Inflammatory bowel disease (
IBD) wordt onderverdeeld in
colitis
ulcerosa en de
ziekte van Crohn. Colitis ulcerosa beperkt zich tot het colon
en rectum en tast alleen de mucosa en submucosa aan. Crohn begint vaak in
het terminale ileum maar kan elk deel van de tractus digestivus aandoen
waarbij de ontsteking alle lagen van de darm kan aantasten.
Extra-intestinale manifestaties komen vaak voor, bij circa 40% van de IBD
patiënten, vooral bij Crohn. Diverse organen kunnen zijn aangedaan (huid,
gewrichten, ogen, lever en galwegen, nieren, longen, hart,
bloedafwijkingen). Het meest gezien worden
artritis,
uveïtis en
huidafwijkingen. Huidafwijkingen die kunnen voorkomen bij de inflammatoire
darmziekten zijn: erythema nodosum, pyoderma gangrenosum, vulvaire pustels
en ulcera, vulvaire slit like ulcers, pyoderma vegetans, pyostomatitis
vegetans, Sweet syndroom, vasculitis, stomatitis aphtosa en andere orale
ulceraties, clubbed fingers, cheilitis angularis, anale en inguinale
fissuren en ulcera, hidradenitis suppurativa, periorbitaal oedeem, en amyloidosis. Ook
huidafwijkingen door voedingsdeficiënties komen voor (cheilitis angularis,
stomatitis en glossitis (vit. B), pellagra (niacine), acrodermatitis
enteropathica (zink), scheurbuik (vit. C), purpura (vit. C en vit. K)).
Daarnaast zijn er soms geassocieerde (autoimmuun) huidziekten zoals
psoriasis of vitiligo. Ook kunnen huidafwijkingen ontstaat t.g.v. de
voorgeschreven immunosuppressiva (steroïdacne, steroïdrosacea,
TNF-inhibitors-geïnduceerde psoriatiforme dermatosen).
De
oorzaak van Crohn en colitis ulcerosa is niet helemaal duidelijk. Gedacht
wordt aan een abnormale respons van mucosale T-cellen op intestinale
darmflora. Bij Crohn vooral via Th1 respons (verhoogd IFN en IL-12), bij
colitis ulcerosa vooral via Th2 respons (verhoogd IL-5 en IL-13). Naast CD4
T-cellen van het type Th1 (cell-mediated) en Th2 (humoral), spelen ook Th17
T-cellen (interleukin-17 en IL-23 productie) een rol. Verhoogde expressie
van IL-23 wordt ook gevonden in huidafwijkingen zoals pyoderma gangrenosum
en therapeutisch effect van ustekinumab is beschreven bij pyoderma.
| Indeling cutane manifestaties van inflammatoire darmziekten: |
A. Huidafwijkingen met dezelfde histologische kenmerken als
de onderliggende inflammatoire darmziekte. B. Reactieve huidafwijkingen
bij inflammatoire darmziekten. C. Huidafwijkingen die geassocieerd kunnen
voorkomen bij inflammatoire darmziekten. D. Huidafwijkingen secundair aan
complicaties of deficiënties bij IBD, of veroorzaakt door voorgeschreven
geneesmiddelen bij IBD. |
A.
Huidafwijkingen met dezelfde histologische kenmerken als de onderliggende
inflammatoire darmziekte. 1.
Cutane Crohn (metastatic Crohn
disease).Cutane Crohn is zeldzaam. Per definitie gaat het om
granulomateuze huidafwijkingen met dezelfde PA als Crohn (niet-verkazende
granulomen, multinucleaire reuscellen, lymfocyten, plasmacellen en
eosinofielen). Cutane Crohn treft vaak de genitale regio, in de vorm van
oedeem, fissuren, ulcera, noduli, of pustels. Diepe langwerpige ulcera
(
slit-like ulcers) komen voor in plooien of in en rond de vagina. De ulcera
kunnen de labia loswoelen van de onderlaag of geheel verwoesten. Soms
ontstaat secundair lymfoedeem van de labia. Het kan ook extragenitaal
voorkomen, vaak in de vorm van subcutane noduli of ulcera, aan de benen,
armen, gelaat, of in de lichaamsplooien. Soms is er verwarring rond het
begrip cutane Crohn. Zo worden fistels perianaal of vulvair, of progressieve
necrotische ulcera soms door de gastro-enteroloog aangeduid als cutane Crohn
terwijl de dermatoloog dezelfde aandoeningen
hidradenitis suppurativa bij
Crohn respectievelijk
pyoderma gangrenosum bij Crohn noemt.
