Een
fibroepithelioma (
Pinkus tumor)
wordt beschouwd als een bijzondere en zeldzame variant van een basaalcelcarcinoom.
Maar de histologie wijkt af van een gewoon basaalcelcarcinoom. De pinkus tumor
zit ergens in het spectrum tussen een basaalcelcarcinoom en een trichoblastoom
in. De laesies groeien langzaam, gedragen zich als benigne tumoren, en lijken
daar vaak ook op. Pinkus tumoren worden vaak aangezien voor een
fibroma pendulans (acrochordon, fibroma molle),
of naevus papillomatosus, of verruca seborroica. Vaak zijn het gesteelde roze
of huidkleurige tumoren. Voor het eerst beschreven door Hermann Pinkus in 1953,
die beschreef het als een premaligne fibroepitheliale tumor.
Klinisch beeld:Langzaam groeiende bolronde of gesteelde
tumoren met een smalle basis, tot enkele cm groot. De kleur varieert: roze,
huidkleurig, geel, bruin. Ze zitten meestal op de romp of extremiteiten. Dermatoscopisch
ziet men
arborizing vessels, white streaks, soms ook dotted vessels, milia,
en ulceratie.
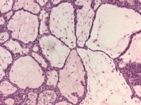
![Fibroepithelioma (Pinkus tumor) (click on photo to enlarge) [source: www.huidziekten.nl] Fibroepithelioma (Pinkus tumor)](../../../images/pinkus-tumor-1z.jpg) |
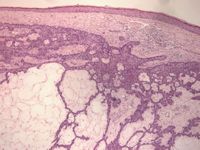
![Fibroepithelioma (Pinkus tumor) (click on photo to enlarge) [source: www.huidziekten.nl] Fibroepithelioma (Pinkus tumor)](../../../images/pinkus-tumor-2z.jpg) |
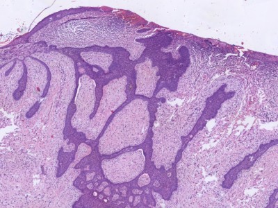
![Fibroepithelioma (Pinkus tumor) (click on photo to enlarge) [source: www.huidziekten.nl] Fibroepithelioma (Pinkus tumor)](../../../images/pinkus-tumor-3z.jpg) |
| fibroepithelioma
(Pinkus) |
fibroepithelioma
(Pinkus) |
fibroepithelioma
(Pinkus) |
DD:Basaalcelcarcinoom,
fibroma pendulans,
naevus papillomatosus,
dermale naevi,
fibroma nno,
verruca seborroica,
granuloma teleangiectaticum,
hemangioma,
amelanotisch melanoma,
Merkel cel tumor,
neurofibroma,
naevus lipomatosus,
naevus sebaceous,
keloid,
lipofibroma.
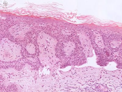
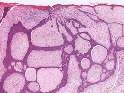
PA:
De histologie toont dunne anastomoserende strengen basaloide keratinocyten (soms
squameuze differentiatie) die ruimten gevuld met stroma omlijsten als 'kozijnen
rond een ruit'. Driedimensionaal gaat het om een honingraat vormige of sponsachtig
opgebouwde tumor die begint in de papillaire dermis en die bij groei de papillaire
dermis opblaast en een gesteelde laesie vormt. In de ruimten groeien soms structuren
die lijken op haarzakjes in vroege embryonale ontwikkeling, die 'follicular
germ-like structures' worden genoemd. Immunokleuringen tonen vaak (85%) cytokeratin
20 (CK20, Merkel cellen) en BCL-2 (proto-oncogen), soms androgeen receptoren,
soms zwakke aankleuring p53 of proliferatie marker Ki-67. Sommige pathologen
beschouwen het als een gefenestreerde variant van een trichoblastoom. Het niet-aggresieve
gedrag past daar goed bij. Cysteuze varianten komen voor.
Therapie:De therapie is hetzelfde als bij een basaalcelcarcinoom.

Excisie.

Curettage
en elektrocoagulatie.
Referenties
| 1. |
Pinkus H. Premalignant fibroepithelial tumors
of skin. AMA Arch Derm Syphilol 1953;67(6):598-615. |
| 2. |
Jones CC, Ansari SJ, Tschen JA. Cystic fibroepithelioma
of pinkus. J Cutan Pathol 1991;18(3):220-222. |
| 3. |
Cohen PR, Tschen JA. Fibroepithelioma of
Pinkus presenting as a sessile thigh nodule. Skinmed 2003;2(6):385-387. |
| 4. |
Zalaudek I, Ferrara G, Broganelli P, et al.
Dermoscopy patterns of fibroepithelioma of Pinkus. Arch Dermatol
2006;142(10):1318-1322. |
| 5. |
Haddock ES, Cohen PR. Fibroepithelioma of
Pinkus Revisited. Dermatology and Therapy 2016;6(3):347-362. |
Author(s):dr. Jan R. Mekkes. Dermatologist, Amsterdam UMC.