Pigmented epithelioid melanocytoma (PEM) is een zeldzame
melanocytaire tumor. Vroeger werd het
animal-type melanoma
genoemd, omdat de laesies lijken op melanomen die bij dieren voorkomen. In de
WHO classificatie is in 2018 het begrip pigmented epithelioid melanocytoma geïntroduceerd
voor deze tumor. Het is een
atypische melanocytaire laesie,
klinisch en histologisch te plaatsen tussen een blue naevus en een melanoom.
Een melanoom kan zich ontwikkelen uit een
blue naevus (WHO pathway nr 8, melanoma
arising in blue nevus, zie onder
melanocytoma),
maar dat is zeer zeldzaam. Een samenvatting van de WHO classificatie van melanocytaire
tumoren uit 2018 is terug te vinden in het artikel van Ferrara G. et al. uit
2021; hierin staat ook een uitgebreide flow-chart voor de diagnostiek.
Klinisch beeld:Klinisch zijn het zeer donker gepigmenteerde
tumoren of plaques, deels in de dermis liggend, deels exofytisch groeiend, en
vaak al groot (> 1 cm) op het moment van presentatie. Soms ulcererend. Ze
komen vooral voor op jongvolwassen leeftijd. De voorkeurslocaties zijn de extremiteiten,
maar ze kunnen ook voorkomen op de rug, behaarde hoofd, nek, enkel, sacraal,
genitaal, schouders en orale mucosa. Er is geen relatie met zonexpositie, en
ze kunnen bij elk huidtype voorkomen.
![Pigmented epithelioid melanocytoma (click on photo to enlarge) [source: Gedda V. et al. Animal-type melanoma/pigmented epithelioid melanocytoma: three clinical cases of a rare and controversial entity. An Bras Dermatol 2023;98(6):868-871. - Creative Commons License 4.0 - Public Access Journal] Pigmented epithelioid melanocytoma](../../../images/pigmented-epitheloid-melanocytoma-1z.jpg) |
![Pigmented epithelioid melanocytoma (click on photo to enlarge) [source: Gedda V. et al. Animal-type melanoma/pigmented epithelioid melanocytoma: three clinical cases of a rare and controversial entity. An Bras Dermatol 2023;98(6):868-871. - Creative Commons License 4.0 - Public Access Journal] Pigmented epithelioid melanocytoma](../../../images/pigmented-epitheloid-melanocytoma-2z.jpg) |
| PEM |
PEM |
Foto's: Gedda V. et al. An Bras Dermatol 2023;98(6):868-871 (Creative
Commons License
4.0
-
Public Access Journal).
Meestal worden de PEM laesies onder verdenking atypische naevus, blue
nevus of nodulair melanoom geëxcideerd met 2 mm marge, of gebiopteerd onder
verdenking van een (getromboseerd) acquired hemangioma, en wordt pas achteraf
door de patholoog de diagnose pigmented epithelioid melanocytoma gesteld. Bij
een deel van de patiënten met deze zeldzame diagnose is een sentinel node procedure
uitgevoerd, en dan blijken de lymfklieren vaak (> 40%) positief te zijn,
net als bij Spitzoide melanocytomen. Desondanks is de prognose goed. De pigmentcellen
gedragen zich dus heel anders dan bij een maligne melanoom.
Pigmented
epithelioid melanocytoma kan op zichzelf voorkomen, maar ook in het kader van
het
Carney complex (
epitheloid blue nevus
of Carney complex). Het
Carney
complex is een zeldzame genetische aandoening gekenmerkt door een germline
mutatie in het
PRKAR1A gen. Mutaties in PRKAR1A (loss
of expression) worden ook gevonden in pigmented epithelioid melanocytoma.
DD:Epitheloid blue
nevus of Carney complex (klinisch en histologisch identiek),
blue naevus,
cellular blue nevus,
Masson's cellular blue neuronevus,
dermale naevus,
nodulair melanoom,
gepigmenteerde Spitz naevus,
atypical Spitz naevus,
Spitzoïd melanoom,
Spitz melanoom, (getromboseerd)
acquired hemangioma,
pseudotumor van Masson (intravascular
papillary endothelial hyperplasia),
cutaneous epithelioid
angiomatous nodule.
