CHOLESTEROL EMBOLIE home ICD10: I74.3

Bij een cholesterolembolie (cholesterol embolism) ontstaan geïsoleerde infarcten of purpura aan de acra, vooral voeten. Een cholesterol embolie kan occlusie veroorzaken van kleinere arterie takjes en arteriolen, vooral acraal aan de huid, maar ook in andere organen, bijvoorbeeld de nieren. Septische emboliën, bijvoorbeeld bij endocarditis, kunnen een vergelijkbaar beeld veroorzaken. Hypercholesterolemie is één van de risicofactoren van arterieel vaatlijden, en het is verstandig om bij arteriële ulcera te screenen op verhoogd cholesterol en triglyceriden als dat nog niet eerder gedaan is.

Cholesterolembolie Cholesterolembolie
cholesterol embolie cholesterol embolie

Foto: Li X, Bayliss G, Zhuang S. Int J Mol Sci. 2017 May 24;18(6):1120. (Creative Commons License 4.0 - Public Access Journal).
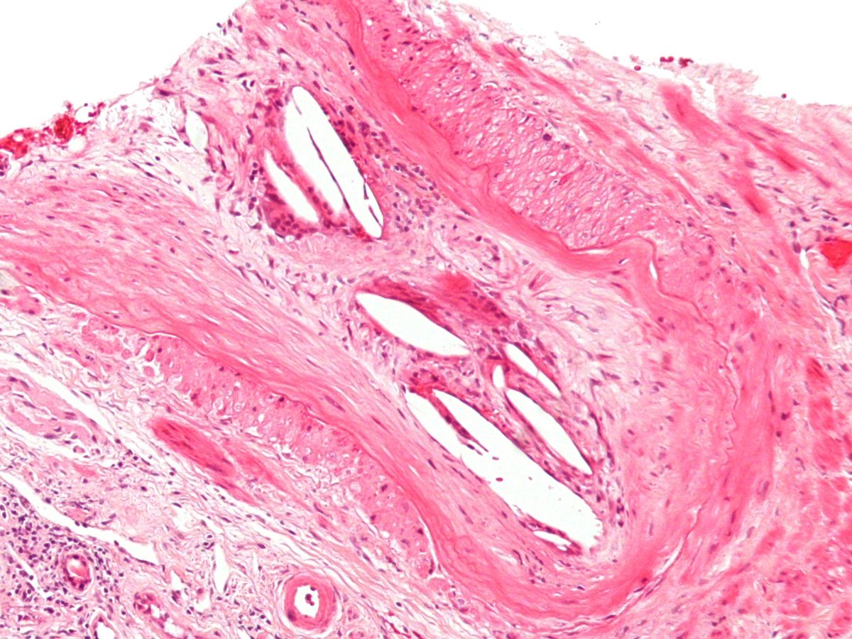
PA-Foto: Nephron - Wikimedia (Creative Commons License 3.0).


DD: septische embolie, endocarditis (Janeway lesions) meningitis, vasculitis, chilblain lupus, perniones, livedoid vasculopathie, cryoglobulinemie.

Diagnostiek:
Biopt. Een cholesterol embolus is histologisch goed te herkennen. Totaal cholesterol, triglyceriden. Uitsluiten andere oorzaken.

Therapie:
Dieetmaatregelen, cholesterol verlagende medicatie. Wondbehandeling bestaat meestal uit een expectatief beleid, necrosen droog houden en genezing of demarcatie afwachten.


Referenties
1. Li X, Bayliss G, Zhuang S. Cholesterol Crystal Embolism and Chronic Kidney Disease. Int J Mol Sci. 2017 May 24;18(6):1120.


Author(s):
dr. Jan R. Mekkes. Dermatologist, Amsterdam UMC.

31-05-2023 (JRM) - www.skin-diseases.eu Terug naar homepagina



Diagnosis codes:
ICD10 I74.3 Embolie en trombose van arteriën van onderste extremiteiten: cholesterol embolie
ICD10 I74.3 Embolism and thrombosis of arteries of lower extremities: cholesterol embolus syndrome
SNOMED 236489002 Cholesterol embolus syndrome
DBC 25 Vasculaire dermatosen