Confluent and reticulate papillomatosis (
ziekte
van Gougerot en Carteaud) is een zeldzaam beeld, voor het eerst
beschreven door Gougerot en Carteaud in 1927 onder de naam papillomatose pigmentée
innominée en later papillomatose pigmentée confluente et réticulée. Het wordt
gekenmerkt door een symmetrische lichtbruine tot bruine, soms blauwgrijze verkleuring
van de huid, soms schilferend (papulosquameus of pityriasiform), in een patroon
dat centraal confluerende papels of plaques laat zien en aan de periferie een
reticulair patroon. Het veroorzaakt meestal geen klachten, soms wat jeuk. Het
komt vooral voor op de romp, de voorkeursplaatsen zijn de interscapulaire regio,
de nek, het gebied onder en tussen de borsten en de onderbuik. Ook op andere
plaatsen zoals oksels, liezen, armen. Niet op slijmvliezen. Het begint vaak
tussen de borsten of op de bovenbuik en breidt dan uit naar borsten, onderbuik
en pubisregio, of op de rug interscapulair en dan uitbreidend naar de schouders,
nek, en naar beneden richting bilspleet. Het komt vooral voor bij jong volwassenen
(20-30 jaar). Het komt ook familiaal voor en lijkt dan autosomaal dominant.
![Gougerot Carteaud syndroom (click on photo to enlarge) [source: www.huidziekten.nl] Gougerot-Carteaud syndroom](../../../images/Gougerot-Carteaud-syndroom-1z.jpg) |
![Gougerot Carteaud syndroom (click on photo to enlarge) [source: www.huidziekten.nl] Gougerot-Carteaud syndroom](../../../images/Gougerot-Carteaud-syndroom-2z.jpg) |
![Gougerot Carteaud syndroom (click on photo to enlarge) [source: www.huidziekten.nl] Gougerot-Carteaud syndroom](../../../images/Gougerot-Carteaud-syndroom-3z.jpg) |
| Gougerot-Carteaud
syndroom |
Gougerot-Carteaud
syndroom |
Gougerot-Carteaud
syndroom |
![Gougerot Carteaud syndroom (click on photo to enlarge) [source: www.huidziekten.nl] Gougerot-Carteaud syndroom](../../../images/Gougerot-Carteaud-syndroom-4z.jpg) |
![Gougerot Carteaud syndroom (click on photo to enlarge) [source: www.huidziekten.nl] Gougerot-Carteaud syndroom](../../../images/Gougerot-Carteaud-syndroom-5z.jpg) |
![Gougerot Carteaud syndroom (click on photo to enlarge) [source: www.huidziekten.nl] Gougerot-Carteaud syndroom](../../../images/Gougerot-Carteaud-syndroom-6z.jpg) |
| Gougerot-Carteaud
syndroom |
Gougerot-Carteaud
syndroom |
Gougerot-Carteaud
syndroom |
De meeste afbeeldingen in artikelen, boeken en op internet zijn van
patiënten met een (licht) gepigmenteerde huid, waarbij de afwijking het meest
contrastrijk is en goed zichtbaar door toename van de melaninepigmentatie in
de basale laag, maar het komt ook bij blanke patiënten voor en is dan weinig
gepigmenteerd en daardoor moeilijker te herkennen. Vaak is er niets meer te
zien dan een lichte schilfering. Net als bij pityriasis versicolor is de skin
stretch test (strektest) positief: door de huid te strekken, uit te rekken tussen
twee vingers springen de schilfertjes er in.Hieronder subtiele varianten van
Gougerot-Carteaud bij een lichte huid:
![Gougerot Carteaud syndroom van de blanke huid (click on photo to enlarge) [source: www.huidziekten.nl] Gougerot-Carteaud syndroom](../../../images/Gougerot-Carteaud-syndroom-7z.jpg) |
![Gougerot Carteaud syndroom van de blanke huid (click on photo to enlarge) [source: www.huidziekten.nl] Gougerot-Carteaud syndroom](../../../images/Gougerot-Carteaud-syndroom-8z.jpg) |
Gougerot-Carteaud
blanke huid |
Gougerot-Carteaud
blanke huid |
![Gougerot Carteaud syndroom van de blanke huid (click on photo to enlarge) [source: www.huidziekten.nl] Gougerot-Carteaud syndroom](../../../images/Gougerot-Carteaud-syndroom-9z.jpg) |
![Gougerot Carteaud syndroom van de blanke huid (click on photo to enlarge) [source: www.huidziekten.nl] Gougerot-Carteaud syndroom](../../../images/Gougerot-Carteaud-syndroom-10z.jpg) |
Gougerot-Carteaud
blanke huid |
Gougerot-Carteaud
blanke huid |
De oorzaak is niet precies bekend, er wordt gedacht aan een reactie op overgroei
van Malassezia of andere micro-organismen zoals bacteriën in de haarfollikels
of overgroei van Actinomyces dietzia, maar ook een keratinisatie stoornis is
een van de theorieën. Kolonisatie door gisten en bacteriën wordt niet bij iedere
patiënt consistent aangetroffen en kan dus ook een epifenomeen zijn. EM en histochemie
suggereren een stoornis in de keratinocyten differentiatie en uitrijping, met
een verhoogde expressie van involucrin, keratine 16, en Ki-67. In het stratum
corneum is een toename van melanosomen. Deze veranderingen kunnen ook reactief
zijn aan een geringe inflammatoire reactie op gisten.
