Het
verruceus carcinoom (synoniemen:
epithelioma
cuniculatum, carcinoma cuniculatum,
Marjolin ulcer,
Buschke-Löwenstein tumor,
Ackerman's tumor,
floride orale papillomatose, en cutis papillomatosis
carcinoides van Gottron) is een goed gedifferentieerd (laag-gradig) plaveiselcelcarcinoom,
langzaam groeiend, vaak exofytisch groeiend, met uiterlijke kenmerken van een
verruca vulgaris. Het komt niet vaak voor, de exacte incidentie is niet bekend.
Het komt vaker voor bij mannen, vooral blanke mannen in de leeftijdscategorie
55-65. De tumor is locaal destructief, kan spieren, zenuwen en botten destrueren,
maar metastaseert vrijwel nooit. De overlevingskansen zijn hoog (afhankelijk
van de lokalisatie). De Buschke-Löwenstein tumor komt ook bij jongere mannen
voor en is geassocieerd met HPV-6, SOA, HIV, en homoseksualiteit.
Binnen
de dermatologie is het
palmoplantaire verruceuze carcinoom
(
epithelioma cuniculatum) de meest voorkomende variant.
Maar tot de entiteit verruceus carcinoom behoren ook carcinomen van de lip en
de mondholte (Ackerman tumor,
orale floride papillomatosis),
en van de anogenitale regio (
Buschke-Löwenstein tumor).
Andere mogelijke lokaties zijn de larynx, oesofagus, en genitaliën. De naam
Buschke-Löwenstein tumor wordt gereserveerd
voor een locaal invasieve neoplasie uitgaande van een condyloma acuminatum,
en veroorzaakt door HPV-6.
Het
verruceus carcinoom
is een aparte klinische en histologische entiteit, zeldzaam en het wordt vaak
niet tijdig herkend. De tumoren bestaan vaak al jarenlang voordat de diagnose
gesteld wordt. In het klassieke geval worden ze verward met een wrat. Gelukkig
treedt metastasering naar lymfklieren zelden op, wel vindt uitgebreide lokale
destructie plaats door de tumor ingroei of als gevolg van de excisie.
![Verruceus carcinoom bij neuropathische voet (click on photo to enlarge) [source: www.huidziekten.nl] Verruceus carcinoom bij neuropathische voet](../../../images/verruceus-carcinoom-neuropathische-voetz.jpg) |
![Verruceus carcinoom van de voetzool (click on photo to enlarge) [source: www.huidziekten.nl] Verruceus carcinoom van de voetzool](../../../images/verruceus-carcinoom-2z.jpg) |
![Verruceus carcinoom van de voet (click on photo to enlarge) [source: www.huidziekten.nl] Verruceus carcinoom van de voet](../../../images/verruceus-carcinoom-1z.jpg) |
| verruceus
carcinoom |
verruceus
carcinoom |
verruceus
carcinoom |
![Verruceus carcinoom van de hiel (click on photo to enlarge) [source: www.huidziekten.nl] Verruceus carcinoom van de hiel](../../../images/verruceus-carcinoom-hiel-1z.jpg) |
![Verruceus carcinoom van de hiel (click on photo to enlarge) [source: www.huidziekten.nl] Verruceus carcinoom van de hiel](../../../images/verruceus-carcinoom-hiel-2z.jpg) |
![Verruceus carcinoom van de hiel (click on photo to enlarge) [source: www.huidziekten.nl] Verruceus carcinoom van de hiel](../../../images/verruceus-carcinoom-hiel-3z.jpg) |
| verruceus
carcinoom |
verruceus
carcinoom |
verruceus
carcinoom |
DD:Verruca vulgaris,
plaveiselcelcarcinoom nno, pseudoepitheliomateuze
hyperplasie, cicatrix (litteken), decubitus, keratoacanthoma, noma, condyloma
acuminatum, bindweefsel naevus, Buschke-Löwenstein tumor.
