Rosai-Dorfman disease, ook wel
sinus histiocytosis
with massive lymphadenopathy genoemd is een zeldzame, op pseudolymfoma
lijkende aandoening, die ook vanzelf weer over kan gaan. De infiltraten bestaan
uit CD68- en S100-positieve, CD1a-negatieve histiocyten, en een typisch histologisch
kenmerk is
emperipolesis, dat is het fenomeen dat
intacte cellen (meestal lymfocyten, soms plasma cellen, neutrofielen of erytrocyten)
worden gefagocyteerd door histiocyten. Rosai-Dorfman disease wordt ingedeeld
onder de
non-Langerhans cell
histiocytosen. Het beeld is voor het eerst beschreven door Destombes in
1965, bij vier Afrikaanse kinderen met lymfadenopathie. Rosai en Dorfman beschreven
in 1969 een serie van 4 patiënten met zeer uitgebreide cervicale lymfadenopathie
en een specifiek histologisch beeld. Zij noemden het sinus histiocytosis with
massive lymphadenopathy. Sindsdien zijn vele case reports beschreven van patiënten
die niet alleen lymfadenopathie hadden, maar ook extranodale infiltraten, meestal
in de huid.
![Rosai-Dorfman disease (click on photo to enlarge) [source: Samuel Freire da Silva - Dermatology Atlas - Wikidocs - Creative Commons License 3.0] Rosai-Dorfman disease](../../../images/rosai-dorfman-disease-1z.jpg) |
| Rosai-Dorfman
disease |
Foto: Samuel Freire da Silva -
Dermatology
Atlas (Creative Commons License
3.0).
Klinisch beeld:De huidaandoeningen bij Rosai-Dorfman
disease bestaan uit solitaire of multipele rood-bruine, geel-bruine, rode, of
livide papels, nodi, of plaques, soms erythemateuze macula, in combinatie met
een zeer uitgebreide maar pijnloze lymfadenopathie, vaak cervicaal, en meestal
koorts. Het komt ook voor dat patiënten alleen huidafwijkingen hebben. Ook panniculitis
