WHAT IS BEHÇET'S DISEASE?Behçet's disease ( Behçet syndrome ) is a rare syndrome in which ulcers , eye problems , and various other symptoms can develop. The symptoms are caused by inflammation in and around small blood vessels (this is called vasculitis ). The exact cause of this inflammation is unknown.
The main symptoms of Behçet's disease are:
- ulcers in the mouth and on the genitals
- red, painful eyes, sometimes blurred vision
- acne-like skin lesions
- headaches
- painful, stiff, or swollen joints
The symptoms usually occur in attacks and alternate with periods without symptoms or with few symptoms. The symptoms can be mild, but occasionally severe (eye problems and neurological problems). It usually begins in adulthood (20-30 years), but it can also start in childhood. The disease can resolve spontaneously.HOW IS BEHÇET'S DISEASE DIAGNOSED?Diagnosing Behçet's disease can be difficult because the symptoms can be so variable. Additional testing is usually necessary, such as a biopsy , blood tests, x-rays, or scans. Sometimes a pathergy test is performed (pricking the skin with a needle to see if an ulcer develops).
Internationally, it was agreed in the 1990s that the following symptoms (complaints) must be present to diagnose Behçet's disease:
- mouth ulcers at least 3 times a year, and
- at least 2 of the following 4 symptoms:
- genital ulcers
- eye infections
- other skin lesions consistent with Behçet's
- a positive pathergy test.
Since 2014, a new international system for diagnosing Behçet's disease has been in use, in which points are awarded per symptom, and the diagnosis is made with 4 or more points.WHAT CAUSES BEHÇET'S DISEASE?The cause of Behçet's disease is unknown. It is considered an autoimmune disease . This is a group of conditions in which the body's immune system overreacts. Inflammation around the small blood vessels develops spontaneously, without any apparent cause. Diseases in which this occurs are also called autoinflammatory disorders .
Predisposition plays a role, as the disease occurs primarily in certain population groups: people from the Mediterranean region (including Turkey and Israel), the Middle East, and Asia.WHAT ARE THE SYMPTOMS OF BEHÇET'S DISEASE?Mouth ulcers:
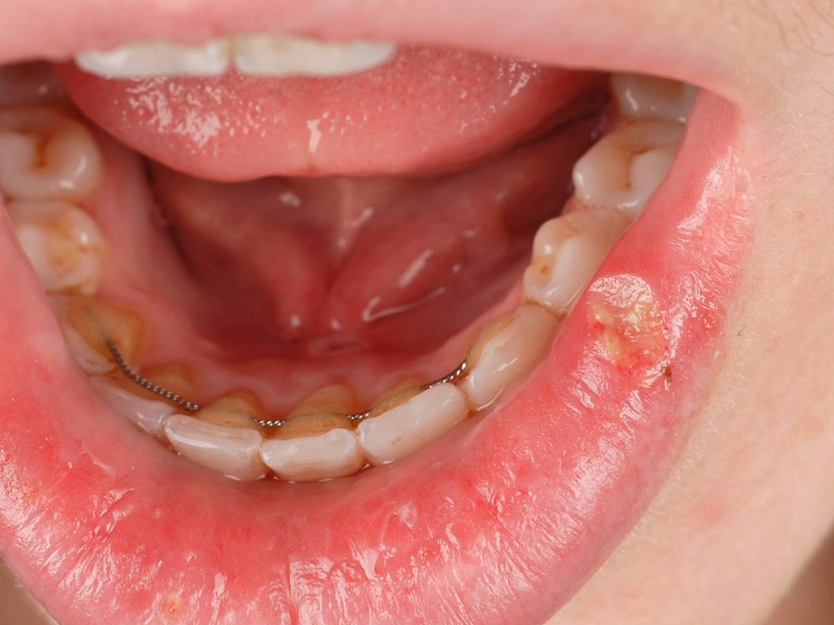
Almost all patients have ulcers (aphthous ulcers) in their mouth, on their tongue, gums, inside their cheeks, or lips. Aphthous ulcers can develop at any time, but with Behçet's disease, they are usually numerous and can be painful. They heal on their own within a few weeks without leaving scars, but they often recur in attacks.
![Behçet's syndrome (click on photo to enlarge) [source: www.skin-diseases.eu] Behçet's syndrome](../../images/Behcet-3z.jpg) |
![Behçet's syndrome (click on photo to enlarge) [source: www.skin-diseases.eu] Behçet's syndrome](../../images/Behcet-4z.jpg) |
![Behçet's syndrome (click on photo to enlarge) [source: www.skin-diseases.eu] Behçet's syndrome](../../images/Behcet-7z.jpg) |
| Behçet's syndrome |
Behçet's syndrome |
Behçet's syndrome |
Genital ulcers:
Ulcers on or around the genitals are also common. In men, they primarily occur on the scrotum or penis, and in women, they occur externally on the vulva or inside the vagina. These ulcers can be very painful, disruptive to sex, and can leave scars. Ulcers cannot develop on a partner after sexual contact; they are not an infection and are not contagious.
Skin abnormalities
In addition to ulcers, Behçet's disease may also cause other skin abnormalities such as painful, red, and warm bumps on the lower legs ( erythema nodosum ), inflamed hair follicles (pseudofolliculitis), or phlebitis (superficial thrombophlebitis). In a small proportion of patients, ulcers may develop after skin damage. This is also used as a test, the pathergy test: if an ulcer develops 2 days after puncture with a sterile needle, this is consistent with Behçet's disease.
Joint complaints (arthritis)
Approximately half of patients experience joint complaints (painful, warm, swollen, stiff joints), particularly in the knees, ankles, elbows, wrists, or fingers. There is usually no permanent damage to the joints, and the condition responds well to anti-inflammatory treatments.
