Het
ulcus molle (synoniemen:
chancroid,
weke sjanker, zachte sjanker) is een sexueel overdraagbare
infectie veroorzaakt door de Gram-negatieve streptobacillus
Haemophilus
ducreyi. De infectie begint na een incubatie periode van 1-14 dagen als
een erythemateuze pijnlijke papel, overgaand in een pustel, daarna ontstaat
binnen een dag een pijnlijk, geïndureerd en gemakkelijk bloedend ulcus, variërend
in grootte van 3 mm tot 5 cm (meestal 1-2 cm groot). Vaak zijn er tevens pijnlijk
vergrote lymfklieren. Bij vrouwen verloopt de infectie soms asymptomatisch.
Het is een van de zeldzamere SOA's en het wordt vooral gezien in ontwikkelingslanden,
bij reizigers uit die landen, en bij sexwerkers uit die landen. Het is endemisch
in Afrika, Azië en Latijns Amerika. Komt ook voor in de Verenigde Staten (m.n.
de zuidelijke staten), en in het Caribische gebied. De incidentie is aan het
afnemen. In Nederland is het een
import SOA. In sommige Westerse
landen circuleert het onder heroïne verslaafde prostituees. Patiënten waarbij
de diagnose chancroid wordt gesteld hebben een grotere kans op aanwezigheid
van HIV, vanwege hogere kans op besmetting door sex binnen risicogroepen.
Klinisch beeld:Pijnlijk ulcus, scherp begrensd, onregelmatige
rand, ondermijnde wondrand. De wondbodem is bedekt met grijs of geelgrijs beslag,
en bloedt makkelijk bij schrapen. Bij een derde is er ook lymfadenopathie (gezwollen
pijnlijke lies lymfklieren, bubo), bij circa de helft daarvan ruptureert de
lymfklier en ontstaat een drainerend abces. Dit is typisch voor ulcus molle.
Soms zijn er meerdere ulcera. Bij mannen is het in 50% een solitair ulcus, vrouwen
hebben vaak meerdere ulcera, en ook kissing ulcera (ulcera op tegenover elkaar
liggende labia). Bij mannen zijn de voorkeurslokalisaties de sulcus coronarius,
glans, preputium, rond de meatus urethra, penis-schacht, scrotum. Bij vrouwen
de labia majora, minora, fourchette, perineum, en lies. Vrouwen kunnen ook klachten
hebben als dysurie en dyspareunie. De bacterie kan ook op niet-genitale
locaties ulcera veroorzaken.
![Ulcus molle, chancroid (click on photo to enlarge) [source: Joe Miller - CDC Atlanta - Public Domain Image] Ulcus molle, chancroid](../../../images/soa/ulcus-molle-1z.jpg) |
| ulcus
molle |
Foto: Joe Miller, CDC Atlanta (Public Domain Image)
DD:Lues
I (harde sjanker),
herpes
simplex genitalis,
lymphogranuloma
venereum,
granuloma inguinale
(Donovanosis),
banaal ulcus,
yaws (Framboesia tropica).
Lues kan worden uitgesloten met een
donkerveld preparaat van de
wondbodem en een serologische test (afnemen minstens 7 dagen na begin van ulcus).
Herpes met een
Tzanck-test, direct preparaat
of kweek / PCR.