Ook histologisch kan het moeilijk zijn om onderscheid te maken tussen cutane
Crohn, pyoderma gangrenosum, en hidradenitis suppurativa.
![Slit-like ulcers (click on photo to enlarge) [source: www.huidziekten.nl] Slit-like ulcers](../../../images/crohn-slitlike-ulcers-1z.jpg) |
![Slit-like ulcers (click on photo to enlarge) [source: www.huidziekten.nl] Slit-like ulcers](../../../images/crohn-slitlike-ulcers-2z.jpg) |
![Slit-like ulcers (click on photo to enlarge) [source: www.huidziekten.nl] Slit-like ulcers](../../../images/crohn-slitlike-ulcers-3z.jpg) |
| slit-like ulcers |
slit-like ulcers |
slit-like ulcers |
![Ulcera in de plooien bij de ziekte van Crohn (click on photo to enlarge) [source: www.huidziekten.nl] Ulcera in de plooien](../../../images/crohn-ulcer-skin-1z.jpg) |
![Ulcera in de plooien bij de ziekte van Crohn (click on photo to enlarge) [source: www.huidziekten.nl] Ulcera in de plooien](../../../images/crohn-ulcer-skin-2z.jpg) |
![Lymfoedeem bij Crohn (click on photo to enlarge) [source: www.huidziekten.nl] Lymfoedeem bij Crohn](../../../images/crohn-lymfangiectasien-secundair-1z.jpg) |
| ulcera in de plooien |
ulcera in de plooien |
lymfoedeem bij Crohn |
![Pustels bij Crohn (click on photo to enlarge) [source: www.huidziekten.nl] Pustels bij Crohn](../../../images/crohn-pustels-vulva-3z.jpg) |
![Pustels bij Crohn (click on photo to enlarge) [source: www.huidziekten.nl] Pustels bij Crohn](../../../images/crohn-pustels-vulva-1z.jpg) |
![Pustels bij Crohn (click on photo to enlarge) [source: www.huidziekten.nl] Pustels bij Crohn](../../../images/crohn-pustels-vulva-2z.jpg) |
| pustels bij Crohn |
pustels bij Crohn |
later overgaand in ulcera |
![Plaques en ulcera (click on photo to enlarge) [source: www.huidziekten.nl] Plaques en ulcera](../../../images/cutane-crohn-1z.jpg) |
![Plaques en ulcera (click on photo to enlarge) [source: www.huidziekten.nl] Plaques en ulcera](../../../images/cutane-crohn-2z.jpg) |
![Plaques en ulcera (click on photo to enlarge) [source: www.huidziekten.nl] Plaques en ulcera](../../../images/cutane-crohn-3z.jpg) |
| plaques en
ulcera |
plaques en
ulcera |
plaques en
ulcera |
Therapie:R/ lokale corticosteroïden.
R/ intralesionale corticosteroïden (Kenacort A40 intralesionaal in
oppervlakkige ulcera eens per 4-6 weken).
R/ systemische
corticosteroïden, prednisolon 30 mg of hoger (0.5-1 mg/kg)
R/
sulfasalazine 2-3 dd 1000 mg
R/ sulfasalazine 2-3 dd 1000 mg (in
combinatie met prednison in het begin) start met 1-2 dd 500 mg, per week
verhogen, effect langdurig afwachten (4 maanden).
R/ mesalazine 3 dd
500-1000 mg (in combinatie met prednison in het begin) start met 1-2 dd 500
mg, per week verhogen, effect langdurig afwachten (4 maanden).
