Een
Buschke-Löwenstein tumor (
condyloma
acuminatum giganteum) is een locaal invasieve zeldzame variant
(giant type, reuzenvorm) van een
condyloma acuminatum. Het wordt veroorzaakt door
HPV
(Humaan Papilloma Virus), meestal type 6. Het kan bij gezonden voorkomen, maar
wordt vaker gezien bij een gestoorde afweer, bijvoorbeeld door HIV of bij gebruik
van immunosuppressiva. Het ziektebeeld werd in 1925 beschreven door Buschke
en Löwenstein als een locaal invasief groeiend carcinoomachtig proces, met het
uiterlijk van condyloma acuminatum. Het wordt onderscheiden van condyloma acuminatum
door het ontstaan van zeer grote laesies en het optreden van endofytische groei
naast een exofytische groei. Verder is er een kenmerkende doorgroei naar omliggende
structuren zonder metastasering. Er is geen echte infiltratieve groei in aangrenzend
weefsel. Weefseldestructie ontstaat door druk en verplaatsing. De laesies beginnen
met een verruceuze groei, waarbij noduli ontstaan en penetratie van onderliggend
weefsel. Ook fistels kunnen hierbij voorkomen. Op langere termijn kan het anogenitaal
gebied volledig worden overgroeid met een condylomateuze massa.
Klinisch beeld: Langzaam groeiende verruceuze afwijking
die meestal voorkomt op de penis bij mannen van middelbare leeftijd. Het
komt minder vaak voor bij vrouwen. Andere lokalisaties zijn het peri-anale gebied,
het rectum, scrotum, pubisregio, onderbuik, en in uitzonderlijke gevallen in
de urethra en blaas. Histologisch onderzoek is noodzakelijk om te differentiëren
van verruceus carcinoom en plaveiselcel-carcinoom. Bij Buschke-Löwenstein tumoren
blijft het stratum basale intact.
![Reuzen condyloma van Buschke en Löwenstein (click on photo to enlarge) [source: www.huidziekten.nl] Reuzen condyloma van Buschke en Löwenstein](../../../images/Buschke-Lowenstein-condyloma-1z.jpg) |
![Reuzen condyloma van Buschke en Löwenstein (click on photo to enlarge) [source: www.huidziekten.nl] Reuzen condyloma van Buschke en Löwenstein](../../../images/Buschke-Lowenstein-condyloma-2z.jpg) |
![Reuzen condyloma van Buschke en Löwenstein (click on photo to enlarge) [source: www.huidziekten.nl] Reuzen condyloma van Buschke en Löwenstein](../../../images/Buschke-Lowenstein-condyloma-3z.jpg) |
| Buschke-Löwenstein
tumor |
Buschke-Löwenstein
tumor |
Buschke-Löwenstein
tumor |
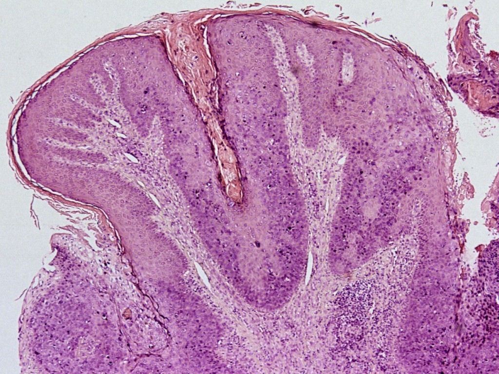
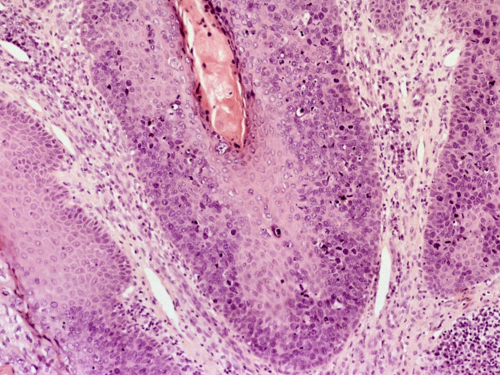
![Reuzen condyloma van Buschke en Löwenstein (click on photo to enlarge) [source: www.huidziekten.nl] Reuzen condyloma van Buschke en Löwenstein](../../../images/Buschke-Lowenstein-condyloma-PA-1z.jpg) |
![Reuzen condyloma van Buschke en Löwenstein (click on photo to enlarge) [source: www.huidziekten.nl] Reuzen condyloma van Buschke en Löwenstein](../../../images/Buschke-Lowenstein-condyloma-PA-2z.jpg) |
| Buschke-Löwenstein
(PA) |
Buschke-Löwenstein
(PA) |
DD: verruca
seborroica,
naevus lipomatosus,
naevus naevocellularis
papillomatosus,
plaveiselcelcarcinoom,
verruceus carcinoom (carcinoma
cuniculatum)
Therapie:

Radicale
chirurgische excisie.
De rol van aanvullende radiotherapie of chemotherapie
is onduidelijk. Zie verder onder
condyloma acuminata. Er is een case report van succesvolle behandeling van
een grote perianale tumor met PDT (16% methyl aminolevulinate na 3 uur gevolgd
door 630-nm belichting (37 J/cm2) elke 4-6 weken).
Referenties
| 1. |
Chu G, Chang T, Chang C. Buschke-Löwenstein
tumor (giant condyloma acuminatum) successfully treated by topical
photodynamic therapy: a case report. Dermatologica Sinica 2012. |