Anale intraepitheliale neoplasie (AIN) is een voorstadium
van
anuscarcinoom. Het wordt veroorzaakt door
humaan papillomavirus (HPV), het zelfde virus dat
ook
condylomata acuminata veroorzaakt.
De door dit virus geïnduceerde maligne veranderingen kunnen ook voorkomen op
de penis (PIN,
peniscarcinoom, vagina
(
VIN) en
cervix (CIN). AIN is gegradeerd naar mate van de ernst van de plaveiselcelepitheel
veranderingen in
laaggradige AIN (LGAIN; AIN 1) /
low-grade squamous intraepithelial lesions (LSIL) of
hooggradige
AIN (HGAIN; AIN 2 en AIN 3) / high-grade squamous intraepithelial
lesions (HSIL).
Verhoogd risico op anuskanker:In Nederland zijn er
jaarlijks 300-330 patiënten met anuscarcinoom (bron: cijfersoverkanker.nl).
Gemiddeld is de incidentie 1.7/100.000 person years (py). Mannen-die-seks-hebben-met-mannen
(MSM), die leven met
HIV (MSMLWH) hebben
een sterk verhoogd risico (>70-100/100.000 py) op ontwikkeling van anuscarcinoom.
Overige risicogroepen zijn vrouwen met HIV (>25/100.000 py), vrouwen met
een voorgeschiedenis van vulvaire HSIL (VIN) of vulvacarcinoom (>40/100.000
py) en orgaantransplantatie patiënten (>25/100.000 py). Personen met het
hoogste risico op anuscarcinoom komen als eerste in aanmerking voor screening.
Als de capaciteit het toelaat, kan de screening worden uitgebreid (zie figuur;
adapted from: Clifford GM et al.).
Screening en behandeling van hooggradige voorstadia is in gerandomiseerd
gecontroleerd prospectief multicenter onderzoek bewezen effectief gebleken in
het voorkomen van een groot deel van de anuscarcinomen (Palefsky JM et al.,
2022).
Klinisch beeld:De AIN laesies zijn, met een
vergroting, te herkennen aan witte verkleuringen (leukoplakie) en veranderingen
van de textuur van het slijmvliesepitheel (verdikking, fluweelachtig oppervlak,
punctatie, erosies). Intra- en perianale HGAIN laesies zijn asymptomatisch.
Bij klachten van anale pijn en bloedverlies moet gezocht worden naar een alternatieve
verklaring of diagnose, zoals: condylomata, trauma, SOA, fissuren en (getromboseerde)
hemorroïden en anuscarcinoom. Bij pijnklachten zonder goede verklaring, vooral
bij iemand met HGAIN laesies, moet men beducht zijn op sampling error en verder
aanvullend en/of beeldvormend onderzoek uitvoeren om maligniteit uit te sluiten.
Diagnostiek:Primaire anale HSIL screening
bestaat uit:
| ● |
Gericht uitvragen van klachten die kunnen passen
bij anuscarcinoom, zoals anale pijn, bloedverlies, slijmverlies, gewichtsverlies
zonder duidelijke oorzaak of tenesmus (loze aandrang). |
| ● |
Afname van een anale swab voor cytologie en/of
hoog-risico HPV onderzoek. |
| ● |
Rectaal onderzoek (digital anal rectal exam,
DARE). Het rectaal toucher is een belangrijk onderzoek om anuscarcinoom
uit te sluiten, en helpt uiteraard ook om andere afwijkingen in de anus
op te sporen. |
Als er bijzonderheden zijn bij primaire screening, is er een indicatie voor
secundaire anale HSIL screening. De gouden standaard
hiervoor is
Hoge-Resolutie Anoscopie (
HRA)
(Hillman RJ et al., 2016). Een ervaren anoscopist heeft meer dan 200 HRA’s verricht
en gebruikt een colposcoop (tot 40x vergroting), een proctoscoop en contrastvergrotende
kleuringen (azijnzuur 3-5% en Lugols oplossing) om het peri- en intra-anale
slijmvlies te beoordelen (Siegenbeek van Heukelom ML et al., 2018). Screening
en behandeling vindt daarom het beste plaats in gespecialiseerde centra. Afwijkend
plaveiselcelepitheel met verdenking op HGAIN wordt gebiopteerd. Kenmerken van
dysplasie zijn punctatie, atypische vaattekening, mosaïcisme, atypische klieren,
metaplasie, sterke azijnzuuraankleuring en negatieve Lugols kleuring.