R/
metronidazol 3 dd 500 mg (20 mg/kg).
R/ metronidazol 3 dd 500 mg (20
mg/kg) in combinatie met azitromycine 1 dd 250 mg in de eerste week, daarna
3 keer per week 1 dd 250 mg. Metronidazol en azitromycine zijn beide
antibiotica met een krachtige anti-inflmmatoire nevenwerking.
R/ prednisolon 30 mg + metronidazol
3 dd 500 mg (20 mg/kg) voor maanden (minimaal 4 maanden afwachten) tot jaren
(12-36 maanden).
R/ azathioprine 1 dd 50-150 mg (in combinatie
met prednison).
R/ methotrexaat 10-22.5 mg per week.
R/ ciclosporine 4
mg/kg.
R/ tacrolimus 0.20-0.30 mg/kg per dag verdeeld over 2 doses.
R/
micofenolaat mofetil 2 dd 500-1000 mg.
R/ 6-mercaptopurine.
R/ infliximab 5 mg/kg om de 2 maanden.
R/ adalimumab 40 mg per week.
R/ golimumab 50 mg per
4 weken. < 80 kg: startdosis 200 mg subcutaan, gevolgd door 100 mg na 2
weken en daarna 50 mg elke 4 weken; lichaamsgewicht ≥ 80 kg: startdosis 200
mg subcutaan, gevolgd door 100 mg op week 2 en daarna 100 mg elke 4 weken.
R/ vedolizumab 300 mg via i.v. infusie in week 0, 2 en 6, en daarna elke 8
weken.
R/ certolizumab 200 mg om de 2 weken.
R/ ustekinumab 45 of 90 mg, bij < 100 kg s.c. 45 mg, gevolgd door 45 mg na 4
weken en vervolgens 45 mg elke 12 weken. Bij > 100 kg: s.c. 90 mg, gevolgd
door 90 mg na 4 weken en vervolgens 90 mg elke 12 weken.
R/ upadacitinib 1 dd 45 mg gedurende 12 weken,
daarna 1 dd 15-30 mg per dag.
R/ tofacitinib 2 dd 10 mg gedurende 8
weken, daarna 2 dd 5 mg.
Beenmergtransplantatie
VAC pomp op geschikte ulcera
Hyperbare zuurstoftherapie (bij ulcera).
2.
Perianale manifestaties van Crohn.Perianale afwijkingen zoals
fissuren, fistels, hidradenitis suppurativa, abcessen, oedeem en erytheem
komen vaak voor, bij circa de helft van de Crohn patiënten. Perianale
fistels en fissuren kunnen ook een voorbode zijn van Crohn (en reden voor
endoscopie). Het onderscheid tussen perianale fistels en perianale
hidradenitis suppurativa is niet groot. In de chirurgische definitie heet
het een perianale fistel als de fistel een verbinding heeft met het rectum,
ontbreekt die verbinding dan wordt dezelfde fistel hidradenitis suppurativa
genoemd; dit is een kunstmatig onderscheid, feitelijk gaat het om dezelfde
aandoening.
Therapie fissuren:R/ glyceryl trinitrate (nitroglycerine) zalf.
R/
Botox injecties in de anale sfincter.
R/ diltiazem
R/ laterale
sfincterotomie.
Therapie perianale fistels:R/
antibiotica
(metronidazol, clindamycine, ciprofloxacine).
R/ immunosuppressiva
(azathioprine, 6-MP, ciclosporine, tacrolimus, infliximab).
R/
fistulectomie door gespecialiseerd perianaal chirurg; soms is totale
proctectomie met het aanleggen van een stoma nodig.
3.
