Nadelen |
Recidieven |
| Chemisch |
MCA |
++ |
Makkelijk en goedkoop |
Meerdere behandelingen |
+++ |
| |
TCA |
++ |
Makkelijk en goedkoop |
Meerdere behandelingen |
+++ |
| Laser |
Ultrapulsed CO2 |
+++ |
Selectief / Fraai resultaat |
Kostbaar |
++ |
| |
Fractional CO2 |
+++ |
Selectief / Fraai resultaat |
Kostbaar |
++ |
| |
Argon |
++ |
Selectief / Fraai resultaat |
Kostbaar |
++ |
| |
Nd:YAG |
++ |
Selectief / Fraai resultaat |
Kostbaar |
++ |
| |
PDL |
++ |
Selectief / Fraai resultaat |
Kostbaar |
++ |
| |
CW-KTP |
+++ |
Selectief / Fraai resultaat |
Kostbaar |
++ |
| |
Erbium:YAG |
++ |
Selectief / Fraai resultaat |
Kostbaar |
++ |
| |
Diode |
++ |
Selectief / Fraai resultaat |
Kostbaar |
++ |
| Chirurgisch |
Curretage |
+ |
Goedkoop |
Littekens |
++ |
| |
Excisie |
+ |
Weinig recidieven |
Littekens |
+ |
| Overig |
Cryotherapie |
+ |
Makkelijk en goedkoop |
Hypopigmentation |
+++ |
| |
Coagulatie |
+ |
Makkelijk en goedkoop |
Littekens |
+++ |
Referenties
| 1. |
Weedon D. Cutaneous infiltrates - non-lymphoid.
In: Weedon’s Skin Pathology. 3th ed. Churchill Livingstone; 2010:964. |
| 2. |
Kemler MA, Deenstra W, Kon M. Xanthelasma
palpebrarum. Ned Tijdschr Geneeskd 1996;140:1014-1017. |
| 3. |
Bovenschen HJ. KTP-laserbehandeling voor
xanthelasma palpebrarum is effectief en veilig. Ned Tijdschr Dermatol
Venereol 2017:27:127-129. |
Author(s):dr. Jan R. Mekkes. Dermatologist, Amsterdam UMC.
Mary-Ann el Sharouni. Co-assistent, UMC Utrecht.
Norbert A. Ipenburg.
Co-assistent, UMC Utrecht.
Prof. dr. Marijke R. van Dijk. Patholoog, UMC
Utrecht.