Een
cutaan leiomyosarcoma (
cutaneous leiomyosarcoma)
is een maligne tumor die uitgaat van glad spierweefsel. Leiomyosarcomen komen
ook voor in andere organen zoals de uterus en in de spieren van de extremiteiten.
Een cutaan leiomyosarcoma is zeldzaam (circa 0.04% van alle huidtumoren, circa
2-3% van alle cutane sarcomen). De meest voorkomende cutane sarcomen zijn
dermatofibrosarcoma
protuberans,
Kaposi sarcoma en daarna leiomyosarcoma.
Cutane leiomyosarcomen
worden onderverdeeld in 3 subtypen:
dermale,
subcutane, en
metastasen
van diepere leiomyosarcomen. De dermale leiomyosarcomen gaan uit van glad spierweefsel
in de musculus arrector pili en gedragen zich het minst agressief. Ze kunnen
recidiveren na excisie (24%) maar het risico op metastasen is lager dan bij
de andere typen (3-14%). De 5-jaarsoverleving is circa 95%. De subcutane leiomyosarcomen
gaan uit van gladspierweefsel in de vaatwand, recidiveren vaak na lokale excisie
(37%) en metastaseren vaak (21-62%). De 5-jaarsoverleving is circa 65%. Metastasen
worden vooral gezien in de longen of in de huid, met name op de scalp, en in
de lymfklieren. Bij metastasen is de prognose slecht (gemiddelde overlevingsduur
16 maanden). De oorzaak van het ontstaan van leiomyosarcomen is onbekend. Mogelijk
kunnen ze ontstaan uit een leiomyoma; ook een trauma wordt genoemd als uitlokkende
factor.
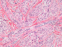
![Cutaan leiomyosarcoma (click on photo to enlarge) [source: www.huidziekten.nl] Cutaan leiomyosarcoma](../../../images/leiomyosarcoom-1z.jpg) |
![Cutaan leiomyosarcoma (click on photo to enlarge) [source: www.huidziekten.nl] Cutaan leiomyosarcoma](../../../images/leiomyosarcoom-2z.jpg) |
![Cutaan leiomyosarcoma (click on photo to enlarge) [source: www.huidziekten.nl] Cutaan leiomyosarcoma](../../../images/leiomyosarcoom-3z.jpg) |
| cutaan
leiomyosarcoom |
cutaan
leiomyosarcoom |
cutaan
leiomyosarcoom |
Klinisch beeld:Vast aanvoelende 1-3.5 cm grote
nodus, tumor of zwelling in of onder de huid. Roze of rood of bruin. Vaak pijnlijk
bij aanraken. Soms jeukende, branderige, of tintelende sensaties in het gebied.
De subcutane laesies kunnen lijken op een lipoom, maar voelen harder aan. Ook
plaquevormige varianten en multipele gegroepeerde nodi zijn beschreven. Wordt
vooral gezien bij blanke mannen (m:v 3:1) in de leeftijd 50-80 jaar. De subcutane
laesies groeien sneller en worden meestal later ontdekt en zijn groter bij presentatie.
Circa de helft ontstaat op de voorzijde van de onderste extremiteiten. Maar
het kan in principe overal ontstaan, ook op het behaarde hoofd, in het gelaat,
de hals, de romp, de lip, billen, en op de genitaliën (scrotum, vulva, penis).
DD:Leiomyoma,
dermatofibrosarcoma
protuberans,
fibrosarcoma,
nodulaire fasciitis, spoelcellig atypisch fibroxanthoma,
epidermale cyste,
lipoom,
metastase,
plaveiselcelcarcinoom,
Merkelceltumor,
adnextumor, desmoplastisch
melanoom, spoelcellig carcinoma, malignant peripheral nerve sheath tumor, synoviaal
sarcoma,
vasculaire tumoren.