![Intra-anaal, steensnedeligging, 9 uur: Leukoplakie op basis van alleen azijnzuurkleuring: biopt toonde AIN 1 (LGAIN). (click on photo to enlarge) [source: www.huidziekten.nl] AIN-1 (azijnzuur)](../../../images/soa/AIN-1-1z.jpg) |
![Intra-anaal, steensnedeligging, 9 uur: Leukoplakie op basis van kleuring met azijnzuur en lugols oplossing: biopt toonde AIN 1 (LGAIN). (click on photo to enlarge) [source: www.huidziekten.nl] AIN-1 (azijnzuur)](../../../images/soa/AIN-1-2z.jpg) |
![Intra-anaal, steensnedeligging, 10-11 uur: azijnzuur witte verkleuring van het overgangsgebied met punctaties: AIN2. (click on photo to enlarge) [source: www.huidziekten.nl] AIN-1 (azijnzuur)](../../../images/soa/AIN-2-1z.jpg) |
| AIN-1
(azijnzuur) |
AIN-1
(lugol) |
AIN-2 |
PA:Dysplastisch epitheel kan worden herkend met
een p16 of E4 kleuring.
AIN 1 (LGAIN/LSIL): virale
kenmerken van HPV-infectie (o.a. koilocytose) of als maximaal 1/3e deel van
het plaveiselcelepitheel dysplastische kenmerken vertoont.
AIN 2:
2/3e deel van het epitheel ingenomen door dysplastische cellen.
AIN 3: gehele epitheel ingenomen door dysplastische cellen (HGAIN/HSIL).
Bij doorbraak van dysplastische cellen door de basaalmembraan is er sprake van
invasie en dus van carcinoom. Zie voor meer details de CAP LAST-criteria.
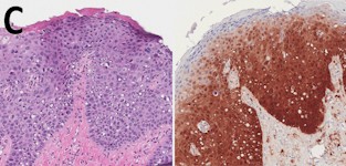
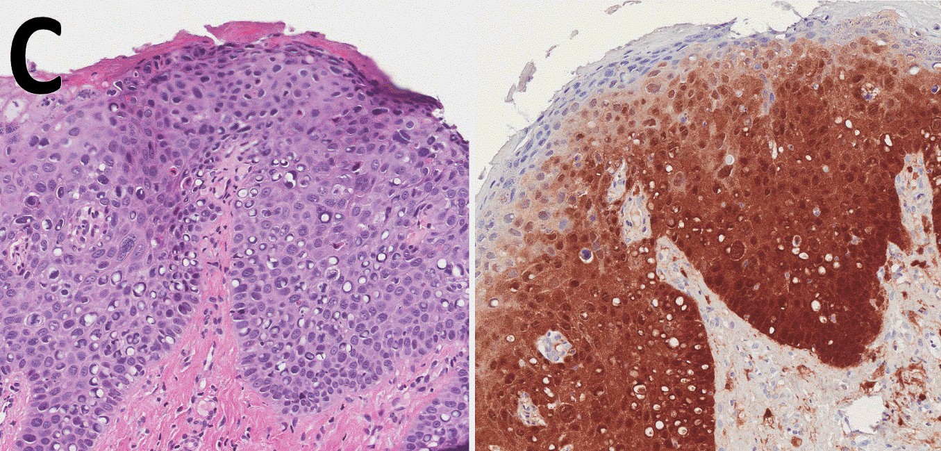
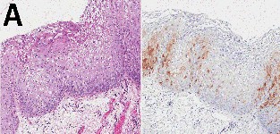
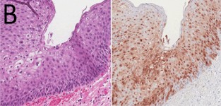
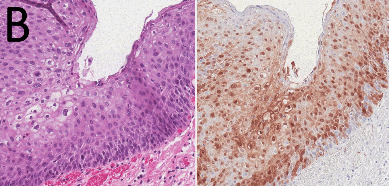
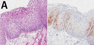
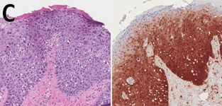
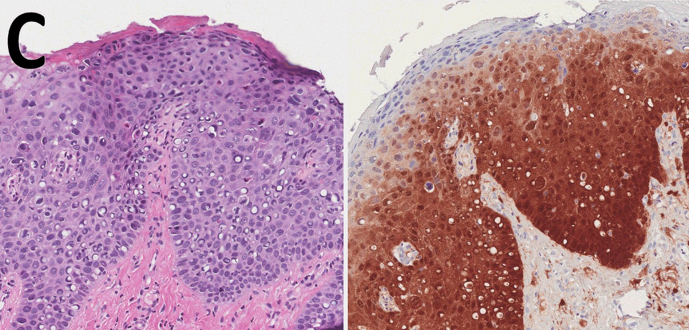
