Het
ulcerating midline lymphoma, vroeger
lethal midline granuloma geheten is een maligne lymfoom, meestal
een
T-cel lymfoom
(non-Hodgkin lymfoom) dat ontstaat midden in het gezicht, uitgaande van de neus
en/of de neusbijholten. De moderne naam is
centrofacial malignant
T-cell lymphoma. Het is een zeldzame aandoening. Het komt wat
vaker voor in het Oosten (Azië) dan in het Westen. De oude term lethal midline
granuloma was een minder goed gedefinieerde term voor allerlei beelden waarbij
destructie van de neus en het midden van het gelaat kan optreden. Later bleek
dat het merendeel daarvan maligne lymfomen waren.
Klinisch beeld:
De meeste patiënten presenteren zich met chronische obstructie van de neus (verstopte
neus), met purulente of bloederige afscheiding. Later treedt ontsteking (dermatitis)
en beschadiging van de neus op, soms met vergaande destructie van het middelste
gedeelte van het gelaat (neus en bijholten). Andere klachten zijn zwelling van
kaak of orbita, koorts, gewichtsverlies, bloedneuzen, pijn in de neus, cervicale
lymphadenopathie, hoofdpijn. Bij de meeste patiënten begint het lymfoom in de
neus, andere locaties zijn de neusbijholten en het palatum. Onbehandeld is het
centrofacial malignant T-cell lymphoma lethaal. De 5-jaars overleving na radiotherapie
is ca 60%, de 10-jaars overleving is circa 55%.
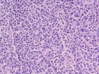
![Ulcerating midline lymphoma (ULM), lethal midline granuloma, T-cel lymfoom van de neus en neusholten (click on photo to enlarge) [source: www.huidziekten.nl] Ulcerating midline lymphoma (ULM)](../../../images/ULM1z.jpg) |
![Ulcerating midline lymphoma (ULM), lethal midline granuloma, T-cel lymfoom van de neus en neusholten (click on photo to enlarge) [source: www.huidziekten.nl] Ulcerating midline lymphoma (ULM)](../../../images/ULM2z.jpg) |
| ulcerating
midline lymphoma |
ulcerating
midline lymphoma |
![Ulcerating midline lymphoma (ULM), lethal midline granuloma, T-cel lymfoom van de neus en neusholten (click on photo to enlarge) [source: www.huidziekten.nl] Ulcerating midline lymphoma (ULM)](../../../images/ULM4z.jpg) |
![Ulcerating midline lymphoma (ULM), lethal midline granuloma, T-cel lymfoom van de neus en neusholten (click on photo to enlarge) [source: www.huidziekten.nl] Ulcerating midline lymphoma (ULM)](../../../images/ULM9z.jpg) |
| lymfoom
in bijholten |
ulcerating
midline lymphoma |
DD: infectieziekten (Leishmaniasis, lepra en andere
