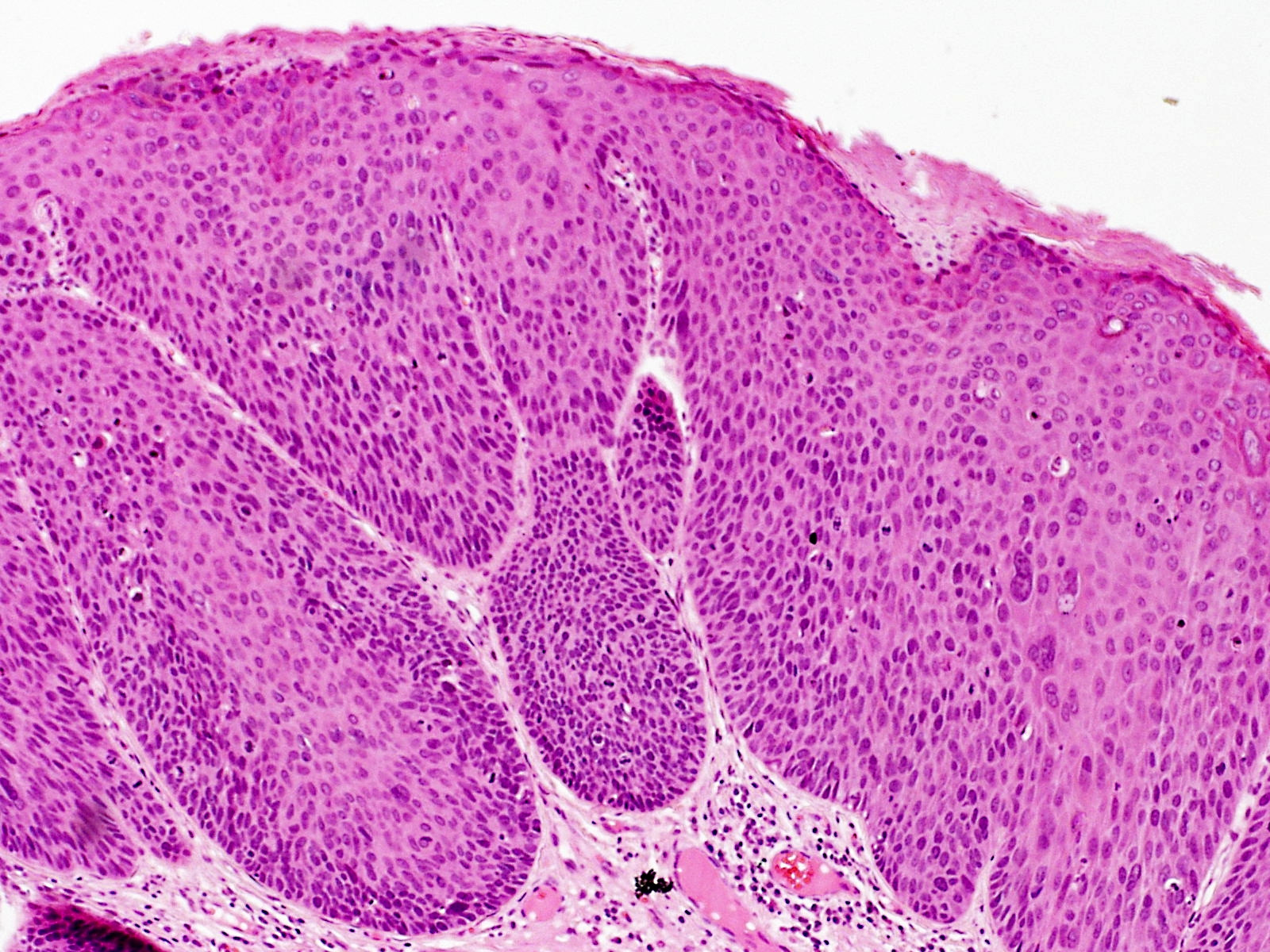
Bowenoïde papulosis (Bowenoid papulosis) kan worden
beschouwd als een overgangsvorm tussen een condyloma acuminata en morbus Bowen
(intraepitheliaal carcinoom). Een nieuwere term voor dit soort laesies is
intraepidermale
neoplasie (
AIN1,
AIN2,
AIN3, PIN, VIN, CIN). Klinisch zijn er multipele huidkleurige,
rode, of bruin tot bruinzwarte papels, plaques of noduli op de penis, vulva, of rond
de anus. Patiënten hebben tevoren vaak een infectie met genitale wratten doorgemaakt
in dezelfde regio. In de laesie kan vaak HPV 16 worden aangetoond. Andere HPV
typen die kunnen worden gevonden zijn 6 en 39 (en nog een hele reeks andere).
De meeste Bowenoïde papulosen hebben een benigne karakter, soms (circa 3%) kan
het overgaan in een
plaveiselcelcarcinoom.
Bowenoïde papulosis is voor het eerst beschreven in 1977 door Kopf en Bart.
DD: condyloma
acuminata,
condylomata lata,
morbus Bowen,
plaveiselcelcarcinoom,
naevi,
verruca
planae,
verruca seborroica,
molluscum contagiosum.
Diagnostiek:Biopsie van 1 laesie. Het is niet noodzakelijk
om ook een kostbare HPV typering aan te vragen. Laesies op mucosa kunnen beter
zichtbaar worden gemaakt door het aanstippen met 5% azijnzuuroplossing.
Therapie:Bowenoïde papulosis kan worden behandeld met
diverse methoden, vergelijkbaar met de behandeling van condylomata acuminata
of morbus Bowen. Het is meestal multifocaal en kan recidiveren.
R/ Efudix
(5-fluoro-uracil) crème 2 dd gedurende 4 weken. Zie de
folder over
Efudix crème.
R/ Aldara (imiquimod) crème 5% (sachet 250 mg), 1 dd gedurende
16 weken.
R/ trichloorazijnzuur, aanstippen.
R/ podophylline, aanstippen
met Collodium podofylli FNA 25% (250 mg/g, 10 g).
R/ eventueel patient zichzelf
laten behandelen met Condyline Applicatievloeistof 5 mg/ml, 3.5 ml of Wartec
Crème 1.5 mg/g, 5 g.

Cryotherapie.

Electrocoagulatie.

PDT (photodynamische
therapie).

Lokale excisie.

Ablatieve
laser (bv CO2 laser).

Radiotherapie.
R/ tazarotene gel.
R/ Neotigason (acitretine) 1 dd 10-25 mg bij multipele
laesies.
Author(s):dr. Jan R. Mekkes. Dermatologist, Amsterdam UMC.