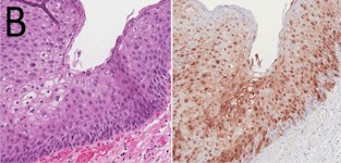
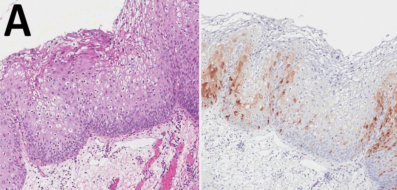
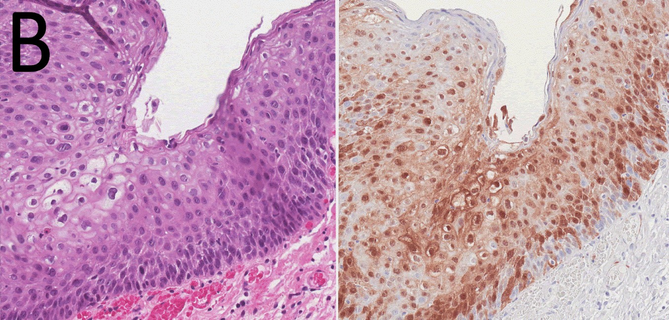
Haematoxyline en eosine- (HE) gekleurde en p16-gekleurde preparaten van
dysplastische gebieden van intra-anale condylomen in HIV-positieve MSM. (A)
AIN 1 met ‘patchy’ p16 kleuring met zwakke intensiteit (vergroting 200x). (B)
AIN 2 met matige intensiteit van p16 kleuring door de epidermis (vergroting
400x). (C) AIN 3 met sterke intensiteit van p16 kleuring.
Beleid:
| ● |
Anale LSIL (AIN 1): expectatief en jaarlijkse
controle HRA. |
| ● |
Anale HSIL (AIN 2 en AIN 3): behandelen of actief
monitoren. |
Behandeling van HSIL kan niet altijd anuskanker voorkomen. Soms is behandeling
niet nodig, spontane regressie is beschreven in 2 kleine studies (20-30%). Het
is echter nog onduidelijk bij welke patiënten laesies in regressie gaan, dit
wordt onderzocht. Behandeling is invasief, belastend en persisteren van laesies
en recidieven komen geregeld voor. Actief monitoren betekent half-jaarlijkse
HRA en nieuwe en bekende HGAIN laesies biopteren. Halfjaarlijkse controle geeft
geen garantie, tussen 2 controles kan een carcinoom ontstaan (intervalcarcinoom).
Therapie intra-anale en perianale AIN:

Electrocoagulatie.

Cryotherapie.
R/ trichloorazijnzuur 85% (TCA), laesionaal aanstippen met geringe hoeveelheid
op de achterkant van houten wattenstok.
R/ Efudix (5-fluoro-uracil) 50 mg/g
crème, 2 x per week aanbrengen (perianaal) of inbrengen (intra-anaal), ‘s ochtends
schoonspoelen.
R/ Aldara (imiquimod) 50 mg/g, 3 x per week ½ sachet A.N.
aanbrengen (perianaal) of inbrengen (intra-anaal), ‘s ochtends schoonspoelen.
