Een
(diffuus) glad spiercel hamartoom (
congenital
diffuse smooth muscle hamartoma) is een zeldzame benigne congenitale
afwijking, bestaande uit een huidkleurige of licht gepigmenteerde plaque op
de romp of extremiteiten. Bij aanraking wordt het gebied hobbelig, er ontstaan
pijnlijke of gevoelige bulten (pseudo-Darier teken), veroorzaakt door contractie
van de spiervezels (net als bij leiomyomen). Soms ook toename van haren of pigment
(hypermelanose in het stratum basale). Omdat het diffuse glad spiercel hamartoma
behoort tot de hamartomen, wordt het in het ICD-10 classificatie systeem ingedeeld
onder de Q85.8 (Facomatose, niet gespecificeerd [Hamartosis]), maar soms wordt
ook D21.9 (Benigne neoplasma van bindweefsel en overige weke delen, niet gespecificeerd)
gebruikt.
![Glad spiercel hamartoom (click on photo to enlarge) [source: www.huidziekten.nl] Glad spiercel hamartoom](../../../images/gladspiercel-hamartoom-2z.jpg) |
![Glad spiercel hamartoom (click on photo to enlarge) [source: www.huidziekten.nl] Glad spiercel hamartoom](../../../images/gladspiercel-hamartoom-1z.jpg) |
| glad spiercel
hamartoma |
glad spiercel
hamartoma |
![Glad spiercel hamartoom (click on photo to enlarge) [source: www.huidziekten.nl] Glad spiercel hamartoom](../../../images/gladspiercel-hamartoom-3z.jpg) |
![Glad spiercel hamartoom (click on photo to enlarge) [source: www.huidziekten.nl] Glad spiercel hamartoom](../../../images/gladspiercel-hamartoom-4z.jpg) |
| glad spiercel
hamartoma |
glad spiercel
hamartoma |
Het glad spiercel hamartoma is niet heel zeldzaam (ca 1:2600 geboorten).
Het is voor het eerst beschreven door Sourreil in 1969. Meestal zijn het solitaire
lesies. De voorkeurslokatie is het lumbosacrale gebied, maar het kan ook elders
vookomen, op de romp en extremiteiten, tepels, scrotum, hoofdhuid, voet. Het
gaat uit van de musculi arrector pili. Soms van tunica dartos (scrotum), vaatwand,
muscularis mammillae van de areolae. Het kan familiair vookomen, maar de meeste
gevallen zijn sporadisch. Het komt iets vaker voor bij mannen. Het kan geassocieerd
zijn met het Michelin tire baby syndrome. Het is aanwezig van de geboorte maar
kan soms nog niet opvallen. Ook voorkomen op latere leeftijd is beschreven.
De grootte varieert, het kan tot 10 cm groot zijn bij de geboorte en groeit
mee met het groter worden van het kind. Het kan klachten veroorzaken zoals jeuk,
pijn, of een doof gevoel. Klinisch zijn het huidkleurige papels en plaques,
soms is de laesie licht erythemateus, en soms is er hyperpigmentatie en/of hypertrichosis
(kan daardoor lijken op een naevus van Becker) die op oudere leeftijd weer afneemt.
Bij circa de helft van de gevallen is het
pseudo-Darier sign
aanwezig, het fenomeen dat de huid hobbelig wordt bij aanrakingen, omdat de
spiervezels contraheren.
DD:
naevus van Becker,
leiomyomen, piloleiomyoma, congenitale
melanocytaire naevus, naevus pilosus.
Diagnostiek:
De diagnose wordt gesteld op het klinisch beeld. Soms is een biopt behulpzaam,
voor de DD.
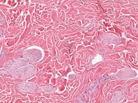
PA:Uitgebreide proliferatie van kris-kras
door elkaar liggende grote bundels gladde spiervezels in de reticulaire dermis.
De spiercellen hebben een sigaarvormige kern en een fibrillair eosinofiel cytoplasma.
Er is een vrije ruimte tussen de spierbundels en de omgevende collageenvezels.
De spiervezels zijn met SMA (smooth muscle actin) te kleuren. Er zijn ook CD34+
dendritische cellen aanwezig. Zie ook de
ingescande PA-coupe van de
afdeling pathologie van de University of
Toronto.
![Glad spiercel hamartoom (click on photo to enlarge) [source: University of Toronto, Dept of Laboratory Medicine & Pathobiology] Glad spiercel hamartoom](../../../images/gladspiercel-hamartoom-5z.jpg) |
| PA glad
spiercel hamartoma |
Therapie:Behandeling is niet nodig, het is een
goedaardige afwijking. Er zijn ook weinig mogelijkheden. Kleine laesies kunnen
chirurgisch worden verwijderd. Soms wordt laser toegepast gericht op pigmentatie,
overbeharing of erytheem.
Referenties
| 1. |
Raboudi A, Litaiem N. Congenital Smooth Muscle
Hamartoma. StatPearls [Internet].
www.ncbi.nlm.nih.gov/books/NBK545188 |
| 2. |
Bilgiç Ö, Tunçez Akyürek F, Altınyazar HC.
Pseudo Darier Sign: A Distinctive Finding for Congenital Smooth
Muscle Hamartoma. J Pediatr 2016;169:318. |
| 3. |
Koizumi H, Kodama K, Tsuji Y, Matsumura T,
Nabeshima M, Ohkawara A. CD34-positive dendritic cells are an intrinsic
part of smooth muscle hamartoma. Br J Dermatol 1999;140(1):172-174. |
| 4. |
Janicke EC, Nazareth MR, Rothman IL. Generalized
smooth muscle hamartoma with multiple congenital anomalies without
the "Michelin tire baby" phenotype. Pediatr Dermatol 2014;31(6):731-733. |
| 5. |
Günlemez A, Bayramgürler D, Erçin MC, Aktürk
A, Arisoy AE. Congenital smooth muscle hamartoma on the scalp. Int
J Dermatol 2009;48(6):633-635. |
| 6. |
Szychta P, Dixon M, Raine C. Congenital smooth
muscle hamartoma of the nipple: a case report. Anal Quant Cytopathol
Histpathol 2012;34(5):285-288. |
| 7. |
Grillo E, Boixeda P, Ballester A, Vano-Galvan
S, Gonzalez C, Jaén P. Congenital smooth muscle hamartoma on the
face treated using vascular laser. Pediatr Dermatol 2013;30(6):e250-251. |
| 8. |
García Muret MP, Puig L, Pujol RM, Matías-Guiu
X, Alomar A. [Non-congenital smooth muscle hamartoma: 3 cases].
Ann Dermatol Venereol 2002;129(4 Pt 1):417-420. |
Author(s):dr. Jan R. Mekkes. Dermatologist, Amsterdam UMC.