Een
reuscel-angiohistiocytoom (
multinucleate
cell angiohistiocytoma) is een zeldzame aandoening, in 1985 voor
het eerst beschreven door Smith en Wilson Jones. Het reuscel-angiohistiocytoom
is een goedaardige vasculaire proliferatie waarvan de etiologie niet opgehelderd
is. De aandoening treft met name oudere vrouwen en uit zich klinisch meestal
in erythemateuze tot violet bruine papels op de extremiteiten. Ook kunnen laesies
in het gelaat en op de romp voorkomen. Er is een casus van een 24 jarige man
beschreven met gegeneraliseerde reuscel-angiohistiocytomen.
![Reuscel angiohistiocytoom (click on photo to enlarge) [source: www.huidziekten.nl] Reuscel angiohistiocytoom](../../../images/reuscel-angiohistiocytoom-1z.jpg) |
![Reuscel angiohistiocytoom (click on photo to enlarge) [source: www.huidziekten.nl] Reuscel angiohistiocytoom](../../../images/reuscel-angiohistiocytoom-2z.jpg) |
| reuscel
angiohistiocytoom |
reuscel
angiohistiocytoom |
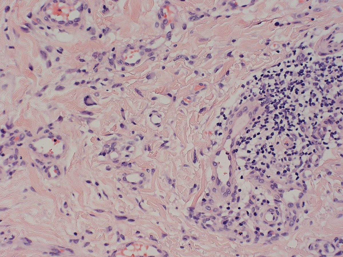
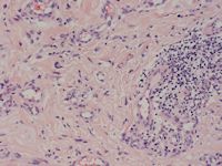
PA:Epidermis licht acanthotisch verbreed, in de
dermis een diffuse en multicentrische toename van capillaire vaatstructuren.
Het endotheel is nadrukkelijk aanwezig, perivasculair bevindt zich een rondkernig
ontstekingsinfiltraat. Ook worden meerkernige reuscellen gezien.
![Reuscel angiohistiocytoom (click on photo to enlarge) [source: www.huidziekten.nl] Reuscel angiohistiocytoom](../../../images/reuscel-angiohistiocytoom-3z.jpg) |
![Reuscel angiohistiocytoom (click on photo to enlarge) [source: www.huidziekten.nl] Reuscel angiohistiocytoom](../../../images/reuscel-angiohistiocytoom-4z.jpg) |
| reuscel
angiohistiocytoom |
reuscel
angiohistiocytoom |
DD: lichen planus,
Kaposi’s sarcoom,
insektensteek,
lymfomatoide papulosis,
pseudolymfoom,
histiocytoom,
Spitz naevus,
fibreuze papel van de neus
en
granuloma annulare.
Therapie:Moeilijk te behandelen, eventueel met laser.
Referenties
| 1. |
Smith NP, Wilson Jones E. Multinucleate cell
angiohistiocytoma: a new entity (abstract). Br J Dermatol 1985;113(Suppl
29):15. |
| 2. |
Requena L, Sangueza OP. Cutaneous vascular
proliferations. Part III. Malignant neoplasms, other cutaneous neoplasms
with significant vascular component, and disorders erroneously considered
as vascular neoplasms. J Am Acad Dermatol 1998;38:143-175. |
| 3. |
Chang SN, Kim HS, Kim SC, Yang WI. Generalized
multinucleate cell angiohistiocytoma. J. Am Acad Dermatol 1996;35:320-322. |
| 4. |
Kopera D, Smolle J, Kerl H. Multinucleate
cell angiohistiocytoma: treatment with argon laser. Br J Dermatol
1995;133:308-310. |
Author(s):dr. Jan R. Mekkes. Dermatologist, Amsterdam UMC.