MYOPERICYTOOM home ICD10: D23.9

Een myopericytoom is een zeldzame benigne tumor uitgaande van pericyten. De term omvat een spectrum aan tumoren opgebouwd uit spoelvormige cellen in een karakteristieke concentrische perivasculaire ligging. Voordat de term myopericytoma door pathologen werd geïntroduceerd werden deze tumoren beschreven als pericytoom, myofibroom en infantiel hemangiopericytoom. Pericyten zijn contractiele cellen rond capillairen en venulen die samen met endotheelcellen de vasculaire basaalmembraan vormen. Pericyten zijn waarschijnlijk pluripotente stamcellen die kunnen differentiëren tot gladde spiercel, fibroblast, osteoblast of adipocyt. Een myopericyt is een overgangsvorm tussen een pericyt en een gladde spiercel. Het myopericytoom wordt beschouwd als goedaardig, er zijn slechts enkele gevallen van maligne ontaarding beschreven (extreem zeldzaam).

Klinisch beeld:
Solitaire langzaam groeiende pijnloze nodus, vooral bij volwassenen van middelbare leeftijd. Voorkeurslocaties zijn de distale extremiteiten, hoofd-halsregio en de romp. De laesies worden meestal geëxcideerd onder de diagnose plaveiselcelcarcinoom, pas na histologie wordt de diagnose myopericytoom gesteld.

DD:
Plaveiselcelcarcinoom, keratoacanthoom, basaalcelcarcinoom, granuloma pyogenicum, Merkel cel tumor, amelanotisch melanoom, spoelcellig melanoom, atypisch fibroxanthoom, pleiomorf dermaal sarcoom, maligne fibreus histiocytoma, dermatofibrosarcoma protuberans, sarcoom, leiomyosarcoom, hemangiopericytoma, metastase, B-cel lymfoom.

PA:
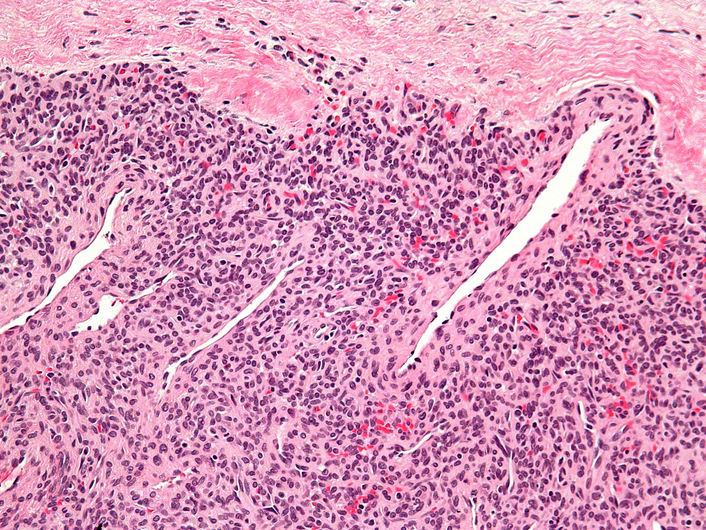
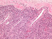
Scherp begrensde celrijke gebieden met daarin vertakkende bloedvaten, en concentrisch rond de vaten gelegen spoelvormige cellen zonder cytonucleaire atypie, weinig mitosen. De tumorcellen zijn positief voor SMA (smooth muscle antigen), myofibroblasten zijn positief voor HHF35. Soms aankleuring voor CD34 en desmine. Bij de zeldzame maligne variant werd een hoge mitoseactiviteit, centrale necrose en doorgroei in de weke delen beschreven. De histologische DD omvat angioleiomyoma, glomustumor, glomangioma en glomangiopericytoma.

PA myopericytoom PA myopericytoom
myopericytoom myopericytoom (sma)

PA-Foto's: Michael Bonert (Nephron) - Wikimedia (Creative Commons License 2.0 / 3.0).


Therapie:
Radicale chirurgische excisie. Vanwege de zeldzaamheid zijn er geen publicaties over de marge; streef naar minimaal 3 mm en 5 mm als het kan. Histologische controle en zonodig re-excisie als het histologisch niet radicaal is.


Referenties
1. Ramakers NAM, Wetzels-van der Velden C, Thissen MRTM. Een groeiende zwelling op de hand. Ned Tijdschr Dermatol Venereol 2016:26:608-610.
2. Mentzel T, Dei Tos AP, Sapi Z, Kutzner H. Myopericytoma of skin and soft tissues: clinicopathologic and immunohistochemical study of 54 cases. Am J Surg Pathol 2006;30:104-113.
3. Granter SR, Badizadegan K, Fletcher CD. Myofibromatosis in adults, glomangiopericytoma, and myopericytoma: a spectrum of tumors showing perivascular myoid differentiation. Am J Surg Pathol 1998;22:513-525.
4. Paek JO, Kang HS, Yeo KY, Yu HJ, Kim JS. A case of myopericytoma on the lower leg. Ann Dermatol 2011;23:201-204.


Author(s):
dr. Jan R. Mekkes. Dermatologist, Amsterdam UMC.

31-05-2023 (JRM) - www.skin-diseases.eu Terug naar homepagina



Diagnosis codes:
ICD10 D23.9 Overige benigne neoplasma van huid, niet gespecificeerd: myopericytoom
ICD10 D23.9 Other benign neoplasms of skin, unspecified: myopericytoma
SNOMED 403974005 Myopericytoma of skin
DBC 3 Benigne tumoren