mycobacteriën, diepe mycosen, streptokokken en anaeroben), sarcoïdose, ziekte
van Wegener, bindweefselziekten, maligne lymfomen en andere maligniteiten.
Diagnostiek:Twee goede biopten uit een geïnfiltreerd
gedeelte. Eén in formaline voor HE, en één vers naar de PA voor infiltraat typering
d.m.v. monoclonale antistoffen en/of onderzoek naar monoclonaliteit d.m.v. DNA-rearrangement.
X-sinus, of nog beter direct een CT-scan of MRI van de schedel. Verder bloedonderzoek
en stagering onderzoek zoals bij cutaan T-cel lymfoom.
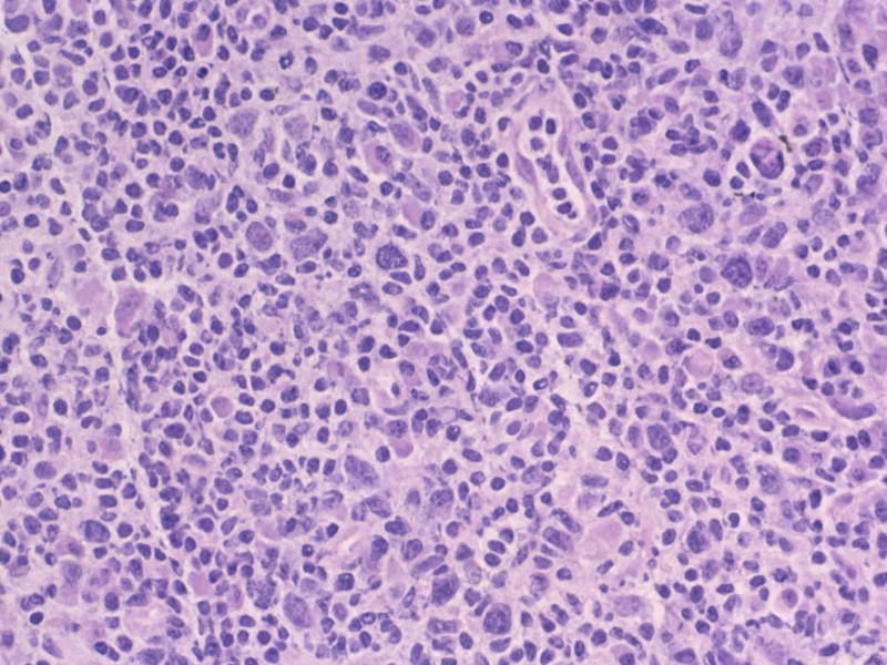
![Ulcerating midline lymphoma (ULM), lethal midline granuloma, T-cel lymfoom van de neus en neusholten (click on photo to enlarge) [source: www.huidziekten.nl] Ulcerating midline lymphoma (ULM)](../../../images/ULM5HEz.jpg) |
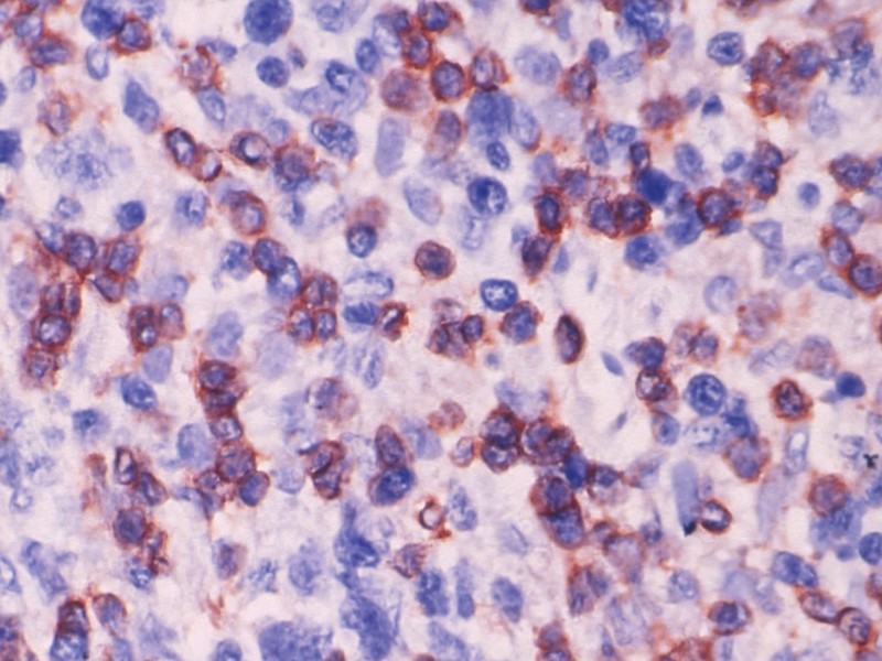
![Ulcerating midline lymphoma (ULM), lethal midline granuloma, T-cel lymfoom van de neus en neusholten (click on photo to enlarge) [source: www.huidziekten.nl] Ulcerating midline lymphoma (ULM)](../../../images/ULM6CD3z.jpg) |
| atypische
lymfocyten (HE) |
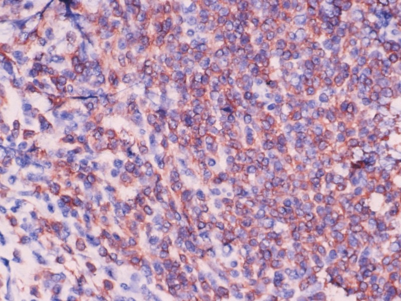
CD3+ lymfocyten |
![Ulcerating midline lymphoma (ULM), lethal midline granuloma, T-cel lymfoom van de neus en neusholten (click on photo to enlarge) [source: www.huidziekten.nl] Ulcerating midline lymphoma (ULM)](../../../images/ULM7CD4z.jpg) |
![Ulcerating midline lymphoma (ULM), lethal midline granuloma, T-cel lymfoom van de neus en neusholten (click on photo to enlarge) [source: www.huidziekten.nl] Ulcerating midline lymphoma (ULM)](../../../images/ULM8z.jpg) |
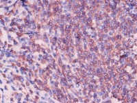
| CD4+ lymfocyten |
genezen
na radiotherapie |
Therapie:Specialistisch hematologisch oncologische
behandeling.
Bestraling 4500-5000 cGy (50 Gy), eventueel gecombineerd met
chemotherapie voor of na de lokale bestraling. De meerwaarde van chemotherapie
is niet goed uitgezocht, daarvoor is de aandoening te zeldzaam.
Referenties
| 1. |
Chen HH, Fong L, Su IJ, Ting LL, Hong RL,
Leung HW, Lui LT. Experience of radiotherapy in lethal midline granuloma
with special emphasis on centrofacial T-cell lymphoma: a retrospective
analysis covering a 34-year period. Radiother Oncol 1996;38(1):1-6. |
| 2. |
Sakata K, Hareyama M, Ohuchi A, Sido M, Nagakura
H, Morita K, Harabuchi Y, Kataura A. Treatment of lethal midline
granuloma type nasal T-cell lymphoma. Acta Oncol 1997;36(3):307-311. |
Author(s):dr. Jan R. Mekkes. Dermatologist, Amsterdam UMC.