en acneïforme laesies zijn beschreven. Vaak is er een verhoogde bezinking, leukocytose,
anemie, en een polyklonale hypergammaglobulinemie. Bij circa 43% van de gevallen
zijn er andere locaties aangedaan dan alleen de lymfklieren, meestal de huid.
Andere klachten kunnen zijn botpijn, buikpijn, B-symptomen (koorts, > 10%
gewichtsverlies, nachtzweten), hoesten, verstopte neus, gewrichtsklachten. Rosai-Dorfman
disease kan op jonge leeftijd beginnen, bij 10-20-jarigen, maar de patiënten
met huidlaesies zijn meestal ouder (40-50 jaar).
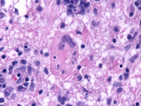
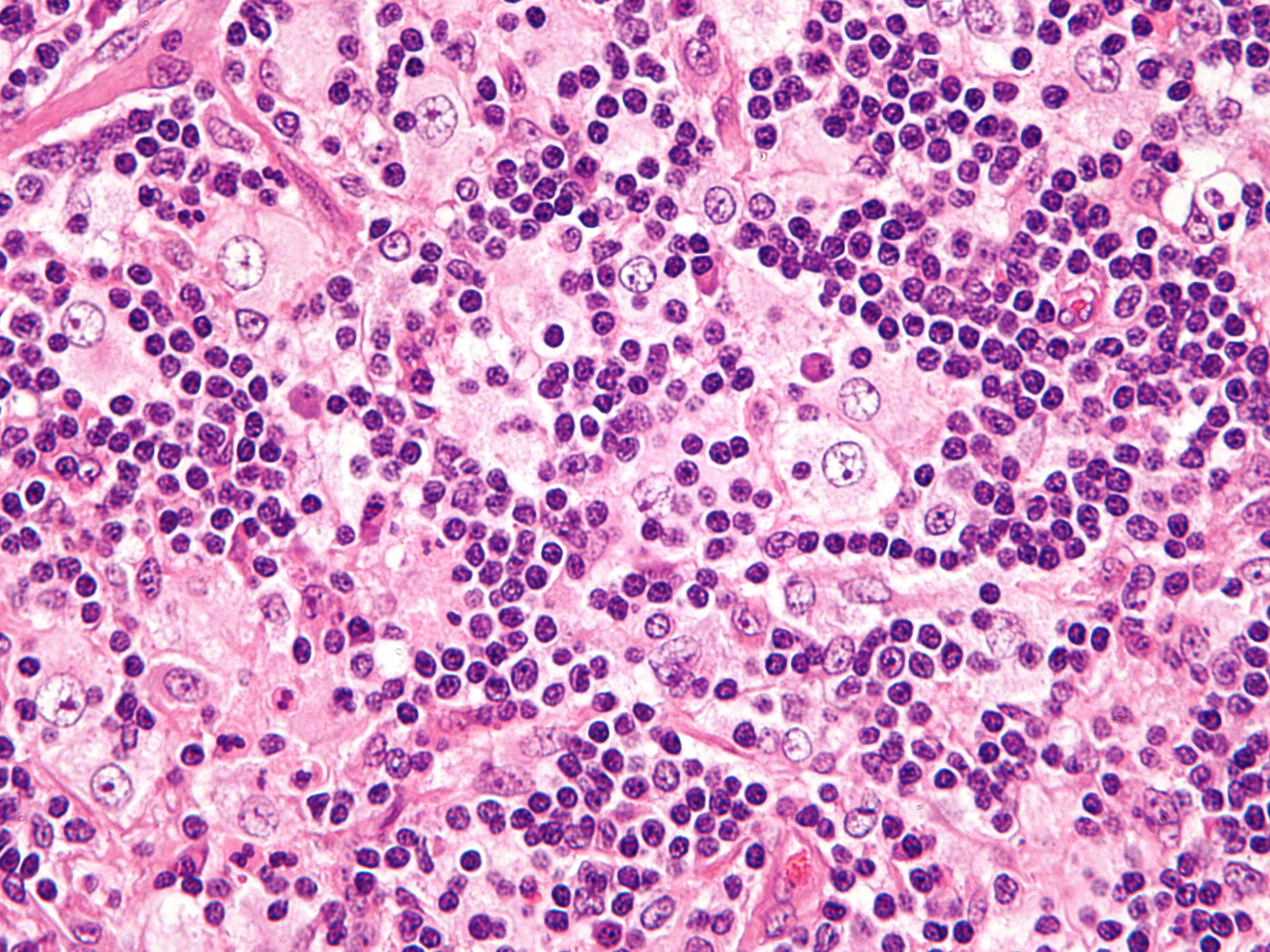
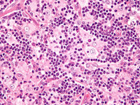
PA:
In de dermis een dicht infiltraat van histiocyten en lymfocyten, plasmacellen
en neutrofielen. histiocyten hebben grote vesiculeuze kernen, kleine nucleoli,
en een overvloedig schuimig cytoplasma. Typisch is de aanwezigheid van emperipolesis
(Rosai-Dorfman cells), het fenomeen dat binnen de grote histiocyten intacte
gefagocyteerde lymfocyten, of plasmacellen of leukocyten liggen. De histiocyten
zijn positief voor S100, CD11c, CD14, CD68, laminin 5, en lysozym. CD1a (Langerhanscellen)
is negatief. Bij elektronenmicroscopie worden geen Birbeck granula gezien.
![Rosai-Dorfman disease (click on photo to enlarge) [source: Nephron, Wikipedia commons license] Rosai-Dorfman disease](../../../images/rosai-dorfman-disease-2z.jpg) |
![Rosai-Dorfman disease (click on photo to enlarge) [source: Jensflorian, Wikipedia commons license] Rosai-Dorfman disease](../../../images/rosai-dorfman-disease-3z.jpg) |
| Rosai-Dorfman
cellen |
Rosai-Dorfman
cel |
Foto's: Michael Bonert (Nephron) en Jensflorian - Wikimedia
(Creative Commons License
3.0).