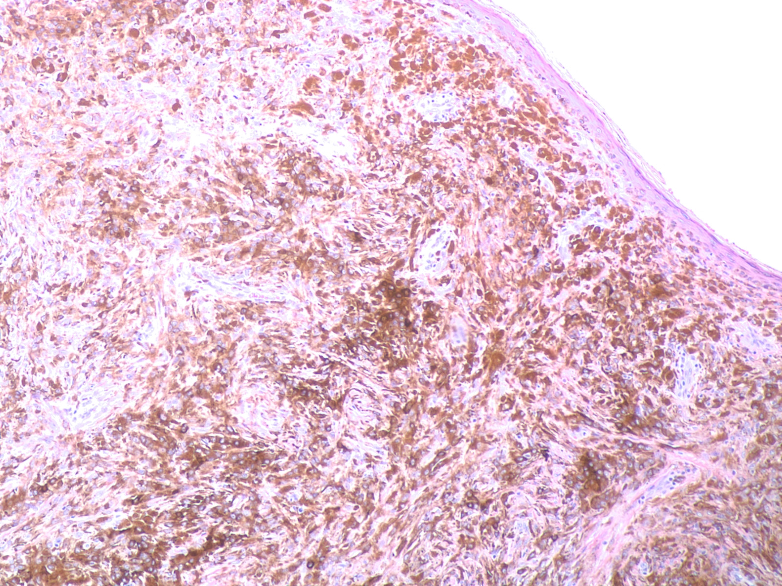
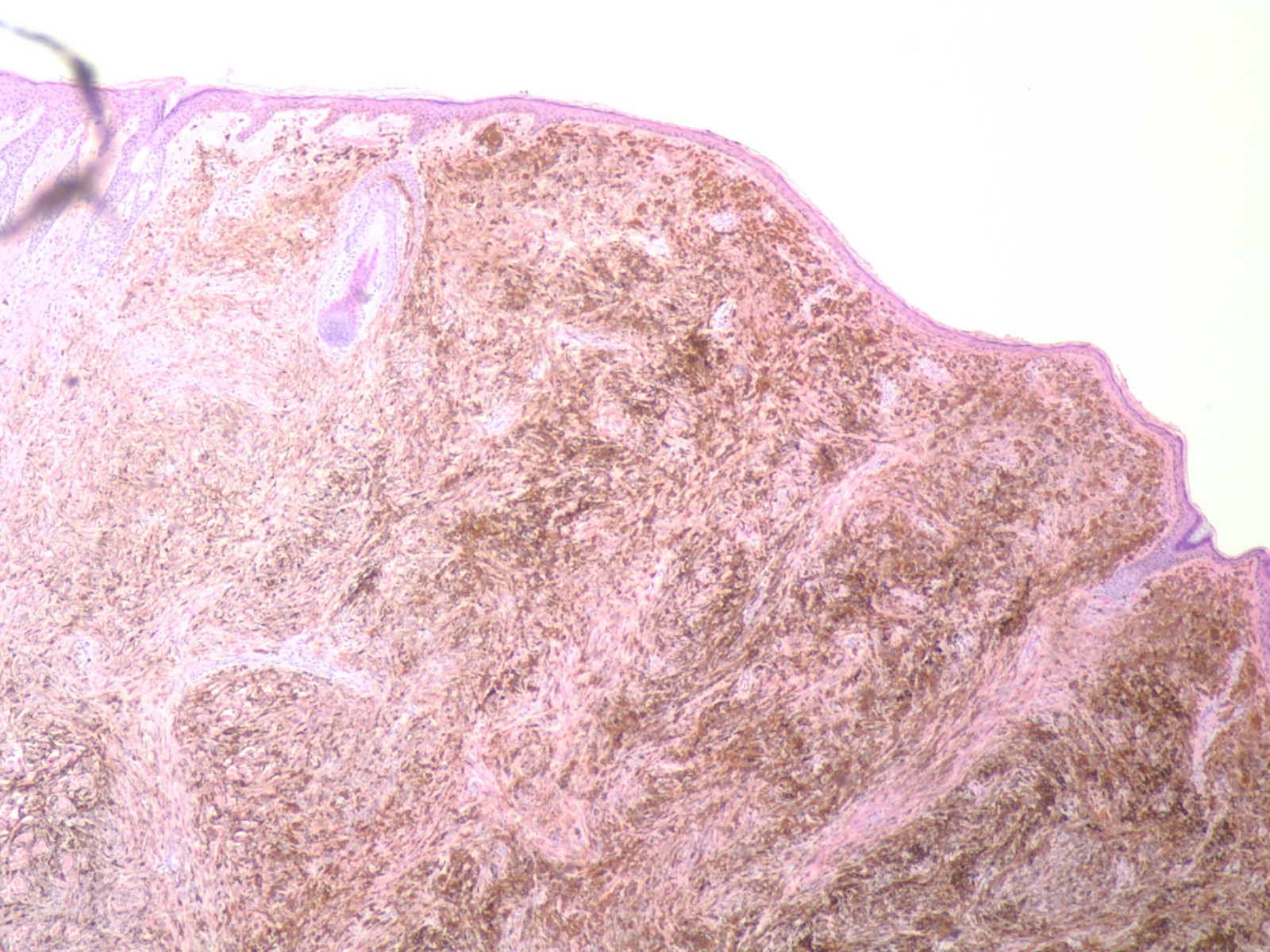
PA:Met veel pigment beladen
lagen en velden van epithelioide en spoelvormige melanocyten met grote nuclei
met vesikels, reikend tot diep in de dermis of subcutis, en met ingroei rond
de adnexen. De epithelioide cellen liggen meestal centraal, de spoelvormige
cellen perifeer, solitair of in groepjes. Ook veel melanofagen. Er worden 3
celtypen gezien: dendritische blue nevus cellen, donker gepigmenteerde polygonale
cellen en epithelioide cellen met ruim cytoplasma en grote vesiculaire kernen.
De epithelioide cellen zijn onder te verdelen in 2 subtypen: de meeste zijn
rond tot polygonaal, van gemiddelde grootte, met heel veel pigment in het cytoplasma,
kleine ronde tot ovale vesiculaire kernen met prominente nuclei, en gelegen
in velden of nesten. Het is niet zeker of dit melanocyten zijn of tumor-infiltrerende
macrofagen. De overige zijn grote cellen met ruim cytoplasma, zonder pigment.
Soms zijn er in de periferie van het cytoplasma wat melanine granula te zien
als stipjes, dit wordt fried-egg appearance genoemd.
De mitose activiteit
