PAPILLOMATOSIS CUTIS EN MOSSY FEET home ICD10: D23.9

Papillomatosis cutis is een beschrijvende term voor wratachtige veranderingen aan de huid. Hobbelig patroon, aaneenschakeling van uitstulpingen. Papillomatosis wordt het meest gezien aan de onderbenen bij patiƫnten met lymfoedeem, vooral bij langdurige en totale obstructie zoals bij filariasis. In extreme vorm, zeker indien op de toppen van de papillomateuze huid ook nog hyperkeratose aanwezig is, ziet dit er mosachtig uit (mossy feet). Behalve bij lymfoedeem (waarbij de lymfeafvloed obstructie ook heel lokaal kan zijn) komt papillomatosis cutis ook voor als reactieve huidverandering rond een fistel of andere chronische ontstekingshaarden in de diepte zoals bijvoorbeeld osteomyelitis. Bij lymfoedeem van de vulva kan ook papillomatosis ontstaan. Dit ziet men o.a. bij de ziekte van Crohn.

Filariasis Filariasis Filariasis
papillomatosis papillomatosis, mossy feet papillomatosis, mossy feet

Filariasis Mossy feet bij lymfoedeem en veneuze insufficientie Mossy feet bij lymfoedeem en veneuze insufficientie
mossy feet mossy feet mossy feet

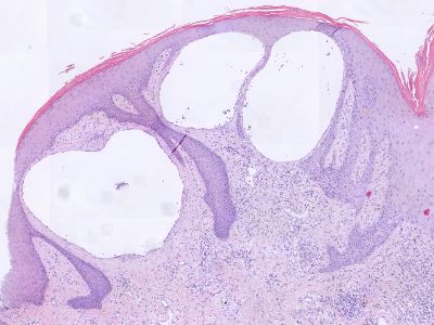
Histologie papillomatosis bij lymfoedeem
ingescande coupe (zoom)

Bron hoge resolutie PA-foto: Kevin Kwee en Afdeling Pathologie MUMC. Klik op de afbeelding om in te zoomen.


Andere entiteiten met de term papillomatosis:

papillomatosis cutis carcinoides Gottron-Eisenlohr (verruceus carcinoom)
orale papillomatosis
orale floride papillomatosis
papilloma cutis
Confluent and reticulated papillomatosis of Gougerot and Carteaud
naevus naevocellularis dermalis papillomatosus


Author(s):
dr. Jan R. Mekkes. Dermatologist, Amsterdam UMC.

31-05-2023 (JRM) - www.skin-diseases.eu Terug naar homepagina



Diagnosis codes:
ICD10 D23.9 Overige benigne neoplasma van huid, niet gespecificeerd: papillomatosis
ICD10 D23.9 Other benign neoplasms of skin, unspecified: cutaneous papillomatosis
SNOMED 39843000 Cutaneous papillomatosis
DBC 27 Diagnose niet nader omschreven