DD:Abces, infectieus
proces,
pseudolymfoom,
lymfoom,
kattenkrabziekte (lymphoreticulosis
benigna),
bacillaire angiomatosis,
melanoma,
metastase,
dermatofibroom,
granuloma annulare,
lymphocytic
infiltration of the skin (Jessner),
Langerhans cell histiocytosis,
IgG4-related skin disease.
Diagnostiek:Lab (BSE, CRP, Hb, leuko’s, leukodiff,
eventueel auto-antistoffen tegen erytrocyten).
Biopt. Afbeeldend onderzoek
(PET-CT scan, of CT-scan of MRI).
Therapie:Afwachten
is een optie, soms gaat het vanzelf over. Maar er zijn ook varianten die niet
overgaan en waarbij steeds meer laesies verschijnen. In die gevallen is agressieve
therapie nodig, soms zelfs chemotherapie. Gezien de zeldzaamheid zijn er geen
richtlijnen. In case reports werden onderstaande medicaties toegepast:

Excisie.
R/ lokale of intralesionale corticosteroïden.

Cryotherapie.
R/ radiotherapie.
R/ dapson 100-200 mg.
R/ prednison 1 mg/kg.
R/ prednison
+ rituximab, of azathioprine, of 6-mercaptopurine.
R/ 6-mercaptopurine.
R/ prednison + 6-mercaptopurine + azathioprine.
R/ prednison + 6-mercaptopurine
+ methotrexaat.
R/ PEG interferon alfa 2a
R/ rituximab.
R/ Cellcept
(mycofenolaat mofetil).
R/ thalidomide.
R/ chemotherapie.
Cladribine (5 mg/m
2/dag gedurende
4 dagen elke 4 weken (3-4 cycli).
CVP (cyclofosfamide,
vincristine, prednison).
Etoposide + vinblastine + prednison.
Vinblastine + prednison + 6-mercaptopurine + methotrexaat.
Clofarabine + vinblastine + etoposide + prednison.
Hydroxyureum.
Referenties
| 1. |
Destombes P. [Adenitis with lipid excess,
in children or young adults, seen in the Antilles and in Mali. (4
cases)]. Bull Soc Pathol Exot Filiales 1965;58(6):1169-1175. |
| 2. |
Rosai J, Dorfman RF. Sinus histiocytosis
with massive lymphadenopathy. A newly recognized benign clinicopathological
entity. Arch Pathol 1969;87(1):63-70. |
| 3. |
Goyal G, Ravindran A, Young JR, Shah MV,
Bennani NN, Patnaik MM, Nowakowski GS, Thanarajasingam G, Habermann
TM, Vassallo R, Sher T, Parikh SA, Rech KL, Go RS; Mayo Clinic Histiocytosis
Working Group. Clinicopathological features, treatment approaches,
and outcomes in Rosai-Dorfman disease. Haematologica 2020;105(2):348-357.
PDF |
| 4. |
Becker M, Gaiser T, Middel P, Rompel R. Clinicopathologic
challenge. Destombes-Rosai-Dorfman disease (DRDD) (sinushistiocytosis
with massive lymphadenopathy). Int J Dermatol 2008;47:125-127. |
| 5. |
Landim FM, Rios Hde O, Costa CO, Feitosa
RG, Rocha Filho FD, Costa AA. Cutaneous Rosai-Dorfman disease. An
Bras Dermatol 2009;84:275-278. |
| 6. |
Chan CC, Chu CY. Dapsone as a potential treatment
for cultaneous Rosai-Dorfman disease with neutrophilic predominance.
Arch Dermatol 2006;142:428-430. |
Author(s):dr. Jan R. Mekkes. Dermatologist, Amsterdam UMC.