BLUE NEURONEVUS (NAEVUS VAN MASSON) home ICD10: D22.9

Blue nevi worden onderverdeeld in 3 typen: de gewone blue nevus (blue nevus van Jadassohn en Tièche), die het meest voorkomt en op latere leeftijd kan verschijnen, de cellular blue nevus (naevus van Allen) en de cellular blue neuronevus (neuronaevus van Masson). De cellular blue nevi komen minder vaak voor, zijn meestal bolrond (verheven), groot (1-3 cm), donker blauwzwart of blauwgrijs gekleurd, aanwezig vanaf de geboorte of kort daarna en hebben als voorkeurslokalisatie de billen, en de sacrale regio.

Blue cellular neuronevus van Masson Blue cellular neuronevus van Masson
cellular blue neuronevus
(Masson)
cellular blue neuronevus
(Masson)

Foto's: www.derm101.com.


DD: gewone blue naevus, nodulair maligne melanoom, gepigmenteerd basaalcelcarcinoom, gepigmenteerd neurofibroom, gepigmenteerd dermatofibroom, hemangioom, fibroangioma, Kaposi sarcoma, angiosarcoma.

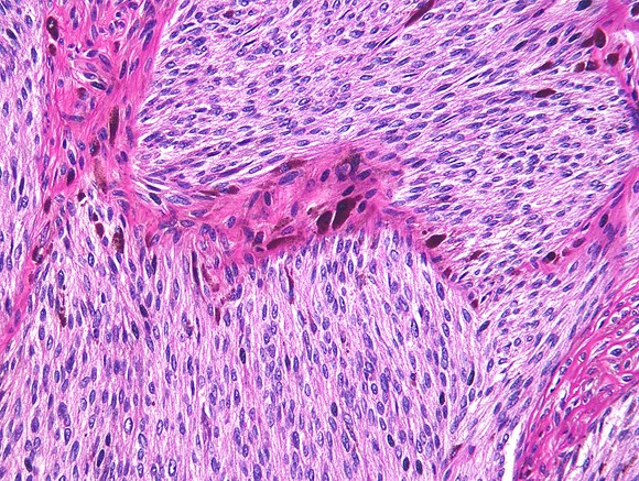
PA: scherp begrensde symmetrische laesie opgebouwd uit twee populaties melanocyten. Het ene type met een bleek cytoplasma en monomorfe celkernen ligt gelegen in dikke bundels, omgeven door de melanocyten van het andere type, dendritisch, met een grote hoeveelheid melanine.

Blue cellular neuronevus van Masson Blue cellular neuronevus van Masson
Masson's blue neuronevus Masson's blue neuronevus

PA-Foto's: www.derm101.com.


Therapie:
Excisie. Hoewel excisie strikt genomen niet nodig is, omdat het om een benigne laesie gaat, is de praktijk dat dit soort laesies om twee redenen in toto worden geëxcideerd: om cosmetische redenen en om histopathologisch onderzoek te kunnen doen.


Over www.derm101.com
De website www.derm101.com bestaat sinds 2019 niet meer. De website was in 2002 opgericht door de beroemde Amerikaanse dermatopatholoog Bernard Ackerman (1936-2008) en zijn neef Andy Zwick. De website was een meesterwerk op het gebied van de dermatopathologie en bevatte duizenden hoge kwaliteit klinische foto's en pathologie foto's van de meest zeldzame dermatosen, met gedetailleerde beschrijvingen van de PA door Ackerman zelf. Ook stonden er wekelijkse quizzen op, tekstboeken, vele links naar andere pathologie websites en en er was een mobiele app versie van. Maar toen overleed Ackerman en was er niemand meer om de website bij te houden. De website is nog een tijdje in de lucht gehouden gesponsord door Nestlé Skin Health. In 2019 werd Nestlé Skin Health overgenomen door de private equity firma EQT, onderdeel van de Abu Dhabi Investment Authority en PSP Investments, en de naam werd veranderd in Galderma. Kort daarna, op 31 december 2019 besloot Galderma om te stoppen met de website en werd alles van het internet verwijderd. Wat enorm jammer is maar helaas het lot van websites die van één persoon afhankelijk zijn.


Author(s):
dr. Jan R. Mekkes. Dermatologist, Amsterdam UMC.

31-05-2023 (JRM) - www.skin-diseases.eu Terug naar homepagina



Diagnosis codes:
ICD10 D22.9 Melanocytaire naevi, niet gespecificeerd: blue nevus
ICD10 D22.9 Melanocytic naevi, unspecified: blue nevus
SNOMED 254806009 Blue nevus of skin
DBC 15 spacer Naevi (alle vormen)

ICD10 D22.9 Melanocytaire naevi, niet gespecificeerd: cellular blue nevus van Allen
ICD10 D22.9 Melanocytic naevi, unspecified: cellular blue nevus of Allen
SNOMED 254808005 Cellular blue nevus of skin
DBC 15 spacer Naevi (alle vormen)

ICD10 D22.9 Melanocytaire naevi, niet gespecificeerd: cellular blue neuronevus van Masson
ICD10 D22.9 Melanocytic naevi, unspecified: cellular blue neuronevus of Masson
SNOMED 254808005 Cellular blue nevus of skin
DBC 15 spacer Naevi (alle vormen)