in pigmented epithelioid melanocytoma is laag (0-3 mitoses/mm²). Vaso-invasieve
groei is zeldzaam. De tumorcellen zijn aan te kleuren met MART-1, en meestal
ook S-100, HMB-45, Mi-TF, en CD68.
De histologische diagnose kan moeilijk
zijn, soms is een uitgebreid panel aan immunohistochemische kleuringen, fluorescent
in situ hybridization (FISH), en next-generation sequencing nodig. De twee meest
voorkomende gen afwijkingen bij PEM zijn fusies in protein kinase C alpha (PRKCA)
en inactiverende mutaties in protein kinase cAMP-dependent type I regulatory
subunit alpha (PRKAR1A), allebei gelokaliseerd op chromosoom 17q24.2. De PRKAR1A
mutatie kan geassocieerd met een BRAF mutatie. Andere gevonden mutaties zijn
MAP2K1 en GNAQ.
Bij PEM in het kader van Carney complex hebben de laesies
de PRKAR1A-mutatie, bij de overige PEM komen beide subtypes voor.
Bij andere
melanocytomen valt soms een onderscheid te maken tussen low-grade (waarbij geen
of een kleine re-excisie met 1-3 mm marge volstaat) en high-grade melanocytoma
(waarbij een re-excisie marge van 5-10 mm wordt aanbevolen). Bij PEM wordt dat
onderscheid niet gemaakt en wordt altijd re-excisie met een marge van 5-10 mm
aanbevolen.
