Acquired (reactive) perforating collagenosis is een
zeldzame aandoening behorende tot de
verkregen perforerende dermatosen,
en wordt gekenmerkt door transepidermale eliminatie van veranderd collageen
door de epidermis. Tot de
perforating
dermatoses behoren
Kyrle’s disease,
acquired perforating collagenosis,
elastosis perforans
serpiginosa, en
perforerende folliculitis.
Bij
Kyrle disease
is het materiaal dat naar buiten wordt gewerkt veranderd
keratine,
bij
elastosis perforans
serpiginosa is het
elastine, en bij
perforerende folliculitis
zijn de laesies
folliculair gerangschikt en is er
transfolliculaire eliminatie van perifolliculair collageen en celdebris.
Er bestaat een zeldzame hereditaire variant van perforerende collagenose,
die al op kinderleeftijd ontstaat, maar de meest voorkomende variant is de verkregen
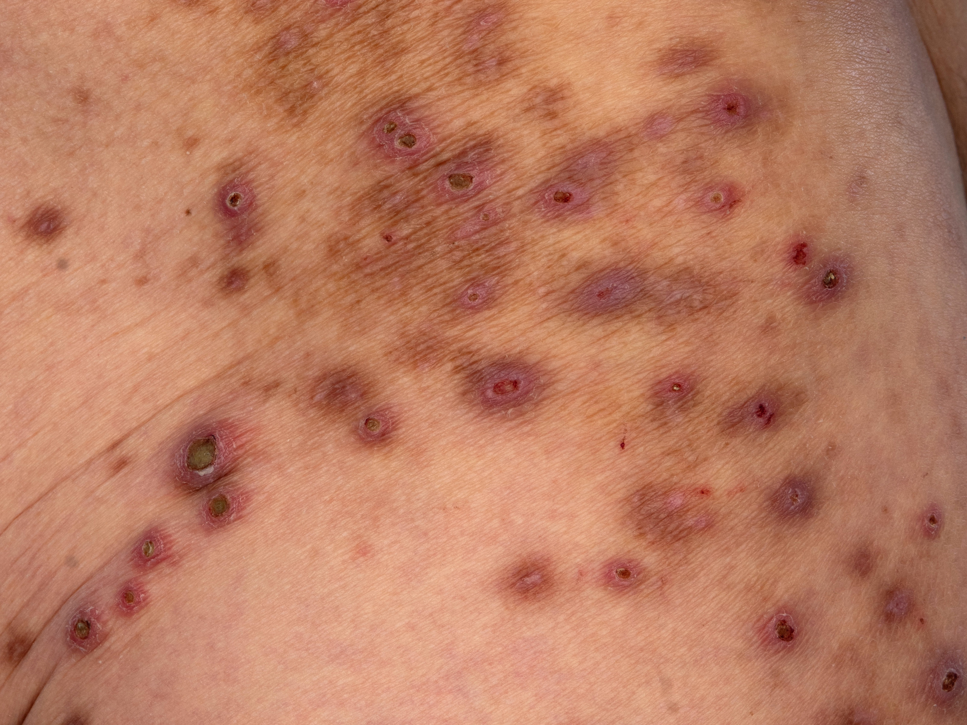
(reactieve) perforerende collagenose. Klinisch gaat het om hyperkeratotische
papels en nodi, met centraal een keratotische plug, die vaak iets verzonken
ligt, waardoor de term umbilicated papulonodules wordt gebruikt. De laesies
jeuken meestal hevig. Ze kunnen enkele cm groot worden, met centrale ulceratie.
Ze kunnen overal op het lichaam ontstaan, maar vooral op de strekzijde van de
benen, of de armen, of de handen. De laesies komen en gaan, ze kunnen spontaan
verdwijnen in 6-8 weken, met achterlating van hyperpigmentatie of een litteken.