DD:
pityriasis versicolor,
prurigo pigmentosa,
postinflammatoire hyperpigmentatie,
phaeoderma (
terra
firma-forme dermatosis),
acanthosis
nigricans, pseudoacanthosis nigricans,
seborrhoisch eczeem,
parapsoriasis small plaque (superficial
scaly dermatitis),
digitate dermatosis,
parapsoriasis
retiformis, maculaire amyloidosis, fotodermatose, dermatopathia pigmentosa
reticularis, dyskeratosis congenita,
dyskeratosis follicularis
(ziekte van Darier), epidermaal naevus syndroom, pseudoatrophoderma colli, epidermodysplasia
verruciformis, erythrokeratodermia variabilis (Mendez da Costa),
Naegeli-Franceschetti-Jadassohn
syndroom. Zie ook onder
reticulaire hyperpigmentatie.
Diagnostiek:KOH preparaat: soms gisten (
Pityrosporum
orbiculare of ovale).
Woods lamp onderzoek
toont soms een gele fluorescentie bij gistovergroei. Biopt is aan te bevelen.
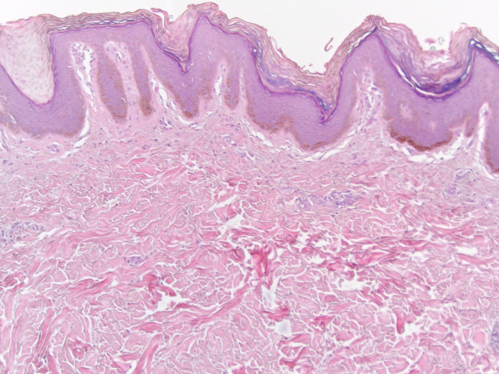
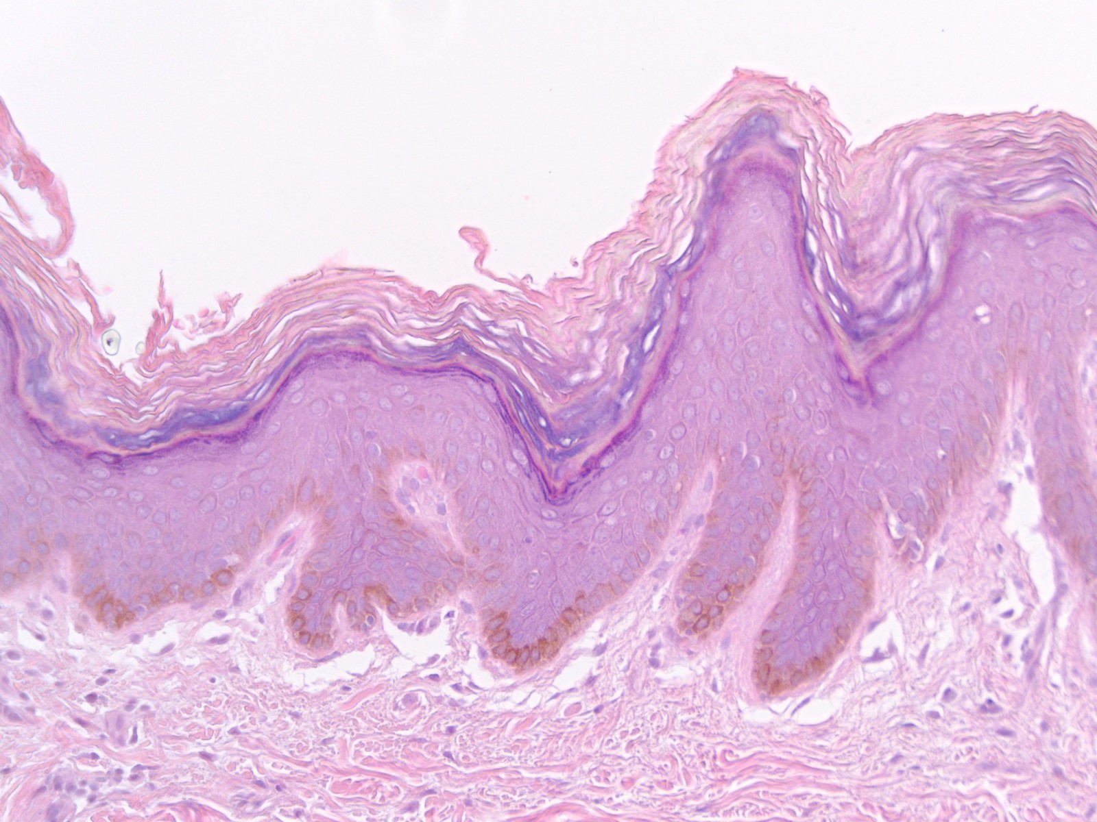
PA: orthokeratose of compacte hyperkeratose, vaak met
gisten (Pityrosporum = Malassezia) in de hoornlaag. Verder kan aanwezig zijn
maar niet altijd een verminderd of afwezig stratum granulosum, papillomatose,
acanthose, en toename van melanine pigment in de basale laag. In de dermis kan
een perivasculair lymfocytair infiltraat aanwezig zijn. Elektronenmicroscopie
toont een verandering in de corneocyten, een verdikte transitional cell layer,
meer lamellar bodies in het stratum granulosum, en meer melanosomen in het stratum
corneum. Immunohistochemicie toont een toename van keratine 16 expressie suprabasaal
