ERYTHRODERMA ICHTHYOSIFORMIS CONGENITA (CIE) home ICD10: Q80.2

Erythroderma ichthyosiformis congenita is een congenitale vorm van ichthyosis gekenmerkt door erytrodermie vanaf de geboorte en een droge huid (fijne witte, oppervlakkige adherente schilfertjes). Synoniemen: congenitale ichthyosiforme erythroderma (CIE), nonbullous congenital ichthyosiform erythroderma (NBCIE). Ca 90% presenteert zich bij de geboorte als een collodion baby. Overige symptomen: palmoplantaire keratoderma, vaak met pijnlijke fissuren, contracturen aan de vingers, verlies van pulp (pulp loss), nageldystrofie (ridging, subunguale hyperkeratose, hypoplasie), ectropion, eclabion, verlies van wenkbrauwen en wimpers. Erythroderma ichthyosiformis congenita lijkt op lamellaire ichthyosis (LI) maar de verschijnselen zijn milder. CIE en LI zijn allebei een vorm van autosomaal recessieve congenitale ichthyosis (ARCI). Er bestaat ook een zeldzame variant van autosomaal recessieve congenitale ichthyosis die geassocieerd is met vroeggeboorte; dit wordt het ichthyosis prematuriteit syndroom (IPS) genoemd. Zie voor de DD van ichthyosis syndromen en andere syndromen die een neonatale / congenitale erytrodermie kunnen veroorzaken de tabel onder aan deze pagina.

Nonbullous congenital ichthyosiform erythroderma Nonbullous congenital ichthyosiform erythroderma
ichthyosiforme erythroderma ichthyosiforme erythroderma

Nonbullous congenital ichthyosiform erythroderma Nonbullous congenital ichthyosiform erythroderma
ichthyosiforme erythroderma ichthyosiforme erythroderma


Er kunnen verschillende genen betrokken zijn bij congenitale ichthyosiforme erythroderma, waaronder ABCA12, ALOX12B, ALOXE3, CERS3, CYP4F22, lipase N (LIPN), NIPAL4/ICHTHYIN, PNPLA1, SULT2B1 en TGM1.

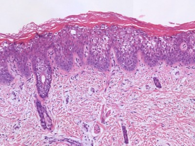
PA:
Hyperkeratose, normaal of licht verdikt stratum granulosum, enige acanthose en wisselende parakeratose. Verder een ontstekingsinfiltraat in de bovenste dermis.

Histologie congenitale ichthyosiforme erythrodermie
ingescande coupe (zoom)

Bron hoge resolutie PA-foto's: Kevin Kwee en Afdeling Pathologie MUMC. Klik op de afbeelding om in te zoomen.



Diffentiële diagnose van neonatale / congenitale erytrodermie:
Meest voorkomend: Incidentie OMIM Erfelijk Gen
Recessieve X-linked ichthyosis 1:2000-10.000 (alleen M) 308100 XL-R STS
DiGeorge syndroom 1:4000 188400 deletie TBX1
Selectieve IgA deficiëntie 6-9:10.000 137100 AR, AD IGAD1
CVID2 (TACI deficiëntie) 1:10.000-200.000 240500 mutatie TNFRSF13B
Menkes disease (Koper deficiëntie) 1:35.000-300.000 (alleen M) 309400 XL-R ATP7A
Biotinidase deficiëntie 1-9:70.000-100.000 253260 AR BTD
Omenn syndroom (SCID T-, B-, NK+) 1:100.000-500.000 (80% M) 603554 mutatie DCLRE1C
RAG1/RAG2
Bulleuze ichtyosiforme erythrodermie (BIE) 1:200.000-300.000 113800 AD KRT1/KRT10
Lamellaire ichthyosis (=LI) en
Non-bulleuze congenitale ichthyosiforme
erythrodermie
(=NBCIE)
LI: 1:300.000
CIE: 1:180.000
242300 ARCI LI1: TGM1
LI2: ABCA12
LI3: 19p13.12
LI4: 19p13
LI5: ALOXE3/ALOXE12B
LI6: NIPAL4
multiple carboxylase synthethase deficiëntie <1:200.000 253270 AR HLCS
Harlequin ichthyosis 1:300.000 242500 ARCI ABCA12
Zinkdeficiëntie (acrodermatitis enteropathica) 1:500.000 201100 AR SLC39A4
 
Zeldzaam (1-9:1.000.000): OMIM Erfelijk Gen
Comèl-Netherton syndroom 256500 ARCI SPINK5
Gegeneraliseerde pustulaire psoriasis (DITRA) 614204 mutatie IL36RN
Agammaglobulinemie / hypogammaglobulinemie 300755 XL-R BTK
Sjögren-Larsson syndroom 270200 ARCI ALDH3A2
 
Zeer zeldzaam (<1:1.000.000): OMIM Erfelijk Gen
Propionic acidemie 606054 AR PCCA/PCCB
Diffuse cutane mastocytose 154800 AR, AD KIT
CHILD syndroom 308050 XL-D NSDHL
IFAP syndroom 308205 XL-R MBTPS2
CHIME syndroom 280000 AR PIGL
Trichothiodystrophie, incl Tay syndroom (PIBIDS) 601675 ARCI ERCC2/ERCC3/GTF2H5
Ichthyosis prematurity syndroom 608649 ARCI SLC27A4
Keratitis-Ichthyosis-Deafness (KID) syndroom 148210 AD GJB2
Peeling skin syndroom 270300 AR CDSN
Dorfman-Chanarin syndroom 275630 ARCI Cgi58
Gaucher syndroom type 2 230900 ARCI GBA
Ichthyosis bullosa van Siemens (IBS) 146800 AD KRT2A (KRT2E)
Ichthyosis hystrix van Curth-Macklin 146590 AD KRT1
Self-healing collodion baby 242300 ARCI TGM1
Bathing suit ichthyosis - ARCI -
Onbekend / overige:
Staphylococcen scalded skin syndroom - - -
Congenitale cutane candidiasis - - -
AD lamellaire ichthyosis - AD ?
AEC syndroom (Hay-Wells syndroom) 106260 AD P63
Conradi-Hünermann-Happle syndroom 302960 XL-D EBP
Chondrodysplasia punctata 302950 XL-R ARSE
 Maternale-foetale GVHD - mutatie IL10
Leiner disease (C5 deficiëntie) 609536 mutatie C5
SAM syndroom 615508 mutatie DSG1
Congenitale erythroderme psoriasis - multifact HLA-C/CARD14

Bron: Cuperus E, Pasmans SGMA. Landelijk protocol neonatale erythrodermie 2015.



Author(s):
dr. Jan R. Mekkes. Dermatologist, Amsterdam UMC.

18-09-2023 (JRM) - www.skin-diseases.eu Terug naar homepagina



Diagnosis codes:
ICD10 Q80.2 Lamellaire ichthyose: congenitale ichtyosiforme erytrodermie
ICD10 Q80.2 Lamellar ichthyosis: congenital ichthyosiform erythroderma
SNOMED 254156001 Congenital ichthyosiform erythroderma
DBC 11 Genodermatosen