Beschrijving:Dyskeratose is voortijdige verhoorning van
een individuele epidermale cel in het normaal niet-verhoornende deel (vitale
deel) van de epidermis. Er ontstaan afgeronde cellen, met eosinofiel cytoplasma
en pycnotische kern, waaromheen opeengepakte keratinefilamenten. De keratine
filamenten verstoren de normale opbouw van het cytoplasmatische skelet, de cel
is niet meer in staat zijn vorm aan te passen aan de omgevende cellen en begint
zich af te ronden. De voortijdige verhoorning van individuele cellen kan berusten
op differentiatiestoornissen, irreversibele celschade (apoptose), of genetisch
bepaalde keratinisatiestoornissen, zoals bij morbus Darier, waarbij keratine
filament-desmosoom verbindingen in de suprabasale laag optreden, de filamenten
stapelen zich in perinucleaire aggregaten, acantholyse is vaak het gevolg. Bij
morbus Kyrle begint dyskeratose in het stratum Malpighii en verplaatst zich
geleidelijk naar lagere niveau's t/m het stratum germinativum. Ook bij neoplasie
(actinische keratose, plaveisel cel carcinoom), en bij acute celdood door fysische
(zonnebrand, UVB) of chemische factoren, cytotoxische therapie, cytotoxische
lymfocyten (graft versus host reactie, erythema multiforme). Acantholyse is
vaak geassocieerd, omgekeerd is niet bij acantholyse altijd sprake van dyskeratose.
Komt voor bij dyskeratosis follicularis (Darier), Kyrle's disease, zonnebrand,
UVB-bestraling, cytotoxische therapie, erythema multiforme, graft versus host
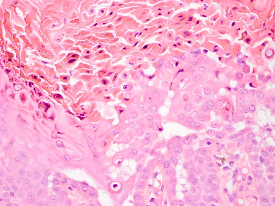
reactie. Bij dyskeratose zijn er 2 klassieke histologische kenmerken te zien:
corps ronde en
grains.

Corps
ronde: dyskeratotische acantholytische keratinocyt met cytoplasmatische opheldering
gelegen in het stratum granulosum. Te herkennen aan hun ronde vorm. In het cytoplasma
van corps ronds ziet men grote, ronde, homogene dyskeratotische vormsels, vaak
rondom gedegenereerde kernen, omgeven door een heldere zone.

Grains:
dyskeratotische keratinocyt gelegen in het stratum corneum. Te herkennen als
eosinofiel aankleurende afgeplatte cellen met een homogeen donkere kern die
de vorm heeft van een graankorrel. Grains lijken op parakeratotische cellen
maar zijn wat groter.
 |
| corps ronde
en grains als kenmerk van dyskeratose |
Meer informatie:Dyskeratose is voornamelijk
te zien bij:
- M. Darier
- Hailey Hailey disease
- Kyrle's disease
- M. Grover
- warty dyskeratoom
- acantholytische solaire elastose
- zonnebrand
- cytotoxische therapie
- erythema multiforme
- graft
versus host reactie
Ook kan het worden gezien bij:
- lichen planus
- acrodermatitis enteropatica
- herpes simplex infectie
- LE
- lichen
sclerosis
- Orf
- Spitz naevus
Author(s):
dr. Jan R. Mekkes. Dermatologist, Amsterdam UMC.
dr. Mandy E. Schram. Arts-assistent
Dermatologie, AMC, Amsterdam.