SEBACEOUS ADENOMA home ICD10: D23.9

Een sebaceous adenoma is een goedaardige adnextumor uitgaande van de talgklieren. Klinisch zijn het gelige papels of noduli. Ze kunnen overal op het lichaam ontstaan, maar vooral in het gelaat, op de oogleden, en op het behaarde hoofd. Een sebaceous adenoma is een zeldzame huidtumor, bij het diagnosticeren daarvan alert zijn op de aanwezigheid van het Muir-Torre syndroom, vooral bij 2 of meer laesies. Andere huidafwijkingen die bij het Muir-Torre syndroom kunnen voorkomen zijn sebaceoma (sebaceous epithelioma), talgkliercarcinoma (sebaceous carcinoma), en keratoacanthomen.

Sebaceous adenoma Sebaceous adenoma Sebaceous adenomas bij het Muir-Torre syndroom
sebaceous adenoma sebaceous adenoma Muir-Torre syndroom

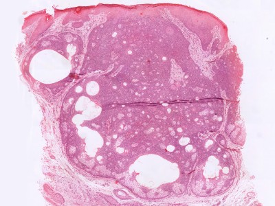
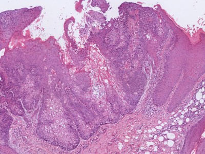
Histologie sebaceous adenoma Histologie sebaceous adenoma
ingescande coupe (zoom) ingescande coupe (zoom)

Bron hoge resolutie PA-foto's: Kevin Kwee en Afdeling Pathologie MUMC. Klik op de afbeelding om in te zoomen.


DD: talgklierhyperplasie, talgkliercarcinoom, Muir-Torre syndroom, basaalcelcarcinoom, angiofibromen, fibrous papule of the face, neurofibroom, desmoplastisch tricho-epithelioom.

Therapie:
Curettage en coagulatie, coagulatie, cryotherapie, laserbehandeling, excisie.


Referenties
1. Rothenberg J, Lambert WC, Vail Jr JT, Nemlick AS, Schwartz RA. The Muir-Torre (Torre's) syndrome: the significance of a solitary sebaceous tumor. J Am Acad Derm 1990;23:638-640.


Author(s):
dr. Jan R. Mekkes. Dermatologist, Amsterdam UMC.

26-08-2025 (JRM) - www.skin-diseases.eu Terug naar homepagina



Diagnosis codes:
ICD10 D23.9 Overige benigne neoplasma van huid, niet gespecificeerd: sebaceous adenoma (talgklieradenoom)
ICD10 D23.9 Other benign neoplasms of skin, unspecified: sebaceous adenoma
SNOMED 307598005 Sebaceous adenoma of skin
DBC 3 spacer Benigne tumoren

ICD10 D23.9 Overige benigne neoplasma van huid, niet gespecificeerd: sebaceoma (epithelioma sebaceum)
ICD10 D23.9 Other benign neoplasms of skin, unspecified: sebaceoma (epithelioma sebaceum)
SNOMED 403933005 Sebaceoma of skin
DBC 3 spacer Benigne tumoren