Pathogenese:
De carcinomen ontstaan door chronische blootstelling aan allerlei prikkels zoals
humaan papilloma virus (Buschke-Löwenstein tumor, en een deel van de orale en
plantaire tumoren), chemische carcinogenesis (roken, pruimtabak, alcohol, heet
gekruid eten), chronische ulcera (trauma, littekens, ulcus cruris), langdurig
bestaande ontstekingen (bijvoorbeeld carcinomen in de liezen en anogenitale
gebied bij hidradenitis suppurativa, of verruceus blaascarcinoom bij Schistosomiasis).
Palmoplantar verrucous carcinoma (epithelioma cuniculatum)
De voorkeurslokalisatie is de voetzool (hiel, tenen, elders). De tumor is moeilijk
te differentiëren van een verruca vulgaris en kan in theorie daardoor zijn ontstaan.
Andere triggers zijn brandwonden of andere verwondingen in het verleden, en
andere traumata aan de huid die littekens hebben achtergelaten. Het gaat meestal
om solitaire laesies, met een verruceus aspect. De tumor veroorzaakt pijn en
problemen met lopen, soms stank en pus-uitvloed. Vaak wordt het te laat herkend
en jarenlang behandeld onder de diagnose therapieresistente voetwrat. Het cutane
verruceuze carcinoom kan ook op ander plaatsen dan de voet ontstaan.
Oraal verruceus carcinoom (Ackerman tumor, orale floride papillomatose)
Het verruceus carcinoom van de mondholte is minder zeldzaam maar wordt vooral
door de KNO arts gezien. Het kan beginnen als een leukoplakie, later overgaand
in bloemkoolachtige woekeringen. Ook deze tumor wordt getriggerd door chronische
ontstekingen of ulceraties (ulceratieve lichen planus, cheilitis, orale ulceraties
bij SLE) en door irritatie door chemische stoffen, vooral roken.
Anogenitaal verruceus carcinoom (Buschke-Löwenstein tumor)
De Buschke-Löwenstein tumor (condyloma acuminatum giganteum) is een locaal invasieve
zeldzame variant (giant type, reuzenvorm) van een condyloma acuminatum. Het
wordt veroorzaakt door HPV (Humaan Papilloma Virus), meestal type 6 of 11. Het
kan bij gezonden voorkomen, maar wordt vaker gezien bij een gestoorde afweer,
bijvoorbeeld door HIV of bij gebruik van immunosuppressiva. Zie verder onder
Buschke-Löwenstein tumor.
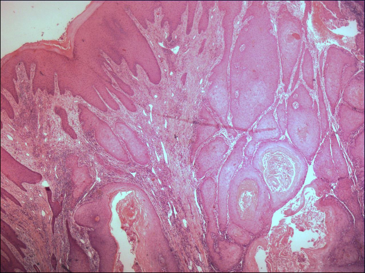
Diagnostiek:De diagnose wordt gesteld op de histologie
(in combinatie met het klinisch beeld en de anamnese). Een groot en diep biopt
tot in gezond weefsel is nodig om de diagnose goed te kunnen stellen. Indien
de klinische verdenking groot is, is het het beste om de tumor in zijn geheel
met een marge van minimaal 4 mm rondom en bloc te excideren, met markeringen.
De diagnostische excisie moet een rand gezond weefsel bevatten om de invasie
in de diepte te kunnen beoordelen. Op moeilijke lokaties kan vooraf een CT scan
of MRI worden gemaakt om de lokale uitbreiding in beeld te brengen.
![Verruceus carcinoom van de hiel (click on photo to enlarge) [source: www.huidziekten.nl] Verruceus carcinoom van de hiel](../../../images/verruceus-carcinoom-hiel-4z.jpg) |
![Verruceus carcinoom (PA) (click on photo to enlarge) [source: www.huidziekten.nl] Verruceus carcinoom (PA)](../../../images/verruceus-carcinoom-3z.jpg) |
![Verruceus carcinoom (PA) (click on photo to enlarge) [source: www.huidziekten.nl] Verruceus carcinoom (PA)](../../../images/verruceus-carcinoom-4z.jpg) |
| excisie
voor PA |
verruceus carcinoom |
verruceus carcinoom |
Stagering:De stagering is volgens het TNM systeem.
Hierbij wordt de T bepaald door de grootte van de tumor.
