Een
venous lake is een met bloed gevulde holte, ontstaan
door vaatverwijding (gedilateerde venulen). Het ontstaat spontaan, meestal op
aan zon blootgestelde plaatsen, bij patiƫnten boven de 50 jaar (gemiddeld 65
jaar). Voorkeurslokalisaties zijn de onderlip en soms op de oorranden of elders
in het gelaat. Het komt vooral bij mannen voor (95%), en zonne-expositie is
een risicofactor. Het komt vaak voor en is volledig goedaardig. Ze worden langzaam
groter en zijn vaak al jarenlang aanwezig voordat de patiƫnt naar de dokter
gaat.
Klinisch beeld:Donkerblauwe, soms paarsrode
of zwarte papel of nodulus, scherp begrensd, tot 1 cm groot, vaak bolrond, glad
oppervlak, comprimeerbaar, meestal op de onderlip. Kan hevig bloeden bij bijten
of anderszins kapotgaan. Met de dermatoscoop is het onderscheid te maken met
pigmentlaesies of een gepigmenteerd basaalcelcarcinoom. Soms is de laesie (gedeeltelijk)
getromboseerd.
![venous lake (vaatverwijding op de lip) (click on photo to enlarge) [source: www.huidziekten.nl] venous lake (vaatverwijding op de lip)](../../../images/venous-lake-1z.jpg) |
![venous lake (vaatverwijding op de lip) (click on photo to enlarge) [source: www.huidziekten.nl] venous lake (vaatverwijding op de lip)](../../../images/venous-lake-2z.jpg) |
![venous lake (click on photo to enlarge) [source: www.huidziekten.nl] venous lake](../../../images/venous-lake-3z.jpg) |
| venous
lake |
venous
lake |
venous
lake |
DD:melanoom,
gepigmenteerd basaalcelcarcinoom,
blue naevus,
naevus,
angioma senilis,
acquired hemangioma,
granuloma pyogenicum,
Kaposi sarcoma,
angiokeratoma circumscriptum.
Diagnostiek:Klinisch beeld, dermatoscopie, zonodig
biopt + hechten.
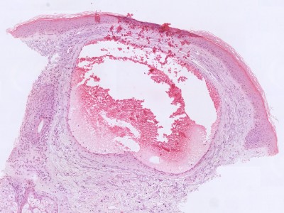
PA:
Enkele of meerdere onderling
verbonden holtes gevuld met bloed in de oppervlakkige dermis. De wanden zijn
dun en bestaan uit een enkele laag vaatwand endotheel, omgeven door een dunne
laag bindweefsel. In de vaatwand geen glad spierweefsel of tunica elastica.
De omgevende dermis toont een beeld van solaire elastose met blauwig collageen.
![Histologie venous lake (click on photo to enlarge) [source: Kevin Kwee / Afdeling Pathologie MUMC] Histologie venous lake](../../../pacoupes/thumbnails/venous-lake.jpg) |
|
ingescande coupe (zoom) |
Bron
hoge resolutie PA-foto: Kevin Kwee en Afdeling Pathologie MUMC. Klik
op de afbeelding om in te zoomen.
Therapie:

Electrocoagulatie
na lokale anaesthesie.

Excisie door
middel van een passend biopt (tot 6 mm, eventueel 8 mm) en hechten (bloedt flink;
tenzij getromboseerd).

Cryotherapie.

Laser behandeling:
pulsed dye laser, CO2 laser, argon laser, koperdamp laser, KTP laser, Nd:YAG
laser, 810-nm diode laser.

Infrarood
coagulatie.

Intense pulsed
light (IPL) met koel gel.

Scleroseren.
Referenties
| 1. |
Neumann RA, Knobler RM. Venous lakes (Bean-Walsh)
of the lips - treatment experience with the argon laser and 18 months
follow-up. Clin Exp Dermatol 1990;15:115-118. |
| 2. |
Suhonen R, Kuflik EG. Venous lakes treated
by liquid nitrogen cryosurgery. Br J Dermatol 1997;137:1018-1019. |
| 3. |
del Pozo J, Pena C, Garcia Silva J, Goday
JJ, Fonseca E. Venous lakes: a report of 32 cases treated by carbon
dioxide laser vaporization. Dermatol Surg 2003;29:308-310. |
| 4. |
Kuo HW, Yang CH. Venous lake of the lip treated
with a sclerosing agent: report of two cases. Dermatol Surg 2003;29:425-428. |
| 5. |
Boffa MJ. Pulsed dye laser treatment of thick
/ raised vascular lesions using compression with clear plastic.
J Am Acad Dermatol 2003;49:879-881. |
| 6. |
Ah-Weng A, Natarajan S, Velangi S, Langtry
JA. Venous lakes of the vermillion lip treated by infrared coagulation.
Br J Oral Maxillofac Surg 2004;42:251-253. |
| 7. |
Bekhor PS. Long-pulsed Nd:YAG laser treatment
of venous lakes: report of a series of 34 cases. Dermatol Surg 2006;32:1151-1154. |
Author(s):dr. Jan R. Mekkes. Dermatologist, Amsterdam UMC.