en in het stratum granulosum, en toename van Ki-67 in de basale laag.
![Gougerot-Carteaud-syndroom (confluent and reticulated papillomatosis), PA (click on photo to enlarge) [source: www.huidziekten.nl] Histologisch beeld Gougerot-Carteaud syndroom](../../../images/Gougerot-Carteaud-confluent-and-reticulated-papillomatosis-PA-1z.jpg) |
![Gougerot-Carteaud-syndroom (confluent and reticulated papillomatosis), PA (click on photo to enlarge) [source: www.huidziekten.nl] Histologisch beeld Gougerot-Carteaud syndroom](../../../images/Gougerot-Carteaud-confluent-and-reticulated-papillomatosis-PA-2z.jpg) |
| PA Gougerot-Carteaud |
PA Gougerot-Carteaud |
Therapie:Er worden uiteenlopende therapien beschreven,
het best gedocumenteerd is minocycline of een van de andere tetracyclinen /
macroliden met anti-inflammatoire nevenwerking. Het werkingsmechanisme is niet
duidelijk (anti-inflammatoir of effect op Propionibacterium acnes?).
R/ Treclinac gel
(clindamycine 1%, tretinoïne 0,025%), tube à 30 g, 1 dd 's avonds dun op de
aangedane huid aanbrengen.
R/
minocycline 1 dd 50 of 100 mg.
R/ doxycycline 1 dd 100-200 mg of tetracycline
3 dd 500 mg.
R/ azitromycine 1 dd 250 mg of 3 x per week 250
mg.
R/ claritromycine 1 dd 500 mg, erytromycine 3 dd 500 mg.
R/ tazarotene gel of tretinoïne crème 0.05% FNA.
R/ Differin gel (adapalene).
R/ zalven en crèmes met ureum (worden niet meer vergoed, diverse preparaten
via apotheek of drogisterij).
R/ boenen met een watje met
alcohol of isopropylalcohol (niet helemaal te verwijderen zoals bij phaeoderma).
R/ bactroban (mupirocine) zalf.
