Een
cornu cutaneum (cutaneous horn) is een pilaarsgewijs aangroeiende harde hyperkeratose
(een zuil van hoorn). Cutaneous horns
kunnen tot 4 cm per maand aangroeien en zeer groot worden. Ze kunnen zich
ontwikkelen o.b.v. diverse benigne en maligne laesies die met hyperkeratose
gepaard gaan, zoals
keratosis actinica (20-40%),
plaveiselcelcarcinoom
(20%),
morbus Bowen,
verruca vulgaris (filiformis),
verruca seborroica,
tricholemmoma,
basaalcelcarcinoom, naevi, etc. Risicofactoren
voor (pre)maligniteit zijn: oudere leeftijd, mannelijk geslacht, aan zon
blootgestelde huid en laesies met een brede basis.
![Cutaneous horn (click on photo to enlarge) [source: www.huidziekten.nl] Cutaneous horn](../../../images/cornu-cutaneum-8w.jpg) |
| cutaneous
horn op basis van morbus Bowen |
![Cutaneous horn (click on photo to enlarge) [source: www.huidziekten.nl] Cutaneous horn](../../../images/cornu-cutaneum-2z.jpg) |
![Cutaneous horn (click on photo to enlarge) [source: www.huidziekten.nl] Cutaneous horn](../../../images/cornu-cutaneum-1z.jpg) |
![Cutaneous horn (click on photo to enlarge) [source: www.huidziekten.nl] Cutaneous horn](../../../images/cornu-cutaneum-3z.jpg) |
| cutaneous
horn |
cutaneous
horn |
cutaneous
horn |
![Cutaneous horn (click on photo to enlarge) [source: www.huidziekten.nl] Cutaneous horn](../../../images/cornu-cutaneum-4z.jpg) |
![Cutaneous horn (click on photo to enlarge) [source: www.huidziekten.nl] Cutaneous horn](../../../images/cornu-cutaneum-5z.jpg) |
![Cutaneous horn (click on photo to enlarge) [source: www.huidziekten.nl] Cutaneous horn](../../../images/cornu-cutaneum-6z.jpg) |
| cutaneous
horn |
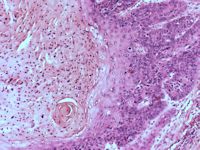
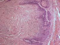
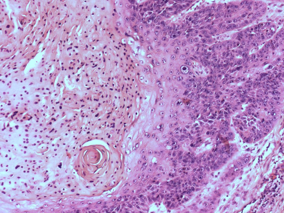
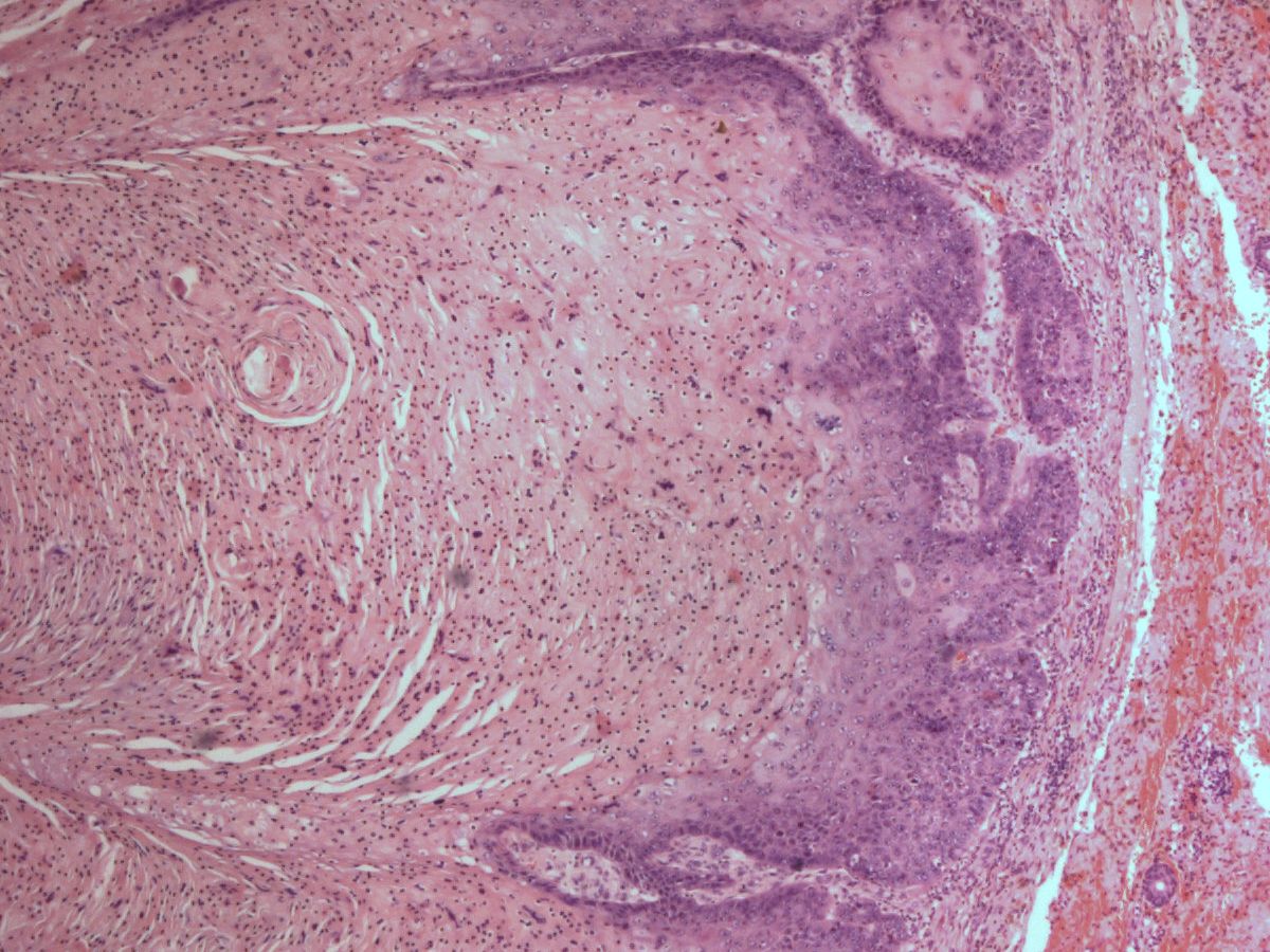
PA cutaneous
horn |
PA cutaneous
horn |
PA:Hyperkeratotische conus t.g.v.
langer bestaande hyperkeratose. Verder geen specifieke PA want een cutaneous
horn komt voor op basis van verschillende dermatosen zoals keratosis
actinica, verruca vulgaris, verruca filiformis, verruca seborroicum,
plaveiselcelcarcinoom, trichilemmoma, basaalcelcarcinoom.
Therapie:

