Gegeneraliseerde eruptieve histiocytose (
generalized eruptive histiocytoma,
GEH) is een zeldzame, gegeneraliseerde vorm van
non-Langerhanscelhistiocytose die voornamelijk voorkomt bij volwassenen. Maar het kan ook bij kinderen voorkomen. Het is voor het eerst beschreven in 1963 door Winkelmann en Müller.
De laesies worden veroorzaakt door proliferatie van histiocyten in de
dermis. Het heeft een benigne beloop.
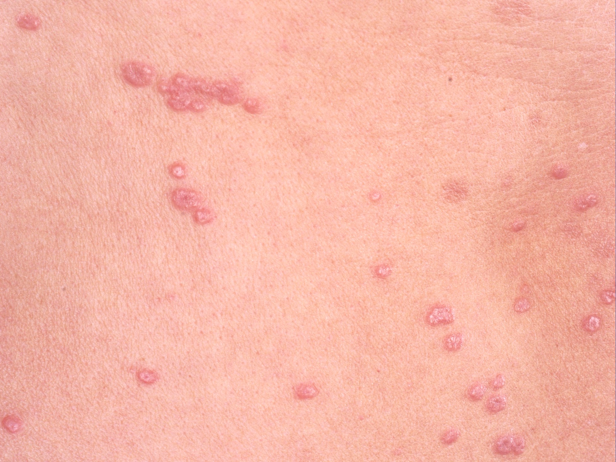
Klinisch beeld:Multipele papels verspreid over de romp en de proximale extremiteiten, en in sommige gevallen in het gelaat. Deze papels zijn rozerood tot bruin, asymptomatisch en kunnen in honderden aantallen voorkomen. Bij volwassenen is het beeld overwegend symmetrisch; bij kinderen asymmetrisch. Er komen zelden afwijkingen van de slijmvliezen voor. De laesies verdwijnen spontaan maar kunnen hyperpigmentatie achterlaten. Er zijn geen systemische manifestaties. Er zijn enkele case reports over een associatie met cutaan T-cel lymfoom en acute monocytaire leukemie.
![Generalized eruptive histiocytoma (click on photo to enlarge) [source: www.huidziekten.nl] Generalized eruptive histiocytoma](../../../images/gegeneraliseerd-eruptief-histiocytoma-1z.jpg) |
![Generalized eruptive histiocytoma (click on photo to enlarge) [source: www.huidziekten.nl] Generalized eruptive histiocytoma](../../../images/gegeneraliseerd-eruptief-histiocytoma-2z.jpg) |
![Generalized eruptive histiocytoma (click on photo to enlarge) [source: www.huidziekten.nl] Generalized eruptive histiocytoma](../../../images/gegeneraliseerd-eruptief-histiocytoma-3z.jpg) |
| eruptieve histiocytomen |
eruptieve histiocytomen |
eruptieve histiocytomen |
![Generalized eruptive histiocytoma (click on photo to enlarge) [source: www.huidziekten.nl] Generalized eruptive histiocytoma](../../../images/gegeneraliseerd-eruptief-histiocytoma-4z.jpg) |
![Generalized eruptive histiocytoma (click on photo to enlarge) [source: www.huidziekten.nl] Generalized eruptive histiocytoma](../../../images/gegeneraliseerd-eruptief-histiocytoma-5z.jpg) |
![Generalized eruptive histiocytoma (click on photo to enlarge) [source: www.huidziekten.nl] Generalized eruptive histiocytoma](../../../images/gegeneraliseerd-eruptief-histiocytoma-6z.jpg) |
| eruptieve histiocytomen |
eruptieve histiocytomen |
eruptieve histiocytomen |
Gegeneraliseerde eruptieve histiocytose behoort tot de class II
histiocytaire aandoeningen. De histiocytosen zijn onderverdeeld in:
- class I - dendritic cell-related histiocytosis (including Langerhans cell histiocytosis)
- class II - macrophage related histiocytosis
- class III - malignant histiocytosis with monocyte infiltration.
Klinisch en histologisch zijn er overeenkomsten met andere non-Langerhanscelhistiocytosen zoals juveniel en adult xanthogranuloma, benigne cefale histiocytosis, progressive nodular histiocytosis, multicentric reticulohistiocytosis, en gedissemineerde xanthomen.
DD: benigne cefale histiocytosis,
Langerhans cell histiocytosis,
urticaria pigmentosa,
gedissemineerde xanthomen,
lues,
lepra,
sarcoidose.
Diagnostiek:Biopt. Lues serologie. Routine lab, bloedbeeld en klinische chemie.
Therapie:Behandeling is niet nodig, het gaat
vanzelf over. Er zijn case reports over een positief effect van PUVA
therapie of isotretinoïne, maar het is moeilijk te beoordelen of dat echt de
genezing bespoedigt, aangezien het een self-limiting disease is.
Referenties
| 1. |
Winkelmann RK, Muller SA. Generalized
eruptive histiocytoma: a benign papular histiocytic reticulosis.
Arch Dermatol 1963;88:586-596. |
| 2. |
Wee SH, Kim HS, Chang SN, Kim DK, Park
WH. Generalized eruptive histiocytoma: a pediatric case. Pediatr
Dermatol 2000;17:453-455. |
| 3. |
Kiliç A, Cakmak SK, Gönül M, Gül U,
Demirel O, Demiriz M. Generalized eruptive histiocytoma: a
pediatric case. Eur J Dermatol 2006;16:694-695. |
| 4. |
Vázquez-Blanco M, Peteiro C, Toribio J.
Generalized eruptive histiocytoma. Actas Dermosifiliogr
2006;97:35-38. |
| 5. |
Lan Ma H, Metze D, Luger TA, Steinhoff M.
Successful treatment of generalized eruptive histiocytoma with
PUVA. J Dtsch Dermatol Ges 2007;5:131-134. |
| 6. |
Kwinter J, DeKoven J. Generalized
eruptive histiocytoma treated with isotretinoin. J Cutan Med
Surg 2009;13:146-150. |
| 7. |
Cardoso F, Serafini NB, Reis BD, Nuñez
MD, Nery JA, Lupi O. Generalized eruptive histiocytoma: a rare
disease in an elderly patient. An Bras Dermatol
2013;88(1):105-108. |
| 8. |
Lardinois AJPM, Dodemont S, Demeyere TBJ,
Nagtzaam IF. Een baby met bijzondere bultjes. Nederlands
Tijdschrift voor Dermatologie en Venereologie 2018;28(9):46-48. |
Author(s):dr. Jan R. Mekkes. Dermatologist, Amsterdam UMC.