Een
pilar sheat acanthoma is een zeldzaam, benigne,
hamartomateuze afwijking in het gelaat, uitgaande van een haarfollikel. Klinisch
is het een klein (5-10 mm) huidkleurig papeltje, met centraal een verwijde porie
met keratineplug. De laesie komt vooral voor bij ouderen, en zit meestal in
het gelaat, vooral rond de bovenlip. Het is niet hetzelfde als een pilar cyste
(dit is een
trichilemmale
cyste of
epidermoidcyste
op de behaarde huid).
![Pilar sheet acanthoma (click on photo to enlarge) [source: www.huidziekten.nl] Pilar sheet acanthoma](../../../images/pilar-sheath-acanthoma-1z.jpg) |
![Pilar sheet acanthoma (click on photo to enlarge) [source: www.huidziekten.nl] Pilar sheet acanthoma](../../../images/pilar-sheath-acanthoma-2z.jpg) |
| pilar
sheet acanthoma |
pilar
sheet acanthoma |
DD:
epidermoidcyste,
dilated pore of Winer,
trichofolliculoma, overige cysten
en
adnextumortjes.
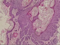
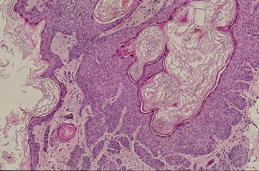
PA:
Meestal een verticaal georiƫnteerde proliferatie van epitheel met een grote
centrale holte die met een nauwe opening in verbinding staat met de buitenwereld.
De holte is bekleed met keratinocyten en gevuld met compacte basket-weave lagen
hoorn. Vaak rondom in de dermis lobuli van eosinofiel aankleurende cellen die
met de centrale holte in verbinding staan. De DD histologisch is een dilated
pore van Winer en een trichofolliculoma.
![Pilar sheet acanthoma (click on photo to enlarge) [source: www.huidziekten.nl] Pilar sheet acanthoma](../../../images/pilar-sheath-acanthoma-3-PAz.jpg) |
![Pilar sheet acanthoma (click on photo to enlarge) [source: www.huidziekten.nl] Pilar sheet acanthoma](../../../images/pilar-sheath-acanthoma-4-PAz.jpg) |
| pilar
sheet acanthoma (PA) |
pilar
sheet acanthoma (PA) |
Therapie:

Chirurgische
excisie.
Referenties
| 1. |
Mehregan AH, Brownstein MH. Pilar Sheath
Acanthoma. Arch Dermatol 1978;114(10):1495-1497. |
Author(s):dr. Jan R. Mekkes. Dermatologist, Amsterdam UMC.