| Verschillen: |
ulcus molle: |
lues I ulcus: |
| verwekker |
Haemophilus ducreyi |
Treponema pallidum |
| pijn |
ja |
nee |
| rand |
zacht |
hard |
| wondbodem |
grijs-geel beslag |
weefselkleur, geen beslag |
| locatie |
genitaliën |
genitaliën, oraal, perianaal |
| beloop |
self-limiting |
vaak progressie naar Lues II |
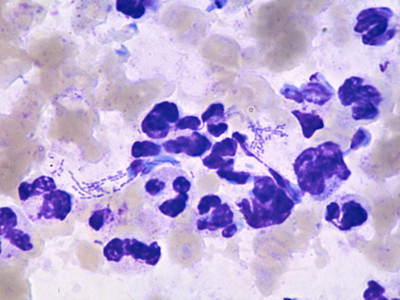
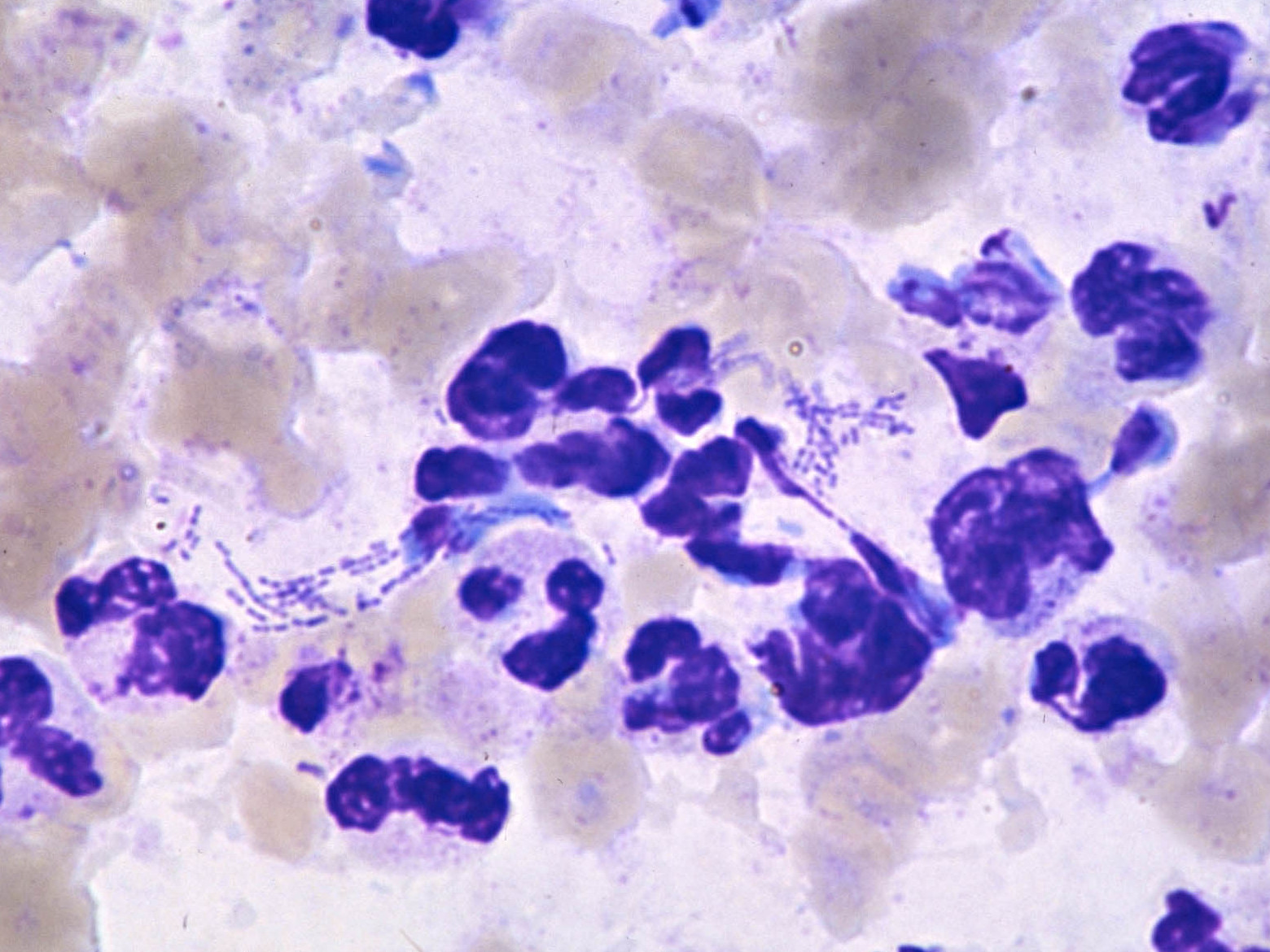
Diagnostiek:De diagnose kan gesteld worden met
een NAAT (nucleic acid amplification test) voor
Haemophilus ducreyi
(o.a. beschikbaar in het streeklaboratorium van de GGD Amsterdam), of een positieve
kweek op
Haemophilus ducreyi (steeds minder laboratoria kunnen dit
echter nog), of op een direct preparaat. Strijk pus
of wondbodem materiaal in een 8-vorm uit op een objectglas en kleur met de
Dip-Quick methode of met een
Gramkleuring. Hierin zijn langwerpige staafjes te zien die als een treintje
achter elkaar liggen. Voor de DD: PCR op herpes, lues serologie en HIV
serologie.