Bij verdenking op maligniteit (carcinoma spinocellulare) excisie met een
tumorvrije marge van 5 mm.

Een alternatief is
het hoorn verwijderen (afknippen, snijden) en een biopt afnemen uit de
onderliggende laesie.

Bij geringe verdenking op maligniteit
excochleatie of shave excisie, eventueel gevolgd door electrocoagulatie van
het wondbed en histopathologisch onderzoek van
de verwijderde tumor. Indien er toch sprake is van maligniteit, in tweede
instantie alsnog excisie.

Cryotherapie. Bevries goed de hoorn, net
zolang totdat er zich in de huid rondom de hoorn een rand ijs ontstaat van
2-3 mm. Herhaal dit na verdwijnen van het ijs nog een keer.
Referenties
| 1. |
Copcu E, Sivrioglu N, Culhaci N. Cutaneous horn: are
these lesions as innocent as they seem to be? World J Surg Oncol 2004;2:18. |
| 2. |
Stravroulaki P, Mal R.K. Squamous cell carcinoma presenting as a
cutaneous horn. Auris Nasus Larynx 2000;27:277-209. |
| 3. |
Bizakis
JG, Manios A, Karatzanis AD, Drivas E, Malandrakis S. Giant cornu cutaneum.
Otolaryngol Head Neck Surg 2005;133:1-2. |
| 4. |
Yu RCH, Pryece DW,
MacFarlane AW, Stewart TW. A histopathological study of 643 cutaneous horns.
Br J Dermatol 1991;124:449-52. |
| 5. |
Gould JW, Brodell RT. Giant
cutaneous horns associated with verruca vulgaris. Cutis 1999;64:111-112. |
Author(s):
dr. Jan R. Mekkes. Dermatologist, Amsterdam UMC.