LEUKOKERATOSIS MONDSLIJMVLIES/TONG home ICD10: K13.2

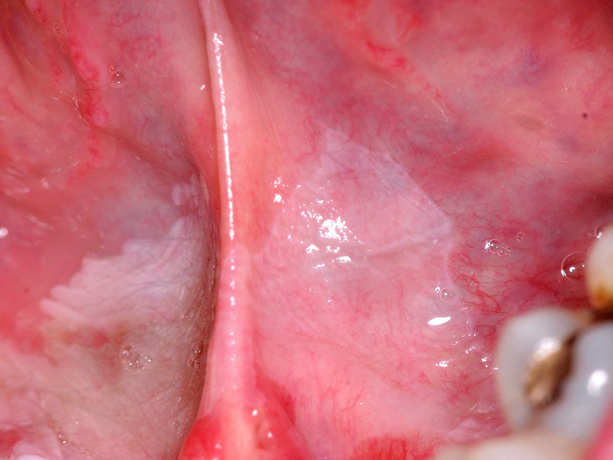
Leukokeratosis oris is een wit verkleurde hyperkeratose van het mondslijmvlies, meestal van de tong. Histologisch gaat het om hyperkeratose van de orale mucosa. Door het vocht in de mondholte krijgt dit een witte kleur. Roken veroorzaakt leukokeratosis van de tong, buccale mucosa en van het verhemelte (leukokeratosis nicotinica palati). Er bestaat ook een congenitale leukokeratose (hereditary mucosal leukokeratosis). Verder wordt leukokeratosis gebruikt als beschrijvende term voor de witte leukoplakie die gezien wordt op de tong bij pachyonychia congenita en die berust op een mutatie in het gen voor keratine 6A. Sommigen beschouwen leukokeratosis als een synoniem voor leukoplakie. Zie verder onder leukoplakie.

Leukokeratosis
leukokeratosis


Author(s):
dr. Jan R. Mekkes. Dermatologist, Amsterdam UMC.

31-05-2023 (JRM) - www.skin-diseases.eu Terug naar homepagina



Diagnosis codes:
ICD10 K13.2 Leukoplakie en overige afwijkingen van mondepitheel, inclusief tong: leukokeratosis
ICD10 K13.2 Leukoplakia and other disturbances of oral epithelium, including tongue: leukokeratosis
SNOMED 9187004 Leukokeratosis
DBC 17 spacer Premaligne dermatosen

ICD10 K13.2 Leukoplakie en overige afwijkingen van mondepitheel, inclusief tong: leukokeratosis nicotina palati
ICD10 K13.2 Leukoplakia and other disturbances of oral epithelium, including tongue: leukokeratosis nicotina palati
SNOMED 89013002 Leukokeratosis nicotina palati
DBC 17 spacer Premaligne dermatosen