![Haemophilus ducreyi (Gram-preparaat) (click on photo to enlarge) [source: www.huidziekten.nl] Haemophilus ducreyi (Gram-preparaat)](../../../images/soa/Haemophilus-ducreyi-Gram-1z.jpg) |
![Haemophilus ducreyi (Gram-preparaat) (click on photo to enlarge) [source: www.huidziekten.nl] Haemophilus ducreyi (Gram-preparaat)](../../../images/soa/Haemophilus-ducreyi-Gram-2z.jpg) |
![Haemophilus ducreyi (Giemsa-preparaat) (click on photo to enlarge) [source: www.huidziekten.nl] Haemophilus ducreyi (Giemsa-preparaat)](../../../images/soa/haemophilus-ducreyi-giemsa-1z.jpg) |
| Haemophilus
ducreyi (Gram) |
Haemophilus
ducreyi (Gram) |
Haemophilus
ducreyi (Giemsa) |
Therapie:R/ azithromycine 1 gram (2 x 500 mg)
eenmalig.
R/ ceftriaxon 250 mg i.m. eenmalig.
R/ ciprofloxacine 2 dd 500 mg, 3 dagen.
R/ erytromycine 4 dd 500 mg gedurende 7 dagen.
R/ amoxicilline / clavulaanzuur
3 dd 625 mg gedurende 7 dagen.
R/ cotrimoxazol 2 dd 2 tab à 480 (of 1 tab
à 960) mg gedurende 7-10 dagen, zonodig doorbehandelen totdat alle symptomen
over zijn. Indien tevens Gonorroe behandeld moet worden, dan eerste 2 dagen
2 dd 4 tabletten.
Adviezen:- Geen seksueel contact
tot 1 week na het afronden van de behandeling en genezen van het ulcus en na
zonodige behandeling van partners.
- Verhoogd risico van HIV co-infectie
bespreken
- HIV test actief aanbieden (tevens aan het einde van de window
fase HIV test herhalen).
- Voorlichten over veilig vrijen (condoom gebruiken).
Bron- en contact opsporing:- Risico partners zijn allen
waarmee sexueel contact was binnen de 10 dagen voorafgaand aan het begin van
de klachten.
- Alle risico partners moeten een zekerheidbehandeling krijgen.
- Alle risico partners zouden een regulier SOA onderzoek moeten krijgen.
Nacontrole:- Ulcus herbeoordelen na 1 week en zonodig
tot genezing.
- Bij persisteren van de ulceraties zonodig langduriger behandelen.
- Syfilis- en HIV-serologie herhalen na 3 maanden
Referenties
| 1. |
Lautenschlager S, Kemp M, Christensen JJ, Mayans MV, Moi H. 2017 European guideline for the management of chancroid. Int J STD AIDS 2017;28(4):324-329. |
Author(s):
dr. Jan R. Mekkes. Dermatologist, Amsterdam UMC.