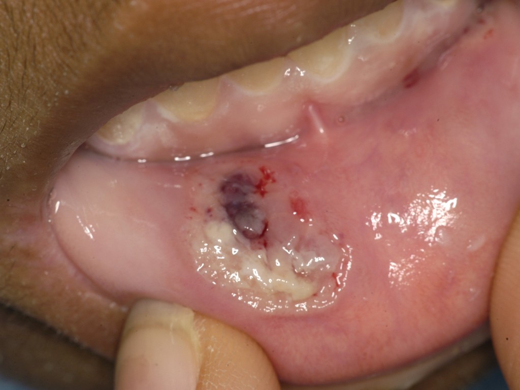
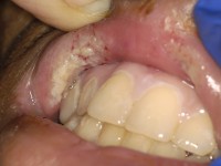
Orofaciale manifestaties van Crohn.Afwijkingen van het
mondslijmvlies en de lippen kunnen geassocieerd voorkomen bij Crohn en soms
er aan voorafgaan. Circa 5-20% van de Crohn patiënten hebben orofaciale
afwijkingen zoals
stomatitis aphtosa (aften), pyostomatitis vegetans,
cheilitis angularis, mucosale ulcera, multipele noduli op het wangslijmvlies
of op de gingiva (cobblestoning of the buccal mucosa), en pijnlijk
geïndureerde fissuren in de onderlip. Stomatitis aphthosa wordt vooral bij
Crohn gezien en minder bij colitis ulcerosa; het kunnen minor of major aften
zijn.
![Cheilitis angularis (Perleche) (click on photo to enlarge) [source: www.huidziekten.nl] Cheilitis angularis (Perleche)](../../../images/cheilitis-angularis-1z.jpg) |
![Cheilitis angularis (Perleche) (click on photo to enlarge) [source: www.huidziekten.nl] Cheilitis angularis (Perleche)](../../../images/cheilitis-angularis-2z.jpg) |
| cheilitis
angularis |
cheilitis
angularis |
![Stomatitis aphthosa (click on photo to enlarge) [source: www.huidziekten.nl] Stomatitis aphthosa](../../../images/aften-4z.jpg) |
![Stomatitis aphthosa (click on photo to enlarge) [source: www.huidziekten.nl] Stomatitis aphthosa](../../../images/aften-5z.jpg) |
| stomatitis aphthosa |
stomatitis aphthosa |
Therapie:R/ lokale corticosteroïden voor de mondholte
(zie onder lichen planus).
R/ systemische corticosteroïden.
R/
anti-TNF-α therapie.
B. Reactieve
huidafwijkingen bij inflammatoire darmziekten. 1.
Erythema
nodosum.Erythema nodosum komt vaak voor bij IBD, bij 3-10% van de
colitis ulcerosa patiënten en bij 4-15% van de Crohn patiënten. Omgekeerd is
het niet zo dat het hebben van erythema nodosum een reden is om middels
endoscopie te screenen op een darmziekte. De ziekteactiviteit van de EN gaat
gelijk op met de darmziekte. Systemische klachten kunnen voorkomen (koorts,
malaise, artritis). De diagnose wordt gesteld op het typische klinisch
beeld. Een biopt afnemen (dat diep moet zijn) is niet nodig en niet zonder
risico. Histologisch wordt een panniculitis gezien met een lymfohistiocytair
infiltraat. Histologie bij erythema nodosum geeft geen informatie over de
onderliggende pathologie.
Therapie:Beter behandelen van
de onderliggende darmziekte.
R/ prednisolon 20-30 mg.
R/ NSAID's.
R/ kaliumjodide.
R/ colchicine, dapson.
R/ ciclosporine.
R/
thalidomide.
R/ infliximab.
2.
Pyoderma gangrenosum.Pyoderma gangrenosum komt bij circa 1-3% van
de IBD patiënten voor. Het kan beginnen als pustels of bullae die overgaan
in ulcera. De klassieke pyoderma gangrenosum is een ulcus met een opgeworpen
en ondermijnde paarse rand, dat snel naar alle kanten uitbreidt, en niet
reageert op antibiotica. De ulceratie kan worden uitgelokt door een gering
trauma. Soms ontstaat het in een litteken van een buikoperatie, of
peristomaal. Het kan veel schade aanrichten als het niet tijdig wordt
herkend en behandeld. Een heel been of een hele onderbuik kan worden
weggevreten. Komt ook op de lippen en overige mucosa voor. Pyoderma
gangrenosum is zeldzaam, maar gastro-enterologen en dermatologen zien het
regelmatig en zijn in staat om het te herkennen op het klinisch beeld (zie
verder onder
pyoderma gangrenosum).