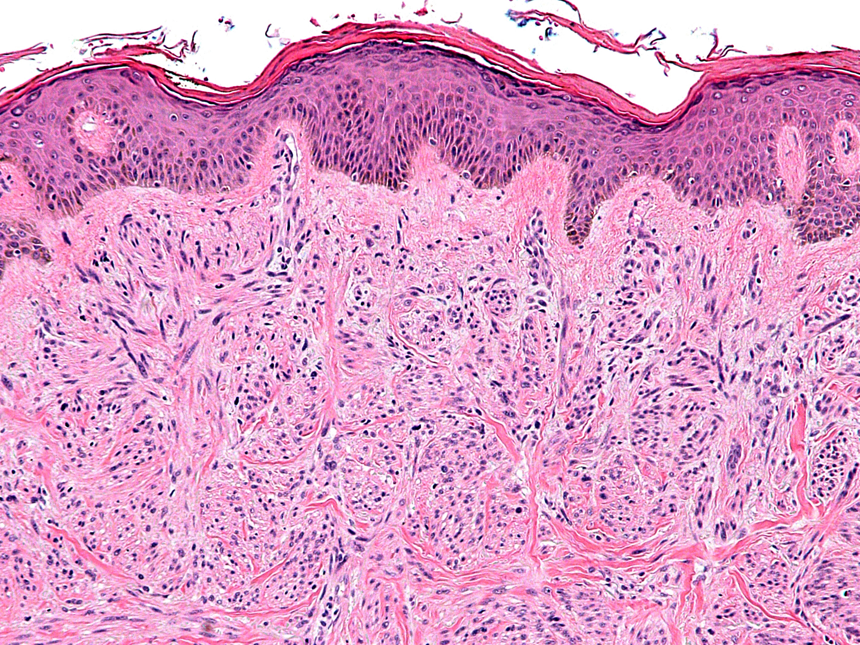
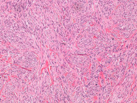
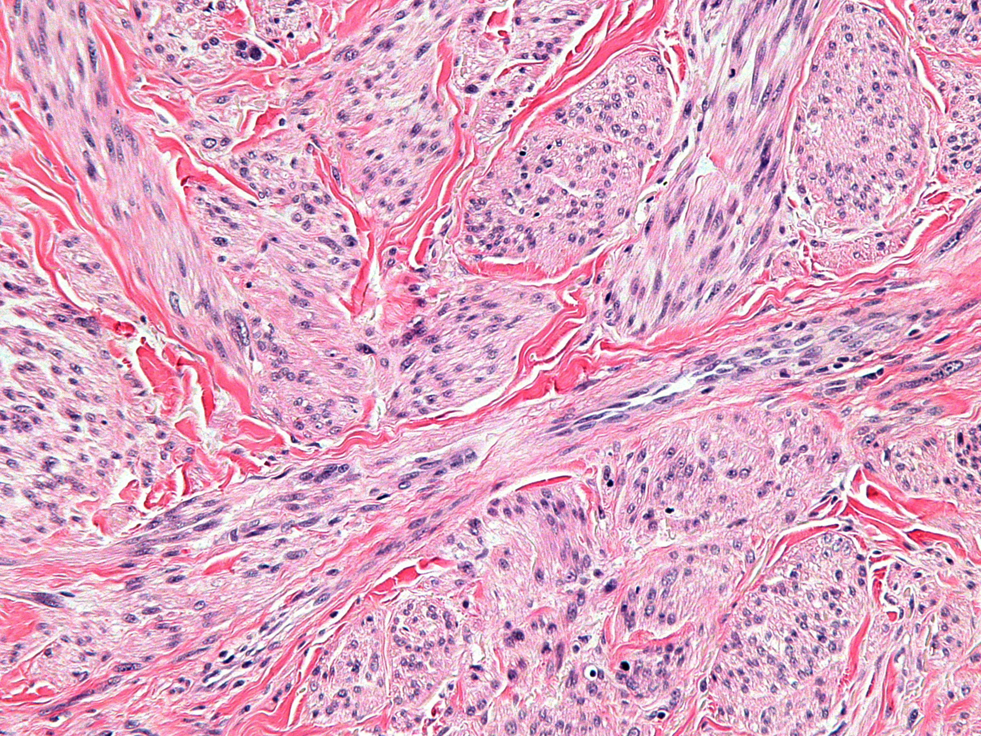
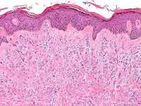
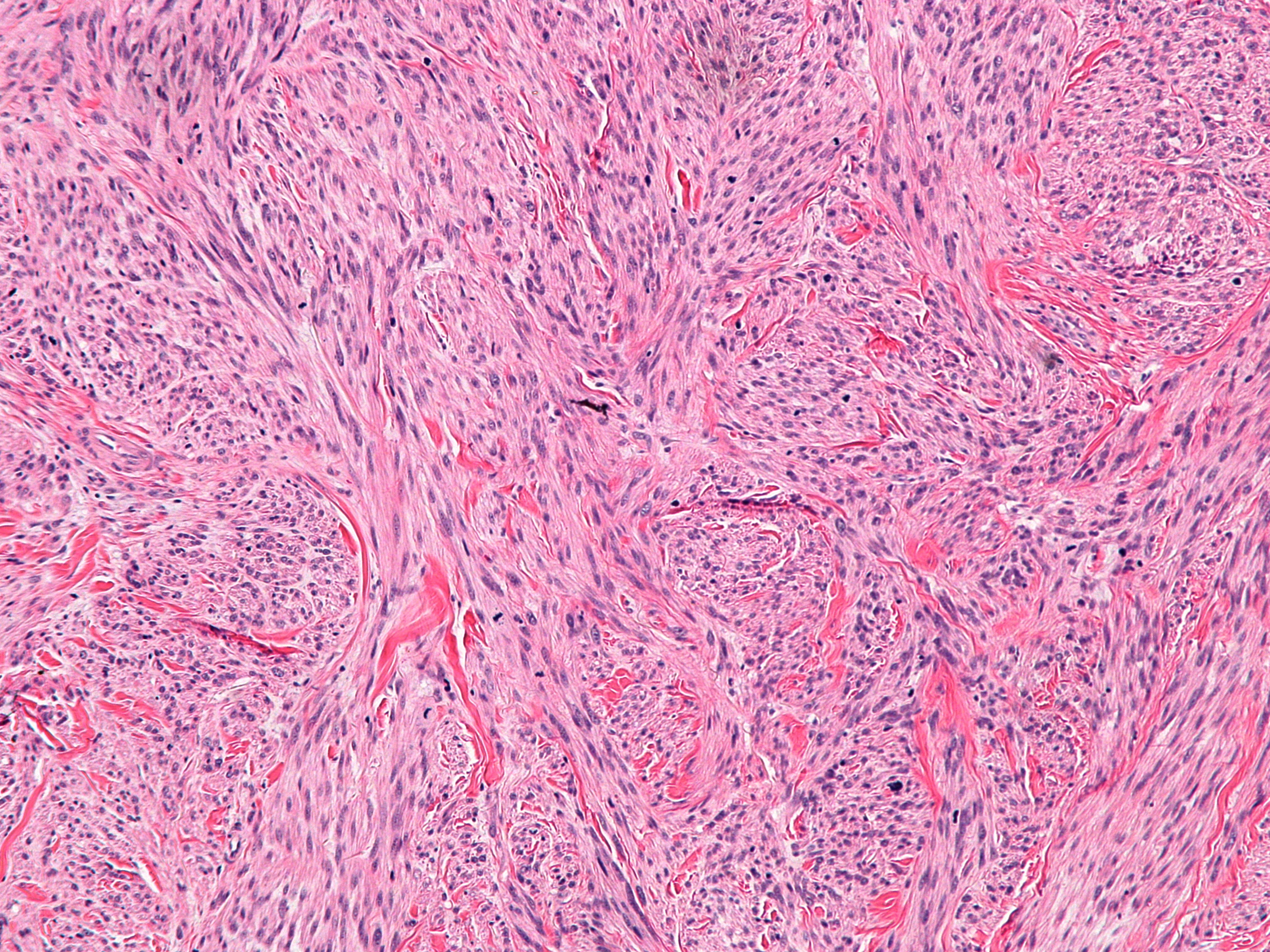
PA:Bij dermale leiomyosarcomen
zijn er slecht afgrensbare velden van tumorweefsel in de dermis en deels subcutis.
De subcutane leiomyosarcomen zijn beter afgrensbaar. De laesies zijn opgebouwd
uit bundels van glad spierweefsel. De cellen zijn spoelvormig, met langwerpige
kernen en een fibrillair eosinofiel cytoplasma. Soms heldere perinucleaire halo’s.
Er is nucleaire atypie en er zijn mitosen te zien. Het kan moeilijk zijn om
het onderscheid te maken met een benigne leiomyoom. Er bestaan zeldzame histopathologische
varianten (met epithelioid cellen, multinucleaire reuscellen, granular cells,
sclerotisch, pleomorf, myxoid). Immunohistochemie: goed gedifferentieerde leiomyosarcomen
kleuren aan met vimentine, desmine, h-caldesmon, muscle-specific actin, alpha-smooth
muscle actin, en smooth muscle myosin. Soms ook met S-100 en cytokeratinen.
