ERYTHEMA NODOSUM home ICD10: L52

Erythema nodosum is een vertraagde overgevoeligheids reactie op diverse antigenen, gekenmerkt het acuut verschijnen van pijnlijke rode subcutane zwellingen aan de voorzijde van de onderbenen. De meest voorkomende onderliggende aandoeningen zijn sarcoidose en Crohn bij volwassenen en streptokokken infectie bij kinderen. De ontstekingen voelen warm aan en zijn drukpijnlijk. Ze zijn gelokaliseerd diep in het subcutane vet, moeilijk bereikbaar met een gewone biopteur. De diagnose kan gesteld worden op het typische klinische beeld, een biopt heeft weinig meerwaarde. Erythema nodosum wordt ingedeeld onder panniculitis (septale panniculitis zonder vasculitis). Erythema nodosum leprosum lijkt er klinisch op, maar is histologisch een vasculitis bij lepra.

Erythema nodosum Erythema nodosum Erythema nodosum bij sarcoidose
erythema nodosum erythema nodosum erythema nodosum


Klinisch beeld:
Pijnlijke 2-6 cm grote ontstoken (rood of paars, warm) subcutane noduli, doorgaans op de voorzijde v.d. onderbenen. Infectie gerelateerde erythema nodosum gaat vaak spontaan in regressie binnen 6-7 weken, chronische idiopathische varianten kunnen maanden duren of recidiveren. Kan ook elders in subcutaan vet voorkomen (bovenbenen, armen, romp, nek, gelaat). Nieuwe noduli of plaques kunnen gepaard gaan met griepachtige symptomen (koorts, rillingen, malaise), leukocytose, gewrichtsklachten, lymfklierzwelling. Oudere laesies voelen hard aan verlittekend en zijn niet meer rood of warm. Lymfklierzwellingen kunnen bij het reactiepatroon horen, maar ook bij onderliggende infectie of andere pathologie. Het komt vooral bij vrouwen voor (4 x vaker), en vooral tussen 15 en 40 jaar. Gewrichtsklachten komen bij circa de helft van de patiënten voor en kunnen ook voorafgaan aan erythema nodosum. Enkels, knieën en polsen zijn het meest aangedaan en het gaat vanzelf weer over zonder restafwijkingen.

DD: furunculosis, persistent insect bites, urticaria, overige vormen van panniculitis, waaronder idiopathische panniculitis type Weber-Christian en vasculitis nodularis (erythema induratum), periarteritis nodosa, erythema nodosum leprosum, erythema nodosum-like reactie na behandeling van Whipple disease, cutane leukocytoclastische vasculitis, tromboflebitis, migratoire thromboflebitis, subcutane granuloma annulare, pretibiaal myxoedeem, bacteriële infecties (S. aureus, Nocardia brasiliensis, Mycobacterium marinum, Francisella tularensis, septische versleping van bacteriën, erysipelas, diepe mycosen (o.a. Sporothrix schenckii), calcifylaxis, lymfomen.

Het onderscheid met erythema induratum is subtiel (vasculitiscomponent, vaker ulceraties, vaker recidiverend, ook aan de achterkant onderbenen), mogelijk zijn het overlappende entiteiten. Weber-Christian panniculitis (relapsing febrile nodular panniculitis) is waarschijnlijk ook geen entiteit, maar een verzamelnaam voor beelden die uiteindelijk toch kunnen worden ingedeeld bij erythema nodosum of overige panniculitiden.

Oorzaak:
Erythema nodosum wordt beschouwd als 'immunologische reactie' die door vele deels microbiële antigenen getriggerd kan worden. Meestal wordt geen oorzaak gevonden. Bekende oorzaken zijn: doorgemaakte streptokokkeninfectie, sarcoïdose, overige bacteriële infecties (TBC, Yersinia enterocolitica, Brucella, lepra, leptospirose, lues (Treponema pallidum), Borrelia, tularemie, pneumococcen, gonokokken, Salmonella, Yersinia, Campylobacter, E. coli, Q-koorts (Coxiella burneti)), schimmelinfecties (Coccidiomycosis, Blastomycosis, Histoplasmosis, dermatophyten), virus- en Chlamydia-infecties (Paravaccinia, mononucleosus infectiosa, hepatitis B en C, CMV, Mycoplasma pneumonia, Influenza, Varicella, Covid-19 infectie, lymfogranuloma venereum (Chlamydia trachomatis), Chlamydia pneumonia, kattekrabziekte (Bartonella henselae), Psittacosis), geneesmiddelen overgevoeligheid (sulfonamiden, broomverbindingen, OAC, omeprazol, isotretinoïne, minocycline, hepatitisvaccin), intestinale ziekten (Crohn, colitis ulcerosa, pancreatitis), maligniteiten (lymfoma, non-Hodgkin lymfoma, leukemie, maag- en pancreascarcinoom), connective tissue diseases (SLE, Sjögren, Takayasu vasculitis), M. Behçet, Löfgren's syndrome (hilaire adenopathie, acute polyartritis, en EN; vaak vrouwen, geassocieerd met HLA-DR3), zwangerschap, Sweet syndroom.