![Pyoderma gangrenosum bij de ziekte van Crohn (click on photo to enlarge) [source: www.huidziekten.nl] Pyoderma gangrenosum](../../../images/pyoderma-gangrenosum-bij-crohn-1z.jpg) |
![Pyoderma gangrenosum bij de ziekte van Crohn (click on photo to enlarge) [source: www.huidziekten.nl] Pyoderma gangrenosum](../../../images/pyoderma-gangrenosum-bij-crohn-2z.jpg) |
| pyoderma gangrenosum |
pyoderma gangrenosum |
![Pyoderma gangrenosum bij de ziekte van Crohn (click on photo to enlarge) [source: www.huidziekten.nl] Pyoderma gangrenosum](../../../images/pyoderma-gangrenosum-bij-crohn-3z.jpg) |
![Pyoderma gangrenosum bij de ziekte van Crohn (click on photo to enlarge) [source: www.huidziekten.nl] Pyoderma gangrenosum](../../../images/pyoderma-gangrenosum-bij-crohn-4z.jpg) |
| pyoderma gangrenosum |
pyoderma gangrenosum |
Therapie:R/ ciclosporine 4 mg/kg (range
3-5 mg/kg).
R/ ciclosporine 4 mg/kg (range 3-5 mg/kg) + dapson 100 mg.
R/
prednisolon 0.75 mg/kg (range 0.5-2 mg/kg).
R/ lokale
corticosteroïden (Dermovate creme of zalf).
R/
Protopic (tacrolimus) zalf.
R/ minocycline en doxycycline.
R/
sulfasalazine.
R/ azathioprine.
R/ dapson.
R/ ntraveneuze immunoglobulinen (
IvIg)
2 g/kg verdeeld over 2-5 dagen, 1 keer per 4 weken.
R/ mycophenolate mofetil.
R/
cyclofosfamide, methotrexaat.
R/ TNF-α remmers (etanercept, infliximab,
adalimumab).
3.
Pyodermatitis vegetans, pyostomatitis vegetans, pyodermatitis-pyostomatitis
vegetans.Pyodermatitis vegetans (
pyoderma vegetans) is een zeldzame
huidziekte die gezien wordt bij IBD, vooral bij colitis ulcerosa. Het is
volgens de laatste inzichten een
milde subvorm van pyoderma gangrenosum, waarbij geen
ulcera ontstaan maar
verheven verruceuze plaques. Het
kan overal op het lichaam ontstaan, ook op de romp, armen of benen, of op de handen. Het begint met grote pustels die snel kapot gaan en
overgaan in erosies met een rood granulerende bodem en vervolgens in groter
wordende verruceuze plaques met erosies en ulceraties met opgeworpen randen
en multipele pustels. Het werd voor het eerst beschreven door Hallopeau in
1898. Het beeld is echter niet goed gedefinieerd en de oorzaak is onbekend.
De foto's die in de verschillende publicaties over pyoderma vegetans zijn
opgenomen tonen soms totaal verschillende afwijkingen. Men denkt dat de
originele pyoderma vegetans zoals het door Hallopeau is beschreven wordt
veroorzaakt door een infectie (S. aureus, streptokokken, Trichophyton
mentagrophytes) bij immuundeficiënties. Het wordt namelijk behalve bij IBD
ook beschreven bij patiënten met een slechte afweer (HIV, leukemie, T-cel
lymfoom, myelodysplastisch syndroom, immunoglobuline deficiënties,
afagocytosis, CGD, malnutritie, immunosuppressiva). Het kan ook bij gezonden
voorkomen. Zie verder onder
pyoderma
vegetans.