T0 = in situ carcinoma
T1 = diameter < 2 cm
T2 = diameter 2-4 cm
T3 = diameter > 4 cm
T4 = ingroei in spier of bot
Voor de N is het nodig om de locoregionale lymfklieren
te palperen en bij vergroting te puncteren. Voor de M is het nodig om een afbeeldend
onderzoek aan te vragen zoals een CT-scan (abdomen-thorax-schedel, vraagstelling
vergrote klieren / aanwijzingen voor metastasen). Complexere en duurdere technieken
(MRI, PET scan) zijn mogelijk maar het nut daarvan en zelfs van de CT-scan is
dubieus. In verreweg de meeste gevallen zal er geen enkele klier of metastase
gevonden worden (N0 M0).
Therapie:

Primaire
chirurgische excisie. De behandeling bestaat uit een radicale excisie van de
tumor met een marge van minimaal 4 mm maar bij voorkeur meer, indien mogelijk
0.5-1 cm tot in gezond weefsel rond en onder de tumor. Dit kan onder lokale
anesthesie worden verricht. Bij de locatie op de voetzool de verdoving langzaam
inspuiten, steeds vanuit verdoofd gebied en van proximaal naar distaal. Het
verdoven van een voetzool is pijnlijk. De klinische grenzen zijn niet altijd
duidelijk, vooral als er ontsteking bij zit. Daarom het excisie preparaat goed
markeren zodat de patholoog de marges kan beoordelen en aangeven waar re-excisie
nodig is. Een herhaalde procedure of Mohs chirurgie kan nodig zijn om totale
radicaliteit te bereiken.
De resterende wond (op de locatie voetzool) kan
men het beste per secundam laten genezen. Dit geeft het beste functionele eindresultaat.
Huid transplantaties en zwaailap constructies hebben een hoge kans op mislukking
op deze locatie, en de huid van de voetzool heeft een andere differentiatie
dan de gewone lichaamshuid. Transplantaten van elders blijven dun en kwetsbaar
en vormen nooit de dikke en stevige hoornlaag die de voetzool nodig heeft. Door
de wond net als een decubitus ulcus per secundam te laten genezen verdwijnt
de kuil door granulatieweefselvorming en groeit een normale en stevige verhoornende
voetzool huid terug vanuit de randen, net als bij een decubitus hiel.
Alternatieve methoden:

Cryochirurgie
(echte diepe cryochirurgie, met vorming van een ijsbal minimaal 0.5 cm rond
en onder de tumor, 2 cycli).

Currettage
gevolgd door electrocoagulatie (is mits deskundig uitgevoerd ook een succesvolle
behandeling met een genezing van 96-99%). Het nadeel is dat er geen histologische
marge controle kan worden gedaan.

Radiotherapie.
Bestraling kan worden toegepast als chirurgie niet mogelijk is maar heeft nadelen.
De genezingspercentages zijn iets lager. Meerdere bezoeken zijn nodig. De lange
termijn effecten zijn röntgen schade en röntgen ulcera, soms botnecrose, en
kans op later ontstaan van een slecht gedifferentieerd carcinoom.
Prognose:De genezing is in de range 95-100% mits goed geëxcideerd.
De orale verruceuze carcinomen hebben een slechtere prognose, tot 40% recidiveert.
Referenties
| 1. |
Ackerman LV. Verrucous carcinoma of the oral
cavity. Surgery 1948;23:670-678. |
| 2. |
Aird I, Johnson HD, Lennox B, Stansfeld AG.
Epithelioma cuniculatum: a variety of squamous carcinoma peculiar
to the foot. Br J Surg 1954;42:245-250. |
| 3. |
Klima M, Kurtis B, Jordan PH Jr. Verrucous
carcinoma of skin. J Cutan Pathol 1980;7:88-98. |
| 4. |
Pleat J, Sacks L, Rigby H. Cutaneous verrucous
carcinoma. Br J Plast Surg 2001;54:554-555. |
| 5. |
Schwade JG, Wara WM, Dedo HH, Phillips TL.
Radiotherapy for verrucous carcinoma. Radiology 1976;120:677-679. |
| 6. |
Anderson BE, Billingsley E. Growing plaque
on the foot. N Engl J Med 2005;352(5):488. |
Author(s):dr. Jan R. Mekkes. Dermatologist, Amsterdam UMC.