Eye inflammation (uveitis)
Eye infections are common (in approximately 70% of patients) and can develop suddenly. Symptoms may include red eyes, pain, light sensitivity, opacities in the vitreous, blurred vision, and even sudden vision loss. For these types of symptoms, it is important to contact an ophthalmologist promptly.
Gastrointestinal complaints:
The inflammation can also occur in the intestinal wall, causing symptoms such as abdominal pain, loss of appetite, digestive problems, diarrhea, blood in the stool, and a general feeling of being unwell.
Clotting problems, thrombosis:
Due to the inflammation around the blood vessels, there is an increased risk of blood clots forming in them. Superficial vein inflammation (thrombophlebitis) can develop, but also deep vein thrombosis (thrombosis of the leg), with symptoms such as pain, redness, and a swollen lower leg. Rare, but more serious, is the formation of a clot in the brain, as this can cause loss of vision (stroke). Symptoms include severe headaches, speech problems, hearing loss, double vision, seizures, muscle weakness, and paralysis. If these symptoms arise, contact your doctor or emergency room immediately.
Stretching of the arterial wall (aneurysm)
Arterial walls can bulge if they become weakened by prolonged inflammation. This can cause the vessels to stretch like a balloon and eventually even burst. This is called an aneurysm . An aneurysm can go unnoticed and only be discovered when it starts bleeding or is seen on a scan. A ruptured aneurysm causes sudden, severe pain in the affected body part. Significant blood loss can cause shock. If an aneurysm is suspected, immediate hospitalization is necessary.
Inflammatory symptoms in the central nervous system
Inflammatory symptoms can also occur in the central nervous system (brain, spinal cord) with Behçet's disease. Symptoms that can develop, usually within a short period of time, include headache, double vision, balance problems, seizures, and hemiplegia.
General symptoms
General symptoms such as fatigue also occur.HOW IS BEHÇET'S DISEASE TREATED?There are no medications that can cure Behçet's disease; all treatments are aimed at suppressing the symptoms (symptom management). The medications used include topical or systemic corticosteroids and other immunosuppressive agents, including some newer agents (biologics) with specific anti-inflammatory properties.
Because multiple parts of the body can be affected, Behçet's disease is treated by various specialists, such as a dermatologist, an ophthalmologist, an ENT specialist, a rheumatologist or internist, or a neurologist.
Corticosteroids
Corticosteroids are anti-inflammatory medications. They are available as topical products such as ointments, gels, creams, and eye drops for use on the skin, in the mouth, or in the eyes. Corticosteroids can also be prescribed in tablet form (systemic therapy, prednisone) and then work internally against all inflammatory symptoms in the body. Local corticosteroid injections are also possible. Corticosteroids are powerful, but long-term use in high doses can cause side effects, such as thinning of the skin, increased risk of infections, weight gain, osteoporosis, high blood pressure, diabetes, cataracts, psychological effects, and decreased adrenal function.
Other immunosuppressive drugs
: Alternatives to prednisone include azathioprine, cyclosporine, and tacrolimus. Azathioprine is often given in conjunction with prednisone. Colchicine, a medication for gout, can also be prescribed. These medications are more suitable for long-term use than prednisone, but can also cause various side effects. Not every patient responds the same way to systemic medication; it's important to find something that works with as few side effects as possible. If the usual medications are insufficiently effective, there are other alternatives, such as mesalazine, sulfasalazine, thalidomide, cyclophosphamide, methotrexate, mycophenolate mofetil, or biologics.
Biologics:
Biologics are new drugs specifically developed for certain conditions in which the immune system is compromised. They work very specifically on a single component of the immune system and have far fewer side effects than, for example, prednisone. For Behçet's disease, TNF-alpha inhibitors (tumor necrosis factor-alpha inhibitors), such as infliximab or adalimumab, can be effective. These drugs are administered intravenously or by injection. A growing number of biologics that may be effective for Behçet's disease are being tested in clinical trials.
Otezla (apremilast)
Apremilast (tablets to take) was originally developed for the skin disease psorasis, but has also been shown to have a beneficial effect on Behçet's disease, particularly on oral ulcers.
Treatments for specific complaintsUlcers in the oral cavity(Aphthous ulcers) and on the genitals can be treated with topical corticosteroid ointments, gels, mouthwashes, and sprays (the same corticosteroid inhalers used for asthma) and with painkilling gels containing lidocaine. Colchicine tablets and apremilast tablets can also be used. In severe cases, prednisone tablets or other immunosuppressive agents are used.Inflammations in the eyeThese can be treated with corticosteroid eye drops, but for severe symptoms, systemic medication (prednisone, azathioprine, cyclosporine) is prescribed by an ophthalmologist.
For joint pain , anti-inflammatory painkillers such as paracetamol or ibuprofen may be prescribed. Colchicine can also be helpful, and for severe symptoms, azathioprine or adalimumab.
For severe gastrointestinal problems, systemic medication (prednisone or other immunosuppressants, biologics) may also be necessary.
For headaches, painkillers such as ibuprofen or medications also prescribed for migraines can be helpful.
For thrombosis , blood thinners are usually prescribed, but for Behçet's disease, these are used with caution. Often, the inflammation is addressed first and there are no weak, stretched blood vessels (aneurysms) that could bleed. In case of aneurysms it may be necessary to use prednisone or cyclophosphamide and sometimes the vascular surgeon has to intervene and repair or close the vessel.Inflammations in the central nervous systemare also treated with systemic medication (prednisone or other immunosuppressive agents, biologicals). |