![Pyoderma vegetans (click on photo to enlarge) [source: www.huidziekten.nl] Pyoderma vegetans](../../../images/pyoderma-vegetans-1z.jpg) |
![Pyoderma vegetans (click on photo to enlarge) [source: www.huidziekten.nl] Pyoderma vegetans](../../../images/pyoderma-vegetans-2z.jpg) |
| pyoderma vegetans |
pyoderma vegetans |
![Pyoderma vegetans (click on photo to enlarge) [source: www.huidziekten.nl] Pyoderma vegetans](../../../images/pyoderma-vegetans-3z.jpg) |
![Pyoderma vegetans (click on photo to enlarge) [source: www.huidziekten.nl] Pyoderma vegetans](../../../images/pyoderma-vegetans-4z.jpg) |
| pyoderma vegetans |
pyoderma vegetans |
Pyostomatitis vegetans is een zeldzame afwijking van het mondslijmvlies bij
IBD, het wordt beschouwd als de orale variant van pyoderma vegetans. Er
ontstaat een ontsteking van het wangslijmvlies met multipele grijze of gele
pustels, die overgaan in erosies en ulceraties. Kan ook op de gingiva
zitten, verhemelte, en in de keel rond de tonsillen. De tong en de mondbodem
blijven meestal gespaard. Kan ook op andere slijmvliezen voorkomen (vagina,
neusslijmvlies, conjunctiva).
![Pyostomatitis vegetans (click on photo to enlarge) [source: www.huidziekten.nl] Pyostomatitis vegetans](../../../images/pyostomatitis-vegetans-1z.jpg) |
![Pyostomatitis vegetans (click on photo to enlarge) [source: www.huidziekten.nl] Pyostomatitis vegetans](../../../images/pyostomatitis-vegetans-2z.jpg) |
| pyostomatitis vegetans |
pyostomatitis vegetans |
R/
lokale corticosteroïden zoals genoemd bij lichen planus
R/ systemische
corticosteroïden
R/ ciclosporine en andere immunosuppressiva.
4.
Neutrofiele dermatosen.Neutrofiele dermatosen in
het kader van IBD zijn het
Sweet
syndroom,
bowel-associated dermatosis-arthritis syndrome (
BADAS) en
neutrophilic dermatosis of the hand. BADAS (bowel bypass syndroom, blind
loop syndroom) kan ontstaan na darmchirurgie, bij diverticulitis,
appendicitis, en bij IBD. Klachten kunnen zijn koorts, malaise, buikpijn,
artritis en polyartralgie, in combinatie met erythemateuze maculae overgaand
in papels met een vesiculeus centrum. Men denkt dat BADAS wordt veroorzaakt
door circulerende immuuncomplexen. Zie verder onder
bowel-associated dermatosis-arthritis syndrome. Bij het
Sweet syndroom
(acute neutrophilic dermatosis) ontstaan in korte tijd pijnlijke oedemateuze
noduli en plaques, vooral op de bovenste extremiteiten, nek, gelaat,
bovenste deel van de romp. Vaak hebben de patiënten ook een leukocytose,
soms koorts en gewrichtsklachten. Sweet syndroom kan voorafgaan aan het
ontstaan van de ziekte van Crohn.
Therapie Sweet syndroom:R/ prednison 0.5-1 mg/kg per
dag gedurende 1 week, daarna afbouwen naar 10 mg in 3-4 weken.
R/ lokale
corticosteroïden klasse IV of intralesionale corticosteroïden.
R/ NSAID's
zoals Indocid (indomethacine) 3 dd 50 mg gedurende 1 week, daarna 2 dd 50
mg, of naproxen 3 dd 250 mg gedurende 1 week, daarna 2 dd 250 mg.
R/
doxycycline 2 dd 200 mg.
R/ dapson (diafenylsulfon)1 dd 100-200 mg.
R/
dolchicine (1.5 mg per dag voor 3 weken).
R/ Lampren (clofazimine 100
mg), 1 dd 200 mg.
R/ TNF-alfa remmers.
Zie verder onder
Sweet
syndroom 5.