Slecht gedifferentieerde zijn vaak negatief voor desmine. Andere spoelcellige
laesies zoals dermatofibrosarcoma protuberans, fibrosarcoma, nodulaire fasciitis,
desmoplastisch melanoom, spoelcellig carcinoma, spoelcellig atypisch fibroxanthoma,
malignant peripheral nerve sheath tumor, synoviaal sarcoma, en vasculaire tumoren
kunnen worden onderscheiden omdat deze aankleuren met EMA, CD34, CD117, CEA,
HMB45, Mart-1, Melan A of CK7, en leiomyosarcoma niet. Het onderscheid met een
benigne leiomyoom kan worden gemaakt met p53 (positief in leiomyosarcoma, niet
in leiomyoma).
![Cutaan leiomyosarcoma (click on photo to enlarge) [source: Michael Bonert (Nephron) - Wikimedia - Creative Commons License 3.0] Cutaan leiomyosarcoma](../../../images/leiomyosarcoom-4z.jpg) |
![Cutaan leiomyosarcoma (click on photo to enlarge) [source: Michael Bonert (Nephron) - Wikimedia - Creative Commons License 3.0] Cutaan leiomyosarcoma](../../../images/leiomyosarcoom-5z.jpg) |
![Cutaan leiomyosarcoma (click on photo to enlarge) [source: Michael Bonert (Nephron) - Wikimedia - Creative Commons License 3.0] Cutaan leiomyosarcoma](../../../images/leiomyosarcoom-6z.jpg) |
| cutaan
leiomyosarcoom |
cutaan
leiomyosarcoom |
cutaan
leiomyosarcoom |
PA-Foto's: Michael Bonert (Nephron) - Wikimedia
(Creative Commons License
3.0).
Diagnostiek:Biopt van de laesie. Groot en diep
excisiebiopt bij subcutane laesies. MRI van het lokale gebied. CT-scan of MRI
van het gehele lichaam bij vermoeden van metastasen.
Therapie:
Ruime chirurgische excisie, minimaal 1 cm rondom de klinische marge en in de
diepte tot aan de fascie. Oudere studies adviseren zelfs nog ruimere marges
(3 cm). Belangrijk is dat alle randen goed worden nagekeken en dat het PA rapport
de minimale afstand van de tumor tot de rand vermeld. Als er twijfel is over
de radicaliteit, dan re-excisie. Ook Mohs chirurgie wordt toegepast. Re-excisies
zijn vaak nodig (bij circa 20%).
Adjuvante radiotherapie wordt soms toegepast
bij diepe of grote (> 5 cm) tumoren, of als re-excisie niet mogelijk is vanwege
de locatie. En als palliatieve behandeling. Het effect is wisselend.
Chemotherapie
wordt toegepast bij metastasen op afstand, met name traditionele chemotherapeutica
zoals doxorubicine en ifosfamide, gemcitabine, docetaxel, dacarbazine, en trabectedine.
Er wordt experimenteel behandeld met immunotherapie en targeted therapies. Er
wordt geadviseerd om patiënten door te verwijzen naar een gespecialiseerd oncologisch
centrum.
Follow up:Elke 4 maanden gedurende 2 jaar,
daarna elke 6 maanden gedurende 5 jaar, daarna jaarlijks. X-thorax jaarlijks.
Referenties
| 1. |
Soares Queirós C, Filipe P, Soares de Almeida
L. Cutaneous leiomyosarcoma: a 20-year retrospective study and review
of the literature. An Bras Dermatol 2021;96(3):278-283. |
| 2. |
Rodríguez-Lomba E, Molina-López I, Parra-Blanco
V, SuárezFernández R, Pulido-Pérez A. Clinical and histopathologic
findings of cutaneous leiomyosarcoma: correlation with prognosis
in 12 patients. Actas Dermosifiliogr 2018;109:140-147. |
| 3. |
Llombart B, Serra-Guillén C, Requena C, Alsina
M, MorgadoCarrasco D, Machado I, et al. Leiomyosarcoma and pleomorphic
dermal sarcoma: guidelines for diagnosis and treatment. Actas Dermosifiliogr
2019;110:4-11. |
| 4. |
Winchester DS, Hocker TL, Brewer JD, Baum
CL, Hochwalt PC, Arpey CJ, et al. Leiomyosarcoma of the skin: clinical,
histopathologic, and prognostic factors that influence outcomes.
J Am Acad Dermatol 2014;71:919-925. |
| 5. |
Glazer ES, Prieto-Granada C, Zager JS. Current
approaches to cutaneous sarcomas: dermatofibrosarcoma protuberans
and cutaneous leiomyosarcoma. Curr Probl Cancer 2015;39:248-257. |
Author(s):dr. Jan R. Mekkes. Dermatologist, Amsterdam UMC.