R/ Silkis (calcitriol) zalf, tube à 30 of
100 g. Studies zijn uitgevoerd met calcipotriol (wisselend beschikbaar in
Nederland).
R/ itraconazol 1 dd 100 mg.
R/ fluconazol 150 mg per week gedurende 1 maand.
R/ Efudix (fluorouracil)
crème, tube à 40 g, 1 dd gedurende 1-2 weken.
R/ lichttherapie (UVB).
R/ acitretine 1 dd 10-25 mg.
Referenties
| 1. |
Gougerot H CA. Papillomatosis pigmentee innominee.
Bull Soc Fr Dermatol Syph 1927:719-721. |
| 2. |
Inalöz HS, Patel GK, Knight AG. Familial
confluent and reticulated papillomatosis. Arch Dermatol 2002;138(2):276-277. |
| 3. |
Kanitakis J, Zambruno G, Viac J, Thivolet
J. Involucrin expression in keratinization disorders of the skin
- a preliminary study. Br J Dermatol 1987;117(4):479-486. |
| 4. |
Jimbow M, Talpash O, Jimbow K. Confluent
and reticulated papillomatosis: clinical, light and electron microscopic
studies. Int J Dermatol 1992;31(7):480-483. |
| 5. |
Natarajan S, Milne D, Jones AL, Goodfellow
M, Perry J, Koerner RJ. Dietzia strain X: a newly described Actinomycete
isolated from confluent and reticulated papillomatosis. Br J Dermatol
2005;153(4):825-827. |
| 6. |
Barnette DJ Jr, Yeager JK. A progressive
asymptomatic hyperpigmented papular eruption. Confluent and reticulate
papillomatosis of Gougerot and Carteaud. Arch Dematol 1993:1608-1609. |
| 7. |
Sau P, Lupton GP. Reticulate truncal pigmentation.
Confluent and reticulate papillomatosis of Gougerot and Carteaud.
Arch Dematol 1988:1272-1275. |
| 8. |
Mutasim DF. Confluent and reticulate papillomatosis.
J Am Acad Dematol 2003:1182-1184. |
| 9. |
Fung MA, Frieden IJ, LeBoit PE, et al. Confluent
and reticulate papillomatosis: successful treatment with minocycline.
Arch Dermatol 1996;132(11):1400-1401. |
| 10. |
Montemarano AD, Hengge M, Sau P, Welch M.
Confluent and reticulated papillomatosis: response to minocycline.
J Am Acad Dermatol 1996;34(2 Pt 1):253-256. |
| 11. |
Poskitt L, Wilkinson JD. Clearance of confluent
and reticulate papillomatosis of Gougerot and Carteaud with minocycline.
Br J Dermatol 1993;129(3):351-353. |
| 12. |
Raja Babu KK, Snehal S, Sudha Vani D. Confluent
and reticulate papillomatosis: successful treatment with azithromycin.
Br J Dermatol 2000;142(6):1252-1253. |
| 13. |
Lee MP, Stiller MJ, McClain SA, Shupack JL,
Cohen DE. Confluent and reticulate papillomatosis: response to high
oral isotretinoin therapy and reassessment of epidemiological data.
J Am Acad Dematol 1994:327-331. |
| 14. |
Bowman PH, Davis LS. Confluent and reticulated
papillomatosis: response to tazarotene. J Am Acad Dermatol 2003;48(5
Suppl):S80-81. |
| 15. |
Schwartzberg JB, Schwartzberg HA. Response
of confluent and reticulate papillomatosis of Gougerot and Carteaud
to topical tretinoin. Cutis 2000;66(4):291-293. |
| 16. |
Gonul M, Cakmak SK, Soylu S, Kilic A, Gul
U, Ergul G. Successful treatment of confluent and reticulated papillomatosis
with topical mupirocin. J Eur Acad Dermatol Venereol 2008;22(9):1140-1142. |
| 17. |
Gulec AT, Seckin D. Confluent and reticulated
papillomatosis: treatment with topical calcipotriol. Br J Dermatol
1999;141(6):1150-1151. |
| 18. |
Berk DR. Confluent and reticulated papillomatosis
response to 70% alcohol swabbing. Arch Dermatol 2011;147(2):247-248. |
Author(s):dr. Jan R. Mekkes. Dermatologist, Amsterdam UMC.