Leukocytoclastische vasculitis.Leukocytoclastische vasculitis kan in
zeldzame gevallen een uiting zijn van IBD. Ook in dit geval wordt gedacht
aan circulerende immuuncomplexen bij Crohn of colitis ulcerosa als oorzaak
van de vasculitis. De vasculitis kan vooraf gaan aan de IBD. Zie verder
onder
leukocytoclastische vasculitis.
![Leukocytoclastische vasculitis (click on photo to enlarge) [source: www.huidziekten.nl] Leukocytoclastische vasculitis](../../../images/leukocytoclastische-vasculitis-1z.jpg) |
![Leukocytoclastische vasculitis (click on photo to enlarge) [source: www.huidziekten.nl] Leukocytoclastische vasculitis](../../../images/leukocytoclastische-vasculitis-2z.jpg) |
| leukocytoclastische vasculitis |
leukocytoclastische vasculitis |
![Leukocytoclastische vasculitis (click on photo to enlarge) [source: www.huidziekten.nl] Leukocytoclastische vasculitis](../../../pathology/images/PAVasculitisz.jpg) |
![Leukocytoclastische vasculitis (click on photo to enlarge) [source: www.huidziekten.nl] Leukocytoclastische vasculitis](../../../pathology/images/PAVasculitisTrombosez.jpg) |
| leukocytoclastische vasculitis |
leukocytoclastische vasculitis |
C. Huidafwijkingen die geassocieerd kunnen voorkomen bij inflammatoire
darmziekten. Tot deze groep wordt gerekend hidradenitis
suppurativa, flebitis, erythema exsudativum multiforme, urticaria, lichen
planus, secondaire amyloidosis, periorbitaal oedeem, en diverse auto-immuun huidziekten
(vitiligo, psoriasis, acquired epidermolysis bullosa, bulleus pemfigoïd,
lineaire IgA dermatose). Acquired epidermolysis bullosa (epidermolysis
bullosa acquisita) komt frequent voor bij de ziekte van Crohn en wordt
veroorzaakt door autoantistoffen tegen collageen type VII in de huid en in
het colon. De incidentie van vitiligo is iets hoger bij IBD. Secundaire
amyloïdose (type AA) kan in zeldzame gevallen ontstaan bij IBD ten gevolge
van de chronische ontsteking. Psoriasis wordt bij 7-11% van de IBD patiënten
gezien, veel vaker dan in de gezonde populatie (1-2%).
D. Huidafwijkingen secundair aan complicaties of deficiënties bij IBD,
of veroorzaakt door voorgeschreven geneesmiddelen bij IBD.
1.
Huidafwijkingen t.g.v. malnutritie en malabsorptie.Verkregen vorm van
acrodermatitis enteropathica (zink deficiëntie),
pellagra
(niacine deficiëntie), scheurbuik (vitamine C deficiëntie), purpura
(vitamine C en K deficiëntie), stomatitis, glossitis,
cheilitis angularis (vitamine B deficiëntie), droge huid en eczeem
(essentiële vetzuren deficiëntie), haar en nagelafwijkingen (malabsorptie
van aminozuren en eiwitten).
2.
Huidafwijkingen veroorzaakt door
voorgeschreven geneesmiddelen bij IBD.Bij IBD worden anti-inflammatoire
geneesmiddelen voorgeschreven zoals 5-ASA, metronidazol, ciprofloxacine,
azathioprine, 6-MP, methotrexaat, ciclosporine, corticosteroïden, en TNF-α
remmers. Deze kunnen huidafwijkingen veroorzaken zoals
geneesmiddelenreacties (toxicodermie), urticaria, angioedema, haaruitval,
drug-induced lichen planus, erythema multiforme, bulleuze toxicodermie,
Stevens-Johnson syndroom en TEN, acne, steroïdacne, steroïdrosacea,
psoriasis en vele andere beelden. TNF-α remmers zoals infliximab en
adalimumab kunnen vanaf de derde of vierde gift bij IBD patiënten psoriasis
of een psoriatiforme dermatitis veroorzaken.