Diagnostiek:
- Een biopt is meestal niet nodig, de diagnose kan gesteld worden op het klinisch beeld (hoge pretest probability). Alleen bij twijfel een biopt afnemen. Het moet dan een diep biopt zijn, liefst een excisiebiopt (ovaal) omdat er anders onvoldoende subcutaan vet in zit. Eventueel een getrapt biopt (5 mm gevolgd door 3 mm). Omdat een diep biopt in een ontsteking problemen kan veroorzaken (bloeding, slecht genezende diepe en pijnlijke wonden, uitbreidende ulcera, infectie) terughoudend zijn met biopteren.
- BSE en/of CRP, Hb, leuko's + diff.
- X-thorax (hilaire klieren, sarcoidose, tuberculose, overige afwijkingen)
- Keelkweek (beta-hemolytische streptokokken?), eventueel in latere fase (na 2-4 weken) AST + anti-DNAse B .
- Bij acute presentatie en zeker bij diarree faeceskweek (SSYC) (Salmonella, Shigella, Yersinia, Campylobacter?).
- bij hoge koorts bloedkweken (septische versleping van bacteriën?), eventueel een kweekbiopt.
- op indicatie: kweek of PCR op mycobacteriën.Yersinia serologie, Bartonella serologie (enzyme immune assay), luesserologie, virusserologie (EBV, CMV, Chlamydia, Rickettsia). Mantoux (tuberculine of evt. andere mycobacteriële antigenen) en of IGRA. ACE en lysozym (sarcoïdose). Amylase, tumormarkers.

PA:
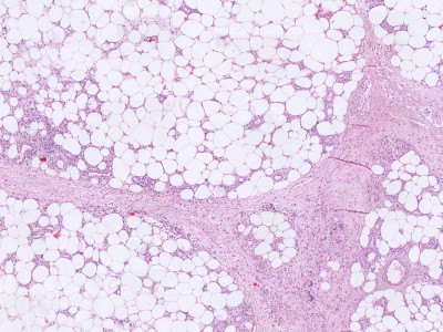
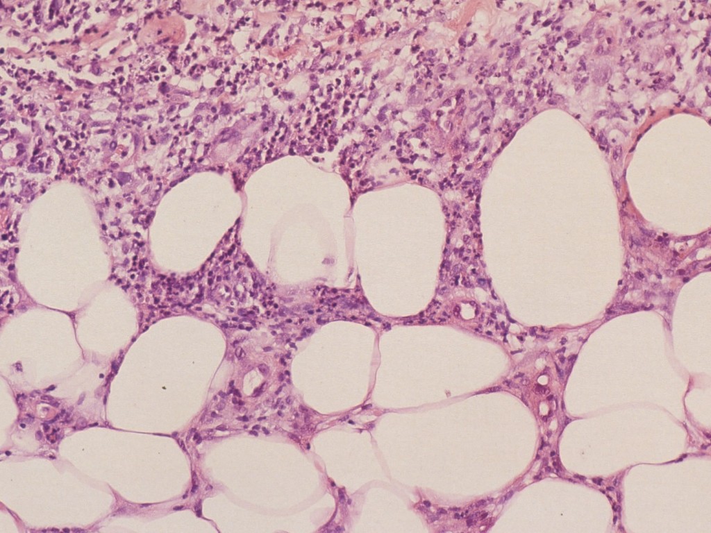
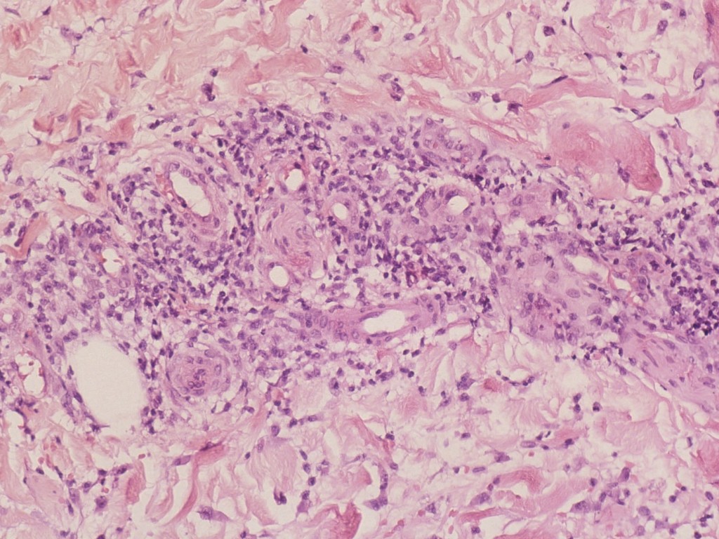
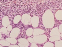
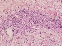
In de epidermis geen bijzonderheden. In de dermis is enig perivasculair lymfocytair infiltraat aanwezig. Typisch in vroege laesies is een ontsteking in de septa (tussen lobuli in) en rond de septale bloedvaatjes. Vanuit de bindweefselsepta breidt het infiltraat zich ook uit tussen de vetcellen van de subcutis, dus lobulair, waardoor het geheel aan kant doet denken (lacelike fashion). Het infiltraat bestaat uit lymfocyten / histiocyten en enkele polynucleaire granulocyten, soms enkele eosinofiele granulocyten. Het septale collageen toont oedeem en fibrinoïde degeneratie. Er is geen vetnecrose of abcesvorming. Het betreft primair een vasculitis van kleine en middelgrote venen, gepaard gaande met endotheel proliferatie, verdikking van de intima en ontsteking van de vaatwand. Occlusie (tromboflebitis, hemorrhagieën) komt zelden voor. Vaak ziet men erytrocyten extravasculair. Bij oude laesies zijn de polynucleairen verdwenen; er zijn infiltraatnoduli, samengesteld uit radiaal gegroepeerde histiocyten vaak met vreemd-lichaam reuscellen, soms tuberculoïde structuren (epitheloïde cellen, granulomen).