![Acquired (reactive) perforating collagenosis (click on photo to enlarge) [source: www.huidziekten.nl] Acquired (reactive) perforating collagenosis](../../../images/acquired-perforating-collagenosis-1z.jpg) |
![Acquired (reactive) perforating collagenosis (click on photo to enlarge) [source: www.huidziekten.nl] Acquired (reactive) perforating collagenosis](../../../images/acquired-perforating-collagenosis-2z.jpg) |
![Acquired (reactive) perforating collagenosis (click on photo to enlarge) [source: www.huidziekten.nl] Acquired (reactive) perforating collagenosis](../../../images/acquired-perforating-collagenosis-3z.jpg) |
| perforating
collagenosis |
perforating
collagenosis |
perforating
collagenosis |
De etiologie is onbekend, mogelijk kunnen de laesies worden uitgelokt
door een huidbeschadiging. Acquired perforating collagenosis wordt vooral gezien
bij patiënten met diabetes mellitus en bij chronische nierinsufficiëntie. Er
is dus een grote klinische overlap met perforerende folliculitis en met Kyrle’s
disease, waarbij deze associatie ook speelt. Het is ook beschreven bij leverziekten
waaronder scleroserende cholangitis en hepatocellulair carcinoma, en bij vasculitis,
systemische lupus erythematosus, (anti-MDA5-) dermatomyositis, Mikulicz disease,
schildkliercarcinoom, prostaat carcinoom, adenocarcinoom, lymfoma, chronische
lymfatische leukemie, m. Hodgkin, lineaire IgA dermatose, Down syndroom, na
herpes zoster, en bij targeted therapies zoals erlotinib, sorafenib, panitumumab,
ranibizumab.
PA:Histologisch ziet men meestal een
verticaal georiënteerde, bekervormig invaginatie van de epidermis, bedekt met
een keratine plug, en verticaal georiënteerde basofiele collageenbundels, waarbij
focaal collageen naar buiten wordt gewerkt. In vroege laesies epidermale hyperplasie
en basofiele gedegenereerde collageenvezels, in latere fase een verzonken deel
in de epidermis, met een keratine plug. Speciale kleuringen op collageen en
elastine verduidelijken het beeld.
DD:
Folliculitis,
furunculosis,
perforating folliculitis,
Kyrle disease,
prurigo nodularis,
persistant insect bites,
multiple keratoacanthomen,
dermatofibromen,
granuloma annulare,
hypertrofische lichen planus,
chromoblastomycosis.
Therapie:Behandeling is moeizaam, studies ontbreken vanwege
de zeldzaamheid, er zijn alleen enkele case-reports. Adviezen: beschadiging
van de huid voorkomen, krabben voorkomen. Jeuk proberen te controleren met lokale
corticosteroïden, indifferente therapie, antihistaminica. Mogelijk effectief
zijn lokale keratolytica en lokale of systemische retinoïden.
R/ keratolytica
(salicylzuurzalf, ureumzalf).
R/ emollientia.
R/ lokale corticosteroïden,
intralesionale corticosteroïden.
R/ Protopic (tacrolimus zalf 0.1%).
R/
orale antihistaminica (in combinatie met lokale corticosteroïden).
R/ tretinoïne
crème.
R/ isotretinoïne.
R/ UVB of PUVA therapie.
R/ doxycycline
1 dd 100 mg, minocycline 1 dd 100 mg.
R/ allopurinol 1 dd 100 mg.
R/ methotrexaat.
R/ dupilumab (experimenteel, off-label - wordt niet vergoed).
R/ JAK-inhibitors
(experimenteel, off-label - wordt niet vergoed).

Cryotherapie,
elektrocoagulatie, CO2 laser, excisies.
Referenties
| 1. |
Tilz H, Becker JC, Legat F, Schettini APM,
Inzinger M, Massone C. Allopurinol in the treatment of acquired
reactive perforating collagenosis. An Bras Dermatol 2013;88(1):94-97. |
| 2. |
Mullins TB, Sickinger M, Zito PM. Reactive
Perforating Collagenosis. [Updated 2024 Mar 1]. In: StatPearls [Internet].
Treasure Island (FL): StatPearls Publishing; 2024 Jan-. Available
from: https://www.ncbi.nlm.nih.gov/books/NBK459214. |
| 3. |
Lukács J, Schliemann S, Elsner P. Treatment
of acquired reactive perforating dermatosis - a systematic review.
