BALANITIS OF SON (BALANITIS PLASMACELLULARIS) print home print home

WHAT IS BALANITIS OF SON?

Balanitis of Zoon

is a chronic inflammation of the lining of the glans penis (also called the glans penis). The lining is red and irritated. The inside of the foreskin may also be red and irritated.

Balanitis

is a general medical term for inflammation of the glans penis. Balanitis can be caused by an infection, such as yeast overgrowth (Candida). But balanitis can also be caused by other factors, such as eczema or chronic skin irritation. Zoon's balanitis is not an infection but an irritation of the mucous membrane. The condition is named after the Dutch dermatologist Johannes Jacobus Zoon, who first described the condition in 1952.

WHAT CAUSES BALANITIS OF SON?

The exact cause isn't known, but it's thought to be caused by prolonged irritation of the skin of the glans penis. This area, covered by the foreskin, is often moist. Moisture and urine can soften the skin, creating a sore spot. Dandruff can also accumulate in this area under the foreskin, especially if it's not kept clean. Bacterial overgrowth can occur, fueling the inflammation. These aren't pathogenic bacteria, but harmless bacteria that live on everyone's skin.

Zoon's balanitis doesn't occur in circumcised men. If there's no foreskin left, there's no accumulation of moisture or dandruff. Furthermore, the mucous membrane of the glans penis changes after circumcision; it becomes drier and thicker, and is better protected against moisture.

WHAT DOES SON'S BALANITIS LOOK LIKE?

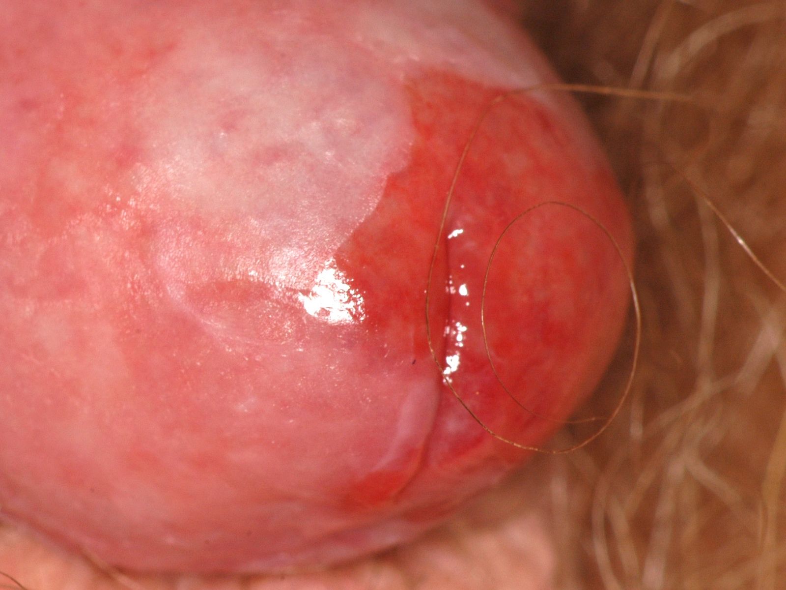
Red patches, one or more, with a shiny, moist surface, may appear on the glans penis. Sometimes there are superficial abrasions or areas that bleed easily. Usually, it causes few symptoms, but sometimes itching, a burning sensation, or pain, such as painful urination. The inside of the foreskin can also be affected. This occurs primarily in uncircumcised men of middle age or older.
Balanitis of Zoon Balanitis of Zoon
Zoon's balanitis Zoon's balanitis

IS SON'S BALANITIS CONTAGIOUS?

No, Zoon's balanitis is not contagious. It's not an infection. You can have normal sexual contact.

HOW IS THE DIAGNOSIS MADE?

The diagnosis is usually made based on the clinical picture, i.e., its appearance. However, redness of the lining of the glans penis can also be caused by other skin abnormalities. Therefore, a biopsy is sometimes necessary . A small (3 mm) piece of skin is removed under local anesthesia and sent to the pathology laboratory. Under the microscope, an inflammatory picture can be seen with an increase in plasma cells in the skin. Plasma cells are specialized cells belonging to the immune system. The presence of plasma cells is characteristic of Zoon's balanitis, which is why the condition is also called balanitis plasmacellularis .

HOW IS SON'S BALANITIS TREATED?

Hygiene measures (keeping clean)
The first step in treatment is to keep the penis clean, especially the area under the foreskin. This can be achieved by washing the area thoroughly daily with soap and water or just water. The foreskin should also be pulled back to keep everything clean and to remove any buildup of skin flakes.

Antibacterial ointments and creams
Applying an antibacterial cream or ointment once or twice daily, such as fucidin cream, mupirocin cream, or chlorhexidine cream, can help inhibit the overgrowth of skin bacteria.

Anti-inflammatory ointments and creams
Redness can be reduced with topical anti-inflammatory ointments, such as topical corticosteroids, tacrolimus ointment, or pimecrolimus cream. Combinations of anti-inflammatory and antibacterial ointments or creams can also be used.

Circumcision:
In severe cases of Zoon's balanitis that do not respond adequately to treatment with local agents, a urologist may perform a circumcision. Circumcision is not something to be done lightly, but it is very effective in treating Zoon's balanitis.
Source: www.skin-diseases.eu 2023
18-09-2025 ( JRM ) www.skin-diseases.eu pocketbook

QR-code for print-version of this brochure (PDF).
  
QR-code for webpage-version of this brochure.