Erythema nodosum histologie Erythema nodosum histologie
erythema nodosum erythema nodosum

Erythema nodosum histologie Histologie erythema nodosum
erythema nodosum ingescande coupe (zoom)

Bron hoge resolutie PA-foto's: Kevin Kwee en Afdeling Pathologie MUMC. Klik op de afbeelding om in te zoomen.


Therapie:
Omdat het vanzelf weer overgaat alleen symptoombestrijding: rust, bedrust (been hoogleggen), verkoelende compressen, ontstekingsremmende pijnstillers (NSAID's). Eventueel milde compressie (Tubigrip).
R/ Paracetamol 4 maal daags 2 tabletten van 500 mg.
R/ Acetylsalicylzuur 500 mg tablet of bruistablet 4-8 dd 500 mg of 4 dd 1000 mg (maximaal 4 g per dag).
R/ NSAID's zoals diclofenac, ibuprofen of indometacine (alle werken even goed).
R/ diclofenac 25 mg (maximaal 6 tabletten van 25 mg per dag), of diclofenac retard 1-2 dd 75 mg.
R/ Brufen (ibuprofen) 200 mg (maximaal 8 tabletten van 200 mg per dag).
R/ Indometacine 50 mg, 3-4 dd 50 mg (maximaal 200 mg per dag).
Voor patiënten die geen NSAID pijnstillers mogen hebben is het alternatief Tramal (tramadol) 50 mg (maximaal 8 tabletten van 50 mg per dag.
R/ corticosteroïden systemisch (starten met 40 mg), alleen geven indien zeer ernstig. Zie voorbeeld afbouwschema 2 weken.

Bij chronisch recidiverende erythema nodosum andere anti-inflammatoire middelen zoals:
R/ Dapson 50-200 mg dd.
R/ Colchicine 2-3 dd 0.6 mg.
R/ Plaquenil 1 dd 200-400 mg.
R/ Thalidomide.


patientenfolder


Referenties
1. Cribier B, Caille A, Heid E, et al. Erythema nodosum and associated diseases. A study of 129 cases. Int J Dermatol 1998;37:667-672.
2. Zambrano-Mericq MJ, Lam JM. Erythema nodosum associated with COVID19 infection: A pediatric case report and review of the literature. Pediatr Dermatol 2023;40(1):166-170.
3. Anthony N, Duquenne S, Zemali N, Foucher A, Dupin N, Bertolotti A. Syphilis is a Rare Cause of Erythema Nodosum: A Case Report. Infect Drug Resist 2022;15:307-310.


Author(s):
dr. Jan R. Mekkes. Dermatologist, Amsterdam UMC.

31-05-2023 (JRM) - www.skin-diseases.eu Terug naar homepagina



Diagnosis codes:
ICD10 L52 Erythema nodosum
ICD10 L52 Erythema nodosum
SNOMED 32861005 Erythema nodosum
DBC 13 Inflammatoire dermatosen