J Dtsch Dermatol Ges 2018 Jul;16(7):825-842. |
| 4. |
Ye B, Cao Y, Liu Y. Successful treatment
of acquired reactive perforating collagenosis with itraconazole.
Eur J Med Res 2021 Jul 13;26(1):74. |
| 5. |
Iyoda M, Hayashi F, Kuroki A, Shibata T,
Kitazawa K, Sugisaki T, Sakai O. Acquired reactive perforating collagenosis
in a nondiabetic hemodialysis patient: successful treatment with
allopurinol. Am J Kidney Dis 2003;42(3):E11-13. |
| 6. |
Harbaoui S, Litaiem N. Acquired Perforating
Dermatosis. [Updated 2023 Feb 13]. In: StatPearls [Internet]. Treasure
Island (FL): StatPearls Publishing; 2024 Jan-. Available from:
https://www.ncbi.nlm.nih.gov/books/NBK539715. |
| 7. |
Alsebayel MM, Alzaid T, Alobaida SA. Dupilumab
in acquired perforating dermatosis: A potential new treatment. JAAD
Case Rep 2022;28:34-36. Liu B, Wu Y, Wu X, Zhong X, Xue R, Zhang
Z. Dupilumab improve acquired reactive perforating collagenosis
characterized by type 2 inflammation. Front Immunol 2023;14:1240262. |
| 8. |
Rice AS, Zedek D. Kyrle Disease. [Updated
2023 Jun 15]. In: StatPearls [Internet]. Treasure Island (FL): StatPearls
Publishing; 2024 Jan-. Available from:
hhttps://www.ncbi.nlm.nih.gov/books/NBK532886. |
| 9. |
Macca L, Vaccaro F, Li Pomi F, Borgia F,
Irrera N, Vaccaro M. Kyrle disease: a case report and literature
review. Eur Rev Med Pharmacol Sci 2023 Nov;27(21):10705-10715. |
| 10. |
Forouzandeh M, Stratman S, Yosipovitch G.
The treatment of Kyrle's disease: a systematic review. J Eur Acad
Dermatol Venereol 2020 Jul;34(7):1457-1463. |
| 11. |
Zhang X, Yang Y, Shao S. Acquired reactive
perforating collagenosis: A case report and review of the literature.
Medicine (Baltimore) 2020;99(22):e20391. |
| 12. |
Gore Karaali M, Erdil D, Erdemir VA, Gurel
MS, Koku Aksu AE, Leblebici C. Evaluation of clinicopathological
and treatment characteristics of 80 patients with acquired perforating
dermatosis. Dermatol Ther 2020;33(6):e14465. |
| 13. |
Kawakami T, Akiyama M, Ishida-Yamamoto A,
Nakano H, Mitoma C, Yoneda K, Suga Y. Clinical practice guide for
the treatment of perforating dermatosis. J Dermatol 2020;47(12):1374-1382. |
| 14. |
Gao L, Gu L, Chen Z, Cao S. Doxycycline Combined
with NB-UVB Phototherapy for Acquired Reactive Perforating Collagenosis.
Ther Clin Risk Manag 2020;16:917-921. . |
| 15. |
Naik A, Patil M, Sepehr A, Schalock P, Gardner
B, Tran TN. Successful management of a severe case of chronic giant
acquired reactive perforating collagenosis with allopurinol. JAAD
Case Rep 2023;40:99-102. |
| 16. |
Liu B, Wu Y, Wu X, Zhong X, Xue R, Zhang
Z. Dupilumab improve acquired reactive perforating collagenosis
characterized by type 2 inflammation. Front Immunol 2023;14:1240262. |
| 17. |
Lee YJ, Lee JH, Choi JE, Han TY. Treatment
of acquired reactive perforating collagenosis with dupilumab in
a patient with end-stage renal disease. Dermatol Ther 2022;35(12):e15926. |
| 18. |
Ding W, Wang Y, Song L, Zhou N. A potential
new treatment with upadacitinib for acquired reactive perforating
collagenosis. JAAD Case Rep 2024;48:112-114. |
Author(s):dr. Jan R. Mekkes. Dermatologist, Amsterdam UMC.