MASTOCYTOOM / MASTOCYTOSIS CUTIS LOKALISATA / MASTOCYTOMA home ICD10: D47.0

Een mastocytoom is een opeenhoping van mestcellen in de huid op één plek. Het Darier sign (erytheem, oedeem, jeuk bij strijken over het mastocytoom) is positief bij circa 50%. Een mastocytoom is zeldzaam (9 per 100.000 personen), en komt vooral voor bij kinderen, onder de 2 jaar, het grootste deel onder de 6 maanden. Het is niet bekend hoe het ontstaat, door een onbekende oorzaak is er lokaal een verhoogde concentratie van soluble mast cell growth factor met als gevolg toename van mestcellen (en melanocyten en melanine productie). Vaak (bij 40% van de cutane mastocytomen) wordt een mutatie van het proto-oncogen c-kit (D816V) gevonden. Een mastocytoom kan ook in andere organen voorkomen (extracutaneous mastocytoma). Patiëntjes kunnen last hebben van flushing. Bij mastocytose is er een verhoogde kans op het krijgen van een anafylactische shock, maar dit wordt vooral gezien bij kinderen met uitgebreide bulleuze mastocytomen, of diffuse cutane mastocytose, en bij volwassenen met systemische mastocytose, en niet zo zeer bij een solitair mastocytoom. Bij hele grote mastocytomen kunnen wel milde anafylactische reacties ontstaan als er aan gekrabt wordt of geprobeerd het Darier sign op te wekken. Er bestaat ook een maligne variant van een mastocytoom (maligne mestceltumor). Dit is erg zeldzaam en komt vooral op oudere leefijd voor.

Klinisch beeld:
Solitaire, roze-rode, ronde of ovale, 1-5 cm grote verheven papels, plaques, nodi of maculae op de romp of extremiteiten. Meestal geïndureerde bolronde plaques, met een peau d'orange aspect en een rubberachtige consistentie. Soms gelige tinten, soms oedeem, vooral als er net aan gekrabd is (Darier sign), soms blaarvorming. Meestal solitair, soms multipele laesies.

Mastocytoom Mastocytoom
mastocytoom mastocytoom

Mastocytoom Mastocytoom
mastocytoom mastocytoom

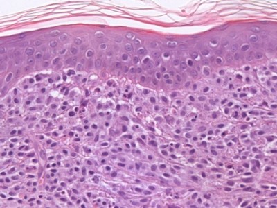
Mastocytoom Histologie mastocytoma
mastocytoom ingescande coupe (zoom)

Bron hoge resolutie PA-foto: Kevin Kwee en Afdeling Pathologie MUMC. Klik op de afbeelding om in te zoomen.


DD: juveniel xanthogranuloom, xanthoom, lymfoom, pseudolymfoom, Spitz naevus, neurofibroom, fixed drug eruption, histiocytose, leukemia cutis.

Diagnostiek:
De diagnose kan meestal worden gesteld op het klinisch beeld, vooral als het Darier sign positief is. Bij twijfel een biopt afnemen. Bloedonderzoek is optioneel, want bij een solitair mastocytoom worden geen afwijkingen verwacht. Als er toch een reden is om bloed te prikken dan wordt als screening geadviseerd: Hb, leuko's, erytrocyten, trombocyten, ALAT, ASAT, AF, albumine, bilirubine en serum tryptase. Tryptase is normaal niet verhoogd bij een solitair mastocytoom, maar het kan wel verhoogd zijn als net geprobeerd is om het Darier sign op te wekken. Een tryptase > 20 μg/l is reden voor verder onderzoek om systemische mastocytose uit te sluiten.

Teken van Darier
Darier sign


Therapie:
Geen therapie nodig (ook niet mogelijk), gaat vanzelf over, voor de puberteit.
Voorkomen van triggers, niet aanzitten, niet aan krabben, geen knellende of schurende kleding dragen, niet te heet baden.
Als er anafylactische reacties optreden, wat zeldzaam is bij een solitair mastocytoom, dan medicatie voorschrijven (antihistaminica, Epipen).
Excisie is mogelijk bij een klachten veroorzakend mastocytoom, maar laat wel een litteken achter.


Indeling van de mastocytosen:
Een mastocytoom is een van de vormen van mastocytose. De WHO heeft de mastocytosen als volgt ingedeeld:
- cutaneous mastocytosis
   - maculopapular cutaneous mastocytosis (urticaria pigmentosa)
   - diffuse (erythrodermic) cutaneous mastocytosis
   - paucicellular mastocytosis (also termed telangiectasia macularis eruptiva perstans [TMEP])
   - mastocytoma of skin
- systemische mastocytose
   - indolent systemic mastocytosis
   - systemic mastocytosis with an associated (clonal) hematologic non-mast cell lineage disease
   - agressive systemic mastocytosis
   - mast cell leukemia
- mast cell sarcoma
- extracutaneous mastocytoma

Van de cutane vormen komt maculopapular cutaneous mastocytosis (urticaria pigmentosa) het meest voor. Mastocytose wordt ondanks het meestal goedaardig beloop toch ingedeeld bij de myeloproliferatieve neoplasmata. De benigne juveniele vormen kunnen overgaan in een maligne clonale mestcelproliferatie, percentages tot 7% worden genoemd. De diagnose systemische mastocytose wordt gesteld als er 1 major + 1 minor criterium is, of 3 minor criteria.

Major criterium:
- multifocale dichte infiltraten van mestcellen in beenmerg en/of andere extracutane lokalisaties.
Minor criteria:
- tryptase > 20 ng/mL
- > 25% van de mestcellen in het beenmergaspiraat atypisch
- mestcellen CD25 of CD2 positief
- codon 816 c-kit point mutatie vastgesteld in bloed, beenmerg of ander weefsel

Zie verder onder cutane mastocytose, maculopapuleuze cutane mastocytose (urticaria pigmentosa) en systemische mastocytose.


Patiëntenfolder


Referenties
1. Leung AKC, Lam JM, Leong KF. Childhood Solitary Cutaneous Mastocytoma: Clinical Manifestations, Diagnosis, Evaluation, and Management. Curr Pediatr Rev 2019;15(1):42-46.
2. Kumar A, Kansal NK, Anuragi RP. Cutaneous mastocytosis: clinical, dermoscopic and pathological features. BMJ Case Rep 2020;13(12):e240169.
3. Stafford HD, Hunt RD. Darier's Sign in Solitary Mastocytoma. N Engl J Med 2025;392(5):494.


Author(s):
dr. Jan R. Mekkes. Dermatologist, Amsterdam UMC.

11-01-2026 (JRM) - www.skin-diseases.eu Terug naar homepagina



Diagnosis codes:
ICD10 D47.0 Tumoren van mestcellen met onzeker gedrag: mastocytoma
ICD10 C86.6 Histiocytic and mast cell tumours of uncertain and unknown behaviour: mastocytoma
SNOMED 404171008 Mastocytoma
DBC 27 spacer Diagnose niet nader omschreven

ICD10 D47.0 Tumoren van mestcellen met onzeker gedrag: extracutane mastocytose
ICD10 D47.0 Histiocytic and mast cell tumours of uncertain and unknown behaviour: localized extracutaneous mastocytosis
SNOMED 63175003 Localized extracutaneous mastocytosis
DBC 27 spacer Diagnose niet nader omschreven

ICD10 C96.2 Maligne mestcel-tumor
ICD10 C96.2 Malignant mast cell tumor
SNOMED 118615008 Malignant mast cell tumor
DBC 14 spacer Maligne dermatosen