Referenties
| 1. |
Huang BL, Chandra S, Quan Shih D. Skin
Manifestations of Inflammatory Bowel Disease. Front Physiol 2012;3:13. |
| 2. |
Akbulut S, Ozaslan E, Topal F, Albayrak L, Kayhan B, Efe C. Ulcerative
colitis presenting as leukocytoclastic vasculitis of skin. World J
Gastroenterol 2008;14:2448-2450. |
| 3. |
Ali M, Duerksen
DR. Ulcerative colitis and Sweet's syndrome: a case report and review of the
literature. Can J Gastroenterol 2008;22:296-298. |
| 4. |
Williams H,
Walker D, Orchard TR. Extraintestinal manifestations of inflammatory bowel
disease. Curr Gastroenterol Rep 2008;10:597-605. |
| 5. |
Sarna J,
Sharma A, Marfatia YS. Bilateral nonhealing ulcers in groin: an interesting
case of Metastatic Crohn's disease. Indian J Sex Transm Dis 2008;29:98-100. |
| 6. |
Timani S, Mutasim DF. Skin manifestations of inflammatory bowel
disease. Clin Dermatol 2008;26:265-273. |
| 7. |
Iannone F, Scioscia C, Musio A, Piscitelli D,
Lapadula G. Leukocytoclastic vasculitis as onset symptom of
ulcerative colitis. Ann Rheum Dis 2003;62:785-786. |
| 8. |
Iborra M, Beltran B, Bastida G, Aguas M, Nos P. Infliximab and
adalimumab-induced psoriasis in Crohn's disease: a paradoxical side
effect. J. Crohns Colitis 2001;5:157-161. |
| 9. |
Ashok D, Kiely P.
Bowel associated dermatosis - arthritis syndrome: a case report. J Med Case
Reports 2007;1:81. |
| 10. |
Ayangco L, Rogers RS III, Sheridan PJ.
Pyostomatitis vegetans as an early sign of reactivation of Crohn's disease:
a case report. J Periodontol 2002;73:1512-1516. |
| 11. |
Basu MK, Asquith
P. Oral manifestations of inflammatory bowel disease. Clin Gastroenterol
1980;9:307-321. |
| 12. |
Berkowitz EZ, Lebwohl M. Cutaneous manifestations
of inflammatory bowel disease. J Eur Acad Dermatol Venereol 2000;14:349-350. |
| 13. |
Kurtzman DJ, Jones T, Lian F, Peng LS.
Metastatic Crohn's disease: a review and approach to therapy. J Am
Acad Dermatol 2014;71(4):804-813.
PDF |
| 14. |
Łodyga M, Eder P, Bartnik W, Gonciarz M,
Kłopocka M, Linke K, Małecka-Panas E, Radwan P, Rydzewska G. New
pharmaceuticals in inflammatory bowel disease. Prz Gastroenterol
2015;10(2):57-60.
PDF |
| 15. |
Rosmaninho A. et al. Vulvoperineal Crohn's
disease responsive to metronidazole. An Bras Dermatol
2013;88(6)suppl.1.
PDF |
| 16. |
Laftah Z, Bailey C, Zaheri S, Setterfield J,
Fuller LC, Lewis F. Vulval Crohn's disease: a clinical study of 22
patients. J Crohns Colitis 2015;9(4):318-325.
PDF |
| 17. |
Monaghan TM, Albanese G, Kaye P, Thomas JD, Abercrombie LC, Moran GW. Orbital Inflammatory Complications of Crohn's Disease: A Rare Case Series. Clin Med Insights Gastroenterol 2018;11:1179552218757512. |
| 18. |
Agarwal A, Diaz A, Al-Dehneem R, Pineda RM, Khattri S. Off-Label Use of Janus Kinase Inhibitors in Inflammatory Cutaneous Diseases. J Drugs Dermatol
2023;22(12):1183-1190. |
Author(s):dr. Jan R. Mekkes. Dermatologist, Amsterdam UMC.