Referenties
| 1. |
Palefsky JM, Lee JY, Jay N, Goldstone SE,
Darragh TM, Dunlevy HA, Rosa-Cunha I, Arons A, Pugliese JC, Vena
D, Sparano JA, Wilkin TJ, Bucher G, Stier EA, Tirado Gomez M, Flowers
L, Barroso LF, Mitsuyasu RT, Lensing SY, Logan J, Aboulafia DM,
Schouten JT, de la Ossa J, Levine R, Korman JD, Hagensee M, Atkinson
TM, Einstein MH, Cracchiolo BM, Wiley D, Ellsworth GB, Brickman
C, Berry-Lawhorn JM; ANCHOR Investigators Group. Treatment of Anal
High-Grade Squamous Intraepithelial Lesions to Prevent Anal Cancer.
N Engl J Med 2022;386(24):2273-2282. |
| 2. |
Goddard SL, Templeton DJ, Petoumenos K, Jin
F, Hillman RJ, Law C, Roberts JM, Fairley CK, Garland SM, Grulich
AE, Poynten IM., Study for the Prevention of Anal Cancer (SPANC)
Research Team. Association of anal symptoms with anal high grade
squamous intraepithelial lesions (HSIL) among men who have sex with
men: Baseline data from the study of the prevention of anal cancer
(SPANC). Cancer Epidemiol 2019;58:12-16. |
| 3. |
Siegenbeek van Heukelom ML, Richel O, de
Vries HJ, van de Sandt MM, Beck S, van den Munckhof HA, Pirog EC,
de Koning MN, Prins JM, Quint KD. Low- and high- risk human papillomavirus
genotype infections in intra-anal warts in HIV- positive men who
have sex with men. Br J Dermatol 2016;175(4):735-43. |
| 4. |
Tong WW, Shepherd K, Garland S, Meagher A,
Templeton DJ, Fairley CK, Jin F, Poynten IM, Zaunders J, Hillman
RJ, Grulich AE, Kelleher AD, Carr A; Study of the Prevention of
Anal Cancer (SPANC) team. Human papillomavirus 16-specific T-cell
responses and spontaneous regression of anal high-grade squamous
intraepithelial lesions. J Infect Dis 2015;211(3):405-415. |
| 5. |
Tong WW, Jin F, McHugh LC, Maher T, Sinclair
B, Grulich AE, Hillman RJ, Carr A. Progression to and spontaneous
regression of high-grade anal squamous intraepithelial lesions in
HIV-infected and uninfected men. AIDS 2013;27(14):2233-2243. |
| 6. |
Stier EA, Clarke MA, Deshmukh AA, Wentzensen
N, Liu Y, Poynten IM, Cavallari EN, Fink V, Barroso LF, Clifford
GM, Cuming T, Goldstone SE, Hillman RJ, Rosa-Cunha I, La Rosa L,
Palefsky JM, Plotzker R, Roberts JM, Jay N. International Anal Neoplasia
Society's consensus guidelines for anal cancer screening. Int J
Cancer 2024;154(10):1694-1702. |
| 7. |
Clifford GM, Georges D, Shiels MS, Engels
EA, Albuquerque A, Poynten IM, de Pokomandy A, Easson AM, Stier
EA. A meta-analysis of anal cancer incidence by risk group: Toward
a unified anal cancer risk scale. Int J Cancer 2021;148(1):38-47. |
| 8. |
Hillman RJ, Cuming T, Darragh T, Nathan M,
Berry-Lawthorn M, Goldstone S, Law C, Palefsky J, Barroso LF, Stier
EA, Bouchard C, Almada J, Jay N. 2016 IANS International Guidelines
for Practice Standards in the Detection of Anal Cancer Precursors.
J Low Genit Tract Dis 2016;20(4):283-291. |
| 9. |
Siegenbeek van Heukelom ML, Marra E, Cairo
I, Van Eeden A, Schim van der Loeff MF, De Vries HJC, Prins JM.
Detection Rate of High-Grade Squamous Intraepithelial Lesions as
a Quality Assurance Metric for High-Resolution Anoscopy in HIV-Positive
Men. Dis Colon Rectum 2018l;61(7):780-786. |
Author(s):dr. Thijs L. Siegenbeek van Heukelom.
Dermatologist, Amsterdam UMC, Amsterdam.