Therapie:Meestal wordt de laesie eerst diagnostisch
verwijderd met een marge van 2 mm, soms is alleen een biopt genomen. Bij PA-uitslag
pigmented epithelioid melanocytoma adviseert de EORTC Melanoma Working group
een re-excisie met een marge van 5-10 mm. Op kritieke plaatsen wordt dan meestal
gekozen voor 5 mm. Schildwachtklier onderzoek is niet zinvol, de klieren zijn
vaak positief maar daar wordt geen consequentie aan verbonden.
| Excisie marges bij intermediate melanocytaire
tumoren: |
| |
Low-grade |
High-grade |
| Pathway 1 - BAP1-inactivated melanocytic tumors |
2 mm |
5-10 mm |
| Pathway 1 - deep penetrating nevus |
2 mm |
5-10 mm |
| Pathway 1 - pigmented epithelioid melanocytoma |
NVT |
5-10 mm |
| Pathway 4 - Spitz nevus |
2 mm |
5-10 mm |
| Pathway 8 - melanoma arising in blue nevus |
2 mm |
5-10 mm |
| Unclassified atypical dermal lesions |
2-5 mm |
5-10 mm |
Prognose:Het is een zeldzame tumor waar weinig
grote series over zijn gepubliceerd, maar de prognose, na excisie, lijkt goed
te zijn, zelfs bij lymfkliermetastasen. Een studie van Vyas et al. (2015) rapporteert
metastasen in regionale lymfklieren bij 41%, metastasen op afstand bij 3.2%,
en lokale recidieven na excisie bij 7.9%. Desondanks is de mortaliteit laag,
bij de zeldzame sterfgevallen is waarschijnlijk een tweede mutatie, bijvoorbeeld
in BRAF V600E ontstaan.
Referenties
| 1. |
Vyas R, Keller JJ, Honda K, Cooper KD, Gerstenblith
MR. A systematic review and meta-analysis of animal-type melanoma.
J Am Acad Dermatol 2015;73(6):1031-1039. |
| 2. |
Gedda V, González-Coloma F, Jeldres A, Rodríguez
C, Coulon G, Castro A. Animal-type melanoma/pigmented epithelioid
melanocytoma: three clinical cases of a rare and controversial entity.
An Bras Dermatol 2023;98(6):868-871.
PDF |
| 3. |
Ferrara G, Argenziano G. The WHO 2018
Classification of Cutaneous Melanocytic Neoplasms: Suggestions
From Routine Practice. Front Oncol 2021;11:675296.
PDF |
| 4. |
de la Fouchardiere A, Blokx W, van Kempen
LC, Luzar B, Piperno-Neumann S, Puig S, Alos L, Calonje E, Massi
D; ESP Dermatopathology Working Group; EORTC Melanoma Group;
EURACAN. ESP, EORTC, and EURACAN Expert Opinion: practical
recommendations for the pathological diagnosis and clinical
management of intermediate melanocytic tumors and rare related
melanoma variants. Virchows Arch 2021;479(1):3-11.
PDF |
| 5. |
Bayraktar EC, Jour G. Pigmented Epithelioid
Melanocytomas and Their Mimics; Focus on Their Novel Molecular Findings.
Biology (Basel) 2021;10(12):1290.
PDF |
| 6. |
Benton S, Zhao J, Asadbeigi S, Kim D,
Zhang B, Gerami P. Pigmented Epithelioid Melanocytoma:
Morphology and Molecular Drivers. Surg Pathol Clin
2021;14(2):285-292.
PDF |
| 7. |
Moscarella E, Ronchi A, Brancaccio G, Scharf
C, Briatico G, Franco R, Argenziano G. Spectrum of blue nevus-like
lesions, including blue nevus, pigmented epithelioid melanocytoma,
and animal-type melanoma. Clin Dermatol 2025;43(3):323-333.
PDF |
| 8. |
Cazzato G, Arezzo F, Colagrande A, Cimmino
A, Lettini T, Sablone S, Resta L, Ingravallo G. "Animal-Type Melanoma/Pigmented
Epithelioid Melanocytoma": History and Features of a Controversial
Entity. Dermatopathology (Basel) 2021;8(3):271-276.
PDF |
Author(s):dr. Jan R. Mekkes. Dermatologist, Amsterdam UMC.